Nine-Year Follow-Up of Conservatively Managed Acute Type A Aortic Dissection in an Older Patient.

IF 0.9 4区 医学
Texas Heart Institute Journal Pub Date : 2025-05-06 eCollection Date: 2025-01-01 DOI:10.14503/THIJ-24-8542
Zhaohui Wang, Xiaohui Lv, Yipeng Chen, Lijun Chen
{"title":"Nine-Year Follow-Up of Conservatively Managed Acute Type A Aortic Dissection in an Older Patient.","authors":"Zhaohui Wang, Xiaohui Lv, Yipeng Chen, Lijun Chen","doi":"10.14503/THIJ-24-8542","DOIUrl":null,"url":null,"abstract":"<p><p>Acute type A aortic dissection is a catastrophic cardiovascular event characterized by severe pain and hemodynamic instability. The standard of care is emergency surgery, which, despite its benefits, carries substantial perioperative risks. Conservative management is an alternative approach reserved for older patients with clinically significant comorbidities or for whom surgical risk is prohibitive and perioperative mortality may outweigh potential benefits. The case is presented of a 75-year-old patient who opted for conservative management and has been followed up with favorable outcomes for 9 years since the index event.</p>","PeriodicalId":48680,"journal":{"name":"Texas Heart Institute Journal","volume":"52 1","pages":"e248542"},"PeriodicalIF":0.9000,"publicationDate":"2025-05-06","publicationTypes":"Journal Article","fieldsOfStudy":null,"isOpenAccess":false,"openAccessPdf":"https://www.ncbi.nlm.nih.gov/pmc/articles/PMC12056552/pdf/","citationCount":"0","resultStr":null,"platform":"Semanticscholar","paperid":null,"PeriodicalName":"Texas Heart Institute Journal","FirstCategoryId":"3","ListUrlMain":"https://doi.org/10.14503/THIJ-24-8542","RegionNum":4,"RegionCategory":"医学","ArticlePicture":[],"TitleCN":null,"AbstractTextCN":null,"PMCID":null,"EPubDate":"2025/1/1 0:00:00","PubModel":"eCollection","JCR":"","JCRName":"","Score":null,"Total":0}
引用次数: 0

Abstract

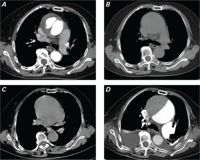
Acute type A aortic dissection is a catastrophic cardiovascular event characterized by severe pain and hemodynamic instability. The standard of care is emergency surgery, which, despite its benefits, carries substantial perioperative risks. Conservative management is an alternative approach reserved for older patients with clinically significant comorbidities or for whom surgical risk is prohibitive and perioperative mortality may outweigh potential benefits. The case is presented of a 75-year-old patient who opted for conservative management and has been followed up with favorable outcomes for 9 years since the index event.

Abstract Image

保守治疗急性A型主动脉夹层1例老年患者9年随访分析。
急性A型主动脉夹层是一种以剧烈疼痛和血流动力学不稳定为特征的灾难性心血管事件。标准的护理是紧急手术,尽管它有好处,但也有很大的围手术期风险。保守治疗是一种替代方法,用于有临床显著合并症的老年患者,或手术风险大,围手术期死亡率可能超过潜在收益的患者。这个病例是一个75岁的病人,他选择了保守治疗,并在指数事件发生后随访了9年,结果良好。
本文章由计算机程序翻译,如有差异,请以英文原文为准。
求助全文
约1分钟内获得全文 求助全文
来源期刊
Texas Heart Institute Journal
Texas Heart Institute Journal CARDIAC & CARDIOVASCULAR SYSTEMS-
自引率
11.10%
发文量
131
期刊介绍: For more than 45 years, the Texas Heart Institute Journal has been published by the Texas Heart Institute as part of its medical education program. Our bimonthly peer-reviewed journal enjoys a global audience of physicians, scientists, and healthcare professionals who are contributing to the prevention, diagnosis, and treatment of cardiovascular disease. The Journal was printed under the name of Cardiovascular Diseases from 1974 through 1981 (ISSN 0093-3546). The name was changed to Texas Heart Institute Journal in 1982 and was printed through 2013 (ISSN 0730-2347). In 2014, the Journal moved to online-only publication. It is indexed by Index Medicus/MEDLINE and by other indexing and abstracting services worldwide. Our full archive is available at PubMed Central. The Journal invites authors to submit these article types for review: -Clinical Investigations- Laboratory Investigations- Reviews- Techniques- Coronary Anomalies- History of Medicine- Case Reports/Case Series (Submission Fee: $70.00 USD)- Images in Cardiovascular Medicine (Submission Fee: $35.00 USD)- Guest Editorials- Peabody’s Corner- Letters to the Editor
×
引用
GB/T 7714-2015
复制
MLA
复制
APA
复制
导出至
BibTeX EndNote RefMan NoteFirst NoteExpress
×
提示
您的信息不完整,为了账户安全,请先补充。
现在去补充
×
提示
您因"违规操作"
具体请查看互助需知
我知道了
×
提示
确定
请完成安全验证×
copy
已复制链接
快去分享给好友吧!
我知道了
右上角分享
点击右上角分享
0
联系我们:info@booksci.cn Book学术提供免费学术资源搜索服务,方便国内外学者检索中英文文献。致力于提供最便捷和优质的服务体验。 Copyright © 2023 布克学术 All rights reserved.
京ICP备2023020795号-1
ghs 京公网安备 11010802042870号
Book学术文献互助
Book学术文献互助群
群 号:604180095
Book学术官方微信