Surgical Outcomes of Single-Stage Correction Using Cervical Pedicle Screw Fixation Rather Than Lateral Mass Fixation in NF1-Associated Pediatric Cervical Kyphosis: A Retrospective Study with a Minimum 2-Year Follow-Up.

IF 3.8 Q2 ORTHOPEDICS
JBJS Open Access Pub Date : 2025-05-08 eCollection Date: 2025-04-01 DOI:10.2106/JBJS.OA.24.00252
Zeki Boğa, Semih Kıvanç Olguner, Tolga Türkmen, Ümit Kara, Ali Arslan, Mehmet Özer, Ahmet Hamit Çınkı, Yurdal Gezercan
{"title":"Surgical Outcomes of Single-Stage Correction Using Cervical Pedicle Screw Fixation Rather Than Lateral Mass Fixation in NF1-Associated Pediatric Cervical Kyphosis: A Retrospective Study with a Minimum 2-Year Follow-Up.","authors":"Zeki Boğa, Semih Kıvanç Olguner, Tolga Türkmen, Ümit Kara, Ali Arslan, Mehmet Özer, Ahmet Hamit Çınkı, Yurdal Gezercan","doi":"10.2106/JBJS.OA.24.00252","DOIUrl":null,"url":null,"abstract":"<p><strong>Background: </strong>Neurofibromatosis type 1 (NF-1) can cause severe kyphosis in the cervical vertebrae. There is no consensus on the optimal surgical treatment for this rare condition, although long-segment fixation and combined approaches are generally preferred. To our knowledge, this study is the first to report the clinical outcomes of patients with NF-related cervical kyphosis who underwent stand-alone posterior pedicle fixation surgery.</p><p><strong>Methods: </strong>The outcomes of 14 patients who underwent surgery using the pedicle screw were retrospectively examined between 2015 and 2022. Only patients with at least 2 years of follow-up were included. For each patient, the following parameters were recorded and evaluated at 1 month postoperatively and at the end of the follow-up period: cervical lordosis (CL), local kyphosis angle (LKA), T1 slope, cervical sagittal vertical axis, visual analog score for neck pain, modified Japanese Orthopedic Association score, and Neck Disability Index. Complications, surgical duration, blood loss, levels of instrumentation, and length of hospital stay were also recorded.</p><p><strong>Results: </strong>In terms of radiographic parameters, all patients achieved lordosis, with the cervical LKA improving from an average of 76.7° preoperatively to an average of 20.4° in the early postoperative period. At the 2-year follow-up, the postoperative CL significantly improved compared with preoperative values (p < 0.001) with only approximately 4° correction loss. Moreover, by the end of the follow-up, all postoperative symptoms showed improvement compared with the preoperative symptoms. The average surgical duration was 211.86 ± 49.83 min. During the follow-up, junctional kyphosis was observed in 4 patients all of whom required revision surgery. C5 palsy was detected in 3 patients. Infection-related complications occurred in 6 patients, with wound infection in only 1 patient.</p><p><strong>Conclusion: </strong>Cervical pedicle screw fixation is an effective treatment for NF-1-related cervical kyphosis. Although this technique is considered difficult and dangerous to apply by several spine surgeons, it exerts a positive effect on clinical improvement and provides optimal correction.</p><p><strong>Level of evidence: </strong>Therapeutic Level IV. See Instructions for Authors for a complete description of levels of evidence.</p>","PeriodicalId":36492,"journal":{"name":"JBJS Open Access","volume":"10 2","pages":""},"PeriodicalIF":3.8000,"publicationDate":"2025-05-08","publicationTypes":"Journal Article","fieldsOfStudy":null,"isOpenAccess":false,"openAccessPdf":"https://www.ncbi.nlm.nih.gov/pmc/articles/PMC12055176/pdf/","citationCount":"0","resultStr":null,"platform":"Semanticscholar","paperid":null,"PeriodicalName":"JBJS Open Access","FirstCategoryId":"1085","ListUrlMain":"https://doi.org/10.2106/JBJS.OA.24.00252","RegionNum":0,"RegionCategory":null,"ArticlePicture":[],"TitleCN":null,"AbstractTextCN":null,"PMCID":null,"EPubDate":"2025/4/1 0:00:00","PubModel":"eCollection","JCR":"Q2","JCRName":"ORTHOPEDICS","Score":null,"Total":0}
引用次数: 0

Abstract

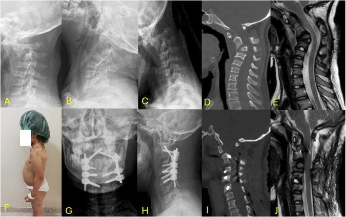
Background: Neurofibromatosis type 1 (NF-1) can cause severe kyphosis in the cervical vertebrae. There is no consensus on the optimal surgical treatment for this rare condition, although long-segment fixation and combined approaches are generally preferred. To our knowledge, this study is the first to report the clinical outcomes of patients with NF-related cervical kyphosis who underwent stand-alone posterior pedicle fixation surgery.

