Adverse local tissue reactions in arthroplasty: opportunities and challenges for a common terminology across scientific, clinical and regulatory fields.

IF 4 2区 医学 Q1 ORTHOPEDICS
Anastasia Rakow, Frank Schulze, Janosch Schoon, Ivan De Martino, Giorgio Perino
{"title":"Adverse local tissue reactions in arthroplasty: opportunities and challenges for a common terminology across scientific, clinical and regulatory fields.","authors":"Anastasia Rakow, Frank Schulze, Janosch Schoon, Ivan De Martino, Giorgio Perino","doi":"10.1530/EOR-2024-0116","DOIUrl":null,"url":null,"abstract":"<p><p>Clinicians, scientists and regulators do not use a common set of definitions and terminology to classify and code periprosthetic tissue reactions to wear debris of arthroplasty implants and a limited granularity is present to allow early identification of associated adverse events. Adverse local tissue reactions (ALTRs) is an umbrella term, which has been used in particular for periprosthetic tissue reactions to metal wear debris. In this review, it has been extended to all implant materials and adverse reaction to metallic debris as a subset of ALTR caused by or associated with metallic particulate debris. The high variability in the terminology of ALTRs used by national arthroplasty registries, various coding systems and clinicians impedes their accurate reporting and interpretation, crucial for evaluating the reasons for implant failure and revision arthroplasty. Histopathological examination of periprosthetic soft tissue and bone uses standardized criteria for the diagnoses of reactions to wear particles, significantly contributing to their understanding and refining their interdisciplinary terminology. This review critically analyzes the current gap in coding ALTRs due to arthroplasty implants' wear in national registries and classification systems of adverse events and the use of key terms. A comprehensive unified lexicon and classification system grounded on evidence-based histopathological analyses is proposed, implementing the following findings. (a) Pseudotumor is a descriptive term for ALTR, which cannot be used for codification. (b) Metallosis is a term lacking quantitative and qualitative determination and thus not a codifiable term for ALTR. (c) Aseptic lymphocyte dominant vasculitis-associated lesion (ALVAL) should not be used due to absence of histological findings diagnostic of vasculitis. (d) Metal delayed hypersensitivity and metal allergy should be codified as separate categories of adverse events. (e) ALTR is to be classified in due consideration of definition of predominant lymphocytic or predominant macrophage infiltrate. (f) Granulomatous reaction should be reserved to sarcoid-like, immune granulomas separated from the macrophage infiltrate with/without foreign body giant cell reaction. (g) Macrophage infiltrate containing particulate wear debris with or without lymphocytic component associated with macrophage induced osteolysis/aseptic loosening should be considered as a type of ALTR.</p>","PeriodicalId":48598,"journal":{"name":"Efort Open Reviews","volume":"10 5","pages":"224-236"},"PeriodicalIF":4.0000,"publicationDate":"2025-05-05","publicationTypes":"Journal Article","fieldsOfStudy":null,"isOpenAccess":false,"openAccessPdf":"https://www.ncbi.nlm.nih.gov/pmc/articles/PMC12061016/pdf/","citationCount":"0","resultStr":null,"platform":"Semanticscholar","paperid":null,"PeriodicalName":"Efort Open Reviews","FirstCategoryId":"3","ListUrlMain":"https://doi.org/10.1530/EOR-2024-0116","RegionNum":2,"RegionCategory":"医学","ArticlePicture":[],"TitleCN":null,"AbstractTextCN":null,"PMCID":null,"EPubDate":"","PubModel":"","JCR":"Q1","JCRName":"ORTHOPEDICS","Score":null,"Total":0}
引用次数: 0

Abstract

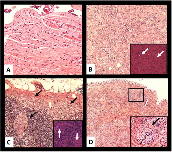
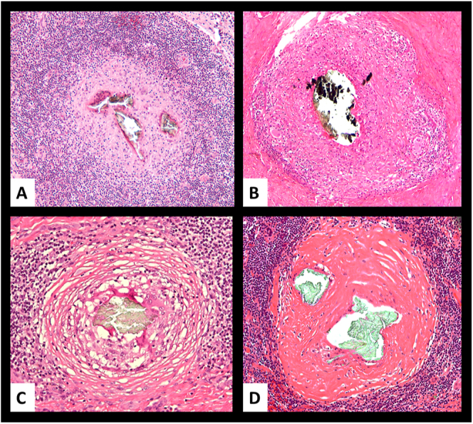
Clinicians, scientists and regulators do not use a common set of definitions and terminology to classify and code periprosthetic tissue reactions to wear debris of arthroplasty implants and a limited granularity is present to allow early identification of associated adverse events. Adverse local tissue reactions (ALTRs) is an umbrella term, which has been used in particular for periprosthetic tissue reactions to metal wear debris. In this review, it has been extended to all implant materials and adverse reaction to metallic debris as a subset of ALTR caused by or associated with metallic particulate debris. The high variability in the terminology of ALTRs used by national arthroplasty registries, various coding systems and clinicians impedes their accurate reporting and interpretation, crucial for evaluating the reasons for implant failure and revision arthroplasty. Histopathological examination of periprosthetic soft tissue and bone uses standardized criteria for the diagnoses of reactions to wear particles, significantly contributing to their understanding and refining their interdisciplinary terminology. This review critically analyzes the current gap in coding ALTRs due to arthroplasty implants' wear in national registries and classification systems of adverse events and the use of key terms. A comprehensive unified lexicon and classification system grounded on evidence-based histopathological analyses is proposed, implementing the following findings. (a) Pseudotumor is a descriptive term for ALTR, which cannot be used for codification. (b) Metallosis is a term lacking quantitative and qualitative determination and thus not a codifiable term for ALTR. (c) Aseptic lymphocyte dominant vasculitis-associated lesion (ALVAL) should not be used due to absence of histological findings diagnostic of vasculitis. (d) Metal delayed hypersensitivity and metal allergy should be codified as separate categories of adverse events. (e) ALTR is to be classified in due consideration of definition of predominant lymphocytic or predominant macrophage infiltrate. (f) Granulomatous reaction should be reserved to sarcoid-like, immune granulomas separated from the macrophage infiltrate with/without foreign body giant cell reaction. (g) Macrophage infiltrate containing particulate wear debris with or without lymphocytic component associated with macrophage induced osteolysis/aseptic loosening should be considered as a type of ALTR.

