Does ozone gel enhance the bone width and buccal plate of bone thickness surrounding the implant following osseodensification? A randomized controlled clinical trial.

IF 1.8 Q3 DENTISTRY, ORAL SURGERY & MEDICINE
Dina Yousry, Raafat Riad, Rehab A Soliman, Mohamed ElSholkamy
{"title":"Does ozone gel enhance the bone width and buccal plate of bone thickness surrounding the implant following osseodensification? A randomized controlled clinical trial.","authors":"Dina Yousry, Raafat Riad, Rehab A Soliman, Mohamed ElSholkamy","doi":"10.1007/s10006-025-01367-x","DOIUrl":null,"url":null,"abstract":"<p><strong>Purpose: </strong>The present study was conducted to evaluate the effect of using ozone gel with transcrestal sinus elevation using osteotomes, on the bone width and the buccal plate of bone thickness around the implants placed simultaneously.</p><p><strong>Materials and methods: </strong>A total of 30 sinuses with an average residual alveolar bone height ranging from 4-7 mm participated in this randomized controlled clinical trial. Following a closed sinus lift procedure, patients were randomized into two groups: one for the ozone gel recipient group and the other for control group. Cone beam computed tomography was carried out both immediately and four months postoperatively. Radiographic evaluations were performed to assess bone width and labial plate thickness at both crestal and midcrestal levels.</p><p><strong>Results: </strong>Radiographic analysis revealed that the mean bone width of the control group after four months postoperative was (8.54 ± 1.46 mm) compared to (8.96 ± 1.66 mm) in the study group, which was statistically insignificant (P ≤ .0.05). The mean labial plate of bone thickness value of the control group after four months postoperative was (1.86 ± 0.63 mm) compared to (1.89 ± 0.51 mm) in the study group. Although the bone dimensions in the study group was higher than the control group, it was statistically insignificant (P ≤ .0.05).</p><p><strong>Conclusion: </strong>When compared to the graftless group, the ozone gel recipient group showed non-significant difference in the results in terms of bone width and thickness. Both methods, nevertheless, produced outcomes that were acceptable.</p><p><strong>Trial registration: </strong>This study protocol was retrospectively registered on the trial registry \"Clinical trials.gov PRS\".</p><p><strong>Clinicaltrials: </strong>gov ID is: NCT06604819 and the registration date is 20/9/2024.</p>","PeriodicalId":47251,"journal":{"name":"Oral and Maxillofacial Surgery-Heidelberg","volume":"29 1","pages":"82"},"PeriodicalIF":1.8000,"publicationDate":"2025-04-14","publicationTypes":"Journal Article","fieldsOfStudy":null,"isOpenAccess":false,"openAccessPdf":"https://www.ncbi.nlm.nih.gov/pmc/articles/PMC11996989/pdf/","citationCount":"0","resultStr":null,"platform":"Semanticscholar","paperid":null,"PeriodicalName":"Oral and Maxillofacial Surgery-Heidelberg","FirstCategoryId":"1085","ListUrlMain":"https://doi.org/10.1007/s10006-025-01367-x","RegionNum":0,"RegionCategory":null,"ArticlePicture":[],"TitleCN":null,"AbstractTextCN":null,"PMCID":null,"EPubDate":"","PubModel":"","JCR":"Q3","JCRName":"DENTISTRY, ORAL SURGERY & MEDICINE","Score":null,"Total":0}
引用次数: 0

Abstract

Purpose: The present study was conducted to evaluate the effect of using ozone gel with transcrestal sinus elevation using osteotomes, on the bone width and the buccal plate of bone thickness around the implants placed simultaneously.

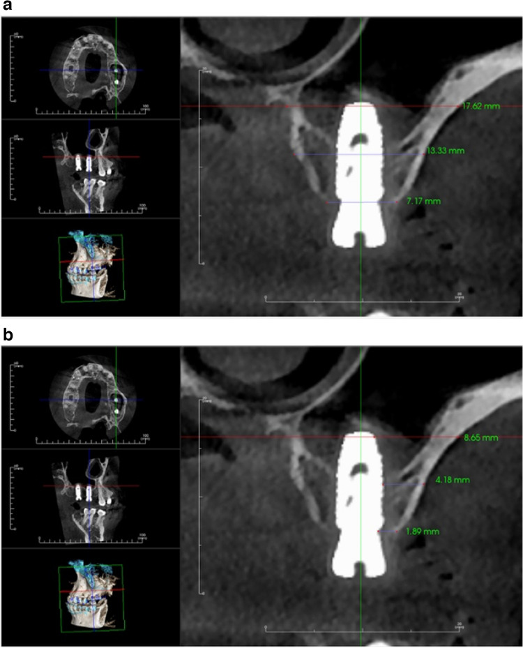
Materials and methods: A total of 30 sinuses with an average residual alveolar bone height ranging from 4-7 mm participated in this randomized controlled clinical trial. Following a closed sinus lift procedure, patients were randomized into two groups: one for the ozone gel recipient group and the other for control group. Cone beam computed tomography was carried out both immediately and four months postoperatively. Radiographic evaluations were performed to assess bone width and labial plate thickness at both crestal and midcrestal levels.

