Endovascular management of acute superior mesenteric vein thrombosis: a retrospective study on thrombolysis outcomes.

IF 1.5 Q3 CARDIAC & CARDIOVASCULAR SYSTEMS
Nan Wei, René Michael Mathy, De-Hua Chang, Martin Loos, Uta Merle, Annika Gauss, Monica Boxberger, Philipp Mayer, Miriam Klauss, Hans-Ulrich Kauczor, Osman Öcal, Mark O Wielpütz
{"title":"Endovascular management of acute superior mesenteric vein thrombosis: a retrospective study on thrombolysis outcomes.","authors":"Nan Wei, René Michael Mathy, De-Hua Chang, Martin Loos, Uta Merle, Annika Gauss, Monica Boxberger, Philipp Mayer, Miriam Klauss, Hans-Ulrich Kauczor, Osman Öcal, Mark O Wielpütz","doi":"10.1186/s42155-025-00558-7","DOIUrl":null,"url":null,"abstract":"<p><strong>Background: </strong>Acute superior mesenteric vein thrombosis (ASMVT) is a rare but life-threatening condition associated with high morbidity and mortality. While anticoagulation remains the standard treatment, endovascular therapies such as thrombolysis, thrombectomy, and angioplasty are increasingly utilized in selected cases. However, evidence on their outcomes remains limited. This study retrospectively reports the clinical outcomes of ASMVT patients treated with endovascular combination therapies.</p><p><strong>Methods: </strong>Between August 2019 and May 2024, 12 patients (males = 9; mean age, 52.33 ± 12.51 years) were diagnosed with ASMVT. The study collected comprehensive data on demographic details, presenting symptoms, etiology, treatment modalities, response to treatment, and follow-up outcomes. Computed Tomography (CT) was available from diagnosis, and an average of 6.3 CT scans with a median follow-up of 3 months (IQR: 2-20 months).</p><p><strong>Results: </strong>The average time from symptom onset to angiographic treatment initiation was 8.0 ± 4.71 days, preceded by anticoagulation with heparin from the time of diagnosis. Patients were treated with combination therapy involving endovascular thrombolysis, rheolytic thrombectomy, and balloon angioplasty via transjugular (n = 9, 75%) or percutaneous (n = 3, 25%) approaches. Thrombolysis was performed with an average recombinant tissue plasminogen activator (rt-PA) infusion duration of 2.75 ± 1.14 days and a total dose of 61.25 ± 18.48 mg rt-PA. Superior mesenteric vein (SMV) flow was initially restored almost completely in 58.3% and partially in 41.7% of patients. Complications observed were hepatic artery bleeding (n = 2, 16.7%), hepatic arteriovenous fistula (n = 1, 8.3%), hepatic parenchymal bleeding (n = 1, 8.3%), melena (n = 1, 8.3%), and nostril bleeding (n = 1, 8.3%). Two patients experienced worsening symptoms of post-intervention, leading to bowel resection revealing intestinal necrosis. SMV patency was almost complete in 25%, and partially in 25% of patients at follow-up.</p><p><strong>Conclusion: </strong>Endovascular combination therapy with long-term thrombolysis and thrombectomy in patients with ASMVT demonstrated promising technical outcomes. In view of complications, individual indication for intervention needs to be confirmed in a multidisciplinary team.</p>","PeriodicalId":52351,"journal":{"name":"CVIR Endovascular","volume":"8 1","pages":"41"},"PeriodicalIF":1.5000,"publicationDate":"2025-05-14","publicationTypes":"Journal Article","fieldsOfStudy":null,"isOpenAccess":false,"openAccessPdf":"https://www.ncbi.nlm.nih.gov/pmc/articles/PMC12078909/pdf/","citationCount":"0","resultStr":null,"platform":"Semanticscholar","paperid":null,"PeriodicalName":"CVIR Endovascular","FirstCategoryId":"1085","ListUrlMain":"https://doi.org/10.1186/s42155-025-00558-7","RegionNum":0,"RegionCategory":null,"ArticlePicture":[],"TitleCN":null,"AbstractTextCN":null,"PMCID":null,"EPubDate":"","PubModel":"","JCR":"Q3","JCRName":"CARDIAC & CARDIOVASCULAR SYSTEMS","Score":null,"Total":0}
引用次数: 0

Abstract

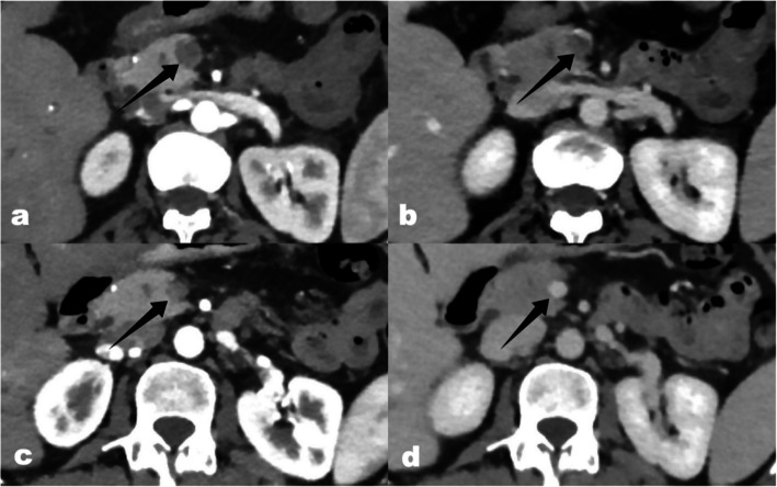
Background: Acute superior mesenteric vein thrombosis (ASMVT) is a rare but life-threatening condition associated with high morbidity and mortality. While anticoagulation remains the standard treatment, endovascular therapies such as thrombolysis, thrombectomy, and angioplasty are increasingly utilized in selected cases. However, evidence on their outcomes remains limited. This study retrospectively reports the clinical outcomes of ASMVT patients treated with endovascular combination therapies.

