Spontaneous rupture during observation for degenerated uterine leiomyoma revealing uterine leiomyosarcoma: a case report.

IF 0.5 Q4 RADIOLOGY, NUCLEAR MEDICINE & MEDICAL IMAGING
BJR Case Reports Pub Date : 2025-04-27 eCollection Date: 2025-03-01 DOI:10.1093/bjrcr/uaaf023
Masaki Tsuda, Hiromi Edo, Yuki Arai, Kohei Shikata, Ryo Tanaka, Tsubasa Ito, Morikazu Miyamoto, Masashi Takano, Chikako Sato, Sho Ogata, Hiroshi Shinmoto
{"title":"Spontaneous rupture during observation for degenerated uterine leiomyoma revealing uterine leiomyosarcoma: a case report.","authors":"Masaki Tsuda, Hiromi Edo, Yuki Arai, Kohei Shikata, Ryo Tanaka, Tsubasa Ito, Morikazu Miyamoto, Masashi Takano, Chikako Sato, Sho Ogata, Hiroshi Shinmoto","doi":"10.1093/bjrcr/uaaf023","DOIUrl":null,"url":null,"abstract":"<p><p>This case report describes a 47-year-old premenopausal woman who presented with abdominal discomfort and had been previously monitored for a suspected uterine leiomyoma. MRI revealed a 15 cm mass within the uterine body and slight intratumoural haemorrhage. One month later, the patient presented with acute abdominal pain and was admitted to the hospital. Contrast-enhanced CT and MRI scans showed significant tumour enlargement to 20 cm, with disruption along the left margin, haemorrhagic ascites, and potential dissemination to the omentum. Total hysterectomy, bilateral salpingo-oophorectomy, and retroperitoneal lymph node dissection revealed uterine leiomyosarcoma with extensive necrosis and rupture. Pathological examination classified the tumour as stage IIB under the International Federation of Gynecology and Obstetrics system, with confirmed omental metastasis. Despite adjuvant chemotherapy, the patient experienced pelvic recurrence 10 months later and died 15 months postoperatively. This case emphasizes the importance of prompt gynaecological intervention for uterine masses exceeding 10 cm, as the risk of rupture increases, particularly when malignancy cannot be excluded based on imaging. Rupture in such cases is associated with a higher risk of recurrence and poor prognosis, making early surgical resection a reasonable consideration. Radiologists should actively communicate these risks to gynaecologists to facilitate timely surgical decision-making and improve patient outcomes.</p>","PeriodicalId":45216,"journal":{"name":"BJR Case Reports","volume":"11 2","pages":"uaaf023"},"PeriodicalIF":0.5000,"publicationDate":"2025-04-27","publicationTypes":"Journal Article","fieldsOfStudy":null,"isOpenAccess":false,"openAccessPdf":"https://www.ncbi.nlm.nih.gov/pmc/articles/PMC12034386/pdf/","citationCount":"0","resultStr":null,"platform":"Semanticscholar","paperid":null,"PeriodicalName":"BJR Case Reports","FirstCategoryId":"1085","ListUrlMain":"https://doi.org/10.1093/bjrcr/uaaf023","RegionNum":0,"RegionCategory":null,"ArticlePicture":[],"TitleCN":null,"AbstractTextCN":null,"PMCID":null,"EPubDate":"2025/3/1 0:00:00","PubModel":"eCollection","JCR":"Q4","JCRName":"RADIOLOGY, NUCLEAR MEDICINE & MEDICAL IMAGING","Score":null,"Total":0}
引用次数: 0

Abstract

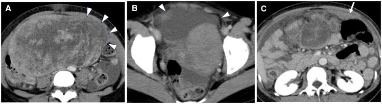
This case report describes a 47-year-old premenopausal woman who presented with abdominal discomfort and had been previously monitored for a suspected uterine leiomyoma. MRI revealed a 15 cm mass within the uterine body and slight intratumoural haemorrhage. One month later, the patient presented with acute abdominal pain and was admitted to the hospital. Contrast-enhanced CT and MRI scans showed significant tumour enlargement to 20 cm, with disruption along the left margin, haemorrhagic ascites, and potential dissemination to the omentum. Total hysterectomy, bilateral salpingo-oophorectomy, and retroperitoneal lymph node dissection revealed uterine leiomyosarcoma with extensive necrosis and rupture. Pathological examination classified the tumour as stage IIB under the International Federation of Gynecology and Obstetrics system, with confirmed omental metastasis. Despite adjuvant chemotherapy, the patient experienced pelvic recurrence 10 months later and died 15 months postoperatively. This case emphasizes the importance of prompt gynaecological intervention for uterine masses exceeding 10 cm, as the risk of rupture increases, particularly when malignancy cannot be excluded based on imaging. Rupture in such cases is associated with a higher risk of recurrence and poor prognosis, making early surgical resection a reasonable consideration. Radiologists should actively communicate these risks to gynaecologists to facilitate timely surgical decision-making and improve patient outcomes.

Abstract Image

Abstract Image

Abstract Image

退行性子宫平滑肌瘤自发性破裂,显露子宫平滑肌肉瘤1例。
本病例报告描述了一位47岁的绝经前妇女,她出现腹部不适,并曾被怀疑患有子宫平滑肌瘤。MRI显示子宫体内有一个15厘米的肿块和轻微的瘤内出血。1个月后,患者出现急性腹痛,入院治疗。CT和MRI增强扫描显示肿瘤明显增大至20厘米,沿左缘破裂,出血性腹水,并可能扩散到网膜。全子宫切除术、双侧输卵管-卵巢切除术及腹膜后淋巴结清扫显示子宫平滑肌肉瘤伴广泛坏死及破裂。病理检查为国际妇产科联合会IIB期,确认大网膜转移。尽管辅助化疗,患者10个月后出现盆腔复发,术后15个月死亡。本病例强调了对超过10厘米的子宫肿块进行及时妇科干预的重要性,因为破裂的风险增加,特别是当根据影像学不能排除恶性肿瘤时。在这种情况下,破裂与较高的复发风险和预后不良有关,因此早期手术切除是合理的考虑。放射科医生应积极与妇科医生沟通这些风险,以促进及时的手术决策和改善患者的预后。
本文章由计算机程序翻译,如有差异,请以英文原文为准。
求助全文
约1分钟内获得全文 求助全文
来源期刊
BJR Case Reports
BJR Case Reports RADIOLOGY, NUCLEAR MEDICINE & MEDICAL IMAGING-
自引率
0.00%
发文量
77
审稿时长
11 weeks
×
引用
GB/T 7714-2015
复制
MLA
复制
APA
复制
导出至
BibTeX EndNote RefMan NoteFirst NoteExpress
×
提示
您的信息不完整,为了账户安全,请先补充。
现在去补充
×
提示
您因"违规操作"
具体请查看互助需知
我知道了
×
提示
确定
请完成安全验证×
copy
已复制链接
快去分享给好友吧!
我知道了
右上角分享
点击右上角分享
0
联系我们:info@booksci.cn Book学术提供免费学术资源搜索服务,方便国内外学者检索中英文文献。致力于提供最便捷和优质的服务体验。 Copyright © 2023 布克学术 All rights reserved.
京ICP备2023020795号-1
ghs 京公网安备 11010802042870号
Book学术文献互助
Book学术文献互助群
群 号:604180095
Book学术官方微信