Automated pulmonary nodule classification from low-dose CT images using ERBNet: an ensemble learning approach.

IF 2.6 4区 医学 Q2 COMPUTER SCIENCE, INTERDISCIPLINARY APPLICATIONS
Yashar Ahmadyar, Alireza Kamali-Asl, Rezvan Samimi, Hossein Arabi, Habib Zaidi
{"title":"Automated pulmonary nodule classification from low-dose CT images using ERBNet: an ensemble learning approach.","authors":"Yashar Ahmadyar, Alireza Kamali-Asl, Rezvan Samimi, Hossein Arabi, Habib Zaidi","doi":"10.1007/s11517-025-03358-2","DOIUrl":null,"url":null,"abstract":"<p><p>The aim of this study was to develop a deep learning method for analyzing CT images with varying doses and qualities, aiming to categorize lung lesions into nodules and non-nodules. This study utilized the lung nodule analysis 2016 challenge dataset. Different low-dose CT (LDCT) images, including 10%, 20%, 40%, and 60% levels, were generated from the full-dose CT (FDCT) images. Five different 3D convolutional networks were developed to classify lung nodules from LDCT and reference FDCT images. The models were evaluated using 400 nodule and 400 non-nodule samples. An ensemble model was also developed to achieve a generalizable model across different dose levels. The model achieved an accuracy of 97.0% for nodule classification on FDCT images. However, the model exhibited relatively poor performance (60% accuracy) on LDCT images, indicating that dedicated models should be developed for each low-dose level. Dedicated models for handling LDCT led to dramatic increases in the accuracy of nodule classification. The dedicated low-dose models achieved a nodule classification accuracy of 90.0%, 91.1%, 92.7%, and 93.8% for 10%, 20%, 40%, and 60% of FDCT images, respectively. The accuracy of the deep learning models decreased gradually by almost 7% as LDCT images proceeded from 100 to 10%. However, the ensemble model led to an accuracy of 95.0% when tested on a combination of various dose levels. We presented an ensemble 3D CNN classifier for lesion classification, utilizing both LDCT and FDCT images. This model is able to analyze a combination of CT images with different dose levels and image qualities.</p>","PeriodicalId":49840,"journal":{"name":"Medical & Biological Engineering & Computing","volume":" ","pages":"2767-2779"},"PeriodicalIF":2.6000,"publicationDate":"2025-09-01","publicationTypes":"Journal Article","fieldsOfStudy":null,"isOpenAccess":false,"openAccessPdf":"https://www.ncbi.nlm.nih.gov/pmc/articles/PMC12402046/pdf/","citationCount":"0","resultStr":null,"platform":"Semanticscholar","paperid":null,"PeriodicalName":"Medical & Biological Engineering & Computing","FirstCategoryId":"5","ListUrlMain":"https://doi.org/10.1007/s11517-025-03358-2","RegionNum":4,"RegionCategory":"医学","ArticlePicture":[],"TitleCN":null,"AbstractTextCN":null,"PMCID":null,"EPubDate":"2025/4/15 0:00:00","PubModel":"Epub","JCR":"Q2","JCRName":"COMPUTER SCIENCE, INTERDISCIPLINARY APPLICATIONS","Score":null,"Total":0}
引用次数: 0

Abstract

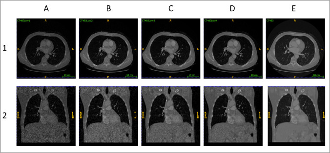
The aim of this study was to develop a deep learning method for analyzing CT images with varying doses and qualities, aiming to categorize lung lesions into nodules and non-nodules. This study utilized the lung nodule analysis 2016 challenge dataset. Different low-dose CT (LDCT) images, including 10%, 20%, 40%, and 60% levels, were generated from the full-dose CT (FDCT) images. Five different 3D convolutional networks were developed to classify lung nodules from LDCT and reference FDCT images. The models were evaluated using 400 nodule and 400 non-nodule samples. An ensemble model was also developed to achieve a generalizable model across different dose levels. The model achieved an accuracy of 97.0% for nodule classification on FDCT images. However, the model exhibited relatively poor performance (60% accuracy) on LDCT images, indicating that dedicated models should be developed for each low-dose level. Dedicated models for handling LDCT led to dramatic increases in the accuracy of nodule classification. The dedicated low-dose models achieved a nodule classification accuracy of 90.0%, 91.1%, 92.7%, and 93.8% for 10%, 20%, 40%, and 60% of FDCT images, respectively. The accuracy of the deep learning models decreased gradually by almost 7% as LDCT images proceeded from 100 to 10%. However, the ensemble model led to an accuracy of 95.0% when tested on a combination of various dose levels. We presented an ensemble 3D CNN classifier for lesion classification, utilizing both LDCT and FDCT images. This model is able to analyze a combination of CT images with different dose levels and image qualities.

