A Rare Case of Pituicytoma During Pregnancy.

JCEM case reports Pub Date : 2025-04-11 eCollection Date: 2025-05-01 DOI:10.1210/jcemcr/luaf071
Junchen Wu, Hao Tang, Bo Zhang, Shaojian Lin, Zhe Bao Wu
{"title":"A Rare Case of Pituicytoma During Pregnancy.","authors":"Junchen Wu, Hao Tang, Bo Zhang, Shaojian Lin, Zhe Bao Wu","doi":"10.1210/jcemcr/luaf071","DOIUrl":null,"url":null,"abstract":"<p><p>Pituicytomas are rare benign sellar tumors that originate in the neurohypophysis. We report the first case of a pituicytoma during pregnancy, causing headaches and bilateral temporal visual field defects. A 32-year-old woman at 16 weeks of gestation was admitted to our hospital for headaches and progressively worsening visual impairment. Cranial magnetic resonance imaging (MRI) revealed a sellar lesion that was resected via a neuroendoscopic endonasal-transsphenoid approach. Pathology revealed a pituicytoma with positive progesterone receptor expression. After cerebrospinal fluid (CSF) leakage repair and anti-infective therapy, the patient recovered well and finally gave birth to a healthy child. This is the first case of pituicytoma during pregnancy reported. Pregnancy may have a contributing effect on the progression of progesterone receptor-positive pituicytomas. Surgical intervention, when performed with appropriate perioperative management, can effectively alleviate mass effects caused by pituicytomas in pregnant women while maintaining the safety of the fetus.</p>","PeriodicalId":73540,"journal":{"name":"JCEM case reports","volume":"3 5","pages":"luaf071"},"PeriodicalIF":0.0000,"publicationDate":"2025-04-11","publicationTypes":"Journal Article","fieldsOfStudy":null,"isOpenAccess":false,"openAccessPdf":"https://www.ncbi.nlm.nih.gov/pmc/articles/PMC11986585/pdf/","citationCount":"0","resultStr":null,"platform":"Semanticscholar","paperid":null,"PeriodicalName":"JCEM case reports","FirstCategoryId":"1085","ListUrlMain":"https://doi.org/10.1210/jcemcr/luaf071","RegionNum":0,"RegionCategory":null,"ArticlePicture":[],"TitleCN":null,"AbstractTextCN":null,"PMCID":null,"EPubDate":"2025/5/1 0:00:00","PubModel":"eCollection","JCR":"","JCRName":"","Score":null,"Total":0}
引用次数: 0

Abstract

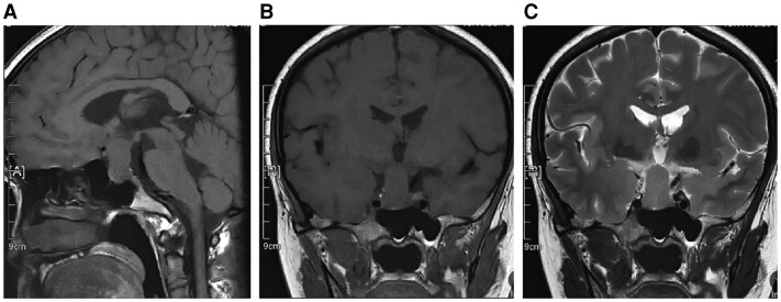
Pituicytomas are rare benign sellar tumors that originate in the neurohypophysis. We report the first case of a pituicytoma during pregnancy, causing headaches and bilateral temporal visual field defects. A 32-year-old woman at 16 weeks of gestation was admitted to our hospital for headaches and progressively worsening visual impairment. Cranial magnetic resonance imaging (MRI) revealed a sellar lesion that was resected via a neuroendoscopic endonasal-transsphenoid approach. Pathology revealed a pituicytoma with positive progesterone receptor expression. After cerebrospinal fluid (CSF) leakage repair and anti-infective therapy, the patient recovered well and finally gave birth to a healthy child. This is the first case of pituicytoma during pregnancy reported. Pregnancy may have a contributing effect on the progression of progesterone receptor-positive pituicytomas. Surgical intervention, when performed with appropriate perioperative management, can effectively alleviate mass effects caused by pituicytomas in pregnant women while maintaining the safety of the fetus.

Abstract Image

Abstract Image

妊娠期罕见垂体瘤1例。
垂体瘤是一种罕见的良性鞍区肿瘤,起源于神经垂体。我们报告第一例垂体瘤在怀孕期间,引起头痛和双侧颞区视野缺损。一名妊娠16周的32岁妇女因头痛和逐渐恶化的视力障碍入住我院。颅磁共振成像(MRI)显示鞍病变,经神经内窥镜鼻内-蝶窦入路切除。病理显示垂体瘤伴孕激素受体阳性表达。经脑脊液漏修补及抗感染治疗,患者恢复良好,最终生下一名健康儿童。这是报道的第一例妊娠期垂体瘤。妊娠可能对孕激素受体阳性垂体瘤的进展有促进作用。手术干预,在围手术期处理得当的情况下,可有效缓解垂体瘤对孕妇造成的肿块效应,同时保证胎儿的安全。
本文章由计算机程序翻译,如有差异,请以英文原文为准。
求助全文
约1分钟内获得全文 求助全文
来源期刊
自引率
0.00%
发文量
0
×
引用
GB/T 7714-2015
复制
MLA
复制
APA
复制
导出至
BibTeX EndNote RefMan NoteFirst NoteExpress
×
提示
您的信息不完整,为了账户安全,请先补充。
现在去补充
×
提示
您因"违规操作"
具体请查看互助需知
我知道了
×
提示
确定
请完成安全验证×
copy
已复制链接
快去分享给好友吧!
我知道了
右上角分享
点击右上角分享
0
联系我们:info@booksci.cn Book学术提供免费学术资源搜索服务,方便国内外学者检索中英文文献。致力于提供最便捷和优质的服务体验。 Copyright © 2023 布克学术 All rights reserved.
京ICP备2023020795号-1
ghs 京公网安备 11010802042870号
Book学术文献互助
Book学术文献互助群
群 号:604180095
Book学术官方微信