Case Report: a novel variant in WT1 leads to focal segmental glomerulosclerosis and uterovaginal anomalies through exon skipping.

Frontiers in nephrology Pub Date : 2025-04-01 eCollection Date: 2025-01-01 DOI:10.3389/fneph.2025.1542475
Jonathan Marquez, Lauren O'Sullivan, Audrey E Squire, Ginny L Ryan, Katherine E Debiec, Anne-Marie Amies Oelschlager, Margaret P Adam
{"title":"Case Report: a novel variant in <i>WT1</i> leads to focal segmental glomerulosclerosis and uterovaginal anomalies through exon skipping.","authors":"Jonathan Marquez, Lauren O'Sullivan, Audrey E Squire, Ginny L Ryan, Katherine E Debiec, Anne-Marie Amies Oelschlager, Margaret P Adam","doi":"10.3389/fneph.2025.1542475","DOIUrl":null,"url":null,"abstract":"<p><strong>Background: </strong>Podocytopathies are a varied set of renal diseases in which podocytes are unable to perform their typical filtration function within the glomerulus. This typically leads to edema, proteinuria, and hypoalbuminemia early in life. Among podocytopathies, focal segmental glomerulosclerosis (FSGS) is characterized by histology demonstrating segmental and focal sclerosis of the glomerular tuft. FSGS affects an estimated 1-20 per one million individuals and leads to significant morbidity and mortality related to renal failure. While FSGS can be attributed to many causes, such as drug reactions and infections, underlying pathogenic genetic variants play an increasingly well-recognized role in this disease.</p><p><strong>Case: </strong>A 38-year-old 46,XX female patient of self-reported Cambodian ancestry was evaluated due to her history of atypical uterovaginal morphology. She had a history of hypertension and nephrotic range proteinuria that was diagnosed early in adulthood. A kidney biopsy at that time revealed FSGS. Following worsening renal function and subsequent end-stage renal disease (ESRD), she underwent a kidney transplant at 33 years of age. After kidney transplant, she presented with hematocolpos and was found to have distal vaginal atresia and an arcuate uterus. She underwent vaginoplasty and then had regular menses. She was noted to have persistently elevated follicle stimulating hormone levels, consistent with primary ovarian insufficiency, but with normal anti-Müllerian hormone levels. Assessment of her family history was suggestive of other individuals in her family with similar renal disease and uterine differences. Genetic analysis identified a <i>WT1</i> variant (c.1338A>C; p. =) of uncertain significance that is also present in her similarly affected mother. To help clarify the potential impact of this variant, we completed a mini-gene assay to detect <i>in vitro</i> splicing changes in the presence of the <i>WT1</i> variant sequence uncovered in this individual. This demonstrated resultant aberrant splicing that further supports the pathogenicity of the uncovered variant for this individual.</p><p><strong>Conclusions: </strong>To our knowledge, this represents the first case of a podocytopathy with co-occurring uterovaginal anomalies due to exon skipping in <i>WT1</i>. The patient exhibited a severe course of chronic kidney dysfunction requiring a kidney transplant. Clinical RNA sequencing to clarify variants impacting splicing remains challenging due to tissue- specific gene expression for genes such as <i>WT1</i>, thus, research-based assays may be beneficial to understand the consequence of rare or previously uncharacterized variants.</p>","PeriodicalId":73091,"journal":{"name":"Frontiers in nephrology","volume":"5 ","pages":"1542475"},"PeriodicalIF":0.0000,"publicationDate":"2025-04-01","publicationTypes":"Journal Article","fieldsOfStudy":null,"isOpenAccess":false,"openAccessPdf":"https://www.ncbi.nlm.nih.gov/pmc/articles/PMC11997443/pdf/","citationCount":"0","resultStr":null,"platform":"Semanticscholar","paperid":null,"PeriodicalName":"Frontiers in nephrology","FirstCategoryId":"1085","ListUrlMain":"https://doi.org/10.3389/fneph.2025.1542475","RegionNum":0,"RegionCategory":null,"ArticlePicture":[],"TitleCN":null,"AbstractTextCN":null,"PMCID":null,"EPubDate":"2025/1/1 0:00:00","PubModel":"eCollection","JCR":"","JCRName":"","Score":null,"Total":0}
引用次数: 0

