The role of radiotherapy planning images in monitoring malnutrition and predicting prognosis in head and neck cancer patients: a pilot study.

IF 3.3 2区 医学 Q2 ONCOLOGY
Beste M Atasoy, Birsen Demirel, Feyza Nur Ekşi Özdaş, Bennur Devran, Zehra Nur Kılıç, Dilek Gül
{"title":"The role of radiotherapy planning images in monitoring malnutrition and predicting prognosis in head and neck cancer patients: a pilot study.","authors":"Beste M Atasoy, Birsen Demirel, Feyza Nur Ekşi Özdaş, Bennur Devran, Zehra Nur Kılıç, Dilek Gül","doi":"10.1186/s13014-025-02645-4","DOIUrl":null,"url":null,"abstract":"<p><strong>Background: </strong>Adaptive treatment planning can be made in radiotherapy of head and neck cancer patients for reasons such as changes in tumor volume or weight loss. This study aims to find the role of treatment planning images in monitoring radiotherapy-induced malnutrition and predicting the malnutrition-induced prognosis in head and neck cancer patients.</p><p><strong>Methods: </strong>For this study, we analyzed 30 patients who received radiotherapy in our clinic between September 2018 and September 2021. Those patients, both regular and completed weekly dietitian counseling notes during radiotherapy and available adaptive radiotherapy planning images, were included in the analysis. All patients had weekly nutritional interventions, including nutritional and anthropometric changes in weight, height, body mass index (BMI), and lean body mass (LBM). Skeletal muscle volume, called cervical muscle gauge (CMG), was measured from the simulation images of beginning and adaptive radiotherapy. Inflammatory parameters, including the neutrophil-lymphocyte ratio (NLR), the platelet-lymphocyte ratio (PLR), and the systemic inflammatory index (SII), were also calculated from weekly total blood counts. For the analysis, anthropometric measurements were compared at the beginning and adaptive treatment time. Progression-free (PFS) and overall (OS) survival were calculated according to weight and CMG changes.</p><p><strong>Results: </strong>The median weight loss percentage was 4.8% (0 to 24%). The mean percentage of weight changes, LBM, and CMG were 6.33%, 3.47%, and 9.28%, respectively. Results indicated that BMI (p = 006), weight (p < 0.001), LBM (p < 0.001), and CMG (p = 0.057) decreased during radiotherapy. Hemoglobin levels decreased (p = 0.005), and inflammatory markers increased. There were significant correlations between weight and LBM (p < 0.0001) and CMG (p = 0.005) loss. The median follow-up was 26 months. Loss of weight (PFS; 65.5% vs. 35.7%, p = 0.09, OS; 73.7% vs. 32.1%, p = 0.09), LBM (PFS; 75% vs. 41.1%, p = 0.118, OS; 65.6% vs. 52%, p = 0.221) and CMG (PFS; 56.3% vs. 47.1%, p = 0.516, OS;76.9% vs. 32.4%, p = 0.059) negatively affected three-year survival.</p><p><strong>Conclusions: </strong>Cervical muscle volume measurement may help predict malnutrition in patients receiving radiotherapy for head and neck cancer. Our study shows adaptive planning images may be used for this approach. In addition, this method may help to predict prognosis due to malnutrition in patients undergoing radiotherapy.</p>","PeriodicalId":49639,"journal":{"name":"Radiation Oncology","volume":"20 1","pages":"70"},"PeriodicalIF":3.3000,"publicationDate":"2025-05-03","publicationTypes":"Journal Article","fieldsOfStudy":null,"isOpenAccess":false,"openAccessPdf":"https://www.ncbi.nlm.nih.gov/pmc/articles/PMC12049786/pdf/","citationCount":"0","resultStr":null,"platform":"Semanticscholar","paperid":null,"PeriodicalName":"Radiation Oncology","FirstCategoryId":"3","ListUrlMain":"https://doi.org/10.1186/s13014-025-02645-4","RegionNum":2,"RegionCategory":"医学","ArticlePicture":[],"TitleCN":null,"AbstractTextCN":null,"PMCID":null,"EPubDate":"","PubModel":"","JCR":"Q2","JCRName":"ONCOLOGY","Score":null,"Total":0}
引用次数: 0

Abstract

Background: Adaptive treatment planning can be made in radiotherapy of head and neck cancer patients for reasons such as changes in tumor volume or weight loss. This study aims to find the role of treatment planning images in monitoring radiotherapy-induced malnutrition and predicting the malnutrition-induced prognosis in head and neck cancer patients.

