The Multiple Dosing Effects of Platelet-Rich Plasma on Cartilage Regeneration in Knee Osteoarthritis: Randomised, Placebo-Controlled Trial.

IF 0.6 Q4 ORTHOPEDICS
A Saraf, A Hussain, V Mahipal, T Agarwal, A Kush
{"title":"The Multiple Dosing Effects of Platelet-Rich Plasma on Cartilage Regeneration in Knee Osteoarthritis: Randomised, Placebo-Controlled Trial.","authors":"A Saraf, A Hussain, V Mahipal, T Agarwal, A Kush","doi":"10.5704/MOJ.2503.003","DOIUrl":null,"url":null,"abstract":"<p><strong>Introduction: </strong>The purpose of this study was to evaluate clinical and biochemical efficacy of autologous intraarticular (IA) platelet rich plasma (PRP) compared to saline and to measure effectiveness of single and multiple doses given at monthly intervals for Kellgren-Lawrence (K-L) grade II, III knee osteoarthritis (KOA).</p><p><strong>Material and methods: </strong>A total of 130 patients were randomised into 4 groups; PRP-1 (n=36), PRP-2 (n=34), PRP-3 (n=32) and saline (NS) (n=28), after approval from institute ethics committee (reference number: TMU/IEC/20-21/091) and was conducted in accordance with Helsinki declaration. Groups PRP-1, PRP-2, PRP-3 received single, double and triple injections of PRP whereas NS group received single saline (0.9%) injection. Assessment of outcome scores (visual analogue scale [VAS] and Western Ontario and McMaster Universities Arthritis Index [WOMAC]) was done at baseline and three, six, nine months post intervention. Serum collagen 2-1 (Coll2-1) estimation at baseline and nine months post-therapy was used for biochemical assessment.</p><p><strong>Results: </strong>Improvement in VAS and WOMAC was statistically significant and clinically meaningful (Minimal clinically important change [MCIC]; >12% of baseline and ≥2cm difference in mean for WOMAC and VAS, respectively) for groups PRP-1, PRP-2 and PRP-3 in comparison to saline (P<0.05), at every follow-up. PRP groups also exhibited a significant decrease in serum Coll2-1 at 9 months (P<0.05). On comparison among the PRP groups, multiple doses (groups PRP-2 and PRP-3) produced significantly better clinical results than single dose (group PRP-1) (P<0.05), whereas the difference in Coll2-1 levels was significant for group PRP-1 vs PRP-3 only (P<0.05).</p><p><strong>Conclusion: </strong>PRP results in clinically significant amelioration of functional and pain scores as well as significant reduction in serum levels of Coll2-1 in K-L grade II, III KOA over nine months. These benefits can be accentuated by multiple doses given one month apart.</p>","PeriodicalId":45241,"journal":{"name":"Malaysian Orthopaedic Journal","volume":"19 1","pages":"11-20"},"PeriodicalIF":0.6000,"publicationDate":"2025-03-01","publicationTypes":"Journal Article","fieldsOfStudy":null,"isOpenAccess":false,"openAccessPdf":"https://www.ncbi.nlm.nih.gov/pmc/articles/PMC12022701/pdf/","citationCount":"0","resultStr":null,"platform":"Semanticscholar","paperid":null,"PeriodicalName":"Malaysian Orthopaedic Journal","FirstCategoryId":"1085","ListUrlMain":"https://doi.org/10.5704/MOJ.2503.003","RegionNum":0,"RegionCategory":null,"ArticlePicture":[],"TitleCN":null,"AbstractTextCN":null,"PMCID":null,"EPubDate":"","PubModel":"","JCR":"Q4","JCRName":"ORTHOPEDICS","Score":null,"Total":0}
引用次数: 0

Abstract

Introduction: The purpose of this study was to evaluate clinical and biochemical efficacy of autologous intraarticular (IA) platelet rich plasma (PRP) compared to saline and to measure effectiveness of single and multiple doses given at monthly intervals for Kellgren-Lawrence (K-L) grade II, III knee osteoarthritis (KOA).

