Cemento-osseous dysplasia: a multi-centre analysis of surgical management.

IF 1.8 Q3 DENTISTRY, ORAL SURGERY & MEDICINE
Fadi Titinchi, Naser Alturki, Jean Morkel, Salem Alkaabi, Kathryn Taylor
{"title":"Cemento-osseous dysplasia: a multi-centre analysis of surgical management.","authors":"Fadi Titinchi, Naser Alturki, Jean Morkel, Salem Alkaabi, Kathryn Taylor","doi":"10.1007/s10006-025-01394-8","DOIUrl":null,"url":null,"abstract":"<p><strong>Purpose: </strong>Cemento-osseous dysplasia (COD) is a fibro-osseous lesion whose management is highly controversial in the literature. Due to scarcity of comprehensive studies on its management, the aim of this study was to analyse its management and develop a treatment protocol.</p><p><strong>Methods: </strong>A multi-centre retrospective cohort analysis was conducted at two tertiary referral hospitals on 124 patients diagnosed with COD from 2005 to 2023. Demographic, clinical, and radiological data were analysed and correlated with treatment methods. Post-operative complications such as osteomyelitis or pathological fracture were documented along with follow-up visits to evaluate the need for further treatment. Data was analysed using Student's t-test and Fisher's exact test. Statistical significance was set at P < 0.05.</p><p><strong>Results: </strong>The patients' ages ranged from 22 to 78 years (mean: 48.5 years), with majority being females (90.4%) and of African descent (95.9%). Radiopaque CODs presented significantly higher rate of symptoms compared to radiolucent or mixed lesions (p = 0.02). The majority of incidental CODs were managed through observation (72%), while six incidental CODs underwent biopsy due to suspicion of more sinister lesions. Symptomatic lesions were mainly treated by curettage (29.7%) or local excision (48.6%), while only one symptomatic case was managed with observation and antibiotics (p = 0.0001).</p><p><strong>Conclusion: </strong>Biopsy of asymptomatic COD should only be reserved for cases with inconclusive clinico-pathological features. The decision to surgically treat COD should be based on the presence of symptoms and infection. Early curettage or excision of infected COD is the most effective approach to eradicate the disease and prevent progression into osteomyelitis.</p><p><strong>Clinical trial number: </strong>Not applicable.</p>","PeriodicalId":47251,"journal":{"name":"Oral and Maxillofacial Surgery-Heidelberg","volume":"29 1","pages":"96"},"PeriodicalIF":1.8000,"publicationDate":"2025-05-07","publicationTypes":"Journal Article","fieldsOfStudy":null,"isOpenAccess":false,"openAccessPdf":"https://www.ncbi.nlm.nih.gov/pmc/articles/PMC12058939/pdf/","citationCount":"0","resultStr":null,"platform":"Semanticscholar","paperid":null,"PeriodicalName":"Oral and Maxillofacial Surgery-Heidelberg","FirstCategoryId":"1085","ListUrlMain":"https://doi.org/10.1007/s10006-025-01394-8","RegionNum":0,"RegionCategory":null,"ArticlePicture":[],"TitleCN":null,"AbstractTextCN":null,"PMCID":null,"EPubDate":"","PubModel":"","JCR":"Q3","JCRName":"DENTISTRY, ORAL SURGERY & MEDICINE","Score":null,"Total":0}
引用次数: 0

Abstract

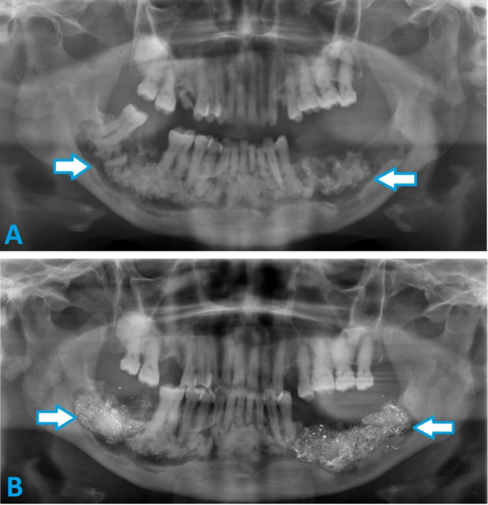
Purpose: Cemento-osseous dysplasia (COD) is a fibro-osseous lesion whose management is highly controversial in the literature. Due to scarcity of comprehensive studies on its management, the aim of this study was to analyse its management and develop a treatment protocol.

Methods: A multi-centre retrospective cohort analysis was conducted at two tertiary referral hospitals on 124 patients diagnosed with COD from 2005 to 2023. Demographic, clinical, and radiological data were analysed and correlated with treatment methods. Post-operative complications such as osteomyelitis or pathological fracture were documented along with follow-up visits to evaluate the need for further treatment. Data was analysed using Student's t-test and Fisher's exact test. Statistical significance was set at P < 0.05.

