Does Replication of Native Acetabular Anatomy Satisfy Recommended Hip-Spine Targets for Cup Orientation?

IF 3.8 Q2 ORTHOPEDICS
JBJS Open Access Pub Date : 2025-04-25 eCollection Date: 2025-04-01 DOI:10.2106/JBJS.OA.24.00169
Johnathan Sevick, Christopher Plaskos, Andrew Speirs, Jim Pierrepont, George Grammatopoulos
{"title":"Does Replication of Native Acetabular Anatomy Satisfy Recommended Hip-Spine Targets for Cup Orientation?","authors":"Johnathan Sevick, Christopher Plaskos, Andrew Speirs, Jim Pierrepont, George Grammatopoulos","doi":"10.2106/JBJS.OA.24.00169","DOIUrl":null,"url":null,"abstract":"<p><strong>Background: </strong>The aim of this study was to assess whether replication of native acetabular anatomy would satisfy cup orientation targets using 3 commonly described hip-spine algorithms. Whether spinopelvic characteristics influence ability to achieve cup orientation targets when replicating native anatomy and the agreement between algorithm recommendations was tested.</p><p><strong>Methods: </strong>A prospective database was queried to identify patients with adverse (n = 70) spinopelvic characteristics. These were matched for age and sex with patients without adverse characteristics (n = 70). Spinopelvic characteristics were obtained from radiographs and computed tomography (CT) scans. CT scans were segmented to determine native acetabular anatomy, particularly anteversion. Three hip-spine planning algorithms were evaluated for each patient (Optimized Positioning System [OPS], Combined-Sagittal Index [CSI], Hip-Spine Classification). Differences between target orientations and native anatomy were determined. Agreement between algorithms was tested.</p><p><strong>Results: </strong>OPS plan had significantly reduced inclination compared with native (39° vs. 52°, p < 0.001). No significant difference between OPS and native anteversions was seen (18° vs. 18°, p = 0.1) for the adverse group. OPS-planned anteversion was greater than native (23° vs. 16°, p < 0.001) in the nonadverse group. Most native orientations met published CSI targets (90% nonadverse, 59% adverse). Most native acetabular orientations (61% adverse and 58% nonadverse) failed to meet Hip-Spine Classification targets. Overall, in 88% of cases, replication of native acetabular version and 40° of inclination satisfied at least one suggested target. Agreement of all 3 algorithms was 31%; greater agreement was seen between Hip-Spine Classification and OPS (64%).</p><p><strong>Conclusions: </strong>Native acetabular anteversion and radiographic inclination of 40° are reliable targets, satisfying at least one hip-spine algorithm and thus justifying such practice, when advanced hip-spine analysis is not performed. The discrepancy between suggested orientations by the various published techniques, despite their validated low dislocation rates, emphasizes that although achieving a target cup orientation is important, the nature of hip stability is multifactorial and merits a holistic approach.</p>","PeriodicalId":36492,"journal":{"name":"JBJS Open Access","volume":"10 2","pages":""},"PeriodicalIF":3.8000,"publicationDate":"2025-04-25","publicationTypes":"Journal Article","fieldsOfStudy":null,"isOpenAccess":false,"openAccessPdf":"https://www.ncbi.nlm.nih.gov/pmc/articles/PMC12020697/pdf/","citationCount":"0","resultStr":null,"platform":"Semanticscholar","paperid":null,"PeriodicalName":"JBJS Open Access","FirstCategoryId":"1085","ListUrlMain":"https://doi.org/10.2106/JBJS.OA.24.00169","RegionNum":0,"RegionCategory":null,"ArticlePicture":[],"TitleCN":null,"AbstractTextCN":null,"PMCID":null,"EPubDate":"2025/4/1 0:00:00","PubModel":"eCollection","JCR":"Q2","JCRName":"ORTHOPEDICS","Score":null,"Total":0}
引用次数: 0

Abstract

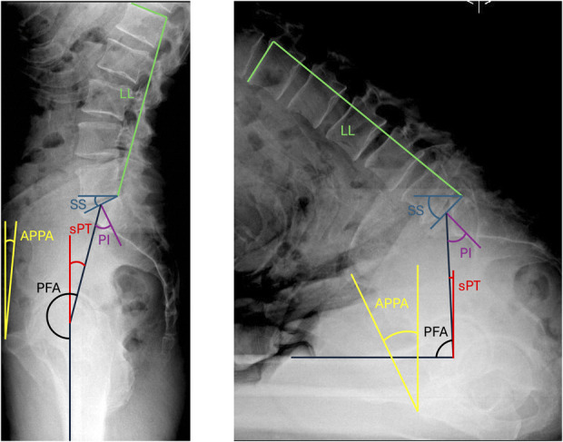
Background: The aim of this study was to assess whether replication of native acetabular anatomy would satisfy cup orientation targets using 3 commonly described hip-spine algorithms. Whether spinopelvic characteristics influence ability to achieve cup orientation targets when replicating native anatomy and the agreement between algorithm recommendations was tested.