Abstract

Background: Podocytopathies are a varied set of renal diseases in which podocytes are unable to perform their typical filtration function within the glomerulus. This typically leads to edema, proteinuria, and hypoalbuminemia early in life. Among podocytopathies, focal segmental glomerulosclerosis (FSGS) is characterized by histology demonstrating segmental and focal sclerosis of the glomerular tuft. FSGS affects an estimated 1-20 per one million individuals and leads to significant morbidity and mortality related to renal failure. While FSGS can be attributed to many causes, such as drug reactions and infections, underlying pathogenic genetic variants play an increasingly well-recognized role in this disease.

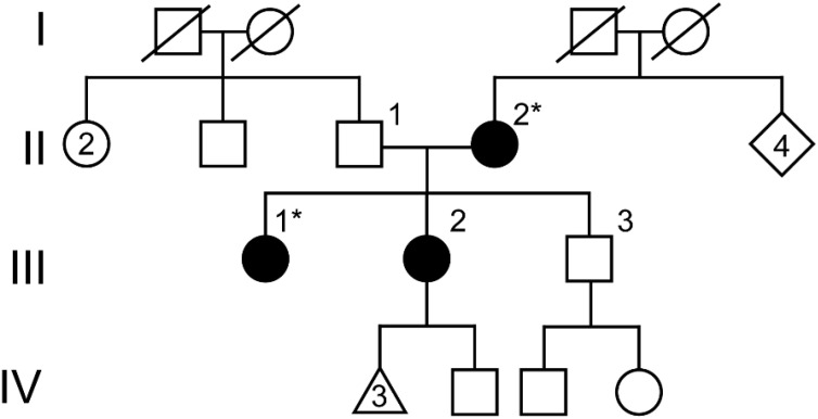
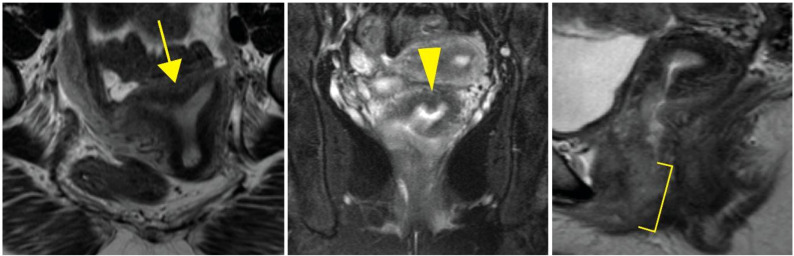
Case: A 38-year-old 46,XX female patient of self-reported Cambodian ancestry was evaluated due to her history of atypical uterovaginal morphology. She had a history of hypertension and nephrotic range proteinuria that was diagnosed early in adulthood. A kidney biopsy at that time revealed FSGS. Following worsening renal function and subsequent end-stage renal disease (ESRD), she underwent a kidney transplant at 33 years of age. After kidney transplant, she presented with hematocolpos and was found to have distal vaginal atresia and an arcuate uterus. She underwent vaginoplasty and then had regular menses. She was noted to have persistently elevated follicle stimulating hormone levels, consistent with primary ovarian insufficiency, but with normal anti-Müllerian hormone levels. Assessment of her family history was suggestive of other individuals in her family with similar renal disease and uterine differences. Genetic analysis identified a WT1 variant (c.1338A>C; p. =) of uncertain significance that is also present in her similarly affected mother. To help clarify the potential impact of this variant, we completed a mini-gene assay to detect in vitro splicing changes in the presence of the WT1 variant sequence uncovered in this individual. This demonstrated resultant aberrant splicing that further supports the pathogenicity of the uncovered variant for this individual.

