Is posterior cervical imbalance after anterior cervical discectomy with fusion a determinant in the development of adjacent cervical degeneration? A retrospective study with an average of 8 years of follow-up.

IF 1.3 Q2 OTORHINOLARYNGOLOGY
Valentino Latallade, Gonzalo Kido, Matías Pereira Duarte, Ignacio Solá, Iván A Huespe, Juan M Colazo, Matías Petracchi, Marcelo Gruenberg
{"title":"Is posterior cervical imbalance after anterior cervical discectomy with fusion a determinant in the development of adjacent cervical degeneration? A retrospective study with an average of 8 years of follow-up.","authors":"Valentino Latallade, Gonzalo Kido, Matías Pereira Duarte, Ignacio Solá, Iván A Huespe, Juan M Colazo, Matías Petracchi, Marcelo Gruenberg","doi":"10.4103/jcvjs.jcvjs_197_24","DOIUrl":null,"url":null,"abstract":"<p><strong>Aims: </strong>The primary objective of this study is to evaluate the hypotheses that postoperative sagittal imbalance influences the development of adjacent segment degeneration (ASDeg) in patients who have undergone an anterior cervical discectomy with fusion (ACDF).</p><p><strong>Settings and design: </strong>This was a retrospective cohort study.</p><p><strong>Subjects and methods: </strong>We analyzed 63 patients with ACDF with a minimum of 2 years of follow-up. In the imaging evaluation, sagittal balance parameters were included, as well as radiographic parameters that target the development of ASDeg. In addition, discrimination was made between arthrodesis techniques.</p><p><strong>Statistical analysis used: </strong>Categorical variables were compared using the Chi-square test and Fisher's exact test. Continuous variables were compared using t-test when the data were normally distributed and Wilcoxon tests when the distribution was not normal.</p><p><strong>Results: </strong>Patients with postoperative imbalance presented with radiographic ASDeg at a rate of 26% (n = 5) versus 22% (n = 9) in patients with postoperative balance, this difference was not significant (P = 0.7). In those who underwent surgery with plate, we found that 23% (n = 4) developed ASDeg versus 22% (n = 1) of patients with anterior cervical arthrodesis with cage-plate and 27% (n = 10) of patients who underwent interbody device surgery, with this difference being nonsignificant (P = 0.7).</p><p><strong>Conclusion: </strong>We concluded that neither postoperative imbalance nor the type of arthrodesis in patients undergoing ACDF for degenerative pathology showed a positive correlation with the development of radiographic cervical ASDeg at an average follow-up of 8 years.</p>","PeriodicalId":51721,"journal":{"name":"Journal of Craniovertebral Junction and Spine","volume":"16 1","pages":"101-107"},"PeriodicalIF":1.3000,"publicationDate":"2025-01-01","publicationTypes":"Journal Article","fieldsOfStudy":null,"isOpenAccess":false,"openAccessPdf":"https://www.ncbi.nlm.nih.gov/pmc/articles/PMC12029398/pdf/","citationCount":"0","resultStr":null,"platform":"Semanticscholar","paperid":null,"PeriodicalName":"Journal of Craniovertebral Junction and Spine","FirstCategoryId":"1085","ListUrlMain":"https://doi.org/10.4103/jcvjs.jcvjs_197_24","RegionNum":0,"RegionCategory":null,"ArticlePicture":[],"TitleCN":null,"AbstractTextCN":null,"PMCID":null,"EPubDate":"2025/4/1 0:00:00","PubModel":"Epub","JCR":"Q2","JCRName":"OTORHINOLARYNGOLOGY","Score":null,"Total":0}
引用次数: 0

Abstract

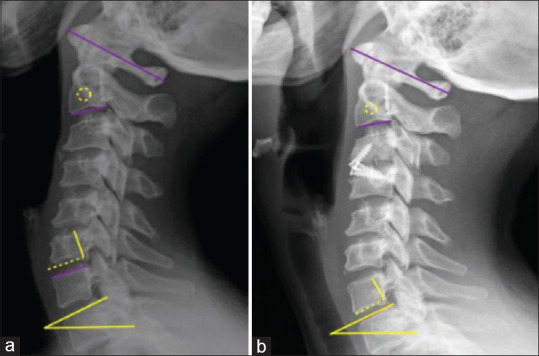
Aims: The primary objective of this study is to evaluate the hypotheses that postoperative sagittal imbalance influences the development of adjacent segment degeneration (ASDeg) in patients who have undergone an anterior cervical discectomy with fusion (ACDF).

Settings and design: This was a retrospective cohort study.

