MOG positive primary autoimmune meningitis mimicking tuberculous meningitis: a case series.

IF 2.4 Q3 CLINICAL NEUROLOGY
BMJ Neurology Open Pub Date : 2025-04-27 eCollection Date: 2025-01-01 DOI:10.1136/bmjno-2024-000999
Tejas Shivarthi, Mahima Sriram, Muddana Nikhilesh, Sudheeran Kannoth, Vivek Nambiar, Siby Gopinath, Saraf Udit Umesh, Gopikrishnan Unnikrishnan, Anand Kumar, Annamma Mathai, Meena Thevarkalam
{"title":"MOG positive primary autoimmune meningitis mimicking tuberculous meningitis: a case series.","authors":"Tejas Shivarthi, Mahima Sriram, Muddana Nikhilesh, Sudheeran Kannoth, Vivek Nambiar, Siby Gopinath, Saraf Udit Umesh, Gopikrishnan Unnikrishnan, Anand Kumar, Annamma Mathai, Meena Thevarkalam","doi":"10.1136/bmjno-2024-000999","DOIUrl":null,"url":null,"abstract":"<p><strong>Objectives: </strong>Primary autoimmune meningitis presentation of myelin oligodendrocyte glycoprotein (MOG) IgG antibody positivity is infrequently reported. We aim to identify the patients with MOG IgG antibody positivity who were initially misdiagnosed and treated as tuberculous meningitis (TBM).</p><p><strong>Methods: </strong>A retrospective cross-sectional study conducted in the Neuroimmunology Laboratory and Department of Neurology of Amrita Institute of Medical Sciences, Kochi, Kerala, India between June 2018 and December 2023. MOG IgG antibody positive cases were identified from the Neuroimmunology Lab Registry, and the case sheets were screened for TBM-like presentation. Cases were included on the basis of MOG IgG positivity, an initial diagnosis of tuberculosis was suspected and antitubercular therapy was initiated with minimal response.</p><p><strong>Results: </strong>We described the clinical, microbiological, radiological and serological features of five patients with a TBM-like presentation eventually diagnosed with MOG-associated meningitis. Symptoms included headache, vomiting, visual impairment and weakness. Three patients showed normal MRIs and two patients showed MRI findings consistent with demyelination. Serum MOG antibody testing was positive only on serial testing of all five patients. The final diagnosis was MOG-associated meningitis in two patients and MOG-associated meningoencephalitis in three patients.</p><p><strong>Discussion: </strong>This case series highlights the rare presentation of MOG antibody positive patients presenting as primary autoimmune meningitis and its diagnostic challenges, especially in regions where tuberculosis is common. The study underscores the importance of considering autoimmune aetiology as a differential diagnosis when tuberculosis treatment fails or relapses occur, advocating for MOG IgG antibody testing to ensure accurate diagnosis and effective treatment.</p>","PeriodicalId":52754,"journal":{"name":"BMJ Neurology Open","volume":"7 1","pages":"e000999"},"PeriodicalIF":2.4000,"publicationDate":"2025-04-27","publicationTypes":"Journal Article","fieldsOfStudy":null,"isOpenAccess":false,"openAccessPdf":"https://www.ncbi.nlm.nih.gov/pmc/articles/PMC12035451/pdf/","citationCount":"0","resultStr":null,"platform":"Semanticscholar","paperid":null,"PeriodicalName":"BMJ Neurology Open","FirstCategoryId":"1085","ListUrlMain":"https://doi.org/10.1136/bmjno-2024-000999","RegionNum":0,"RegionCategory":null,"ArticlePicture":[],"TitleCN":null,"AbstractTextCN":null,"PMCID":null,"EPubDate":"2025/1/1 0:00:00","PubModel":"eCollection","JCR":"Q3","JCRName":"CLINICAL NEUROLOGY","Score":null,"Total":0}
引用次数: 0

Abstract

Objectives: Primary autoimmune meningitis presentation of myelin oligodendrocyte glycoprotein (MOG) IgG antibody positivity is infrequently reported. We aim to identify the patients with MOG IgG antibody positivity who were initially misdiagnosed and treated as tuberculous meningitis (TBM).

