The Role of Monochromatic Superb Microvascular Index to Predict Malignancy of Solid Focal Lesions: Correlation Between Vascular Index and Histological Bioptic Findings.

IF 2.2 4区 医学 Q2 RADIOLOGY, NUCLEAR MEDICINE & MEDICAL IMAGING
Francesco Giurazza, Luigi Basile, Felice D'Antuono, Fabio Corvino, Antonio Borzelli, Claudio Carrubba, Raffaella Niola
{"title":"The Role of Monochromatic Superb Microvascular Index to Predict Malignancy of Solid Focal Lesions: Correlation Between Vascular Index and Histological Bioptic Findings.","authors":"Francesco Giurazza, Luigi Basile, Felice D'Antuono, Fabio Corvino, Antonio Borzelli, Claudio Carrubba, Raffaella Niola","doi":"10.3390/tomography11040043","DOIUrl":null,"url":null,"abstract":"<p><strong>Objectives: </strong>This study aims to assess the potential role of the ultrasound (US) monochromatic Superb Microvascular Index (mSMI) to predict malignancy of solid focal lesions, correlating the vascular index (VI) with bioptic histological results.</p><p><strong>Methods: </strong>In this single-center retrospective analysis, patients undergoing percutaneous US-guided biopsy of solid lesions were considered. Biopsy indication was given by a multidisciplinary team evaluation based on clinical radiological data. Exclusion criteria were: unfeasible SMI evaluations due to poor respiratory compliance, locations not appreciable with the SMI, previous antiangiogenetic chemo/immunotherapies, and inconclusive histological reports. The mSMI examination was conducted in order to visualize extremely low-velocity flows with a high resolution and high frame rate; the VI was semi-automatically calculated. All bioptic procedures were performed under sole US guidance using 16G or 18G needles, immediately after mSMI assessment.</p><p><strong>Results: </strong>Forty-four patients were included (mean age: 64 years; 27 males, 17 females). Liver (15/43), kidneys (9/43), and lymph nodes (6/43) were the most frequent targets. At histopathological analysis, 7 lesions were benign and 37 malignant, metastasis being the most represented. The VI calculated in malignant lesions was statistically higher compared to benign lesions (35.45% and 11% in malignant and benign, respectively; <i>p</i>-value 0.013). A threshold VI value of 15.4% was identified to differentiate malignant lesions. The overall diagnostic accuracy of the VI with the mSMI was 0.878, demonstrating a high level of diagnostic accuracy.</p><p><strong>Conclusions: </strong>In this study, the mSMI analysis of solid focal lesions undergoing percutaneous biopsy significantly correlated with histological findings in terms of malignant/benign predictive value, reflecting histological vascular changes in malignant lesions.</p>","PeriodicalId":51330,"journal":{"name":"Tomography","volume":"11 4","pages":""},"PeriodicalIF":2.2000,"publicationDate":"2025-04-04","publicationTypes":"Journal Article","fieldsOfStudy":null,"isOpenAccess":false,"openAccessPdf":"https://www.ncbi.nlm.nih.gov/pmc/articles/PMC12031498/pdf/","citationCount":"0","resultStr":null,"platform":"Semanticscholar","paperid":null,"PeriodicalName":"Tomography","FirstCategoryId":"3","ListUrlMain":"https://doi.org/10.3390/tomography11040043","RegionNum":4,"RegionCategory":"医学","ArticlePicture":[],"TitleCN":null,"AbstractTextCN":null,"PMCID":null,"EPubDate":"","PubModel":"","JCR":"Q2","JCRName":"RADIOLOGY, NUCLEAR MEDICINE & MEDICAL IMAGING","Score":null,"Total":0}
引用次数: 0

Abstract

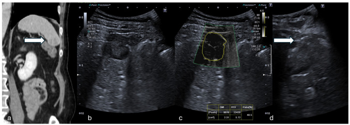
Objectives: This study aims to assess the potential role of the ultrasound (US) monochromatic Superb Microvascular Index (mSMI) to predict malignancy of solid focal lesions, correlating the vascular index (VI) with bioptic histological results.

Methods: In this single-center retrospective analysis, patients undergoing percutaneous US-guided biopsy of solid lesions were considered. Biopsy indication was given by a multidisciplinary team evaluation based on clinical radiological data. Exclusion criteria were: unfeasible SMI evaluations due to poor respiratory compliance, locations not appreciable with the SMI, previous antiangiogenetic chemo/immunotherapies, and inconclusive histological reports. The mSMI examination was conducted in order to visualize extremely low-velocity flows with a high resolution and high frame rate; the VI was semi-automatically calculated. All bioptic procedures were performed under sole US guidance using 16G or 18G needles, immediately after mSMI assessment.

