Fibrothecoma of the Ovary; Clinical and Imaging Characteristics.

IF 1.8 Q3 OBSTETRICS & GYNECOLOGY
Women's health reports (New Rochelle, N.Y.) Pub Date : 2025-03-25 eCollection Date: 2025-01-01 DOI:10.1089/whr.2024.0153
Gehad Ahmad Saleh, Omar Hamdy, Dina Ragab, Bassante Farouk, Mennatalla Mahmoud Allam, Rawan Abo Asy, Fatmaelzahraa A Denewar, Mohamed Ezat
{"title":"Fibrothecoma of the Ovary; Clinical and Imaging Characteristics.","authors":"Gehad Ahmad Saleh, Omar Hamdy, Dina Ragab, Bassante Farouk, Mennatalla Mahmoud Allam, Rawan Abo Asy, Fatmaelzahraa A Denewar, Mohamed Ezat","doi":"10.1089/whr.2024.0153","DOIUrl":null,"url":null,"abstract":"<p><strong>Introduction: </strong>Ovarian fibrothecoma is a rare benign sex cord-stromal ovarian tumor sorted under the thecoma-fibroma group. We present an analysis of clinical and laboratory findings and the radiological characteristic features of pathologically proven fibrothecomas in variable imaging modalities.</p><p><strong>Methods: </strong>A retrospective analysis was done for 88 patients with 90 pathologically proven ovarian fibrothecoma between January 2011 and December 2023 from our center's prospectively maintained database. All the patients underwent preoperative ultrasonography, computed tomography (CT), and magnetic resonance imaging (MRI) scans, clinical examinations, basic laboratory tests, and tumor markers.</p><p><strong>Results: </strong>The results of Spearman's correlation revealed a statistically significant positive correlation between the largest tumor diameter and serum level. CA 125, the degree of ascites, and diffusion weighted imaging (DWI) signal intensity while the results of point biserial correlation revealed a statistically significant correlation of the largest tumor diameter with the presence of ascites, cystic changes, abdominal enlargement, surgery type, and border type. There were also statistically significantly higher hypoechoic lesions in the smaller tumor group (<i>p</i> = 0.001) but not for isoechoic (<i>p</i> = 0.099) and mixed (<i>p</i> = 0.052). Regarding the MRI, there was a statistically significantly larger tumor diameter in T2 mixed-hyperintense versus hypointense (<i>p</i> = 0.007) and intermediate (<i>p</i> = 0.010) signal intensities.</p><p><strong>Conclusion: </strong>Fibrothecoma showed a statistically significant positive correlation between the largest tumor diameter with serum level CA 125 and the amount of ascites. On imaging, it shows mild enhancement in both CT and MRI, with a statistically significant positive correlation of the largest tumor diameter with T2 and DWI signal intensity.</p>","PeriodicalId":75329,"journal":{"name":"Women's health reports (New Rochelle, N.Y.)","volume":"6 1","pages":"315-324"},"PeriodicalIF":1.8000,"publicationDate":"2025-03-25","publicationTypes":"Journal Article","fieldsOfStudy":null,"isOpenAccess":false,"openAccessPdf":"https://www.ncbi.nlm.nih.gov/pmc/articles/PMC12040543/pdf/","citationCount":"0","resultStr":null,"platform":"Semanticscholar","paperid":null,"PeriodicalName":"Women's health reports (New Rochelle, N.Y.)","FirstCategoryId":"1085","ListUrlMain":"https://doi.org/10.1089/whr.2024.0153","RegionNum":0,"RegionCategory":null,"ArticlePicture":[],"TitleCN":null,"AbstractTextCN":null,"PMCID":null,"EPubDate":"2025/1/1 0:00:00","PubModel":"eCollection","JCR":"Q3","JCRName":"OBSTETRICS & GYNECOLOGY","Score":null,"Total":0}
引用次数: 0

Abstract

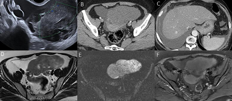
Introduction: Ovarian fibrothecoma is a rare benign sex cord-stromal ovarian tumor sorted under the thecoma-fibroma group. We present an analysis of clinical and laboratory findings and the radiological characteristic features of pathologically proven fibrothecomas in variable imaging modalities.