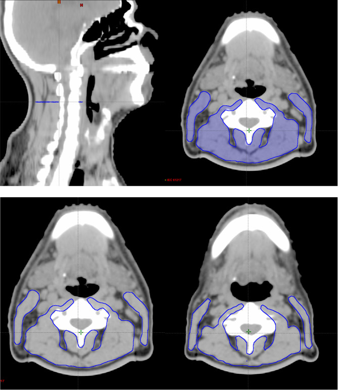
Methods: For this study, we analyzed 30 patients who received radiotherapy in our clinic between September 2018 and September 2021. Those patients, both regular and completed weekly dietitian counseling notes during radiotherapy and available adaptive radiotherapy planning images, were included in the analysis. All patients had weekly nutritional interventions, including nutritional and anthropometric changes in weight, height, body mass index (BMI), and lean body mass (LBM). Skeletal muscle volume, called cervical muscle gauge (CMG), was measured from the simulation images of beginning and adaptive radiotherapy. Inflammatory parameters, including the neutrophil-lymphocyte ratio (NLR), the platelet-lymphocyte ratio (PLR), and the systemic inflammatory index (SII), were also calculated from weekly total blood counts. For the analysis, anthropometric measurements were compared at the beginning and adaptive treatment time. Progression-free (PFS) and overall (OS) survival were calculated according to weight and CMG changes.

Results: The median weight loss percentage was 4.8% (0 to 24%). The mean percentage of weight changes, LBM, and CMG were 6.33%, 3.47%, and 9.28%, respectively. Results indicated that BMI (p = 006), weight (p < 0.001), LBM (p < 0.001), and CMG (p = 0.057) decreased during radiotherapy. Hemoglobin levels decreased (p = 0.005), and inflammatory markers increased. There were significant correlations between weight and LBM (p < 0.0001) and CMG (p = 0.005) loss. The median follow-up was 26 months. Loss of weight (PFS; 65.5% vs. 35.7%, p = 0.09, OS; 73.7% vs. 32.1%, p = 0.09), LBM (PFS; 75% vs. 41.1%, p = 0.118, OS; 65.6% vs. 52%, p = 0.221) and CMG (PFS; 56.3% vs. 47.1%, p = 0.516, OS;76.9% vs. 32.4%, p = 0.059) negatively affected three-year survival.

Conclusions: Cervical muscle volume measurement may help predict malnutrition in patients receiving radiotherapy for head and neck cancer. Our study shows adaptive planning images may be used for this approach. In addition, this method may help to predict prognosis due to malnutrition in patients undergoing radiotherapy.

Abstract Image

Abstract Image

放疗计划图像在监测头颈癌患者营养不良和预测预后中的作用:一项初步研究。
背景:头颈癌患者放疗时由于肿瘤体积变化或体重减轻等原因,可制定适应性治疗方案。本研究旨在探讨治疗计划影像在头颈癌患者放疗性营养不良监测及营养不良预后预测中的作用。方法:在本研究中,我们分析了2018年9月至2021年9月期间在我诊所接受放疗的30例患者。这些患者在放射治疗期间定期完成每周的营养师咨询记录和可用的适应性放射治疗计划图像,均被纳入分析。所有患者每周进行营养干预,包括体重、身高、体重指数(BMI)和瘦体重(LBM)的营养和人体测量变化。骨骼肌体积,称为颈椎肌量(CMG),测量从模拟图像开始和适应放疗。炎症参数,包括中性粒细胞-淋巴细胞比率(NLR)、血小板-淋巴细胞比率(PLR)和全身炎症指数(SII),也从每周总血细胞计数中计算。为了进行分析,比较了开始和适应治疗时的人体测量值。根据体重和CMG变化计算无进展生存期(PFS)和总生存期(OS)。结果:中位减重率为4.8%(0 ~ 24%)。体重变化、LBM和CMG的平均百分比分别为6.33%、3.47%和9.28%。结果显示BMI (p = 006),体重(p = 006)。结论:颈肌体积测量有助于预测头颈癌放疗患者的营养不良。我们的研究表明,自适应规划图像可以用于这种方法。此外,该方法还有助于预测放疗患者因营养不良而导致的预后。
本文章由计算机程序翻译,如有差异,请以英文原文为准。
求助全文
约1分钟内获得全文 求助全文
来源期刊
Radiation Oncology
Radiation Oncology ONCOLOGY-RADIOLOGY, NUCLEAR MEDICINE & MEDICAL IMAGING
CiteScore
6.50
自引率
2.80%
发文量
181
审稿时长
3-6 weeks
期刊介绍: Radiation Oncology encompasses all aspects of research that impacts on the treatment of cancer using radiation. It publishes findings in molecular and cellular radiation biology, radiation physics, radiation technology, and clinical oncology.
×
引用
GB/T 7714-2015
复制
MLA
复制
APA
复制
导出至
BibTeX EndNote RefMan NoteFirst NoteExpress
×
提示
您的信息不完整,为了账户安全,请先补充。
现在去补充
×
提示
您因"违规操作"
具体请查看互助需知
我知道了
×
提示
确定
请完成安全验证×
copy
已复制链接
快去分享给好友吧!
我知道了
右上角分享
点击右上角分享
0
联系我们:info@booksci.cn Book学术提供免费学术资源搜索服务,方便国内外学者检索中英文文献。致力于提供最便捷和优质的服务体验。 Copyright © 2023 布克学术 All rights reserved.
京ICP备2023020795号-1
ghs 京公网安备 11010802042870号
Book学术文献互助
Book学术文献互助群
群 号:604180095
Book学术官方微信