Anaplastic thyroid carcinoma with bilateral internal jugular vein tumour thrombus formation: a case report.

IF 0.5 Q4 RADIOLOGY, NUCLEAR MEDICINE & MEDICAL IMAGING
BJR Case Reports Pub Date : 2025-03-22 eCollection Date: 2025-03-01 DOI:10.1093/bjrcr/uaaf021
Ruiqian Yan, Junxi Gao
{"title":"Anaplastic thyroid carcinoma with bilateral internal jugular vein tumour thrombus formation: a case report.","authors":"Ruiqian Yan, Junxi Gao","doi":"10.1093/bjrcr/uaaf021","DOIUrl":null,"url":null,"abstract":"<p><p>Anaplastic thyroid carcinoma (ATC) is a highly aggressive thyroid malignancy, comprising 1%-4% of thyroid cancers, with rapid local invasion and distant metastasis. We report a 57-year-old male with ATC presenting with a neck mass, hoarseness, and dysphagia. Imaging showed cancer thrombus in bilateral internal jugular veins, with a biopsy confirming ATC. This case highlights the imaging and pathological features of ATC and emphasizes the importance of ultrasound in evaluating intravascular cancer thrombus, aiding accurate diagnosis and management.</p>","PeriodicalId":45216,"journal":{"name":"BJR Case Reports","volume":"11 2","pages":"uaaf021"},"PeriodicalIF":0.5000,"publicationDate":"2025-03-22","publicationTypes":"Journal Article","fieldsOfStudy":null,"isOpenAccess":false,"openAccessPdf":"https://www.ncbi.nlm.nih.gov/pmc/articles/PMC11997655/pdf/","citationCount":"0","resultStr":null,"platform":"Semanticscholar","paperid":null,"PeriodicalName":"BJR Case Reports","FirstCategoryId":"1085","ListUrlMain":"https://doi.org/10.1093/bjrcr/uaaf021","RegionNum":0,"RegionCategory":null,"ArticlePicture":[],"TitleCN":null,"AbstractTextCN":null,"PMCID":null,"EPubDate":"2025/3/1 0:00:00","PubModel":"eCollection","JCR":"Q4","JCRName":"RADIOLOGY, NUCLEAR MEDICINE & MEDICAL IMAGING","Score":null,"Total":0}
引用次数: 0

Abstract

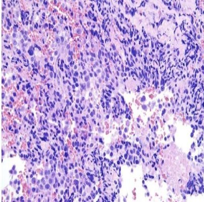
Anaplastic thyroid carcinoma (ATC) is a highly aggressive thyroid malignancy, comprising 1%-4% of thyroid cancers, with rapid local invasion and distant metastasis. We report a 57-year-old male with ATC presenting with a neck mass, hoarseness, and dysphagia. Imaging showed cancer thrombus in bilateral internal jugular veins, with a biopsy confirming ATC. This case highlights the imaging and pathological features of ATC and emphasizes the importance of ultrasound in evaluating intravascular cancer thrombus, aiding accurate diagnosis and management.

Abstract Image

Abstract Image

Abstract Image

甲状腺间变性癌合并双侧颈内静脉肿瘤血栓形成1例。
间变性甲状腺癌(ATC)是一种高度侵袭性的甲状腺恶性肿瘤,占甲状腺癌的1%-4%,具有快速的局部侵袭和远处转移。我们报告一位57岁男性ATC患者,表现为颈部肿块、声音嘶哑和吞咽困难。影像显示双侧颈内静脉癌栓,活检证实为ATC。本病例强调了ATC的影像学和病理特征,强调了超声在评估血管内癌血栓,帮助准确诊断和治疗中的重要性。
本文章由计算机程序翻译,如有差异,请以英文原文为准。
求助全文
约1分钟内获得全文 求助全文
来源期刊
BJR Case Reports
BJR Case Reports RADIOLOGY, NUCLEAR MEDICINE & MEDICAL IMAGING-
自引率
0.00%
发文量
77
审稿时长
11 weeks
×
引用
GB/T 7714-2015
复制
MLA
复制
APA
复制
导出至
BibTeX EndNote RefMan NoteFirst NoteExpress
×
提示
您的信息不完整,为了账户安全,请先补充。
现在去补充
×
提示
您因"违规操作"
具体请查看互助需知
我知道了
×
提示
确定
请完成安全验证×
copy
已复制链接
快去分享给好友吧!
我知道了
右上角分享
点击右上角分享
0
联系我们:info@booksci.cn Book学术提供免费学术资源搜索服务,方便国内外学者检索中英文文献。致力于提供最便捷和优质的服务体验。 Copyright © 2023 布克学术 All rights reserved.
京ICP备2023020795号-1
ghs 京公网安备 11010802042870号
Book学术文献互助
Book学术文献互助群
群 号:604180095
Book学术官方微信