Methods: A retrospective analysis was done for 88 patients with 90 pathologically proven ovarian fibrothecoma between January 2011 and December 2023 from our center's prospectively maintained database. All the patients underwent preoperative ultrasonography, computed tomography (CT), and magnetic resonance imaging (MRI) scans, clinical examinations, basic laboratory tests, and tumor markers.

Results: The results of Spearman's correlation revealed a statistically significant positive correlation between the largest tumor diameter and serum level. CA 125, the degree of ascites, and diffusion weighted imaging (DWI) signal intensity while the results of point biserial correlation revealed a statistically significant correlation of the largest tumor diameter with the presence of ascites, cystic changes, abdominal enlargement, surgery type, and border type. There were also statistically significantly higher hypoechoic lesions in the smaller tumor group (p = 0.001) but not for isoechoic (p = 0.099) and mixed (p = 0.052). Regarding the MRI, there was a statistically significantly larger tumor diameter in T2 mixed-hyperintense versus hypointense (p = 0.007) and intermediate (p = 0.010) signal intensities.

Conclusion: Fibrothecoma showed a statistically significant positive correlation between the largest tumor diameter with serum level CA 125 and the amount of ascites. On imaging, it shows mild enhancement in both CT and MRI, with a statistically significant positive correlation of the largest tumor diameter with T2 and DWI signal intensity.

Abstract Image

Abstract Image

卵巢纤维膜瘤;临床及影像学特征。
简介:卵巢纤维鞘瘤是一种罕见的良性卵巢性索间质肿瘤,属于纤维瘤组。我们提出的临床和实验室结果的分析和病理证实纤维囊肿瘤的放射学特征在不同的成像方式。方法:回顾性分析2011年1月至2023年12月来自本中心前瞻性维护数据库的88例90例病理证实的卵巢纤维鞘瘤患者。所有患者术前均行超声检查、计算机断层扫描(CT)、磁共振成像(MRI)、临床检查、基础实验室检查和肿瘤标志物检查。结果:Spearman相关结果显示最大肿瘤直径与血清水平呈正相关,具有统计学意义。ca125、腹水程度、DWI信号强度,点双列相关结果显示最大肿瘤直径与腹水存在、囊性改变、腹部增大、手术类型、边界类型相关均有统计学意义。小肿瘤组低回声病变发生率也有统计学意义(p = 0.001),而等回声组(p = 0.099)和混合组(p = 0.052)无统计学意义(p = 0.052)。MRI方面,T2混合高信号强度比低信号强度(p = 0.007)和中间信号强度(p = 0.010)肿瘤直径更大,具有统计学意义。结论:纤维鞘瘤最大肿瘤直径与血清ca125水平、腹水量呈正相关,有统计学意义。影像学上CT、MRI均轻度强化,最大肿瘤直径与T2、DWI信号强度呈正相关,有统计学意义。
本文章由计算机程序翻译,如有差异,请以英文原文为准。
求助全文
约1分钟内获得全文 求助全文
来源期刊
CiteScore
1.30
自引率
0.00%
发文量
0
审稿时长
18 weeks
×
引用
GB/T 7714-2015
复制
MLA
复制
APA
复制
导出至
BibTeX EndNote RefMan NoteFirst NoteExpress
×
提示
您的信息不完整,为了账户安全,请先补充。
现在去补充
×
提示
您因"违规操作"
具体请查看互助需知
我知道了
×
提示
确定
请完成安全验证×
copy
已复制链接
快去分享给好友吧!
我知道了
右上角分享
点击右上角分享
0
联系我们:info@booksci.cn Book学术提供免费学术资源搜索服务,方便国内外学者检索中英文文献。致力于提供最便捷和优质的服务体验。 Copyright © 2023 布克学术 All rights reserved.
京ICP备2023020795号-1
ghs 京公网安备 11010802042870号
Book学术文献互助
Book学术文献互助群
群 号:604180095
Book学术官方微信