Double-level knee valgization osteotomy has high survivorship and a low complication rate in a single-center series of 58 cases with a mean clinical follow-up of 10 years.

IF 4.4 Q2 Medicine
Ahmed Mabrouk, Michael Risebury, Sam Yasen
{"title":"Double-level knee valgization osteotomy has high survivorship and a low complication rate in a single-center series of 58 cases with a mean clinical follow-up of 10 years.","authors":"Ahmed Mabrouk, Michael Risebury, Sam Yasen","doi":"10.1186/s43019-025-00271-8","DOIUrl":null,"url":null,"abstract":"<p><strong>Background: </strong>Double-level knee osteotomy (DLO) is becoming more popular in bifocal (femur and tibia deformities) as it addresses the deformity where it belongs and results in a more physiologic joint line obliquity. This study reports on the early to midterm outcomes, both clinical and radiological, of valgization DLO for varus knees and the first study to report the 10-year survivorship of this procedure.</p><p><strong>Methods: </strong>A retrospective review of a prospectively maintained single-center database of 1170 knee osteotomies was undertaken. Patients with bifocal (femur and tibia) varus malalignment and isolated medial compartment osteoarthritis who had DLO corrections [high tibial osteotomy (HTO) and distal femoral osteotomy (DFO)] were included. Multiple patient-reported outcome measures (PROMs) were recorded preoperatively and serially postoperatively. This included the Knee Injury and Osteoarthritis Outcome Score, the Oxford Knee Score, the Oxford Knee Score-Activity and Participation Questionnaire, the Western Ontario and McMaster University Score, the visual analog scale for health and pain, and the EQ-5D. EQ-5D stands for EuroQol 5-dimension. It is a standardized instrument for measuring health-related quality of life (HRQoL). All lower limb alignment indices were recorded pre-and postoperatively. The rates of osteotomy revision, conversion to arthroplasty, complications, and both 8- and 10-year survivorship were recorded.</p><p><strong>Results: </strong>A total of 58 valgization DLO cases were followed up to a mean of 10.8 ± 3 years. This comprised 74.1% males and 25.9% females, with a mean age of 47.9 ± 9.8 years and a mean body mass index (BMI) of 31.5 ± 6.3 kg/m<sup>2</sup>. The mean planned correction angles for HTO and DFO were 7.7° ± 2.7° and 7.7° ± 3°, respectively. Postoperatively, the mean mechanical tibiofemoral angle improved from -12.7° ± 3.9° (varus) to -0.4° ± 3.4° (i.e., centered around mechanical neutral), the mean medial proximal tibial angle improved from preoperative 84.3 ± 3.2° to postoperative 90° ± 2.5°, the mean mechanical lateral distal femoral angle improved from preoperative 91.6° ± 3.4° to postoperative 86.7° ± 2.5°, and the mean Mikulicz point improved from -5 ± 13.4% to 47.7 ± 14.7% (all p-values < 0.001). All PROMs significantly improved at 24 months follow-up (all p values < 0.001). The rate of osteotomy revision was 3.4%. The overall rate of total knee arthroplasty conversion was 5.2% at an average of 5.9 ± 3.1 years postoperatively. The complication rate was 8.6%. The 8- and 10-year survivorship was 97.1%, and 94.4%, respectively.</p><p><strong>Conclusions: </strong>In this single-center series evaluating patients with varus knees and bifocal deformities, valgization double-level knee osteotomy (DLO) demonstrated favorable clinical outcomes, accompanied by a low complication rate of 8.6% and a 10-year survivorship of 94.4%. Radiographic findings from available imaging data were positive, although long-term imaging was not consistently obtained. Level of evidence IV retrospective cohort study.</p>","PeriodicalId":36317,"journal":{"name":"Knee Surgery and Related Research","volume":"37 1","pages":"22"},"PeriodicalIF":4.4000,"publicationDate":"2025-05-12","publicationTypes":"Journal Article","fieldsOfStudy":null,"isOpenAccess":false,"openAccessPdf":"https://www.ncbi.nlm.nih.gov/pmc/articles/PMC12070550/pdf/","citationCount":"0","resultStr":null,"platform":"Semanticscholar","paperid":null,"PeriodicalName":"Knee Surgery and Related Research","FirstCategoryId":"1085","ListUrlMain":"https://doi.org/10.1186/s43019-025-00271-8","RegionNum":0,"RegionCategory":null,"ArticlePicture":[],"TitleCN":null,"AbstractTextCN":null,"PMCID":null,"EPubDate":"","PubModel":"","JCR":"Q2","JCRName":"Medicine","Score":null,"Total":0}
引用次数: 0

Abstract

Background: Double-level knee osteotomy (DLO) is becoming more popular in bifocal (femur and tibia deformities) as it addresses the deformity where it belongs and results in a more physiologic joint line obliquity. This study reports on the early to midterm outcomes, both clinical and radiological, of valgization DLO for varus knees and the first study to report the 10-year survivorship of this procedure.

