Extraction of a Broken PRECICE Bone Transport System: A Case Report and Technique for Residual Limb Salvage.

IF 1.3 Q3 ORTHOPEDICS
Jack Legler, Simon Martel, Pascal Mailhot, Mitchell Bernstein
{"title":"Extraction of a Broken PRECICE Bone Transport System: A Case Report and Technique for Residual Limb Salvage.","authors":"Jack Legler, Simon Martel, Pascal Mailhot, Mitchell Bernstein","doi":"10.5005/jp-journals-10080-1629","DOIUrl":null,"url":null,"abstract":"<p><strong>Aim: </strong>To describe a surgical technique for the safe removal of a broken non-cannulated PRECICE bone transport nail (NuVasive Specialized Orthopedics) without compromising limb reconstruction.</p><p><strong>Background: </strong>The removal of broken non-cannulated intramedullary lengthening nails (IMLNs) is challenging. Few techniques have been described for the safe removal of these devices without compromising bone salvage.</p><p><strong>Case description: </strong>A 42-year-old male presented for complex right tibia reconstruction following a type IIIB open tibia fracture with a 92-mm bone defect. The bone defect was initially managed with an all-internal bone transport nail system (PRECICE bone transport). At the 13-month follow-up, the patient presented with a broken lengthening nail, varus limb deformity, and nonunion at the docking site. The nail components were extracted sequentially, and a burr hole was created in the distal segment of the nail through the nonunion site to facilitate removal. The residual varus deformity and tibial shaft nonunion were managed with a hexapod frame.</p><p><strong>Conclusion: </strong>The IMLN was successfully removed without compromising limb reconstruction. By sequentially removing the components of the nail and altering the distal portion of the implant through the nonunion site, safe removal of the implant without further bone loss was achieved.</p><p><strong>Clinical significance: </strong>This report describes an efficient technique for the removal of broken non-cannulated IMLNs when extractors are not available.</p><p><strong>How to cite this article: </strong>Legler J, Martel S, Mailhot P, <i>et al</i>. Extraction of a Broken PRECICE Bone Transport System: A Case Report and Technique for Residual Limb Salvage. Strategies Trauma Limb Reconstr 2024;19(3):171-176.</p>","PeriodicalId":21979,"journal":{"name":"Strategies in Trauma and Limb Reconstruction","volume":"19 3","pages":"171-176"},"PeriodicalIF":1.3000,"publicationDate":"2024-09-01","publicationTypes":"Journal Article","fieldsOfStudy":null,"isOpenAccess":false,"openAccessPdf":"https://www.ncbi.nlm.nih.gov/pmc/articles/PMC11982904/pdf/","citationCount":"0","resultStr":null,"platform":"Semanticscholar","paperid":null,"PeriodicalName":"Strategies in Trauma and Limb Reconstruction","FirstCategoryId":"1085","ListUrlMain":"https://doi.org/10.5005/jp-journals-10080-1629","RegionNum":0,"RegionCategory":null,"ArticlePicture":[],"TitleCN":null,"AbstractTextCN":null,"PMCID":null,"EPubDate":"2025/3/20 0:00:00","PubModel":"Epub","JCR":"Q3","JCRName":"ORTHOPEDICS","Score":null,"Total":0}
引用次数: 0

Abstract

Aim: To describe a surgical technique for the safe removal of a broken non-cannulated PRECICE bone transport nail (NuVasive Specialized Orthopedics) without compromising limb reconstruction.

Background: The removal of broken non-cannulated intramedullary lengthening nails (IMLNs) is challenging. Few techniques have been described for the safe removal of these devices without compromising bone salvage.

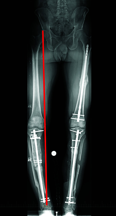
Case description: A 42-year-old male presented for complex right tibia reconstruction following a type IIIB open tibia fracture with a 92-mm bone defect. The bone defect was initially managed with an all-internal bone transport nail system (PRECICE bone transport). At the 13-month follow-up, the patient presented with a broken lengthening nail, varus limb deformity, and nonunion at the docking site. The nail components were extracted sequentially, and a burr hole was created in the distal segment of the nail through the nonunion site to facilitate removal. The residual varus deformity and tibial shaft nonunion were managed with a hexapod frame.

