Development and application of deep learning-based diagnostics for pathologic diagnosis of gastric endoscopic submucosal dissection specimens.

IF 5.1 1区 医学 Q1 GASTROENTEROLOGY & HEPATOLOGY
Gastric Cancer Pub Date : 2025-07-01 Epub Date: 2025-04-15 DOI:10.1007/s10120-025-01612-y
Soomin Ahn, Yiyu Hong, Sujin Park, Yunjoo Cho, Inwoo Hwang, Ji Min Na, Hyuk Lee, Byung-Hoon Min, Jun Haeng Lee, Jae J Kim, Kyoung-Mee Kim
{"title":"Development and application of deep learning-based diagnostics for pathologic diagnosis of gastric endoscopic submucosal dissection specimens.","authors":"Soomin Ahn, Yiyu Hong, Sujin Park, Yunjoo Cho, Inwoo Hwang, Ji Min Na, Hyuk Lee, Byung-Hoon Min, Jun Haeng Lee, Jae J Kim, Kyoung-Mee Kim","doi":"10.1007/s10120-025-01612-y","DOIUrl":null,"url":null,"abstract":"<p><strong>Background: </strong>Accurate diagnosis of ESD specimens is crucial for managing early gastric cancer. Identifying tumor areas in serially sectioned ESD specimens requires experience and is time-consuming. This study aimed to develop and evaluate a deep learning model for diagnosing ESD specimens.</p><p><strong>Methods: </strong>Whole-slide images of 366 ESD specimens of adenocarcinoma were analyzed, with 2257 annotated regions of interest (tumor and muscularis mucosa) and 83,839 patch images. The development set was divided into training and internal validation sets. Tissue segmentation performance was evaluated using the internal validation set. A detection algorithm for tumor and submucosal invasion at the whole-slide image level was developed, and its performance was evaluated using a test set.</p><p><strong>Results: </strong>The model achieved Dice coefficients of 0.85 and 0.79 for segmentation of tumor and muscularis mucosa, respectively. In the test set, the diagnostic performance of tumor detection, measured by the AUROC, was 0.995, with a specificity of 1.000 and a sensitivity of 0.947. For detecting submucosal invasion, the model achieved an AUROC of 0.981, with a specificity of 0.956 and a sensitivity of 0.907. Pathologists' performance in diagnosing ESD specimens was evaluated with and without assistance from the deep learning model, and the model significantly reduced the mean diagnosis time (747 s without assistance vs. 478 s with assistance, P < 0.001).</p><p><strong>Conclusion: </strong>The deep learning model demonstrated satisfactory performance in tissue segmentation and high accuracy in detecting tumors and submucosal invasion. This model can potentially serve as a screening tool in the histopathological diagnosis of ESD specimens.</p>","PeriodicalId":12684,"journal":{"name":"Gastric Cancer","volume":" ","pages":"609-619"},"PeriodicalIF":5.1000,"publicationDate":"2025-07-01","publicationTypes":"Journal Article","fieldsOfStudy":null,"isOpenAccess":false,"openAccessPdf":"https://www.ncbi.nlm.nih.gov/pmc/articles/PMC12174210/pdf/","citationCount":"0","resultStr":null,"platform":"Semanticscholar","paperid":null,"PeriodicalName":"Gastric Cancer","FirstCategoryId":"3","ListUrlMain":"https://doi.org/10.1007/s10120-025-01612-y","RegionNum":1,"RegionCategory":"医学","ArticlePicture":[],"TitleCN":null,"AbstractTextCN":null,"PMCID":null,"EPubDate":"2025/4/15 0:00:00","PubModel":"Epub","JCR":"Q1","JCRName":"GASTROENTEROLOGY & HEPATOLOGY","Score":null,"Total":0}
引用次数: 0

Abstract

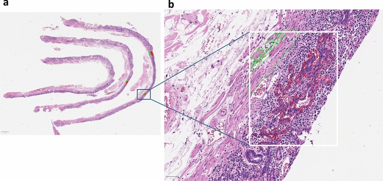
Background: Accurate diagnosis of ESD specimens is crucial for managing early gastric cancer. Identifying tumor areas in serially sectioned ESD specimens requires experience and is time-consuming. This study aimed to develop and evaluate a deep learning model for diagnosing ESD specimens.