Abstract Image

Abstract Image

Abstract Image

关节置换术中局部组织不良反应:科学、临床和监管领域共同术语的机遇和挑战。
临床医生、科学家和监管机构没有使用一套通用的定义和术语来对关节置换术植入物磨损碎片的假体周围组织反应进行分类和编码,并且存在有限的粒度以允许早期识别相关不良事件。局部组织不良反应(ALTRs)是一个总称,特别用于金属磨损碎片引起的假体周围组织反应。在这篇综述中,它已经扩展到所有的种植材料和金属碎片的不良反应,作为由金属颗粒碎片引起或与之相关的ALTR的一个子集。国家关节置换术登记处、各种编码系统和临床医生使用的ALTRs术语的高度可变性阻碍了它们的准确报告和解释,这对于评估假体失败和翻修关节置换术的原因至关重要。假体周围软组织和骨骼的组织病理学检查使用标准化的标准来诊断磨损颗粒的反应,这大大有助于他们的理解和完善他们的跨学科术语。这篇综述批判性地分析了目前在国家登记和不良事件分类系统以及关键术语的使用中,由于关节置换术植入物磨损而导致的ALTRs编码的差距。基于基于证据的组织病理学分析,提出了一个全面统一的词典和分类系统,实现了以下发现。(a)假肿瘤是ALTR的描述性术语,不能用于编纂。(b)金属病是一个缺乏数量和质量确定的术语,因此不是一个可编入ALTR的术语。(c)无菌淋巴细胞显性血管炎相关病变(ALVAL)不应使用,因为没有诊断血管炎的组织学表现。(d)应将金属迟发性超敏反应和金属过敏编纂为不同的不良事件类别。(e) ALTR应根据主要淋巴细胞浸润或主要巨噬细胞浸润的定义进行分类。(f)肉芽肿反应应保留于结节样、从巨噬细胞浸润中分离出来的免疫肉芽肿,伴/不伴异物巨细胞反应。(g)巨噬细胞浸润含有颗粒磨损碎片,伴或不伴淋巴细胞成分,与巨噬细胞诱导的骨溶解/无菌性松动相关,应视为一种ALTR。
本文章由计算机程序翻译,如有差异,请以英文原文为准。
求助全文
约1分钟内获得全文 求助全文
来源期刊
Efort Open Reviews
Efort Open Reviews Medicine-Orthopedics and Sports Medicine
CiteScore
6.60
自引率
2.90%
发文量
101
审稿时长
13 weeks
期刊介绍: EFORT Open Reviews publishes high-quality instructional review articles across the whole field of orthopaedics and traumatology. Commissioned, peer-reviewed articles from international experts summarize current knowledge and practice in orthopaedics, with the aim of providing systematic coverage of the field. All articles undergo rigorous scientific editing to ensure the highest standards of accuracy and clarity. This continuously published online journal is fully open access and will provide integrated CME. It is an authoritative resource for educating trainees and supports practising orthopaedic surgeons in keeping informed about the latest clinical and scientific advances. One print issue containing a selection of papers from the journal will be published each year to coincide with the EFORT Annual Congress. EFORT Open Reviews is the official journal of the European Federation of National Associations of Orthopaedics and Traumatology (EFORT) and is published in partnership with The British Editorial Society of Bone & Joint Surgery.
×
引用
GB/T 7714-2015
复制
MLA
复制
APA
复制
导出至
BibTeX EndNote RefMan NoteFirst NoteExpress
×
提示
您的信息不完整,为了账户安全,请先补充。
现在去补充
×
提示
您因"违规操作"
具体请查看互助需知
我知道了
×
提示
确定
请完成安全验证×
copy
已复制链接
快去分享给好友吧!
我知道了
右上角分享
点击右上角分享
0
联系我们:info@booksci.cn Book学术提供免费学术资源搜索服务,方便国内外学者检索中英文文献。致力于提供最便捷和优质的服务体验。 Copyright © 2023 布克学术 All rights reserved.
京ICP备2023020795号-1
ghs 京公网安备 11010802042870号
Book学术文献互助
Book学术文献互助群
群 号:604180095
Book学术官方微信