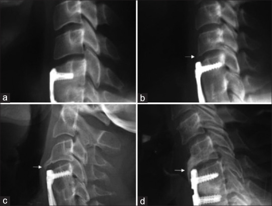
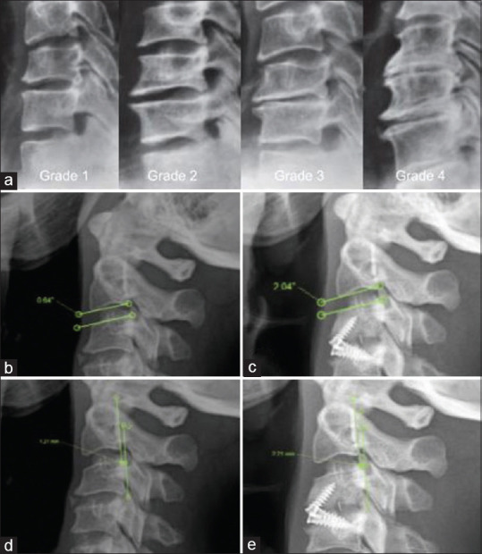
Subjects and methods: We analyzed 63 patients with ACDF with a minimum of 2 years of follow-up. In the imaging evaluation, sagittal balance parameters were included, as well as radiographic parameters that target the development of ASDeg. In addition, discrimination was made between arthrodesis techniques.

Statistical analysis used: Categorical variables were compared using the Chi-square test and Fisher's exact test. Continuous variables were compared using t-test when the data were normally distributed and Wilcoxon tests when the distribution was not normal.

Results: Patients with postoperative imbalance presented with radiographic ASDeg at a rate of 26% (n = 5) versus 22% (n = 9) in patients with postoperative balance, this difference was not significant (P = 0.7). In those who underwent surgery with plate, we found that 23% (n = 4) developed ASDeg versus 22% (n = 1) of patients with anterior cervical arthrodesis with cage-plate and 27% (n = 10) of patients who underwent interbody device surgery, with this difference being nonsignificant (P = 0.7).

Conclusion: We concluded that neither postoperative imbalance nor the type of arthrodesis in patients undergoing ACDF for degenerative pathology showed a positive correlation with the development of radiographic cervical ASDeg at an average follow-up of 8 years.

Abstract Image

Abstract Image

Abstract Image

颈椎前路椎间盘切除术融合后的后路颈椎失衡是邻近颈椎退变发展的决定因素吗?一项平均随访8年的回顾性研究。
目的:本研究的主要目的是评估术后矢状面失衡影响前路颈椎椎间盘切除术融合(ACDF)患者相邻节段退变(ASDeg)发展的假设。环境和设计:这是一项回顾性队列研究。研究对象和方法:我们对63例ACDF患者进行了至少2年的随访。影像学评价包括矢状面平衡参数,以及针对ASDeg发展的影像学参数。此外,还对关节融合术进行了区分。采用统计分析:分类变量比较采用卡方检验和Fisher精确检验。当数据为正态分布时,采用t检验对连续变量进行比较;当数据为非正态分布时,采用Wilcoxon检验。结果:术后平衡患者影像学上出现ASDeg的比例为26% (n = 5),而术后平衡患者影像学上出现ASDeg的比例为22% (n = 9),差异无统计学意义(P = 0.7)。在接受钢板手术的患者中,我们发现23% (n = 4)的患者发生ASDeg,而接受前路颈椎关节融合术的患者中有22% (n = 1),接受椎间装置手术的患者中有27% (n = 10),差异无统计学意义(P = 0.7)。结论:我们得出结论,在平均8年的随访中,因退行性病理行ACDF患者的术后不平衡和关节融合术类型与颈椎ASDeg的影像学发展均无正相关。
本文章由计算机程序翻译,如有差异,请以英文原文为准。
求助全文
约1分钟内获得全文 求助全文
来源期刊
CiteScore
1.90
自引率
9.10%
发文量
57
审稿时长
12 weeks
×
引用
GB/T 7714-2015
复制
MLA
复制
APA
复制
导出至
BibTeX EndNote RefMan NoteFirst NoteExpress
×
提示
您的信息不完整,为了账户安全,请先补充。
现在去补充
×
提示
您因"违规操作"
具体请查看互助需知
我知道了
×
提示
确定
请完成安全验证×
copy
已复制链接
快去分享给好友吧!
我知道了
右上角分享
点击右上角分享
0
联系我们:info@booksci.cn Book学术提供免费学术资源搜索服务,方便国内外学者检索中英文文献。致力于提供最便捷和优质的服务体验。 Copyright © 2023 布克学术 All rights reserved.
京ICP备2023020795号-1
ghs 京公网安备 11010802042870号
Book学术文献互助
Book学术文献互助群
群 号:604180095
Book学术官方微信