Methods: A retrospective cross-sectional study conducted in the Neuroimmunology Laboratory and Department of Neurology of Amrita Institute of Medical Sciences, Kochi, Kerala, India between June 2018 and December 2023. MOG IgG antibody positive cases were identified from the Neuroimmunology Lab Registry, and the case sheets were screened for TBM-like presentation. Cases were included on the basis of MOG IgG positivity, an initial diagnosis of tuberculosis was suspected and antitubercular therapy was initiated with minimal response.

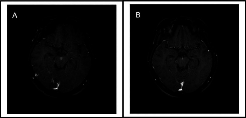
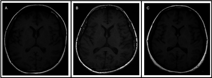
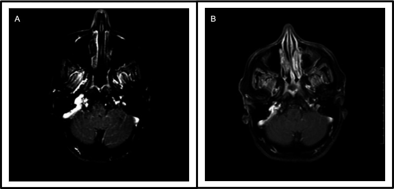
Results: We described the clinical, microbiological, radiological and serological features of five patients with a TBM-like presentation eventually diagnosed with MOG-associated meningitis. Symptoms included headache, vomiting, visual impairment and weakness. Three patients showed normal MRIs and two patients showed MRI findings consistent with demyelination. Serum MOG antibody testing was positive only on serial testing of all five patients. The final diagnosis was MOG-associated meningitis in two patients and MOG-associated meningoencephalitis in three patients.

Discussion: This case series highlights the rare presentation of MOG antibody positive patients presenting as primary autoimmune meningitis and its diagnostic challenges, especially in regions where tuberculosis is common. The study underscores the importance of considering autoimmune aetiology as a differential diagnosis when tuberculosis treatment fails or relapses occur, advocating for MOG IgG antibody testing to ensure accurate diagnosis and effective treatment.

Abstract Image

Abstract Image

Abstract Image

MOG阳性原发性自身免疫性脑膜炎模拟结核性脑膜炎:一个病例系列。
目的:原发性自身免疫性脑膜炎表现髓鞘少突胶质细胞糖蛋白(MOG) IgG抗体阳性是罕见的报道。我们的目的是找出MOG IgG抗体阳性,最初被误诊为结核性脑膜炎(TBM)的患者。方法:回顾性横断面研究于2018年6月至2023年12月在印度喀拉拉邦高知Amrita医学科学研究所神经免疫学实验室和神经内科进行。从神经免疫学实验室登记处发现MOG IgG抗体阳性病例,并对病例表进行tbm样表现筛选。根据MOG IgG阳性纳入病例,初步诊断为疑似结核病,并开始抗结核治疗,但收效甚微。结果:我们描述了5例最终诊断为mog相关性脑膜炎的tbm样表现患者的临床、微生物学、放射学和血清学特征。症状包括头痛、呕吐、视力受损和虚弱。3例MRI表现正常,2例MRI表现与脱髓鞘一致。血清MOG抗体检测仅在所有5例患者的连续检测中呈阳性。最终诊断为2例mog相关性脑膜炎和3例mog相关性脑膜脑炎。讨论:本病例系列强调了罕见的MOG抗体阳性患者表现为原发性自身免疫性脑膜炎及其诊断挑战,特别是在结核病常见的地区。该研究强调了在结核病治疗失败或复发时考虑自身免疫病因作为鉴别诊断的重要性,提倡进行MOG IgG抗体检测,以确保准确诊断和有效治疗。
本文章由计算机程序翻译,如有差异,请以英文原文为准。
求助全文
约1分钟内获得全文 求助全文
来源期刊
BMJ Neurology Open
BMJ Neurology Open Medicine-Neurology (clinical)
CiteScore
3.20
自引率
3.70%
发文量
46
审稿时长
13 weeks
×
引用
GB/T 7714-2015
复制
MLA
复制
APA
复制
导出至
BibTeX EndNote RefMan NoteFirst NoteExpress
×
提示
您的信息不完整,为了账户安全,请先补充。
现在去补充
×
提示
您因"违规操作"
具体请查看互助需知
我知道了
×
提示
确定
请完成安全验证×
copy
已复制链接
快去分享给好友吧!
我知道了
右上角分享
点击右上角分享
0
联系我们:info@booksci.cn Book学术提供免费学术资源搜索服务,方便国内外学者检索中英文文献。致力于提供最便捷和优质的服务体验。 Copyright © 2023 布克学术 All rights reserved.
京ICP备2023020795号-1
ghs 京公网安备 11010802042870号
Book学术文献互助
Book学术文献互助群
群 号:604180095
Book学术官方微信