Anesthetic management of coronary artery reconstruction in a patient with myocardial ischemia caused by an anomalous origin of the right coronary artery running between the great vessels: a case report.

IF 1 Q3 ANESTHESIOLOGY
Riki Kuzuno, Shuji Kawamoto, Kenichiro Tatsumi, Chikashi Takeda, Moritoki Egi
{"title":"Anesthetic management of coronary artery reconstruction in a patient with myocardial ischemia caused by an anomalous origin of the right coronary artery running between the great vessels: a case report.","authors":"Riki Kuzuno, Shuji Kawamoto, Kenichiro Tatsumi, Chikashi Takeda, Moritoki Egi","doi":"10.1186/s40981-025-00786-9","DOIUrl":null,"url":null,"abstract":"<p><strong>Background: </strong>Coronary artery origin anomalies, though often incidentally detected, can lead to sudden death. Comprehensive perioperative management is essential. We report a case of an anomalous right coronary artery (RCA) arising from the left main coronary artery (LMCA) and coursing between the aorta and pulmonary artery, discovered after myocardial infarction, in which intraoperative management ensured successful coronary reconstruction.</p><p><strong>Case presentation: </strong>A 49-year-old woman presented with chest pain and ST segment elevation. Coronary angiography revealed an anomalous RCA demonstrating compressive ischemia by the aorta and pulmonary artery. Preoperatively, blood pressure was stabilized with an isosorbide dinitrate patch. Under cardiopulmonary bypass, the RCA was transected and reanastomosed to its physiological aortic position. Intraoperatively, nicorandil was administered to suppress vascular smooth muscle contraction, while five-lead ECG, transesophageal echocardiography, and operative ultrasound monitoring enabled early detection of ischemia and prevented hypertension. Postoperative ventricular premature contractions resolved by the next day, with uneventful recovery.</p><p><strong>Conclusions: </strong>Targeted pharmacologic blood pressure control and multimodal monitoring are vital for safe perioperative outcomes in anomalous coronary artery origin cases.</p>","PeriodicalId":14635,"journal":{"name":"JA Clinical Reports","volume":"11 1","pages":"21"},"PeriodicalIF":1.0000,"publicationDate":"2025-04-17","publicationTypes":"Journal Article","fieldsOfStudy":null,"isOpenAccess":false,"openAccessPdf":"https://www.ncbi.nlm.nih.gov/pmc/articles/PMC12006570/pdf/","citationCount":"0","resultStr":null,"platform":"Semanticscholar","paperid":null,"PeriodicalName":"JA Clinical Reports","FirstCategoryId":"1085","ListUrlMain":"https://doi.org/10.1186/s40981-025-00786-9","RegionNum":0,"RegionCategory":null,"ArticlePicture":[],"TitleCN":null,"AbstractTextCN":null,"PMCID":null,"EPubDate":"","PubModel":"","JCR":"Q3","JCRName":"ANESTHESIOLOGY","Score":null,"Total":0}
引用次数: 0

Abstract

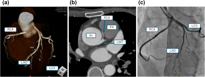
Background: Coronary artery origin anomalies, though often incidentally detected, can lead to sudden death. Comprehensive perioperative management is essential. We report a case of an anomalous right coronary artery (RCA) arising from the left main coronary artery (LMCA) and coursing between the aorta and pulmonary artery, discovered after myocardial infarction, in which intraoperative management ensured successful coronary reconstruction.

Case presentation: A 49-year-old woman presented with chest pain and ST segment elevation. Coronary angiography revealed an anomalous RCA demonstrating compressive ischemia by the aorta and pulmonary artery. Preoperatively, blood pressure was stabilized with an isosorbide dinitrate patch. Under cardiopulmonary bypass, the RCA was transected and reanastomosed to its physiological aortic position. Intraoperatively, nicorandil was administered to suppress vascular smooth muscle contraction, while five-lead ECG, transesophageal echocardiography, and operative ultrasound monitoring enabled early detection of ischemia and prevented hypertension. Postoperative ventricular premature contractions resolved by the next day, with uneventful recovery.

Conclusions: Targeted pharmacologic blood pressure control and multimodal monitoring are vital for safe perioperative outcomes in anomalous coronary artery origin cases.

Abstract Image

Abstract Image

右冠状动脉在大血管之间异常起始引起心肌缺血的冠状动脉重建的麻醉处理:1例报告。
背景:冠状动脉起源异常,虽然经常偶然发现,可导致猝死。全面的围手术期管理至关重要。我们报告一例异常右冠状动脉(RCA)起源于左主干冠状动脉(LMCA),并在主动脉和肺动脉之间走行,心肌梗死后发现,术中处理确保冠状动脉重建成功。病例介绍:一名49岁女性,表现为胸痛和ST段抬高。冠状动脉造影显示异常RCA,显示主动脉和肺动脉压缩性缺血。术前用硝酸异山梨酯贴片稳定血压。在体外循环下,横切RCA并将其重新吻合到其生理主动脉位置。术中给予尼可地尔抑制血管平滑肌收缩,同时进行五导联心电图、经食管超声心动图和术中超声监测,早期发现缺血,预防高血压。术后心室早搏在第二天消失,恢复平稳。结论:有针对性的药理学血压控制和多模式监测对冠状动脉异常患者围手术期的安全预后至关重要。
本文章由计算机程序翻译,如有差异,请以英文原文为准。
求助全文
约1分钟内获得全文 求助全文
来源期刊
JA Clinical Reports
JA Clinical Reports ANESTHESIOLOGY-
CiteScore
1.30
自引率
0.00%
发文量
90
审稿时长
9 weeks
期刊介绍: JA Clinical Reports is a companion journal to the Journal of Anesthesia (JA), the official journal of the Japanese Society of Anesthesiologists (JSA). This journal is an open access, peer-reviewed, online journal related to clinical anesthesia practices such as anesthesia management, pain management and intensive care. Case reports are very important articles from the viewpoint of education and the cultivation of scientific thinking in the field of anesthesia. However, submissions of anesthesia research and clinical reports from Japan are notably decreasing in major anesthesia journals. Therefore, the JSA has decided to launch a new journal, JA Clinical Reports, to encourage JSA members, particularly junior Japanese anesthesiologists, to publish papers in English language.
×
引用
GB/T 7714-2015
复制
MLA
复制
APA
复制
导出至
BibTeX EndNote RefMan NoteFirst NoteExpress
×
提示
您的信息不完整,为了账户安全,请先补充。
现在去补充
×
提示
您因"违规操作"
具体请查看互助需知
我知道了
×
提示
确定
请完成安全验证×
copy
已复制链接
快去分享给好友吧!
我知道了
右上角分享
点击右上角分享
0
联系我们:info@booksci.cn Book学术提供免费学术资源搜索服务,方便国内外学者检索中英文文献。致力于提供最便捷和优质的服务体验。 Copyright © 2023 布克学术 All rights reserved.
京ICP备2023020795号-1
ghs 京公网安备 11010802042870号
Book学术文献互助
Book学术文献互助群
群 号:604180095
Book学术官方微信