Methods: A retrospective review of a prospectively maintained single-center database of 1170 knee osteotomies was undertaken. Patients with bifocal (femur and tibia) varus malalignment and isolated medial compartment osteoarthritis who had DLO corrections [high tibial osteotomy (HTO) and distal femoral osteotomy (DFO)] were included. Multiple patient-reported outcome measures (PROMs) were recorded preoperatively and serially postoperatively. This included the Knee Injury and Osteoarthritis Outcome Score, the Oxford Knee Score, the Oxford Knee Score-Activity and Participation Questionnaire, the Western Ontario and McMaster University Score, the visual analog scale for health and pain, and the EQ-5D. EQ-5D stands for EuroQol 5-dimension. It is a standardized instrument for measuring health-related quality of life (HRQoL). All lower limb alignment indices were recorded pre-and postoperatively. The rates of osteotomy revision, conversion to arthroplasty, complications, and both 8- and 10-year survivorship were recorded.

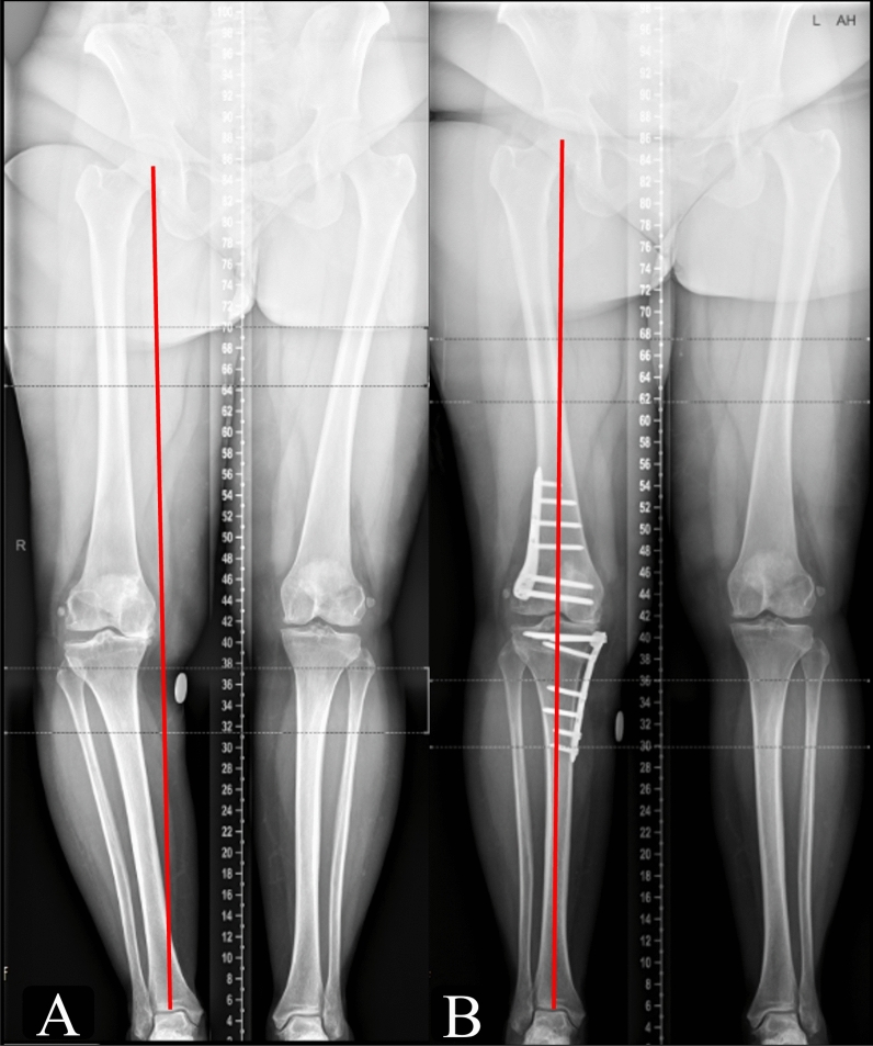
Results: A total of 58 valgization DLO cases were followed up to a mean of 10.8 ± 3 years. This comprised 74.1% males and 25.9% females, with a mean age of 47.9 ± 9.8 years and a mean body mass index (BMI) of 31.5 ± 6.3 kg/m2. The mean planned correction angles for HTO and DFO were 7.7° ± 2.7° and 7.7° ± 3°, respectively. Postoperatively, the mean mechanical tibiofemoral angle improved from -12.7° ± 3.9° (varus) to -0.4° ± 3.4° (i.e., centered around mechanical neutral), the mean medial proximal tibial angle improved from preoperative 84.3 ± 3.2° to postoperative 90° ± 2.5°, the mean mechanical lateral distal femoral angle improved from preoperative 91.6° ± 3.4° to postoperative 86.7° ± 2.5°, and the mean Mikulicz point improved from -5 ± 13.4% to 47.7 ± 14.7% (all p-values < 0.001). All PROMs significantly improved at 24 months follow-up (all p values < 0.001). The rate of osteotomy revision was 3.4%. The overall rate of total knee arthroplasty conversion was 5.2% at an average of 5.9 ± 3.1 years postoperatively. The complication rate was 8.6%. The 8- and 10-year survivorship was 97.1%, and 94.4%, respectively.