Methods: Whole-slide images of 366 ESD specimens of adenocarcinoma were analyzed, with 2257 annotated regions of interest (tumor and muscularis mucosa) and 83,839 patch images. The development set was divided into training and internal validation sets. Tissue segmentation performance was evaluated using the internal validation set. A detection algorithm for tumor and submucosal invasion at the whole-slide image level was developed, and its performance was evaluated using a test set.

Results: The model achieved Dice coefficients of 0.85 and 0.79 for segmentation of tumor and muscularis mucosa, respectively. In the test set, the diagnostic performance of tumor detection, measured by the AUROC, was 0.995, with a specificity of 1.000 and a sensitivity of 0.947. For detecting submucosal invasion, the model achieved an AUROC of 0.981, with a specificity of 0.956 and a sensitivity of 0.907. Pathologists' performance in diagnosing ESD specimens was evaluated with and without assistance from the deep learning model, and the model significantly reduced the mean diagnosis time (747 s without assistance vs. 478 s with assistance, P < 0.001).

Conclusion: The deep learning model demonstrated satisfactory performance in tissue segmentation and high accuracy in detecting tumors and submucosal invasion. This model can potentially serve as a screening tool in the histopathological diagnosis of ESD specimens.

Abstract Image

Abstract Image

Abstract Image

基于深度学习的胃内镜下粘膜剥离标本病理诊断的发展与应用。
背景:ESD标本的准确诊断对早期胃癌的治疗至关重要。在连续切片的ESD标本中识别肿瘤区域需要经验且耗时。本研究旨在开发和评估用于诊断ESD标本的深度学习模型。方法:对366例腺癌ESD标本的全片图像进行分析,其中2257个带注释的感兴趣区域(肿瘤和粘膜肌层)和83839个斑块图像。开发集分为训练集和内部验证集。使用内部验证集评估组织分割性能。提出了一种肿瘤及粘膜下浸润的全片图像水平检测算法,并利用测试集对其性能进行了评价。结果:该模型对肿瘤和肌层粘膜的分割的Dice系数分别为0.85和0.79。在测试集中,AUROC对肿瘤检测的诊断效能为0.995,特异性为1.000,敏感性为0.947。对于检测粘膜下浸润,该模型AUROC为0.981,特异性为0.956,敏感性为0.907。通过评估病理学家在有无深度学习模型帮助下诊断ESD标本的表现,模型显著缩短了平均诊断时间(无辅助时为747 s,有辅助时为478 s) P。结论:深度学习模型在组织分割方面表现满意,在检测肿瘤和粘膜下浸润方面具有较高的准确性。该模型可作为ESD标本组织病理学诊断的筛选工具。
本文章由计算机程序翻译,如有差异,请以英文原文为准。
求助全文
约1分钟内获得全文 求助全文
来源期刊
Gastric Cancer
Gastric Cancer 医学-胃肠肝病学
CiteScore
14.70
自引率
2.70%
发文量
80
审稿时长
6-12 weeks
期刊介绍: Gastric Cancer is an esteemed global forum that focuses on various aspects of gastric cancer research, treatment, and biology worldwide. The journal promotes a diverse range of content, including original articles, case reports, short communications, and technical notes. It also welcomes Letters to the Editor discussing published articles or sharing viewpoints on gastric cancer topics. Review articles are predominantly sought after by the Editor, ensuring comprehensive coverage of the field. With a dedicated and knowledgeable editorial team, the journal is committed to providing exceptional support and ensuring high levels of author satisfaction. In fact, over 90% of published authors have expressed their intent to publish again in our esteemed journal.
×
引用
GB/T 7714-2015
复制
MLA
复制
APA
复制
导出至
BibTeX EndNote RefMan NoteFirst NoteExpress
×
提示
您的信息不完整,为了账户安全,请先补充。
现在去补充
×
提示
您因"违规操作"
具体请查看互助需知
我知道了
×
提示
确定
请完成安全验证×
copy
已复制链接
快去分享给好友吧!
我知道了
右上角分享
点击右上角分享
0
联系我们:info@booksci.cn Book学术提供免费学术资源搜索服务,方便国内外学者检索中英文文献。致力于提供最便捷和优质的服务体验。 Copyright © 2023 布克学术 All rights reserved.
京ICP备2023020795号-1
ghs 京公网安备 11010802042870号
Book学术文献互助
Book学术文献互助群
群 号:604180095
Book学术官方微信