Abstract Image

Abstract Image

Abstract Image

基于ERBNet的低剂量CT图像自动肺结节分类:一种集成学习方法。
本研究的目的是开发一种深度学习方法来分析不同剂量和质量的CT图像,旨在将肺部病变分类为结节和非结节。本研究利用2016年肺结节分析挑战数据集。在全剂量CT (FDCT)图像上生成10%、20%、40%和60%不同水平的低剂量CT (LDCT)图像。开发了五种不同的三维卷积网络,用于从LDCT和参考FDCT图像中对肺结节进行分类。采用400个结节和400个非结节样本对模型进行评价。还开发了一个集成模型,以实现跨不同剂量水平的可推广模型。该模型对FDCT图像的结节分类准确率达到97.0%。然而,该模型在LDCT图像上的表现相对较差(准确率为60%),这表明应该针对每个低剂量水平开发专用模型。用于处理LDCT的专用模型大大提高了结节分类的准确性。对于10%、20%、40%和60%的FDCT图像,专用低剂量模型的结节分类准确率分别为90.0%、91.1%、92.7%和93.8%。随着LDCT图像从100%下降到10%,深度学习模型的准确率逐渐下降了近7%。然而,当对不同剂量水平的组合进行测试时,集合模型的准确性为95.0%。我们提出了一个集成的3D CNN分类器,用于病灶分类,同时利用LDCT和FDCT图像。该模型能够分析不同剂量水平和图像质量的CT图像组合。
本文章由计算机程序翻译,如有差异,请以英文原文为准。
求助全文
约1分钟内获得全文 求助全文
来源期刊
Medical & Biological Engineering & Computing
Medical & Biological Engineering & Computing 医学-工程:生物医学
CiteScore
6.00
自引率
3.10%
发文量
249
审稿时长
3.5 months
期刊介绍: Founded in 1963, Medical & Biological Engineering & Computing (MBEC) continues to serve the biomedical engineering community, covering the entire spectrum of biomedical and clinical engineering. The journal presents exciting and vital experimental and theoretical developments in biomedical science and technology, and reports on advances in computer-based methodologies in these multidisciplinary subjects. The journal also incorporates new and evolving technologies including cellular engineering and molecular imaging. MBEC publishes original research articles as well as reviews and technical notes. Its Rapid Communications category focuses on material of immediate value to the readership, while the Controversies section provides a forum to exchange views on selected issues, stimulating a vigorous and informed debate in this exciting and high profile field. MBEC is an official journal of the International Federation of Medical and Biological Engineering (IFMBE).
×
引用
GB/T 7714-2015
复制
MLA
复制
APA
复制
导出至
BibTeX EndNote RefMan NoteFirst NoteExpress
×
提示
您的信息不完整,为了账户安全,请先补充。
现在去补充
×
提示
您因"违规操作"
具体请查看互助需知
我知道了
×
提示
确定
请完成安全验证×
copy
已复制链接
快去分享给好友吧!
我知道了
右上角分享
点击右上角分享
0
联系我们:info@booksci.cn Book学术提供免费学术资源搜索服务,方便国内外学者检索中英文文献。致力于提供最便捷和优质的服务体验。 Copyright © 2023 布克学术 All rights reserved.
京ICP备2023020795号-1
ghs 京公网安备 11010802042870号
Book学术文献互助
Book学术文献互助群
群 号:604180095
Book学术官方微信