Methods: A prospective database was queried to identify patients with adverse (n = 70) spinopelvic characteristics. These were matched for age and sex with patients without adverse characteristics (n = 70). Spinopelvic characteristics were obtained from radiographs and computed tomography (CT) scans. CT scans were segmented to determine native acetabular anatomy, particularly anteversion. Three hip-spine planning algorithms were evaluated for each patient (Optimized Positioning System [OPS], Combined-Sagittal Index [CSI], Hip-Spine Classification). Differences between target orientations and native anatomy were determined. Agreement between algorithms was tested.

Results: OPS plan had significantly reduced inclination compared with native (39° vs. 52°, p < 0.001). No significant difference between OPS and native anteversions was seen (18° vs. 18°, p = 0.1) for the adverse group. OPS-planned anteversion was greater than native (23° vs. 16°, p < 0.001) in the nonadverse group. Most native orientations met published CSI targets (90% nonadverse, 59% adverse). Most native acetabular orientations (61% adverse and 58% nonadverse) failed to meet Hip-Spine Classification targets. Overall, in 88% of cases, replication of native acetabular version and 40° of inclination satisfied at least one suggested target. Agreement of all 3 algorithms was 31%; greater agreement was seen between Hip-Spine Classification and OPS (64%).

Conclusions: Native acetabular anteversion and radiographic inclination of 40° are reliable targets, satisfying at least one hip-spine algorithm and thus justifying such practice, when advanced hip-spine analysis is not performed. The discrepancy between suggested orientations by the various published techniques, despite their validated low dislocation rates, emphasizes that although achieving a target cup orientation is important, the nature of hip stability is multifactorial and merits a holistic approach.

Abstract Image

Abstract Image

Abstract Image

复制天然髋臼解剖结构是否满足杯形定位推荐的髋-脊柱目标?
背景:本研究的目的是评估使用3种常见的髋-脊柱算法复制天然髋臼解剖结构是否能满足杯形定位目标。在复制原始解剖结构时,脊柱骨盆特征是否影响实现杯形目标的能力,以及算法建议之间的一致性进行了测试。方法:对前瞻性数据库进行查询,以确定不良(n = 70)脊柱骨盆特征的患者。这些患者按年龄和性别与无不良特征的患者相匹配(n = 70)。通过x线片和计算机断层扫描(CT)获得脊柱骨盆特征。CT扫描被分割以确定固有的髋臼解剖,特别是前倾。为每位患者评估三种髋-脊柱规划算法(优化定位系统[OPS],联合矢状指数[CSI],髋-脊柱分类)。确定了靶取向与天然解剖结构的差异。测试了算法之间的一致性。结果:OPS计划与自然计划相比,倾角显著降低(39°vs 52°,p < 0.001)。不良组的前倾与正常前倾无显著差异(18°vs. 18°,p = 0.1)。在非不良反应组中,ops计划的前倾大于正常组(23°vs. 16°,p < 0.001)。大多数本土取向达到了公布的CSI目标(90%不不利,59%不利)。大多数天然髋臼定位(61%不良,58%非不良)未能达到髋-脊柱分类目标。总的来说,在88%的病例中,原始髋臼形状和40°倾角的复制至少满足了一个建议的目标。3种算法的符合率为31%;髋-脊柱分类和OPS之间的一致性更高(64%)。结论:当没有进行高级髋-脊柱分析时,天然髋臼前伸和x线倾斜40°是可靠的目标,至少满足一种髋-脊柱算法,因此证明了这种做法的合理性。尽管已发表的各种技术的脱位率都很低,但它们所建议的定位之间存在差异,这强调了尽管实现目标臼杯定位很重要,但髋关节稳定性的本质是多因素的,需要采用整体方法。
本文章由计算机程序翻译,如有差异,请以英文原文为准。
求助全文
约1分钟内获得全文 求助全文
来源期刊
JBJS Open Access
JBJS Open Access Medicine-Surgery
CiteScore
5.00
自引率
0.00%
发文量
77
审稿时长
6 weeks
×
引用
GB/T 7714-2015
复制
MLA
复制
APA
复制
导出至
BibTeX EndNote RefMan NoteFirst NoteExpress
×
提示
您的信息不完整,为了账户安全,请先补充。
现在去补充
×
提示
您因"违规操作"
具体请查看互助需知
我知道了
×
提示
确定
请完成安全验证×
copy
已复制链接
快去分享给好友吧!
我知道了
右上角分享
点击右上角分享
0
联系我们:info@booksci.cn Book学术提供免费学术资源搜索服务,方便国内外学者检索中英文文献。致力于提供最便捷和优质的服务体验。 Copyright © 2023 布克学术 All rights reserved.
京ICP备2023020795号-1
ghs 京公网安备 11010802042870号
Book学术文献互助
Book学术文献互助群
群 号:604180095
Book学术官方微信