Periprosthetic Joint Infection Occurring Following a Femoral Subcutaneous Cyst: A Rare Complication Post-Total Knee Arthroplasty.

IF 0.6 Q4 ORTHOPEDICS
Case Reports in Orthopedics Pub Date : 2025-04-24 eCollection Date: 2025-01-01 DOI:10.1155/cro/7710384
Naohiro Oka, Shigeshi Mori, Yu Shinyashiki, Nobuhisa Shokaku, Kenji Yamazaki, Koji Goto, Daisuke Togawa
{"title":"Periprosthetic Joint Infection Occurring Following a Femoral Subcutaneous Cyst: A Rare Complication Post-Total Knee Arthroplasty.","authors":"Naohiro Oka, Shigeshi Mori, Yu Shinyashiki, Nobuhisa Shokaku, Kenji Yamazaki, Koji Goto, Daisuke Togawa","doi":"10.1155/cro/7710384","DOIUrl":null,"url":null,"abstract":"<p><p>Herein, we present a rare case of periprosthetic joint infection (PJI) which was triggered by an infection with a latent subcutaneous cyst on the thigh and occurred in a strange course following total knee arthroplasty (TKA). An 87-year-old female underwent right TKA followed by left TKA 5 months later. Six weeks after left TKA, a painful subcutaneous induration appeared in the left medial thigh. Magnetic resonance imaging revealed a 30∗50-mm multifocal mass. The cystic fluid was brown and cloudy, indicating an infected cyst. Oral antimicrobial therapy was initiated for 7 days. Nine weeks after the left TKA, a left calcaneal fracture occurred. Subsequently, edema of the lower extremities and pain in the left knee gradually developed. Arthrocentesis was performed twice: joint fluid Gram staining and culture examination were negative. However, at 12.5 weeks, an alpha-defensin test of the synovial fluid was positive. Therefore, PJI was diagnosed. DAIR was performed, followed by multiantibiotic therapy. The infection subsided gradually. Edema of the lower limbs was treated with oral diuretics, lymphatic massage, and compression stockings. Consequently, the lower limb edema also improved. In this case, infection of a latent subcutaneous cyst in the thigh occurred and spread around the prosthesis due to leg edema, which was associated with loss of lower limb motion due to a calcaneal fracture. The presence of a potential thigh subcutaneous cyst is a risk factor for PJI. Moreover, lower extremity edema occurs by decreasing lower extremity motion, such as after a calcaneal fracture, and it increases the risk of extending extra-articular infection to the PJI. Potential thigh subcutaneous cysts and lower extremity edema are risk factors for the development of PJI. Orthopedic surgeons need to be aware of these facts during follow-up after TKA.</p>","PeriodicalId":30287,"journal":{"name":"Case Reports in Orthopedics","volume":"2025 ","pages":"7710384"},"PeriodicalIF":0.6000,"publicationDate":"2025-04-24","publicationTypes":"Journal Article","fieldsOfStudy":null,"isOpenAccess":false,"openAccessPdf":"https://www.ncbi.nlm.nih.gov/pmc/articles/PMC12045695/pdf/","citationCount":"0","resultStr":null,"platform":"Semanticscholar","paperid":null,"PeriodicalName":"Case Reports in Orthopedics","FirstCategoryId":"1085","ListUrlMain":"https://doi.org/10.1155/cro/7710384","RegionNum":0,"RegionCategory":null,"ArticlePicture":[],"TitleCN":null,"AbstractTextCN":null,"PMCID":null,"EPubDate":"2025/1/1 0:00:00","PubModel":"eCollection","JCR":"Q4","JCRName":"ORTHOPEDICS","Score":null,"Total":0}
引用次数: 0

