Implant Choice of Internal Fixation for Stable Femoral Neck Fractures in Elderly: Cannulated Screw Fixation versus Helical Blade Cephalomedullary Nailing.

IF 0.6 Q4 ORTHOPEDICS
Y H Roh, J S Ahn, C M Lim, K W Nam
{"title":"Implant Choice of Internal Fixation for Stable Femoral Neck Fractures in Elderly: Cannulated Screw Fixation versus Helical Blade Cephalomedullary Nailing.","authors":"Y H Roh, J S Ahn, C M Lim, K W Nam","doi":"10.5704/MOJ.2503.013","DOIUrl":null,"url":null,"abstract":"<p><strong>Introduction: </strong>The incidence of femoral neck fractures (FNFs) in elderly patients is increasing as average lifespans and the prevalence of osteoporosis increase. The optimal treatment strategy remains unclear. We compared the outcomes of cephalomedullary nail (CMN) and cannulated screw (CTS) fixations used to treat stable FNFs in patients over 65 years of age.</p><p><strong>Material and methods: </strong>Among elderly patients with Garden type 1 and 2 FNFs treated between January 2010 and May 2018, 44 who were followed-up for more than 1 year were included. There were 28 cases in the CTS group and 16 cases in the CMN group, and the average age at the time of surgery was 76.3 years (range, 65-88 years). Radiological and functional variables were analysed to compare the results by fixation device.</p><p><strong>Results: </strong>There were no significant differences between the groups in terms of functional outcomes or bone union times. However, operation and fluoroscopy times were significantly shorter in the CMN group. The neck shaft varus angulation and the extent of device sliding were greater in the CTS group. Multivariate analysis showed that CTS use was independently associated with major complications.</p><p><strong>Conclusion: </strong>The CMN is a useful tool for treating stable FNFs in the elderly. It is simpler to use than conventional CTS fixation and is associated with fewer complications.</p>","PeriodicalId":45241,"journal":{"name":"Malaysian Orthopaedic Journal","volume":"19 1","pages":"102-112"},"PeriodicalIF":0.6000,"publicationDate":"2025-03-01","publicationTypes":"Journal Article","fieldsOfStudy":null,"isOpenAccess":false,"openAccessPdf":"https://www.ncbi.nlm.nih.gov/pmc/articles/PMC12022717/pdf/","citationCount":"0","resultStr":null,"platform":"Semanticscholar","paperid":null,"PeriodicalName":"Malaysian Orthopaedic Journal","FirstCategoryId":"1085","ListUrlMain":"https://doi.org/10.5704/MOJ.2503.013","RegionNum":0,"RegionCategory":null,"ArticlePicture":[],"TitleCN":null,"AbstractTextCN":null,"PMCID":null,"EPubDate":"","PubModel":"","JCR":"Q4","JCRName":"ORTHOPEDICS","Score":null,"Total":0}
引用次数: 0

Abstract

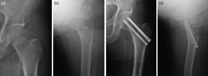
Introduction: The incidence of femoral neck fractures (FNFs) in elderly patients is increasing as average lifespans and the prevalence of osteoporosis increase. The optimal treatment strategy remains unclear. We compared the outcomes of cephalomedullary nail (CMN) and cannulated screw (CTS) fixations used to treat stable FNFs in patients over 65 years of age.

Material and methods: Among elderly patients with Garden type 1 and 2 FNFs treated between January 2010 and May 2018, 44 who were followed-up for more than 1 year were included. There were 28 cases in the CTS group and 16 cases in the CMN group, and the average age at the time of surgery was 76.3 years (range, 65-88 years). Radiological and functional variables were analysed to compare the results by fixation device.

Results: There were no significant differences between the groups in terms of functional outcomes or bone union times. However, operation and fluoroscopy times were significantly shorter in the CMN group. The neck shaft varus angulation and the extent of device sliding were greater in the CTS group. Multivariate analysis showed that CTS use was independently associated with major complications.

Conclusion: The CMN is a useful tool for treating stable FNFs in the elderly. It is simpler to use than conventional CTS fixation and is associated with fewer complications.

Abstract Image

Abstract Image

Abstract Image

老年人稳定股骨颈骨折内固定物的选择:空心螺钉固定与螺旋刀片头髓内钉。
老年患者股骨颈骨折(FNFs)的发生率随着平均寿命和骨质疏松症患病率的增加而增加。最佳治疗策略尚不清楚。我们比较了65岁以上患者使用头髓钉(CMN)和空心螺钉(CTS)固定治疗稳定性FNFs的结果。材料与方法:选取2010年1月至2018年5月治疗的Garden 1型和2型老年fnf患者44例,随访1年以上。CTS组28例,CMN组16例,手术时平均年龄76.3岁(65 ~ 88岁)。分析放射学和功能变量,比较固定装置的结果。结果:两组间在功能结局和骨愈合时间方面无显著差异。然而,CMN组的手术和透视时间明显缩短。颈轴内翻角度和器械滑动程度在CTS组更大。多因素分析显示CTS的使用与主要并发症独立相关。结论:CMN是治疗老年人稳定型fnf的有效工具。它比传统的CTS固定更容易使用,并发症也更少。
本文章由计算机程序翻译,如有差异,请以英文原文为准。
求助全文
约1分钟内获得全文 求助全文
来源期刊
CiteScore
1.30
自引率
0.00%
发文量
104
审稿时长
24 weeks
期刊介绍: The Malaysian Orthopaedic Journal is a peer-reviewed journal that publishes original papers and case reports three times a year in both printed and electronic version. The purpose of MOJ is to disseminate new knowledge and provide updates in Orthopaedics, trauma and musculoskeletal research. It is an Open Access journal that does not require processing fee or article processing charge from the authors. The Malaysian Orthopaedic Journal is the official journal of Malaysian Orthopaedic Association (MOA) and ASEAN Orthopaedic Association (AOA).
×
引用
GB/T 7714-2015
复制
MLA
复制
APA
复制
导出至
BibTeX EndNote RefMan NoteFirst NoteExpress
×
提示
您的信息不完整,为了账户安全,请先补充。
现在去补充
×
提示
您因"违规操作"
具体请查看互助需知
我知道了
×
提示
确定
请完成安全验证×
copy
已复制链接
快去分享给好友吧!
我知道了
右上角分享
点击右上角分享
0
联系我们:info@booksci.cn Book学术提供免费学术资源搜索服务,方便国内外学者检索中英文文献。致力于提供最便捷和优质的服务体验。 Copyright © 2023 布克学术 All rights reserved.
京ICP备2023020795号-1
ghs 京公网安备 11010802042870号
Book学术文献互助
Book学术文献互助群
群 号:604180095
Book学术官方微信