Conclusion: The IMLN was successfully removed without compromising limb reconstruction. By sequentially removing the components of the nail and altering the distal portion of the implant through the nonunion site, safe removal of the implant without further bone loss was achieved.

Clinical significance: This report describes an efficient technique for the removal of broken non-cannulated IMLNs when extractors are not available.

How to cite this article: Legler J, Martel S, Mailhot P, et al. Extraction of a Broken PRECICE Bone Transport System: A Case Report and Technique for Residual Limb Salvage. Strategies Trauma Limb Reconstr 2024;19(3):171-176.

Abstract Image

Abstract Image

Abstract Image

断裂骨运输系统的提取:残肢保留1例报告及技术。
目的:描述一种在不影响肢体重建的情况下安全移除断裂的非空心PRECICE骨运输钉的手术技术。背景:髓内非空心延长钉(IMLNs)断裂的移除是具有挑战性的。很少有技术被描述为在不影响骨保留的情况下安全移除这些装置。病例描述:一名42岁男性,因IIIB型开放性胫骨骨折伴92毫米骨缺损而行复杂的右胫骨重建。骨缺损最初采用全内骨运输钉系统(PRECICE骨运输)进行治疗。在13个月的随访中,患者出现延长钉骨折、肢体内翻畸形和对接部位不愈合。依次取出甲组件,并在甲的远端段穿过骨不连部位形成一个毛刺孔,以方便取出。残余内翻畸形和胫干不连用六足架处理。结论:在不影响肢体重建的情况下,成功地切除了IMLN。通过依次去除钉的组成部分并通过骨不连部位改变种植体的远端部分,实现了安全的种植体移除,没有进一步的骨质流失。临床意义:本报告描述了一种在没有拔牙器的情况下取出破损的非插管imml的有效技术。如何引用本文:Legler J, Martel S, Mailhot P,等。断裂骨运输系统的提取:残肢保留1例报告及技术。创伤肢体重建[j]; 2009;19(3):171-176。
本文章由计算机程序翻译,如有差异,请以英文原文为准。
求助全文
约1分钟内获得全文 求助全文
来源期刊
Strategies in Trauma and Limb Reconstruction
Strategies in Trauma and Limb Reconstruction Medicine-Orthopedics and Sports Medicine
CiteScore
1.50
自引率
0.00%
发文量
31
期刊介绍: Strategies in Trauma and Limb Reconstruction is dedicated to surgeons, allied medical professionals and researchers in the field of orthopaedics and trauma. The scope of the journal is to discuss the fields of skeletal injury, and the complications thereof, congenital and acquired limb deformities and deficiencies, and orthopaedic-related infection, together with their surgical and non-surgical treatments. The journal publishes original articles, reviews, case reports, descriptions of new or recognised treatment techniques, forum discussions of clinical scenarios and relevant correspondence. It aims to provide a widely accessible source of useful information to practitioners in the field through the problem- or technique-based approach of published articles.
×
引用
GB/T 7714-2015
复制
MLA
复制
APA
复制
导出至
BibTeX EndNote RefMan NoteFirst NoteExpress
×
提示
您的信息不完整,为了账户安全,请先补充。
现在去补充
×
提示
您因"违规操作"
具体请查看互助需知
我知道了
×
提示
确定
请完成安全验证×
copy
已复制链接
快去分享给好友吧!
我知道了
右上角分享
点击右上角分享
0
联系我们:info@booksci.cn Book学术提供免费学术资源搜索服务,方便国内外学者检索中英文文献。致力于提供最便捷和优质的服务体验。 Copyright © 2023 布克学术 All rights reserved.
京ICP备2023020795号-1
ghs 京公网安备 11010802042870号
Book学术文献互助
Book学术文献互助群
群 号:604180095
Book学术官方微信