Methods: Between August 2019 and May 2024, 12 patients (males = 9; mean age, 52.33 ± 12.51 years) were diagnosed with ASMVT. The study collected comprehensive data on demographic details, presenting symptoms, etiology, treatment modalities, response to treatment, and follow-up outcomes. Computed Tomography (CT) was available from diagnosis, and an average of 6.3 CT scans with a median follow-up of 3 months (IQR: 2-20 months).

Results: The average time from symptom onset to angiographic treatment initiation was 8.0 ± 4.71 days, preceded by anticoagulation with heparin from the time of diagnosis. Patients were treated with combination therapy involving endovascular thrombolysis, rheolytic thrombectomy, and balloon angioplasty via transjugular (n = 9, 75%) or percutaneous (n = 3, 25%) approaches. Thrombolysis was performed with an average recombinant tissue plasminogen activator (rt-PA) infusion duration of 2.75 ± 1.14 days and a total dose of 61.25 ± 18.48 mg rt-PA. Superior mesenteric vein (SMV) flow was initially restored almost completely in 58.3% and partially in 41.7% of patients. Complications observed were hepatic artery bleeding (n = 2, 16.7%), hepatic arteriovenous fistula (n = 1, 8.3%), hepatic parenchymal bleeding (n = 1, 8.3%), melena (n = 1, 8.3%), and nostril bleeding (n = 1, 8.3%). Two patients experienced worsening symptoms of post-intervention, leading to bowel resection revealing intestinal necrosis. SMV patency was almost complete in 25%, and partially in 25% of patients at follow-up.

Conclusion: Endovascular combination therapy with long-term thrombolysis and thrombectomy in patients with ASMVT demonstrated promising technical outcomes. In view of complications, individual indication for intervention needs to be confirmed in a multidisciplinary team.

Abstract Image

Abstract Image

Abstract Image

急性肠系膜上静脉血栓形成的血管内治疗:溶栓结果的回顾性研究。
背景:急性肠系膜上静脉血栓形成(ASMVT)是一种罕见但危及生命的疾病,具有很高的发病率和死亡率。虽然抗凝仍然是标准的治疗方法,但在一些特定的病例中,血管内治疗如溶栓、取栓和血管成形术越来越多地被使用。然而,关于其结果的证据仍然有限。本研究回顾性报道血管内联合治疗ASMVT患者的临床结果。方法:2019年8月~ 2024年5月,12例患者(男9例;平均年龄(52.33±12.51岁)。该研究收集了人口学细节、表现症状、病因、治疗方式、治疗反应和随访结果的综合数据。诊断后进行CT扫描,平均6.3次CT扫描,中位随访3个月(IQR: 2-20个月)。结果:从症状出现到开始血管造影治疗的平均时间为8.0±4.71 d,从诊断开始使用肝素抗凝。患者接受联合治疗,包括血管内溶栓、溶栓和经颈静脉(n = 9,75%)或经皮(n = 3,25%)的球囊血管成形术。重组组织型纤溶酶原激活剂(rt-PA)平均输注时间为2.75±1.14 d,总剂量为61.25±18.48 mg。58.3%的患者几乎完全恢复肠系膜上静脉(SMV)血流,41.7%的患者部分恢复。并发症为肝动脉出血(n = 2, 16.7%)、肝动静脉瘘(n = 1, 8.3%)、肝实质出血(n = 1, 8.3%)、黑黑(n = 1, 8.3%)、鼻孔出血(n = 1, 8.3%)。2例患者干预后症状恶化,导致肠切除术发现肠坏死。在随访中,25%的患者SMV几乎完全通畅,25%的患者部分通畅。结论:血管内联合长期溶栓和取栓治疗ASMVT具有良好的技术效果。鉴于并发症的存在,个体的干预适应证需要在多学科团队中确认。
本文章由计算机程序翻译,如有差异,请以英文原文为准。
求助全文
约1分钟内获得全文 求助全文
来源期刊
CVIR Endovascular
CVIR Endovascular Medicine-Radiology, Nuclear Medicine and Imaging
CiteScore
2.30
自引率
0.00%
发文量
59
×
引用
GB/T 7714-2015
复制
MLA
复制
APA
复制
导出至
BibTeX EndNote RefMan NoteFirst NoteExpress
×
提示
您的信息不完整,为了账户安全,请先补充。
现在去补充
×
提示
您因"违规操作"
具体请查看互助需知
我知道了
×
提示
确定
请完成安全验证×
copy
已复制链接
快去分享给好友吧!
我知道了
右上角分享
点击右上角分享
0
联系我们:info@booksci.cn Book学术提供免费学术资源搜索服务,方便国内外学者检索中英文文献。致力于提供最便捷和优质的服务体验。 Copyright © 2023 布克学术 All rights reserved.
京ICP备2023020795号-1
ghs 京公网安备 11010802042870号
Book学术文献互助
Book学术文献互助群
群 号:604180095
Book学术官方微信