Bladder paraganglioma in pregnancy with a successful perinatal outcome: a case report.

IF 0.5 Q4 RADIOLOGY, NUCLEAR MEDICINE & MEDICAL IMAGING
BJR Case Reports Pub Date : 2025-04-29 eCollection Date: 2025-05-01 DOI:10.1093/bjrcr/uaaf026
Roy Teng, Joshua Silverman, Scott McClintock, Patricia Deonarine
{"title":"Bladder paraganglioma in pregnancy with a successful perinatal outcome: a case report.","authors":"Roy Teng, Joshua Silverman, Scott McClintock, Patricia Deonarine","doi":"10.1093/bjrcr/uaaf026","DOIUrl":null,"url":null,"abstract":"<p><p>Paragangliomas (PGLs) during pregnancy is an uncommon neuroendocrine tumour that is associated with increased maternal and foetal morbidity and mortality. Furthermore, it is even rarer for these to be located within the urinary bladder, with a prevalence of <0.1% of all bladder tumours. This case report details a 29-year-old female who presented with pre-syncope, headache, and palpitations during voiding. Ultrasound and magnetic resonance imaging of the pelvis revealed a mass in her bladder, and biochemical workup demonstrated elevated plasma normetanephrine levels and a positive clonidine suppression test. Surgical resection and histopathology of the mass were consistent with PGL. Post-operatively, the patient was normotensive, her normetadrenaline levels normalized and she was discharged 3 days after the operation. She progressed through the remaining pregnancy without any significant complications and delivered a healthy baby at full term. This case depicts the rare nature of PGLs in pregnancy and the importance of antenatal imaging combined with a multidisciplinary approach for a successful pregnancy outcome.</p>","PeriodicalId":45216,"journal":{"name":"BJR Case Reports","volume":"11 3","pages":"uaaf026"},"PeriodicalIF":0.5000,"publicationDate":"2025-04-29","publicationTypes":"Journal Article","fieldsOfStudy":null,"isOpenAccess":false,"openAccessPdf":"https://www.ncbi.nlm.nih.gov/pmc/articles/PMC12064214/pdf/","citationCount":"0","resultStr":null,"platform":"Semanticscholar","paperid":null,"PeriodicalName":"BJR Case Reports","FirstCategoryId":"1085","ListUrlMain":"https://doi.org/10.1093/bjrcr/uaaf026","RegionNum":0,"RegionCategory":null,"ArticlePicture":[],"TitleCN":null,"AbstractTextCN":null,"PMCID":null,"EPubDate":"2025/5/1 0:00:00","PubModel":"eCollection","JCR":"Q4","JCRName":"RADIOLOGY, NUCLEAR MEDICINE & MEDICAL IMAGING","Score":null,"Total":0}
引用次数: 0

Abstract

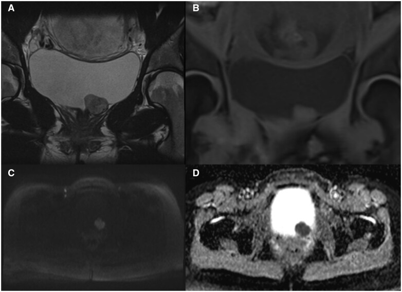
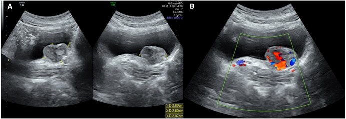
Paragangliomas (PGLs) during pregnancy is an uncommon neuroendocrine tumour that is associated with increased maternal and foetal morbidity and mortality. Furthermore, it is even rarer for these to be located within the urinary bladder, with a prevalence of <0.1% of all bladder tumours. This case report details a 29-year-old female who presented with pre-syncope, headache, and palpitations during voiding. Ultrasound and magnetic resonance imaging of the pelvis revealed a mass in her bladder, and biochemical workup demonstrated elevated plasma normetanephrine levels and a positive clonidine suppression test. Surgical resection and histopathology of the mass were consistent with PGL. Post-operatively, the patient was normotensive, her normetadrenaline levels normalized and she was discharged 3 days after the operation. She progressed through the remaining pregnancy without any significant complications and delivered a healthy baby at full term. This case depicts the rare nature of PGLs in pregnancy and the importance of antenatal imaging combined with a multidisciplinary approach for a successful pregnancy outcome.

Abstract Image

Abstract Image

Abstract Image

妊娠期膀胱副神经节瘤围产儿结局成功一例报告。
妊娠期副神经节瘤(PGLs)是一种罕见的神经内分泌肿瘤,与母体和胎儿的发病率和死亡率增加有关。此外,它是更罕见的,这些位于膀胱内,患病率为
本文章由计算机程序翻译,如有差异,请以英文原文为准。
求助全文
约1分钟内获得全文 求助全文
来源期刊
BJR Case Reports
BJR Case Reports RADIOLOGY, NUCLEAR MEDICINE & MEDICAL IMAGING-
自引率
0.00%
发文量
77
审稿时长
11 weeks
×
引用
GB/T 7714-2015
复制
MLA
复制
APA
复制
导出至
BibTeX EndNote RefMan NoteFirst NoteExpress
×
提示
您的信息不完整,为了账户安全,请先补充。
现在去补充
×
提示
您因"违规操作"
具体请查看互助需知
我知道了
×
提示
确定
请完成安全验证×
copy
已复制链接
快去分享给好友吧!
我知道了
右上角分享
点击右上角分享
0
联系我们:info@booksci.cn Book学术提供免费学术资源搜索服务,方便国内外学者检索中英文文献。致力于提供最便捷和优质的服务体验。 Copyright © 2023 布克学术 All rights reserved.
京ICP备2023020795号-1
ghs 京公网安备 11010802042870号
Book学术文献互助
Book学术文献互助群
群 号:604180095
Book学术官方微信