Abstract

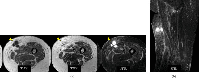
Herein, we present a rare case of periprosthetic joint infection (PJI) which was triggered by an infection with a latent subcutaneous cyst on the thigh and occurred in a strange course following total knee arthroplasty (TKA). An 87-year-old female underwent right TKA followed by left TKA 5 months later. Six weeks after left TKA, a painful subcutaneous induration appeared in the left medial thigh. Magnetic resonance imaging revealed a 30∗50-mm multifocal mass. The cystic fluid was brown and cloudy, indicating an infected cyst. Oral antimicrobial therapy was initiated for 7 days. Nine weeks after the left TKA, a left calcaneal fracture occurred. Subsequently, edema of the lower extremities and pain in the left knee gradually developed. Arthrocentesis was performed twice: joint fluid Gram staining and culture examination were negative. However, at 12.5 weeks, an alpha-defensin test of the synovial fluid was positive. Therefore, PJI was diagnosed. DAIR was performed, followed by multiantibiotic therapy. The infection subsided gradually. Edema of the lower limbs was treated with oral diuretics, lymphatic massage, and compression stockings. Consequently, the lower limb edema also improved. In this case, infection of a latent subcutaneous cyst in the thigh occurred and spread around the prosthesis due to leg edema, which was associated with loss of lower limb motion due to a calcaneal fracture. The presence of a potential thigh subcutaneous cyst is a risk factor for PJI. Moreover, lower extremity edema occurs by decreasing lower extremity motion, such as after a calcaneal fracture, and it increases the risk of extending extra-articular infection to the PJI. Potential thigh subcutaneous cysts and lower extremity edema are risk factors for the development of PJI. Orthopedic surgeons need to be aware of these facts during follow-up after TKA.

Abstract Image

Abstract Image

Abstract Image

股骨皮下囊肿后发生的假体周围关节感染:全膝关节置换术后罕见的并发症。
在此,我们报告一例罕见的假体周围关节感染(PJI),其由大腿上潜伏的皮下囊肿感染引发,发生在全膝关节置换术(TKA)后的奇怪过程中。87岁女性,5个月后行右侧TKA,左侧TKA。左侧TKA术后6周,左侧大腿内侧出现疼痛的皮下硬化。磁共振成像显示一个30 * 50毫米的多灶性肿块。囊性液体呈棕色浑浊,表明囊肿感染。开始口服抗菌药物治疗7天。左侧TKA术后9周,发生左侧跟骨骨折。随后,下肢水肿和左膝疼痛逐渐加重。关节穿刺2次,关节液革兰氏染色及培养检查阴性。然而,在12.5周时,滑液α -防御素测试呈阳性。因此诊断为PJI。进行DAIR,然后进行多种抗生素治疗。感染逐渐消退。下肢水肿用口服利尿剂、淋巴按摩和加压袜治疗。因此,下肢水肿也得到改善。在这个病例中,由于腿部水肿,大腿潜伏的皮下囊肿发生感染,并在假体周围扩散,这与跟骨骨折导致的下肢运动丧失有关。潜在的大腿皮下囊肿的存在是PJI的危险因素。此外,下肢水肿是由于下肢运动减少而发生的,如跟骨骨折后,这增加了关节外感染扩展到PJI的风险。潜在的大腿皮下囊肿和下肢水肿是PJI发展的危险因素。骨科医生在TKA后的随访中需要了解这些事实。
本文章由计算机程序翻译,如有差异,请以英文原文为准。
求助全文
约1分钟内获得全文 求助全文
来源期刊
自引率
0.00%
发文量
55
审稿时长
14 weeks
×
引用
GB/T 7714-2015
复制
MLA
复制
APA
复制
导出至
BibTeX EndNote RefMan NoteFirst NoteExpress
×
提示
您的信息不完整,为了账户安全,请先补充。
现在去补充
×
提示
您因"违规操作"
具体请查看互助需知
我知道了
×
提示
确定
请完成安全验证×
copy
已复制链接
快去分享给好友吧!
我知道了
右上角分享
点击右上角分享
0
联系我们:info@booksci.cn Book学术提供免费学术资源搜索服务,方便国内外学者检索中英文文献。致力于提供最便捷和优质的服务体验。 Copyright © 2023 布克学术 All rights reserved.
京ICP备2023020795号-1
ghs 京公网安备 11010802042870号
Book学术文献互助
Book学术文献互助群
群 号:604180095
Book学术官方微信