Results: Forty-four patients were included (mean age: 64 years; 27 males, 17 females). Liver (15/43), kidneys (9/43), and lymph nodes (6/43) were the most frequent targets. At histopathological analysis, 7 lesions were benign and 37 malignant, metastasis being the most represented. The VI calculated in malignant lesions was statistically higher compared to benign lesions (35.45% and 11% in malignant and benign, respectively; p-value 0.013). A threshold VI value of 15.4% was identified to differentiate malignant lesions. The overall diagnostic accuracy of the VI with the mSMI was 0.878, demonstrating a high level of diagnostic accuracy.

Conclusions: In this study, the mSMI analysis of solid focal lesions undergoing percutaneous biopsy significantly correlated with histological findings in terms of malignant/benign predictive value, reflecting histological vascular changes in malignant lesions.

Abstract Image

Abstract Image

Abstract Image

单色超级微血管指数在预测实体局灶性病变恶性中的作用:血管指数与组织学活检结果的相关性。
目的:本研究旨在评估超声(US)单色超级微血管指数(mSMI)在预测实体局灶性病变恶性方面的潜在作用,并将血管指数(VI)与活检组织学结果相关联。方法:在这个单中心回顾性分析中,考虑了接受经皮穿刺穿刺活检的患者。活检指征由多学科小组根据临床放射学资料评估给出。排除标准是:由于呼吸依从性差,SMI评估不可行,SMI部位不明显,既往抗血管生成化学/免疫治疗,组织学报告不确定。进行mSMI检查是为了以高分辨率和高帧率可视化极低速流;VI是半自动计算的。在mSMI评估后立即在美国指导下使用16G或18G针头进行所有活检手术。结果:纳入44例患者(平均年龄64岁;男性27人,女性17人)。肝脏(15/43)、肾脏(9/43)和淋巴结(6/43)是最常见的目标。组织病理学分析显示,良性病变7例,恶性病变37例,以转移为主。恶性病变计算的VI值高于良性病变,分别为35.45%和11%;假定值0.013)。鉴别恶性病变的阈值为15.4%。综合mSMI对VI的诊断准确率为0.878,具有较高的诊断准确率。结论:在本研究中,经皮活检的实性局灶性病变的mSMI分析与组织学结果的良恶性预测价值显著相关,反映了恶性病变的组织学血管改变。
本文章由计算机程序翻译,如有差异,请以英文原文为准。
求助全文
约1分钟内获得全文 求助全文
来源期刊
Tomography
Tomography Medicine-Radiology, Nuclear Medicine and Imaging
CiteScore
2.70
自引率
10.50%
发文量
222
期刊介绍: TomographyTM publishes basic (technical and pre-clinical) and clinical scientific articles which involve the advancement of imaging technologies. Tomography encompasses studies that use single or multiple imaging modalities including for example CT, US, PET, SPECT, MR and hyperpolarization technologies, as well as optical modalities (i.e. bioluminescence, photoacoustic, endomicroscopy, fiber optic imaging and optical computed tomography) in basic sciences, engineering, preclinical and clinical medicine. Tomography also welcomes studies involving exploration and refinement of contrast mechanisms and image-derived metrics within and across modalities toward the development of novel imaging probes for image-based feedback and intervention. The use of imaging in biology and medicine provides unparalleled opportunities to noninvasively interrogate tissues to obtain real-time dynamic and quantitative information required for diagnosis and response to interventions and to follow evolving pathological conditions. As multi-modal studies and the complexities of imaging technologies themselves are ever increasing to provide advanced information to scientists and clinicians. Tomography provides a unique publication venue allowing investigators the opportunity to more precisely communicate integrated findings related to the diverse and heterogeneous features associated with underlying anatomical, physiological, functional, metabolic and molecular genetic activities of normal and diseased tissue. Thus Tomography publishes peer-reviewed articles which involve the broad use of imaging of any tissue and disease type including both preclinical and clinical investigations. In addition, hardware/software along with chemical and molecular probe advances are welcome as they are deemed to significantly contribute towards the long-term goal of improving the overall impact of imaging on scientific and clinical discovery.
×
引用
GB/T 7714-2015
复制
MLA
复制
APA
复制
导出至
BibTeX EndNote RefMan NoteFirst NoteExpress
×
提示
您的信息不完整,为了账户安全,请先补充。
现在去补充
×
提示
您因"违规操作"
具体请查看互助需知
我知道了
×
提示
确定
请完成安全验证×
copy
已复制链接
快去分享给好友吧!
我知道了
右上角分享
点击右上角分享
0
联系我们:info@booksci.cn Book学术提供免费学术资源搜索服务,方便国内外学者检索中英文文献。致力于提供最便捷和优质的服务体验。 Copyright © 2023 布克学术 All rights reserved.
京ICP备2023020795号-1
ghs 京公网安备 11010802042870号
Book学术文献互助
Book学术文献互助群
群 号:604180095
Book学术官方微信