Papillary Thyroid Carcinoma With 5 Unique Point Mutations and Typical Behavior.

JCEM case reports Pub Date : 2025-04-11 eCollection Date: 2025-05-01 DOI:10.1210/jcemcr/luaf062
Aditya Chauhan, Siddhartha Sen, Khalid Amin, Lynn A Burmeister
{"title":"Papillary Thyroid Carcinoma With 5 Unique Point Mutations and Typical Behavior.","authors":"Aditya Chauhan, Siddhartha Sen, Khalid Amin, Lynn A Burmeister","doi":"10.1210/jcemcr/luaf062","DOIUrl":null,"url":null,"abstract":"<p><p>The frequency and impact of multiple driver mutations have not been extensively explored in papillary thyroid carcinoma (PTC), in which driver mutations are most commonly solitary. We present a case of a 62-year-old female who was found to have a 2.6-cm classical, nonaggressive-appearing PTC. A next-generation sequencing panel assessed the tumor for mutations. Five unique single nucleotide sequence variants, none of which was seen in The Cancer Genome Atlas study on PTC, were found: <i>BRAF D594N, NRAS Q61H, PIK3CA G1007R, PTEN R335*</i>, and <i>PTEN Y225*</i>. We believe that 5 pathogenic variants are the highest reported number for a primary PTC resection specimen to date. The observed typical PTC behavior may be due to a weaker strength of the individual pathogenic variants to drive oncogenic processes. In this case, the high number of genetic alterations did not translate into aggressive histopathology or clinical course.</p>","PeriodicalId":73540,"journal":{"name":"JCEM case reports","volume":"3 5","pages":"luaf062"},"PeriodicalIF":0.0000,"publicationDate":"2025-04-11","publicationTypes":"Journal Article","fieldsOfStudy":null,"isOpenAccess":false,"openAccessPdf":"https://www.ncbi.nlm.nih.gov/pmc/articles/PMC11986579/pdf/","citationCount":"0","resultStr":null,"platform":"Semanticscholar","paperid":null,"PeriodicalName":"JCEM case reports","FirstCategoryId":"1085","ListUrlMain":"https://doi.org/10.1210/jcemcr/luaf062","RegionNum":0,"RegionCategory":null,"ArticlePicture":[],"TitleCN":null,"AbstractTextCN":null,"PMCID":null,"EPubDate":"2025/5/1 0:00:00","PubModel":"eCollection","JCR":"","JCRName":"","Score":null,"Total":0}
引用次数: 0

Abstract

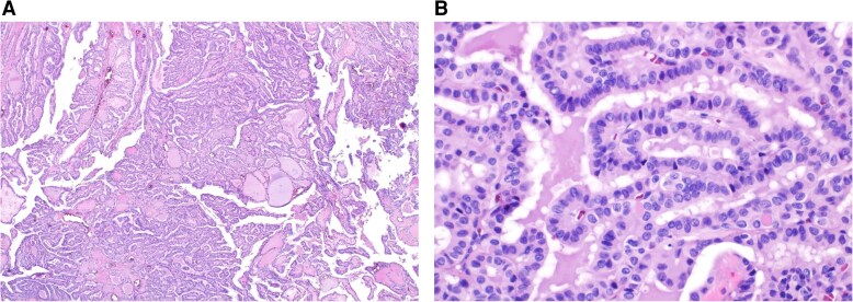
The frequency and impact of multiple driver mutations have not been extensively explored in papillary thyroid carcinoma (PTC), in which driver mutations are most commonly solitary. We present a case of a 62-year-old female who was found to have a 2.6-cm classical, nonaggressive-appearing PTC. A next-generation sequencing panel assessed the tumor for mutations. Five unique single nucleotide sequence variants, none of which was seen in The Cancer Genome Atlas study on PTC, were found: BRAF D594N, NRAS Q61H, PIK3CA G1007R, PTEN R335*, and PTEN Y225*. We believe that 5 pathogenic variants are the highest reported number for a primary PTC resection specimen to date. The observed typical PTC behavior may be due to a weaker strength of the individual pathogenic variants to drive oncogenic processes. In this case, the high number of genetic alterations did not translate into aggressive histopathology or clinical course.

Abstract Image

Abstract Image

5个独特的点突变和典型行为的甲状腺乳头状癌。
在甲状腺乳头状癌(PTC)中,多个驱动突变的频率和影响尚未被广泛探讨,其中驱动突变最常见的是孤立的。我们提出一个62岁的女性病例,她被发现有一个2.6厘米的经典,非侵袭性PTC。下一代测序小组评估肿瘤的突变。我们发现了5个独特的单核苷酸序列变异:BRAF D594N、NRAS Q61H、PIK3CA G1007R、PTEN R335*和PTEN Y225*,这些变异均未在The Cancer Genome Atlas研究中发现。我们认为5个致病变异是迄今为止报道的原发性PTC切除标本的最高数量。观察到的典型PTC行为可能是由于单个致病变异驱动致癌过程的强度较弱。在这种情况下,大量的基因改变并没有转化为侵袭性的组织病理学或临床病程。
本文章由计算机程序翻译,如有差异,请以英文原文为准。
求助全文
约1分钟内获得全文 求助全文
来源期刊
自引率
0.00%
发文量
0
×
引用
GB/T 7714-2015
复制
MLA
复制
APA
复制
导出至
BibTeX EndNote RefMan NoteFirst NoteExpress
×
提示
您的信息不完整,为了账户安全,请先补充。
现在去补充
×
提示
您因"违规操作"
具体请查看互助需知
我知道了
×
提示
确定
请完成安全验证×
copy
已复制链接
快去分享给好友吧!
我知道了
右上角分享
点击右上角分享
0
联系我们:info@booksci.cn Book学术提供免费学术资源搜索服务,方便国内外学者检索中英文文献。致力于提供最便捷和优质的服务体验。 Copyright © 2023 布克学术 All rights reserved.
京ICP备2023020795号-1
ghs 京公网安备 11010802042870号
Book学术文献互助
Book学术文献互助群
群 号:604180095
Book学术官方微信