Results: Radiographic analysis revealed that the mean bone width of the control group after four months postoperative was (8.54 ± 1.46 mm) compared to (8.96 ± 1.66 mm) in the study group, which was statistically insignificant (P ≤ .0.05). The mean labial plate of bone thickness value of the control group after four months postoperative was (1.86 ± 0.63 mm) compared to (1.89 ± 0.51 mm) in the study group. Although the bone dimensions in the study group was higher than the control group, it was statistically insignificant (P ≤ .0.05).

Conclusion: When compared to the graftless group, the ozone gel recipient group showed non-significant difference in the results in terms of bone width and thickness. Both methods, nevertheless, produced outcomes that were acceptable.

Trial registration: This study protocol was retrospectively registered on the trial registry "Clinical trials.gov PRS".

Clinicaltrials: gov ID is: NCT06604819 and the registration date is 20/9/2024.

Abstract Image

Abstract Image

Abstract Image

臭氧凝胶在骨化后是否能提高种植体周围骨的宽度和颊板厚度?一项随机对照临床试验。
目的:探讨臭氧凝胶经瓣窦提升术对同时放置种植体周围骨宽度和颊板骨厚度的影响。材料与方法:本随机对照临床试验共30例,平均残牙槽骨高度在4- 7mm之间。在封闭的鼻窦提升手术后,患者被随机分为两组:一组为臭氧凝胶受体组,另一组为对照组。即刻及术后4个月分别行锥形束计算机断层扫描。x线摄影评估骨嵴和中嵴水平的骨宽度和唇板厚度。结果:x线分析显示,对照组术后4个月平均骨宽为(8.54±1.46 mm),研究组平均骨宽为(8.96±1.66 mm),差异无统计学意义(P≤0.0.05)。对照组术后4个月唇板骨厚度平均值为(1.86±0.63 mm),研究组术后4个月唇板骨厚度平均值为(1.89±0.51 mm)。研究组骨尺寸虽高于对照组,但差异无统计学意义(P≤0.05)。结论:臭氧凝胶受体组骨宽度和骨厚度与无骨移植组比较差异无统计学意义。然而,这两种方法都产生了可以接受的结果。试验注册:本研究方案在临床试验注册中心“Clinical trials.gov PRS”上回顾性注册。Clinicaltrials: gov ID: NCT06604819,注册日期20/9/2024。
本文章由计算机程序翻译,如有差异,请以英文原文为准。
求助全文
约1分钟内获得全文 求助全文
来源期刊
Oral and Maxillofacial Surgery-Heidelberg
Oral and Maxillofacial Surgery-Heidelberg DENTISTRY, ORAL SURGERY & MEDICINE-
CiteScore
3.20
自引率
5.60%
发文量
118
期刊介绍: Oral & Maxillofacial Surgery founded as Mund-, Kiefer- und Gesichtschirurgie is a peer-reviewed online journal. It is designed for clinicians as well as researchers.The quarterly journal offers comprehensive coverage of new techniques, important developments and innovative ideas in oral and maxillofacial surgery and interdisciplinary aspects of cranial, facial and oral diseases and their management. The journal publishes papers of the highest scientific merit and widest possible scope on work in oral and maxillofacial surgery as well as supporting specialties. Practice-oriented articles help improve the methods used in oral and maxillofacial surgery.Every aspect of oral and maxillofacial surgery is fully covered through a range of invited review articles, clinical and research articles, technical notes, abstracts, and case reports. Specific topics are: aesthetic facial surgery, clinical pathology, computer-assisted surgery, congenital and craniofacial deformities, dentoalveolar surgery, head and neck oncology, implant dentistry, oral medicine, orthognathic surgery, reconstructive surgery, skull base surgery, TMJ and trauma.Time-limited reviewing and electronic processing allow to publish articles as fast as possible. Accepted articles are rapidly accessible online.Clinical studies submitted for publication have to include a declaration that they have been approved by an ethical committee according to the World Medical Association Declaration of Helsinki 1964 (last amendment during the 52nd World Medical Association General Assembly, Edinburgh, Scotland, October 2000). Experimental animal studies have to be carried out according to the principles of laboratory animal care (NIH publication No 86-23, revised 1985).
×
引用
GB/T 7714-2015
复制
MLA
复制
APA
复制
导出至
BibTeX EndNote RefMan NoteFirst NoteExpress
×
提示
您的信息不完整,为了账户安全,请先补充。
现在去补充
×
提示
您因"违规操作"
具体请查看互助需知
我知道了
×
提示
确定
请完成安全验证×
copy
已复制链接
快去分享给好友吧!
我知道了
右上角分享
点击右上角分享
0
联系我们:info@booksci.cn Book学术提供免费学术资源搜索服务,方便国内外学者检索中英文文献。致力于提供最便捷和优质的服务体验。 Copyright © 2023 布克学术 All rights reserved.
京ICP备2023020795号-1
ghs 京公网安备 11010802042870号
Book学术文献互助
Book学术文献互助群
群 号:604180095
Book学术官方微信