Results: The patients' ages ranged from 22 to 78 years (mean: 48.5 years), with majority being females (90.4%) and of African descent (95.9%). Radiopaque CODs presented significantly higher rate of symptoms compared to radiolucent or mixed lesions (p = 0.02). The majority of incidental CODs were managed through observation (72%), while six incidental CODs underwent biopsy due to suspicion of more sinister lesions. Symptomatic lesions were mainly treated by curettage (29.7%) or local excision (48.6%), while only one symptomatic case was managed with observation and antibiotics (p = 0.0001).

Conclusion: Biopsy of asymptomatic COD should only be reserved for cases with inconclusive clinico-pathological features. The decision to surgically treat COD should be based on the presence of symptoms and infection. Early curettage or excision of infected COD is the most effective approach to eradicate the disease and prevent progression into osteomyelitis.

Clinical trial number: Not applicable.

Abstract Image

Abstract Image

Abstract Image

骨水泥发育不良:手术治疗的多中心分析。
目的:骨水泥-骨性发育不良(COD)是一种纤维-骨性病变,其治疗方法在文献中存在很大争议。由于缺乏对其管理的全面研究,本研究的目的是分析其管理并制定治疗方案。方法:对2005 ~ 2023年在两家三级转诊医院诊断为COD的124例患者进行多中心回顾性队列分析。对人口学、临床和放射学资料进行分析,并与治疗方法相关联。术后并发症如骨髓炎或病理性骨折随随访记录,以评估进一步治疗的需要。数据分析采用学生t检验和费雪精确检验。结果:患者年龄22 ~ 78岁,平均48.5岁,以女性(90.4%)和非洲裔(95.9%)居多。与放射透明或混合病变相比,不透明病变的症状发生率显著高于放射透明病变(p = 0.02)。大多数偶发性CODs(72%)通过观察处理,而6例偶发性CODs因怀疑有更险恶的病变而行活检。有症状的病变主要采用刮除(29.7%)或局部切除(48.6%)治疗,仅有1例有症状的患者采用观察和抗生素治疗(p = 0.0001)。结论:无症状COD的活检应仅用于临床病理特征不明确的病例。手术治疗COD的决定应基于症状和感染的存在。早期刮除或切除感染的COD是根除疾病和防止进展为骨髓炎的最有效方法。临床试验号:不适用。
本文章由计算机程序翻译,如有差异,请以英文原文为准。
求助全文
约1分钟内获得全文 求助全文
来源期刊
Oral and Maxillofacial Surgery-Heidelberg
Oral and Maxillofacial Surgery-Heidelberg DENTISTRY, ORAL SURGERY & MEDICINE-
CiteScore
3.20
自引率
5.60%
发文量
118
期刊介绍: Oral & Maxillofacial Surgery founded as Mund-, Kiefer- und Gesichtschirurgie is a peer-reviewed online journal. It is designed for clinicians as well as researchers.The quarterly journal offers comprehensive coverage of new techniques, important developments and innovative ideas in oral and maxillofacial surgery and interdisciplinary aspects of cranial, facial and oral diseases and their management. The journal publishes papers of the highest scientific merit and widest possible scope on work in oral and maxillofacial surgery as well as supporting specialties. Practice-oriented articles help improve the methods used in oral and maxillofacial surgery.Every aspect of oral and maxillofacial surgery is fully covered through a range of invited review articles, clinical and research articles, technical notes, abstracts, and case reports. Specific topics are: aesthetic facial surgery, clinical pathology, computer-assisted surgery, congenital and craniofacial deformities, dentoalveolar surgery, head and neck oncology, implant dentistry, oral medicine, orthognathic surgery, reconstructive surgery, skull base surgery, TMJ and trauma.Time-limited reviewing and electronic processing allow to publish articles as fast as possible. Accepted articles are rapidly accessible online.Clinical studies submitted for publication have to include a declaration that they have been approved by an ethical committee according to the World Medical Association Declaration of Helsinki 1964 (last amendment during the 52nd World Medical Association General Assembly, Edinburgh, Scotland, October 2000). Experimental animal studies have to be carried out according to the principles of laboratory animal care (NIH publication No 86-23, revised 1985).
×
引用
GB/T 7714-2015
复制
MLA
复制
APA
复制
导出至
BibTeX EndNote RefMan NoteFirst NoteExpress
×
提示
您的信息不完整,为了账户安全,请先补充。
现在去补充
×
提示
您因"违规操作"
具体请查看互助需知
我知道了
×
提示
确定
请完成安全验证×
copy
已复制链接
快去分享给好友吧!
我知道了
右上角分享
点击右上角分享
0
联系我们:info@booksci.cn Book学术提供免费学术资源搜索服务,方便国内外学者检索中英文文献。致力于提供最便捷和优质的服务体验。 Copyright © 2023 布克学术 All rights reserved.
京ICP备2023020795号-1
ghs 京公网安备 11010802042870号
Book学术文献互助
Book学术文献互助群
群 号:604180095
Book学术官方微信