The dose-dependent effect of tranexamic acid on epidural fibrosis after laminectomy: an experimental study on rats.

IF 1
Alican Baris, Esra Circi, Emre Ozmen, Hazal Izol Ozmen, Serdar Yuksel, Ozan Beytemur
{"title":"The dose-dependent effect of tranexamic acid on epidural fibrosis after laminectomy: an experimental study on rats.","authors":"Alican Baris, Esra Circi, Emre Ozmen, Hazal Izol Ozmen, Serdar Yuksel, Ozan Beytemur","doi":"10.5152/j.aott.2025.24108","DOIUrl":null,"url":null,"abstract":"<p><p>Objective: This study aimed to evaluate the dose-dependent efficacy of tranexamic acid (TXA) in preventing epidural fibrosis in a rat laminectomy model and explore its potential as a therapeutic intervention for postoperative fibrosis in spinal surgery. Methods: In this experimental animal study, 32 female Wistar-Albino rats were randomized into four groups (control, 10 mg/kg TXA, 30 mg/kg TXA, and 100 mg/kg TXA; n=8 per group). Following a standardized laminectomy procedure, TXA was administered intravenously as a loading dose through the tail vein prior to surgery. The rats were sacrificed at the 4th-week post-surgery, the lumbar vertebrae were excised en bloc, and epidural fibrosis, inflammatory cell density, and fibroblast density were assessed histologically. Results: High-dose TXA (100 mg/kg) significantly reduced epidural fibrosis compared to the control (p=0.004), 10 mg/kg (p=0.002), and 30 mg/kg TXA groups (p=0.03). While the 30 mg/kg group showed lower epidural fibrosis grades compared to the control, the difference was not statistically significant. No significant differences were observed in inflammatory or fibroblast densities across groups. Conclusion: High-dose TXA (100 mg/kg) effectively reduced epidural fibrosis in a dose-dependent manner, demonstrating potential as a systemic therapeutic option to improve postoperative outcomes in spinal surgery.</p>","PeriodicalId":93854,"journal":{"name":"Acta orthopaedica et traumatologica turcica","volume":"59 2","pages":"105-110"},"PeriodicalIF":1.0000,"publicationDate":"2025-04-29","publicationTypes":"Journal Article","fieldsOfStudy":null,"isOpenAccess":false,"openAccessPdf":"https://www.ncbi.nlm.nih.gov/pmc/articles/PMC12070422/pdf/","citationCount":"0","resultStr":null,"platform":"Semanticscholar","paperid":null,"PeriodicalName":"Acta orthopaedica et traumatologica turcica","FirstCategoryId":"1085","ListUrlMain":"https://doi.org/10.5152/j.aott.2025.24108","RegionNum":0,"RegionCategory":null,"ArticlePicture":[],"TitleCN":null,"AbstractTextCN":null,"PMCID":null,"EPubDate":"","PubModel":"","JCR":"","JCRName":"","Score":null,"Total":0}
引用次数: 0

Abstract

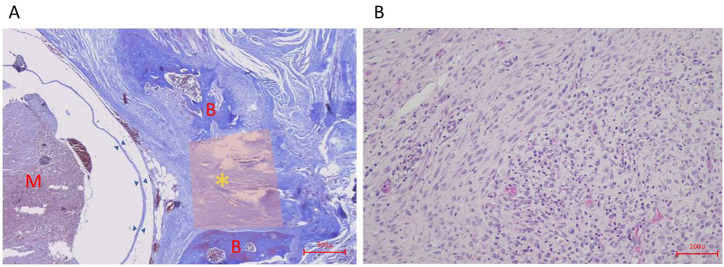
Objective: This study aimed to evaluate the dose-dependent efficacy of tranexamic acid (TXA) in preventing epidural fibrosis in a rat laminectomy model and explore its potential as a therapeutic intervention for postoperative fibrosis in spinal surgery. Methods: In this experimental animal study, 32 female Wistar-Albino rats were randomized into four groups (control, 10 mg/kg TXA, 30 mg/kg TXA, and 100 mg/kg TXA; n=8 per group). Following a standardized laminectomy procedure, TXA was administered intravenously as a loading dose through the tail vein prior to surgery. The rats were sacrificed at the 4th-week post-surgery, the lumbar vertebrae were excised en bloc, and epidural fibrosis, inflammatory cell density, and fibroblast density were assessed histologically. Results: High-dose TXA (100 mg/kg) significantly reduced epidural fibrosis compared to the control (p=0.004), 10 mg/kg (p=0.002), and 30 mg/kg TXA groups (p=0.03). While the 30 mg/kg group showed lower epidural fibrosis grades compared to the control, the difference was not statistically significant. No significant differences were observed in inflammatory or fibroblast densities across groups. Conclusion: High-dose TXA (100 mg/kg) effectively reduced epidural fibrosis in a dose-dependent manner, demonstrating potential as a systemic therapeutic option to improve postoperative outcomes in spinal surgery.

Abstract Image

Abstract Image

Abstract Image

氨甲环酸对大鼠椎板切除术后硬膜外纤维化的剂量依赖性实验研究。
目的:本研究旨在评估氨甲环酸(TXA)在大鼠椎板切除术模型中预防硬膜外纤维化的剂量依赖性效果,并探讨其作为脊髓手术术后纤维化治疗干预措施的潜力。方法:将32只雌性Wistar-Albino大鼠随机分为4组(对照组、10 mg/kg TXA、30 mg/kg TXA、100 mg/kg TXA);N =8 /组)。在标准化椎板切除术后,术前通过尾静脉静脉给予TXA作为负荷剂量。术后第4周处死大鼠,整体切除腰椎,组织学观察硬膜外纤维化、炎症细胞密度、成纤维细胞密度。结果:与对照组(p=0.004)、10 mg/kg (p=0.002)和30 mg/kg TXA组(p=0.03)相比,高剂量TXA (100 mg/kg)显著减少硬膜外纤维化。虽然与对照组相比,30 mg/kg组的硬膜外纤维化等级较低,但差异无统计学意义。各组间炎症细胞或成纤维细胞密度无显著差异。结论:大剂量TXA (100 mg/kg)以剂量依赖的方式有效减少硬膜外纤维化,显示出作为改善脊柱手术术后预后的全身治疗选择的潜力。
本文章由计算机程序翻译,如有差异,请以英文原文为准。
求助全文
约1分钟内获得全文 求助全文
来源期刊
自引率
0.00%
发文量
0
×
引用
GB/T 7714-2015
复制
MLA
复制
APA
复制
导出至
BibTeX EndNote RefMan NoteFirst NoteExpress
×
提示
您的信息不完整,为了账户安全,请先补充。
现在去补充
×
提示
您因"违规操作"
具体请查看互助需知
我知道了
×
提示
确定
请完成安全验证×
copy
已复制链接
快去分享给好友吧!
我知道了
右上角分享
点击右上角分享
0
联系我们:info@booksci.cn Book学术提供免费学术资源搜索服务,方便国内外学者检索中英文文献。致力于提供最便捷和优质的服务体验。 Copyright © 2023 布克学术 All rights reserved.
京ICP备2023020795号-1
ghs 京公网安备 11010802042870号
Book学术文献互助
Book学术文献互助群
群 号:604180095
Book学术官方微信