Endovascular treatment of a ruptured portal vein pseudoaneurysm secondary to a large stomach ulcer.

IF 1.5 Q3 CARDIAC & CARDIOVASCULAR SYSTEMS
John C DuBois, Aaron M Rohr, Ian T Kozlowski, Zachary S Collins
{"title":"Endovascular treatment of a ruptured portal vein pseudoaneurysm secondary to a large stomach ulcer.","authors":"John C DuBois, Aaron M Rohr, Ian T Kozlowski, Zachary S Collins","doi":"10.1186/s42155-025-00553-y","DOIUrl":null,"url":null,"abstract":"<p><p>This case describes the endovascular treatment of a 55-year old female with a ruptured portal vein pseudoaneurysm secondary to a large stomach ulcer resulting in massive active hemorrhage into the adjacent stomach. This patient presented with persistent hypotension secondary to chronic GI blood loss and simultaneous septic shock. After an abrupt drop in blood pressure, the patient arrived in the angiography suite where the ruptured pseudoaneurysm was apparent on portal venogram. Emergent stent assisted coil embolization was performed to stabilize the patient and treat the portal vein pseudoaneurysm. To our knowledge, this case presents the only portal vein pseudoaneurysm secondary to a gastric ulcer.Level of Evidence Level 4, Case-report.</p>","PeriodicalId":52351,"journal":{"name":"CVIR Endovascular","volume":"8 1","pages":"37"},"PeriodicalIF":1.5000,"publicationDate":"2025-05-03","publicationTypes":"Journal Article","fieldsOfStudy":null,"isOpenAccess":false,"openAccessPdf":"https://www.ncbi.nlm.nih.gov/pmc/articles/PMC12049341/pdf/","citationCount":"0","resultStr":null,"platform":"Semanticscholar","paperid":null,"PeriodicalName":"CVIR Endovascular","FirstCategoryId":"1085","ListUrlMain":"https://doi.org/10.1186/s42155-025-00553-y","RegionNum":0,"RegionCategory":null,"ArticlePicture":[],"TitleCN":null,"AbstractTextCN":null,"PMCID":null,"EPubDate":"","PubModel":"","JCR":"Q3","JCRName":"CARDIAC & CARDIOVASCULAR SYSTEMS","Score":null,"Total":0}
引用次数: 0

Abstract

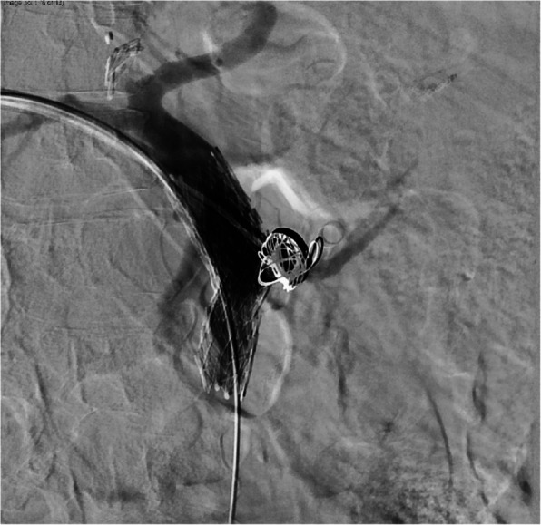
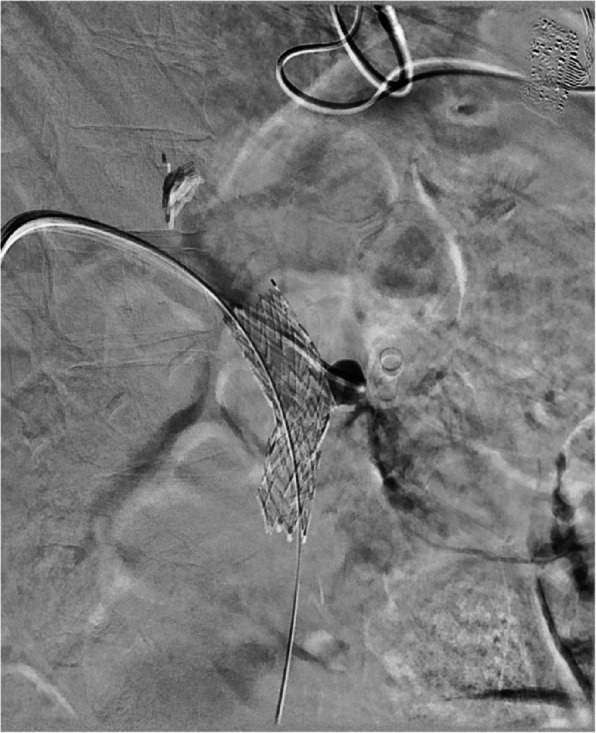
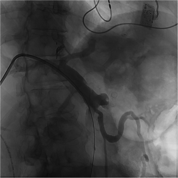
This case describes the endovascular treatment of a 55-year old female with a ruptured portal vein pseudoaneurysm secondary to a large stomach ulcer resulting in massive active hemorrhage into the adjacent stomach. This patient presented with persistent hypotension secondary to chronic GI blood loss and simultaneous septic shock. After an abrupt drop in blood pressure, the patient arrived in the angiography suite where the ruptured pseudoaneurysm was apparent on portal venogram. Emergent stent assisted coil embolization was performed to stabilize the patient and treat the portal vein pseudoaneurysm. To our knowledge, this case presents the only portal vein pseudoaneurysm secondary to a gastric ulcer.Level of Evidence Level 4, Case-report.

Abstract Image

Abstract Image

Abstract Image

大胃溃疡继发的门静脉假性动脉瘤破裂的血管内治疗。
本病例描述了一名55岁女性的血管内治疗,她的门静脉假性动脉瘤破裂继发于胃溃疡,导致邻近胃大量活动性出血。该患者表现为继发于慢性消化道失血和感染性休克的持续性低血压。在血压突然下降后,患者到达血管造影室,在门静脉造影上可见破裂的假性动脉瘤。紧急支架辅助线圈栓塞术稳定患者并治疗门静脉假性动脉瘤。据我们所知,这是唯一一例继发于胃溃疡的门静脉假性动脉瘤。证据等级4级,病例报告。
本文章由计算机程序翻译,如有差异,请以英文原文为准。
求助全文
约1分钟内获得全文 求助全文
来源期刊
CVIR Endovascular
CVIR Endovascular Medicine-Radiology, Nuclear Medicine and Imaging
CiteScore
2.30
自引率
0.00%
发文量
59
×
引用
GB/T 7714-2015
复制
MLA
复制
APA
复制
导出至
BibTeX EndNote RefMan NoteFirst NoteExpress
×
提示
您的信息不完整,为了账户安全,请先补充。
现在去补充
×
提示
您因"违规操作"
具体请查看互助需知
我知道了
×
提示
确定
请完成安全验证×
copy
已复制链接
快去分享给好友吧!
我知道了
右上角分享
点击右上角分享
0
联系我们:info@booksci.cn Book学术提供免费学术资源搜索服务,方便国内外学者检索中英文文献。致力于提供最便捷和优质的服务体验。 Copyright © 2023 布克学术 All rights reserved.
京ICP备2023020795号-1
ghs 京公网安备 11010802042870号
Book学术文献互助
Book学术文献互助群
群 号:604180095
Book学术官方微信