Methods: The outcomes of 14 patients who underwent surgery using the pedicle screw were retrospectively examined between 2015 and 2022. Only patients with at least 2 years of follow-up were included. For each patient, the following parameters were recorded and evaluated at 1 month postoperatively and at the end of the follow-up period: cervical lordosis (CL), local kyphosis angle (LKA), T1 slope, cervical sagittal vertical axis, visual analog score for neck pain, modified Japanese Orthopedic Association score, and Neck Disability Index. Complications, surgical duration, blood loss, levels of instrumentation, and length of hospital stay were also recorded.

Results: In terms of radiographic parameters, all patients achieved lordosis, with the cervical LKA improving from an average of 76.7° preoperatively to an average of 20.4° in the early postoperative period. At the 2-year follow-up, the postoperative CL significantly improved compared with preoperative values (p < 0.001) with only approximately 4° correction loss. Moreover, by the end of the follow-up, all postoperative symptoms showed improvement compared with the preoperative symptoms. The average surgical duration was 211.86 ± 49.83 min. During the follow-up, junctional kyphosis was observed in 4 patients all of whom required revision surgery. C5 palsy was detected in 3 patients. Infection-related complications occurred in 6 patients, with wound infection in only 1 patient.

Conclusion: Cervical pedicle screw fixation is an effective treatment for NF-1-related cervical kyphosis. Although this technique is considered difficult and dangerous to apply by several spine surgeons, it exerts a positive effect on clinical improvement and provides optimal correction.

Level of evidence: Therapeutic Level IV. See Instructions for Authors for a complete description of levels of evidence.

Abstract Image

Abstract Image

Abstract Image

采用颈椎椎弓根螺钉固定而非侧块固定一期矫正nf1相关儿童颈椎后凸的手术效果:一项至少2年随访的回顾性研究。
背景:1型神经纤维瘤病(NF-1)可引起严重的颈椎后凸。对于这种罕见疾病的最佳手术治疗尚无共识,尽管长节段固定和联合入路通常是首选。据我们所知,这项研究首次报道了nf相关性颈椎后凸患者接受独立后路椎弓根固定手术的临床结果。方法:回顾性分析2015年至2022年14例椎弓根螺钉手术患者的预后。仅纳入随访至少2年的患者。每位患者在术后1个月及随访结束时记录并评估以下参数:颈椎前凸度(CL)、局部后凸角(LKA)、T1斜率、颈椎矢状垂直轴、颈部疼痛视觉模拟评分、修正日本骨科协会评分、颈部残疾指数。并发症、手术时间、出血量、器械水平和住院时间也被记录下来。结果:在影像学参数方面,所有患者均实现前凸,颈椎LKA由术前平均76.7°改善至术后早期平均20.4°。在2年的随访中,术后CL较术前显著改善(p < 0.001),矫正损失仅约4°。此外,随访结束时,所有术后症状与术前症状相比均有改善。平均手术时间为211.86±49.83 min。随访期间,4例患者出现结缔组织后凸,均行翻修手术。C5麻痹3例。6例患者发生感染相关并发症,仅1例患者发生伤口感染。结论:颈椎椎弓根螺钉内固定是治疗nf -1相关性颈椎后凸的有效方法。虽然这项技术被一些脊柱外科医生认为是困难和危险的,但它对临床改善有积极的作用,并提供最佳的矫正。证据等级:治疗性IV级。参见《作者说明》获得证据等级的完整描述。
本文章由计算机程序翻译,如有差异,请以英文原文为准。
求助全文
约1分钟内获得全文 求助全文
来源期刊
JBJS Open Access
JBJS Open Access Medicine-Surgery
CiteScore
5.00
自引率
0.00%
发文量
77
审稿时长
6 weeks
×
引用
GB/T 7714-2015
复制
MLA
复制
APA
复制
导出至
BibTeX EndNote RefMan NoteFirst NoteExpress
×
提示
您的信息不完整,为了账户安全,请先补充。
现在去补充
×
提示
您因"违规操作"
具体请查看互助需知
我知道了
×
提示
确定
请完成安全验证×
copy
已复制链接
快去分享给好友吧!
我知道了
右上角分享
点击右上角分享
0
联系我们:info@booksci.cn Book学术提供免费学术资源搜索服务,方便国内外学者检索中英文文献。致力于提供最便捷和优质的服务体验。 Copyright © 2023 布克学术 All rights reserved.
京ICP备2023020795号-1
ghs 京公网安备 11010802042870号
Book学术文献互助
Book学术文献互助群
群 号:604180095
Book学术官方微信