Conclusions: In this single-center series evaluating patients with varus knees and bifocal deformities, valgization double-level knee osteotomy (DLO) demonstrated favorable clinical outcomes, accompanied by a low complication rate of 8.6% and a 10-year survivorship of 94.4%. Radiographic findings from available imaging data were positive, although long-term imaging was not consistently obtained. Level of evidence IV retrospective cohort study.

Abstract Image

Abstract Image

Abstract Image

在单中心研究的58例平均临床随访10年的病例中,双水平膝关节固定截骨术生存率高,并发症发生率低。
背景:双水平膝关节截骨术(DLO)在双焦点(股骨和胫骨畸形)中越来越流行,因为它解决了它所属的畸形,并导致更生理性的关节线倾斜。本研究报告了膝内翻确诊DLO的早期到中期临床和放射学结果,并首次报道了该手术的10年生存率。方法:对1170例膝关节截骨手术的单中心数据库进行回顾性分析。纳入双焦点(股骨和胫骨)内翻错位和孤立性内侧室骨关节炎患者,并进行DLO矫正[胫骨高位截骨术(HTO)和股骨远端截骨术(DFO)]。术前和术后连续记录多项患者报告的预后指标(PROMs)。这包括膝关节损伤和骨关节炎结局评分、牛津膝关节评分、牛津膝关节评分-活动和参与问卷、西安大略和麦克马斯特大学评分、健康和疼痛视觉模拟量表以及EQ-5D。EQ-5D代表EuroQol 5维。它是衡量与健康有关的生活质量(HRQoL)的标准化工具。术前和术后记录所有下肢直线指数。记录截骨翻修、转关节置换术、并发症以及8年和10年生存率。结果:58例确诊DLO患者,随访时间平均为10.8±3年。其中男性74.1%,女性25.9%,平均年龄47.9±9.8岁,平均体重指数(BMI) 31.5±6.3 kg/m2。HTO和DFO的平均计划校正角分别为7.7°±2.7°和7.7°±3°。术后平均胫骨-股骨机械角从-12.7°±3.9°(内翻)改善到-0.4°±3.4°(即以机械中性为中心),平均胫骨内侧近端角从术前84.3±3.2°改善到术后90°±2.5°,平均股骨外侧远端机械角从术前91.6°±3.4°改善到术后86.7°±2.5°,平均Mikulicz点从-5±13.4%改善到47.7±14.7%(均p值)。在这项单中心系列研究中,评估膝内翻和双焦点畸形的患者,证实双水平膝关节截骨术(DLO)显示出良好的临床结果,并发症发生率低至8.6%,10年生存率为94.4%。现有影像学资料的影像学结果为阳性,尽管长期影像学结果不一致。证据水平:回顾性队列研究。
本文章由计算机程序翻译,如有差异,请以英文原文为准。
求助全文
约1分钟内获得全文 求助全文
来源期刊
CiteScore
6.50
自引率
0.00%
发文量
42
审稿时长
19 weeks
×
引用
GB/T 7714-2015
复制
MLA
复制
APA
复制
导出至
BibTeX EndNote RefMan NoteFirst NoteExpress
×
提示
您的信息不完整,为了账户安全,请先补充。
现在去补充
×
提示
您因"违规操作"
具体请查看互助需知
我知道了
×
提示
确定
请完成安全验证×
copy
已复制链接
快去分享给好友吧!
我知道了
右上角分享
点击右上角分享
0
联系我们:info@booksci.cn Book学术提供免费学术资源搜索服务,方便国内外学者检索中英文文献。致力于提供最便捷和优质的服务体验。 Copyright © 2023 布克学术 All rights reserved.
京ICP备2023020795号-1
ghs 京公网安备 11010802042870号
Book学术文献互助
Book学术文献互助群
群 号:604180095
Book学术官方微信