Recurrent Hypoglycemic Coma Episodes Associated With Primary Biliary Cirrhosis.

JCEM case reports Pub Date : 2025-04-10 eCollection Date: 2025-05-01 DOI:10.1210/jcemcr/luaf030
Yang Liu, Jianbin Xu, Yimei Chen, Lingling Wang, Wen Chen, Jing Shen
{"title":"Recurrent Hypoglycemic Coma Episodes Associated With Primary Biliary Cirrhosis.","authors":"Yang Liu, Jianbin Xu, Yimei Chen, Lingling Wang, Wen Chen, Jing Shen","doi":"10.1210/jcemcr/luaf030","DOIUrl":null,"url":null,"abstract":"<p><p>Primary biliary cholangitis (PBC) is a chronic cholestatic liver disease characterized by interlobular bile duct inflammation, which causes fibrosis and cirrhosis. Few studies have explored the association of hypoglycemia with PBC. In this case, a 76-year-old Chinese man diagnosed with PBC developed recurrent comatose episodes. The patient had severe hypoglycemia and slight abnormalities in liver function tests. In addition, the patient had positive results in antimitochondrial antibody, anti-mitochondrial antibody-subtype 2, centromeric protein B antibody, and antisoluble acidic nuclear protein 100 antibody levels, which led to the diagnosis of PBC. The patient also experienced fasting hypoglycemic coma, requiring thorough evaluation to identify potential causes. This case suggests that liver-derived hypoglycemia associated with PBC may be more common than autoimmune-related hypoglycemia in this context.</p>","PeriodicalId":73540,"journal":{"name":"JCEM case reports","volume":"3 5","pages":"luaf030"},"PeriodicalIF":0.0000,"publicationDate":"2025-04-10","publicationTypes":"Journal Article","fieldsOfStudy":null,"isOpenAccess":false,"openAccessPdf":"https://www.ncbi.nlm.nih.gov/pmc/articles/PMC11982608/pdf/","citationCount":"0","resultStr":null,"platform":"Semanticscholar","paperid":null,"PeriodicalName":"JCEM case reports","FirstCategoryId":"1085","ListUrlMain":"https://doi.org/10.1210/jcemcr/luaf030","RegionNum":0,"RegionCategory":null,"ArticlePicture":[],"TitleCN":null,"AbstractTextCN":null,"PMCID":null,"EPubDate":"2025/5/1 0:00:00","PubModel":"eCollection","JCR":"","JCRName":"","Score":null,"Total":0}
引用次数: 0

Abstract

Primary biliary cholangitis (PBC) is a chronic cholestatic liver disease characterized by interlobular bile duct inflammation, which causes fibrosis and cirrhosis. Few studies have explored the association of hypoglycemia with PBC. In this case, a 76-year-old Chinese man diagnosed with PBC developed recurrent comatose episodes. The patient had severe hypoglycemia and slight abnormalities in liver function tests. In addition, the patient had positive results in antimitochondrial antibody, anti-mitochondrial antibody-subtype 2, centromeric protein B antibody, and antisoluble acidic nuclear protein 100 antibody levels, which led to the diagnosis of PBC. The patient also experienced fasting hypoglycemic coma, requiring thorough evaluation to identify potential causes. This case suggests that liver-derived hypoglycemia associated with PBC may be more common than autoimmune-related hypoglycemia in this context.

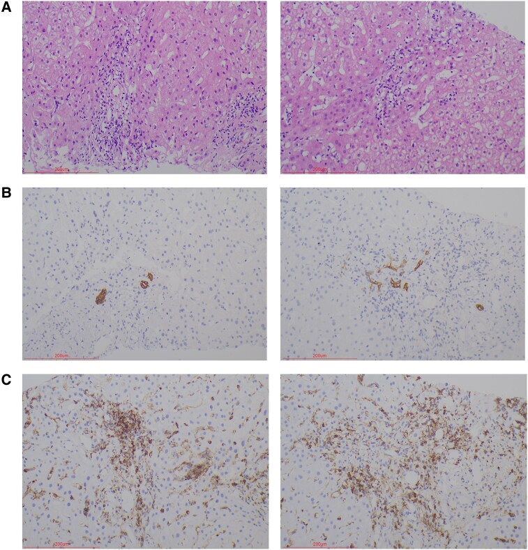
Abstract Image

Abstract Image

Abstract Image

与原发性胆汁性肝硬化相关的反复低血糖昏迷发作。
原发性胆道胆管炎(PBC)是一种以小叶间胆管炎症为特征的慢性胆汁淤积性肝病,可导致纤维化和肝硬化。很少有研究探讨低血糖与PBC的关系。在这个病例中,一名76岁的中国男性被诊断为PBC,出现了反复的昏迷发作。患者有严重低血糖,肝功能检查有轻微异常。此外,患者抗线粒体抗体、抗线粒体抗体亚型2、着丝粒蛋白B抗体、抗可溶性酸性核蛋白100抗体均呈阳性,诊断为PBC。患者还经历过空腹低血糖昏迷,需要彻底评估以确定潜在原因。本病例提示,在这种情况下,肝源性低血糖与PBC相关可能比自身免疫相关的低血糖更常见。
本文章由计算机程序翻译,如有差异,请以英文原文为准。
求助全文
约1分钟内获得全文 求助全文
来源期刊
自引率
0.00%
发文量
0
×
引用
GB/T 7714-2015
复制
MLA
复制
APA
复制
导出至
BibTeX EndNote RefMan NoteFirst NoteExpress
×
提示
您的信息不完整,为了账户安全,请先补充。
现在去补充
×
提示
您因"违规操作"
具体请查看互助需知
我知道了
×
提示
确定
请完成安全验证×
copy
已复制链接
快去分享给好友吧!
我知道了
右上角分享
点击右上角分享
0
联系我们:info@booksci.cn Book学术提供免费学术资源搜索服务,方便国内外学者检索中英文文献。致力于提供最便捷和优质的服务体验。 Copyright © 2023 布克学术 All rights reserved.
京ICP备2023020795号-1
ghs 京公网安备 11010802042870号
Book学术文献互助
Book学术文献互助群
群 号:604180095
Book学术官方微信