Clear Cell Renal Carcinoma in an Ulcerative Colitis Patient Under Short-Term Immunosuppressive Therapy: A Case Report.

IF 2.2 Q2 MEDICINE, GENERAL & INTERNAL
Raffaele Pellegrino, Giuseppe Imperio, Michele Izzo, Ilaria De Costanzo, Fabio Landa, Paola Ciamarra, Marco Niosi, Antonietta Gerarda Gravina, Alessandro Federico
{"title":"Clear Cell Renal Carcinoma in an Ulcerative Colitis Patient Under Short-Term Immunosuppressive Therapy: A Case Report.","authors":"Raffaele Pellegrino, Giuseppe Imperio, Michele Izzo, Ilaria De Costanzo, Fabio Landa, Paola Ciamarra, Marco Niosi, Antonietta Gerarda Gravina, Alessandro Federico","doi":"10.3390/clinpract15040075","DOIUrl":null,"url":null,"abstract":"<p><p><b>Background/Objectives:</b> Renal cell cancer is a rare occurrence in patients with ulcerative colitis (UC), with no clearly demonstrated association between UC and an increased risk of renal malignancies. In this article, a case report concerning this relationship is presented. <b>Methods:</b> Our research group presented a case of clear cell renal carcinoma in a 56-year-old male with UC who had previously undergone ileorectal anastomosis and subtotal colectomy. <b>Results:</b> The patient developed a complex renal cyst that progressed to malignancy within one year while on immunosuppressive therapy with infliximab and then filgotinib. Previous ultrasound examinations of the kidney highlighted only simple cysts in the contralateral kidney in previous years. The neoplasm was promptly examined using contrast-enhanced ultrasound, confirming the diagnosis of a Bosniak IV cyst, which was corroborated by a subsequent computed tomography study. <b>Conclusions:</b> The patient underwent a nephrectomy and is currently scheduled for therapy with vedolizumab. Given the increasing use of biologics and small molecules in UC management, periodic ultrasound screening may be a valuable tool for the long-term monitoring of these patients.</p>","PeriodicalId":45306,"journal":{"name":"Clinics and Practice","volume":"15 4","pages":""},"PeriodicalIF":2.2000,"publicationDate":"2025-04-03","publicationTypes":"Journal Article","fieldsOfStudy":null,"isOpenAccess":false,"openAccessPdf":"https://www.ncbi.nlm.nih.gov/pmc/articles/PMC12026009/pdf/","citationCount":"0","resultStr":null,"platform":"Semanticscholar","paperid":null,"PeriodicalName":"Clinics and Practice","FirstCategoryId":"1085","ListUrlMain":"https://doi.org/10.3390/clinpract15040075","RegionNum":0,"RegionCategory":null,"ArticlePicture":[],"TitleCN":null,"AbstractTextCN":null,"PMCID":null,"EPubDate":"","PubModel":"","JCR":"Q2","JCRName":"MEDICINE, GENERAL & INTERNAL","Score":null,"Total":0}
引用次数: 0

Abstract

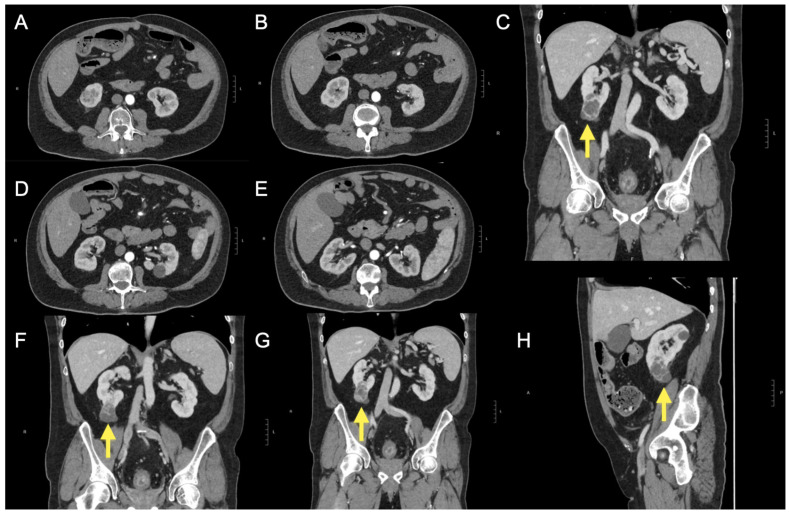
Background/Objectives: Renal cell cancer is a rare occurrence in patients with ulcerative colitis (UC), with no clearly demonstrated association between UC and an increased risk of renal malignancies. In this article, a case report concerning this relationship is presented. Methods: Our research group presented a case of clear cell renal carcinoma in a 56-year-old male with UC who had previously undergone ileorectal anastomosis and subtotal colectomy. Results: The patient developed a complex renal cyst that progressed to malignancy within one year while on immunosuppressive therapy with infliximab and then filgotinib. Previous ultrasound examinations of the kidney highlighted only simple cysts in the contralateral kidney in previous years. The neoplasm was promptly examined using contrast-enhanced ultrasound, confirming the diagnosis of a Bosniak IV cyst, which was corroborated by a subsequent computed tomography study. Conclusions: The patient underwent a nephrectomy and is currently scheduled for therapy with vedolizumab. Given the increasing use of biologics and small molecules in UC management, periodic ultrasound screening may be a valuable tool for the long-term monitoring of these patients.

Abstract Image

短期免疫抑制治疗的溃疡性结肠炎透明细胞肾癌一例报告。
背景/目的:肾细胞癌在溃疡性结肠炎(UC)患者中是罕见的,没有明确的证据表明UC与肾脏恶性肿瘤风险增加之间存在关联。在本文中,提出了一个关于这种关系的案例报告。方法:我们的研究小组报告了一例56岁男性UC透明细胞肾癌,他曾接受回直肠吻合术和结肠次全切除术。结果:患者在接受英夫利昔单抗和非戈替尼免疫抑制治疗一年内出现了复杂的肾囊肿,并进展为恶性肿瘤。以前的肾脏超声检查只突出了对侧肾脏的单纯性囊肿。肿瘤立即使用超声造影检查,确认诊断为Bosniak IV囊肿,随后的计算机断层扫描研究证实了这一点。结论:患者接受了肾切除术,目前计划使用vedolizumab治疗。鉴于UC管理中越来越多地使用生物制剂和小分子,定期超声筛查可能是这些患者长期监测的有价值的工具。
本文章由计算机程序翻译,如有差异,请以英文原文为准。
求助全文
约1分钟内获得全文 求助全文
来源期刊
Clinics and Practice
Clinics and Practice MEDICINE, GENERAL & INTERNAL-
CiteScore
2.60
自引率
4.30%
发文量
91
审稿时长
10 weeks
×
引用
GB/T 7714-2015
复制
MLA
复制
APA
复制
导出至
BibTeX EndNote RefMan NoteFirst NoteExpress
×
提示
您的信息不完整,为了账户安全,请先补充。
现在去补充
×
提示
您因"违规操作"
具体请查看互助需知
我知道了
×
提示
确定
请完成安全验证×
copy
已复制链接
快去分享给好友吧!
我知道了
右上角分享
点击右上角分享
0
联系我们:info@booksci.cn Book学术提供免费学术资源搜索服务,方便国内外学者检索中英文文献。致力于提供最便捷和优质的服务体验。 Copyright © 2023 布克学术 All rights reserved.
京ICP备2023020795号-1
ghs 京公网安备 11010802042870号
Book学术文献互助
Book学术文献互助群
群 号:604180095
Book学术官方微信