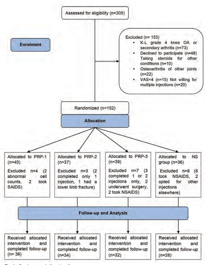
Material and methods: A total of 130 patients were randomised into 4 groups; PRP-1 (n=36), PRP-2 (n=34), PRP-3 (n=32) and saline (NS) (n=28), after approval from institute ethics committee (reference number: TMU/IEC/20-21/091) and was conducted in accordance with Helsinki declaration. Groups PRP-1, PRP-2, PRP-3 received single, double and triple injections of PRP whereas NS group received single saline (0.9%) injection. Assessment of outcome scores (visual analogue scale [VAS] and Western Ontario and McMaster Universities Arthritis Index [WOMAC]) was done at baseline and three, six, nine months post intervention. Serum collagen 2-1 (Coll2-1) estimation at baseline and nine months post-therapy was used for biochemical assessment.

Results: Improvement in VAS and WOMAC was statistically significant and clinically meaningful (Minimal clinically important change [MCIC]; >12% of baseline and ≥2cm difference in mean for WOMAC and VAS, respectively) for groups PRP-1, PRP-2 and PRP-3 in comparison to saline (P<0.05), at every follow-up. PRP groups also exhibited a significant decrease in serum Coll2-1 at 9 months (P<0.05). On comparison among the PRP groups, multiple doses (groups PRP-2 and PRP-3) produced significantly better clinical results than single dose (group PRP-1) (P<0.05), whereas the difference in Coll2-1 levels was significant for group PRP-1 vs PRP-3 only (P<0.05).

Conclusion: PRP results in clinically significant amelioration of functional and pain scores as well as significant reduction in serum levels of Coll2-1 in K-L grade II, III KOA over nine months. These benefits can be accentuated by multiple doses given one month apart.

Abstract Image

Abstract Image

多剂量富血小板血浆对膝关节骨性关节炎软骨再生的影响:随机、安慰剂对照试验。
本研究的目的是评估与生理盐水相比,自体关节内(IA)富血小板血浆(PRP)的临床和生化疗效,并衡量每月给药一次和多次给药治疗kellgreen - lawrence (K-L) II、III级膝骨关节炎(KOA)的有效性。材料与方法:将130例患者随机分为4组;PRP-1 (n=36)、PRP-2 (n=34)、PRP-3 (n=32)和生理盐水(NS) (n=28),经研究所伦理委员会(参考编号:TMU/IEC/20-21/091)批准,按照赫尔辛基宣言进行。PRP-1组、PRP-2组、PRP-3组分别单、双、三次注射PRP, NS组单次(0.9%)注射生理盐水。在基线和干预后3、6、9个月评估结果评分(视觉模拟量表[VAS]和西安大略和麦克马斯特大学关节炎指数[WOMAC])。基线和治疗后9个月血清胶原蛋白2-1 (Coll2-1)评估用于生化评估。结果:VAS和WOMAC的改善具有统计学意义和临床意义(minimum clinical important change [MCIC];与生理盐水相比,PRP-1、PRP-2和PRP-3组的基线和≥2cm的平均差异(分别为基线的12%和WOMAC和VAS的平均值差异)(结论:PRP在9个月内显著改善了K-L II级、III级KOA患者的功能和疼痛评分,显著降低了血清Coll2-1水平。这些益处可以通过间隔一个月多次给药而得到加强。
本文章由计算机程序翻译,如有差异,请以英文原文为准。
求助全文
约1分钟内获得全文 求助全文
来源期刊
CiteScore
1.30
自引率
0.00%
发文量
104
审稿时长
24 weeks
期刊介绍: The Malaysian Orthopaedic Journal is a peer-reviewed journal that publishes original papers and case reports three times a year in both printed and electronic version. The purpose of MOJ is to disseminate new knowledge and provide updates in Orthopaedics, trauma and musculoskeletal research. It is an Open Access journal that does not require processing fee or article processing charge from the authors. The Malaysian Orthopaedic Journal is the official journal of Malaysian Orthopaedic Association (MOA) and ASEAN Orthopaedic Association (AOA).
×
引用
GB/T 7714-2015
复制
MLA
复制
APA
复制
导出至
BibTeX EndNote RefMan NoteFirst NoteExpress
×
提示
您的信息不完整,为了账户安全,请先补充。
现在去补充
×
提示
您因"违规操作"
具体请查看互助需知
我知道了
×
提示
确定
请完成安全验证×
copy
已复制链接
快去分享给好友吧!
我知道了
右上角分享
点击右上角分享
0
联系我们:info@booksci.cn Book学术提供免费学术资源搜索服务,方便国内外学者检索中英文文献。致力于提供最便捷和优质的服务体验。 Copyright © 2023 布克学术 All rights reserved.
京ICP备2023020795号-1
ghs 京公网安备 11010802042870号
Book学术文献互助
Book学术文献互助群
群 号:604180095
Book学术官方微信