Optimal graft choices for tibial plateau fractures with joint depression.

IF 1.9 Q2 ORTHOPEDICS
Umut Oktem, Ozgur Selim Uysal, Muhammed Cihan Dastan, Mustafa Bulut, Ibrahim Bozkurt, Izzet Bingol, Durmus Ali Ocguder
{"title":"Optimal graft choices for tibial plateau fractures with joint depression.","authors":"Umut Oktem, Ozgur Selim Uysal, Muhammed Cihan Dastan, Mustafa Bulut, Ibrahim Bozkurt, Izzet Bingol, Durmus Ali Ocguder","doi":"10.52312/jdrs.2025.2077","DOIUrl":null,"url":null,"abstract":"<p><strong>Objectives: </strong>This study aims to provide insight into the advantages and disadvantages of autograft and synthetic graft use in the surgical treatment of tibial plateau fractures with joint depression by comparing the clinical and radiological outcomes of both graft types.</p><p><strong>Patients and methods: </strong>Between February 2019 and September 2022, a total of 51 patients (23 males, 28 females; mean age: 45.3±13.5 years; range, 20 to 69 years) who underwent surgical treatment for Schatzker type 2 and type 3 tibial plateau fractures in our clinic were retrospectively analyzed. The patients were divided into two groups; 30 patients received autografts and 21 received tricalcium phosphate synthetic grafts. Demographic data, graft type, fracture classification, preoperative joint depression, body mass index (BMI), and smoking status were recorded. Postoperative evaluations included Lysholm and Visual Analog Scale (VAS) scores at two years.</p><p><strong>Results: </strong>Similar clinical and radiological outcomes were observed in both graft groups in the short term (p>0.05). Smoking had a negative effect on graft stability, with a significantly higher postoperative depression rate in smokers (p=0.026). Patients with a BMI above 30 kg/m<sup>2</sup> also showed higher rates of postoperative depression (p=0.004). Clinical outcomes were worse in patients with joint depression compared to those without depression (p=0.003).</p><p><strong>Conclusion: </strong>Autografts and synthetic grafts show similar efficacy in the mid-term treatment of tibial plateau fractures. High BMI and smoking may be associated with potential joint depression and worse clinical outcomes in the postoperative period.</p>","PeriodicalId":73560,"journal":{"name":"Joint diseases and related surgery","volume":"36 2","pages":"259-265"},"PeriodicalIF":1.9000,"publicationDate":"2025-04-05","publicationTypes":"Journal Article","fieldsOfStudy":null,"isOpenAccess":false,"openAccessPdf":"https://www.ncbi.nlm.nih.gov/pmc/articles/PMC12086484/pdf/","citationCount":"0","resultStr":null,"platform":"Semanticscholar","paperid":null,"PeriodicalName":"Joint diseases and related surgery","FirstCategoryId":"1085","ListUrlMain":"https://doi.org/10.52312/jdrs.2025.2077","RegionNum":0,"RegionCategory":null,"ArticlePicture":[],"TitleCN":null,"AbstractTextCN":null,"PMCID":null,"EPubDate":"","PubModel":"","JCR":"Q2","JCRName":"ORTHOPEDICS","Score":null,"Total":0}
引用次数: 0

Abstract

Objectives: This study aims to provide insight into the advantages and disadvantages of autograft and synthetic graft use in the surgical treatment of tibial plateau fractures with joint depression by comparing the clinical and radiological outcomes of both graft types.

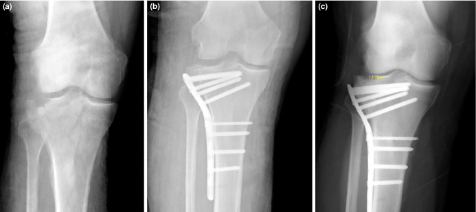
Patients and methods: Between February 2019 and September 2022, a total of 51 patients (23 males, 28 females; mean age: 45.3±13.5 years; range, 20 to 69 years) who underwent surgical treatment for Schatzker type 2 and type 3 tibial plateau fractures in our clinic were retrospectively analyzed. The patients were divided into two groups; 30 patients received autografts and 21 received tricalcium phosphate synthetic grafts. Demographic data, graft type, fracture classification, preoperative joint depression, body mass index (BMI), and smoking status were recorded. Postoperative evaluations included Lysholm and Visual Analog Scale (VAS) scores at two years.

Results: Similar clinical and radiological outcomes were observed in both graft groups in the short term (p>0.05). Smoking had a negative effect on graft stability, with a significantly higher postoperative depression rate in smokers (p=0.026). Patients with a BMI above 30 kg/m2 also showed higher rates of postoperative depression (p=0.004). Clinical outcomes were worse in patients with joint depression compared to those without depression (p=0.003).

Conclusion: Autografts and synthetic grafts show similar efficacy in the mid-term treatment of tibial plateau fractures. High BMI and smoking may be associated with potential joint depression and worse clinical outcomes in the postoperative period.

Abstract Image

Abstract Image

胫骨平台骨折伴关节凹陷的最佳植骨选择。
目的:本研究旨在通过比较两种植骨类型的临床和影像学结果,了解自体植骨和合成植骨在胫骨平台骨折伴关节凹陷手术治疗中的优缺点。患者与方法:2019年2月- 2022年9月,共51例患者(男23例,女28例;平均年龄:45.3±13.5岁;回顾性分析我院收治的Schatzker 2型和3型胫骨平台骨折患者。患者分为两组;自体移植物30例,磷酸三钙合成移植物21例。记录患者的人口统计学资料、移植物类型、骨折分型、术前关节凹陷、体重指数(BMI)和吸烟状况。术后评估包括两年时的Lysholm和视觉模拟量表(VAS)评分。结果:两组短期临床及影像学结果相近(p < 0.05)。吸烟对移植物稳定性有负面影响,吸烟者术后抑郁率明显高于吸烟者(p=0.026)。BMI高于30 kg/m2的患者术后抑郁率也较高(p=0.004)。关节抑郁患者的临床结果较无抑郁患者差(p=0.003)。结论:自体骨移植与人工骨移植中期治疗胫骨平台骨折疗效相近。高BMI和吸烟可能与潜在的关节抑郁和术后较差的临床结果有关。
本文章由计算机程序翻译,如有差异,请以英文原文为准。
求助全文
约1分钟内获得全文 求助全文
来源期刊
CiteScore
2.50
自引率
0.00%
发文量
0
×
引用
GB/T 7714-2015
复制
MLA
复制
APA
复制
导出至
BibTeX EndNote RefMan NoteFirst NoteExpress
×
提示
您的信息不完整,为了账户安全,请先补充。
现在去补充
×
提示
您因"违规操作"
具体请查看互助需知
我知道了
×
提示
确定
请完成安全验证×
copy
已复制链接
快去分享给好友吧!
我知道了
右上角分享
点击右上角分享
0
联系我们:info@booksci.cn Book学术提供免费学术资源搜索服务,方便国内外学者检索中英文文献。致力于提供最便捷和优质的服务体验。 Copyright © 2023 布克学术 All rights reserved.
京ICP备2023020795号-1
ghs 京公网安备 11010802042870号
Book学术文献互助
Book学术文献互助群
群 号:604180095
Book学术官方微信