Conclusions: To our knowledge, this represents the first case of a podocytopathy with co-occurring uterovaginal anomalies due to exon skipping in WT1. The patient exhibited a severe course of chronic kidney dysfunction requiring a kidney transplant. Clinical RNA sequencing to clarify variants impacting splicing remains challenging due to tissue- specific gene expression for genes such as WT1, thus, research-based assays may be beneficial to understand the consequence of rare or previously uncharacterized variants.

Abstract Image

Abstract Image

Abstract Image

病例报告:WT1的一种新变异通过外显子跳变导致局灶节段性肾小球硬化和子宫阴道异常。
背景:足细胞病是一种多种肾脏疾病,其中足细胞不能在肾小球内发挥其典型的滤过功能。这通常会导致水肿、蛋白尿和低白蛋白血症。在足细胞病变中,局灶性节段性肾小球硬化(FSGS)的特点是组织学表现为肾小球簇的节段性和局灶性硬化。据估计,每100万人中有1-20人患有FSGS,并导致与肾功能衰竭相关的显著发病率和死亡率。虽然FSGS可归因于多种原因,如药物反应和感染,但潜在的致病性遗传变异在该病中起着越来越被广泛认识的作用。病例:一名38岁46岁的女性患者,自报柬埔寨血统,因其不典型子宫阴道形态史而被评估。她有高血压和肾病性蛋白尿病史,在成年早期被诊断出来。当时的肾脏活检显示为FSGS。由于肾功能恶化和终末期肾病(ESRD),她在33岁时接受了肾移植手术。在肾移植后,她出现了血结肠,并被发现有阴道远端闭锁和弓形子宫。她接受了阴道成形术,然后定期来月经。注意到促卵泡激素水平持续升高,符合原发性卵巢功能不全,但抗勒氏杆菌激素水平正常。家族史的评估提示其家族中其他个体有类似的肾脏疾病和子宫差异。遗传分析鉴定出WT1变异(C . 1338a >C;p =)不确定的意义,也存在于她同样受影响的母亲身上。为了帮助阐明该变异的潜在影响,我们完成了一项迷你基因测定,以检测在该个体中发现的WT1变异序列存在时的体外剪接变化。这证明了由此产生的异常剪接进一步支持了该个体未发现的变异的致病性。结论:据我们所知,这是首例足细胞病与WT1外显子跳变引起的子宫阴道异常共同发生的病例。患者表现出严重的慢性肾功能障碍,需要进行肾移植。由于WT1等基因的组织特异性基因表达,阐明影响剪接的变异的临床RNA测序仍然具有挑战性,因此,基于研究的分析可能有助于了解罕见或以前未表征的变异的后果。
本文章由计算机程序翻译,如有差异,请以英文原文为准。
求助全文
约1分钟内获得全文 求助全文
来源期刊
自引率
0.00%
发文量
0
×
引用
GB/T 7714-2015
复制
MLA
复制
APA
复制
导出至
BibTeX EndNote RefMan NoteFirst NoteExpress
×
提示
您的信息不完整,为了账户安全,请先补充。
现在去补充
×
提示
您因"违规操作"
具体请查看互助需知
我知道了
×
提示
确定
请完成安全验证×
copy
已复制链接
快去分享给好友吧!
我知道了
右上角分享
点击右上角分享
0
联系我们:info@booksci.cn Book学术提供免费学术资源搜索服务,方便国内外学者检索中英文文献。致力于提供最便捷和优质的服务体验。 Copyright © 2023 布克学术 All rights reserved.
京ICP备2023020795号-1
ghs 京公网安备 11010802042870号
Book学术文献互助
Book学术文献互助群
群 号:604180095
Book学术官方微信