Minimally invasive surgery lateral percutaneous sacroiliac joint fusion in a patient with radicular-type pain: case report and review of the literature.

Q1 Medicine
Journal of spine surgery Pub Date : 2025-03-24 Epub Date: 2025-03-19 DOI:10.21037/jss-24-93
Nathan J Winans, Bhargav Ayloo, Dean Chou, Andrew K Chan
{"title":"Minimally invasive surgery lateral percutaneous sacroiliac joint fusion in a patient with radicular-type pain: case report and review of the literature.","authors":"Nathan J Winans, Bhargav Ayloo, Dean Chou, Andrew K Chan","doi":"10.21037/jss-24-93","DOIUrl":null,"url":null,"abstract":"<p><strong>Background: </strong>Sacroiliac (SI) joint pain represents a common and often misdiagnosed source of low back and buttock pain. Importantly, SI joint pain can present with lower extremity radicular-type pain and closely mimic a herniated vertebral disc. During the physical exam, nearly all patients with back pain should be evaluated using provocative maneuvers that stress the SI joint. Diagnosis can be further supported with local anesthetic SI joint blocks. Plain radiographs and/or computed tomography (CT) imaging often demonstrate sacroiliac joint degeneration (e.g., joint space narrowing, vacuum phenomenon, osteophyte formation, sclerosis). Other diagnostic studies include magnetic resonance imaging (MRI) of the lumbar spine to evaluate the spinal column, spinal canal, and neural foramina and single photon emission computed tomography scan with CT (SPECT/CT) to identify foci with increased metabolic activity that could be pain generators.</p><p><strong>Case description: </strong>We present the case of a 76-year-old woman with a 1-year history of progressive left-sided low back pain that progressed along an S1 radicular distribution and became debilitating, interfering with their activities of daily living. Specifically, the pain radiated along the left buttocks, down the posterior aspect of the leg, and into the heel. SPECT/CT demonstrated non-specific, symmetric radiotracer uptake within the bilateral SI joints. She had a positive response to two SI joint injections. The patient was ultimately treated with a SI joint fusion. This case raises questions regarding the sensitivity and specificity of SPECT/CT for SI joint pain. A minimally invasive surgery (MIS) lateral SI joint fusion using navigated and fenestrated screws can provide significant pain relief.</p><p><strong>Conclusions: </strong>This case illustrates the diverse presentation of SI joint pain, the diagnostic process including the use of SPECT/CT, and the application of MIS fusion techniques for treatment.</p>","PeriodicalId":17131,"journal":{"name":"Journal of spine surgery","volume":"11 1","pages":"191-196"},"PeriodicalIF":0.0000,"publicationDate":"2025-03-24","publicationTypes":"Journal Article","fieldsOfStudy":null,"isOpenAccess":false,"openAccessPdf":"https://www.ncbi.nlm.nih.gov/pmc/articles/PMC11998051/pdf/","citationCount":"0","resultStr":null,"platform":"Semanticscholar","paperid":null,"PeriodicalName":"Journal of spine surgery","FirstCategoryId":"1085","ListUrlMain":"https://doi.org/10.21037/jss-24-93","RegionNum":0,"RegionCategory":null,"ArticlePicture":[],"TitleCN":null,"AbstractTextCN":null,"PMCID":null,"EPubDate":"2025/3/19 0:00:00","PubModel":"Epub","JCR":"Q1","JCRName":"Medicine","Score":null,"Total":0}
引用次数: 0

Abstract

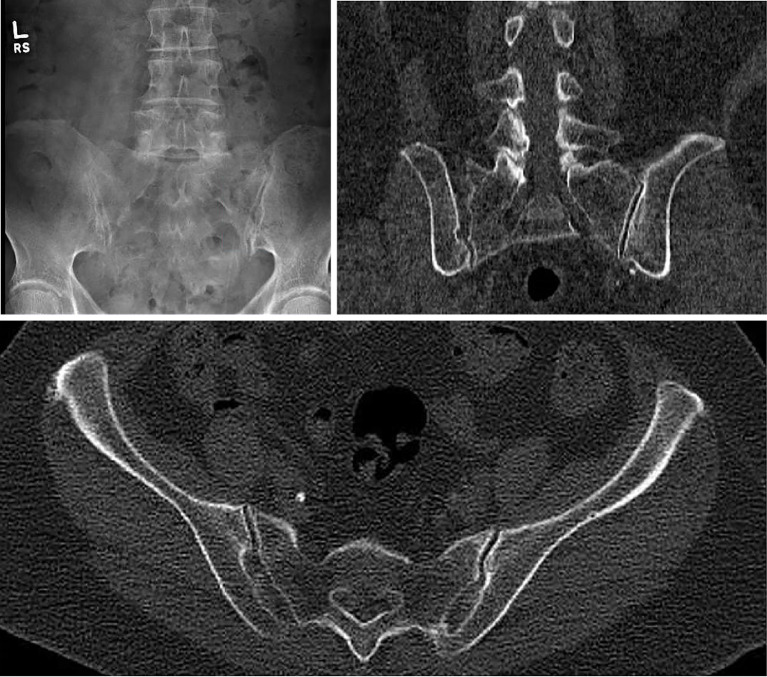
Background: Sacroiliac (SI) joint pain represents a common and often misdiagnosed source of low back and buttock pain. Importantly, SI joint pain can present with lower extremity radicular-type pain and closely mimic a herniated vertebral disc. During the physical exam, nearly all patients with back pain should be evaluated using provocative maneuvers that stress the SI joint. Diagnosis can be further supported with local anesthetic SI joint blocks. Plain radiographs and/or computed tomography (CT) imaging often demonstrate sacroiliac joint degeneration (e.g., joint space narrowing, vacuum phenomenon, osteophyte formation, sclerosis). Other diagnostic studies include magnetic resonance imaging (MRI) of the lumbar spine to evaluate the spinal column, spinal canal, and neural foramina and single photon emission computed tomography scan with CT (SPECT/CT) to identify foci with increased metabolic activity that could be pain generators.

Case description: We present the case of a 76-year-old woman with a 1-year history of progressive left-sided low back pain that progressed along an S1 radicular distribution and became debilitating, interfering with their activities of daily living. Specifically, the pain radiated along the left buttocks, down the posterior aspect of the leg, and into the heel. SPECT/CT demonstrated non-specific, symmetric radiotracer uptake within the bilateral SI joints. She had a positive response to two SI joint injections. The patient was ultimately treated with a SI joint fusion. This case raises questions regarding the sensitivity and specificity of SPECT/CT for SI joint pain. A minimally invasive surgery (MIS) lateral SI joint fusion using navigated and fenestrated screws can provide significant pain relief.

Conclusions: This case illustrates the diverse presentation of SI joint pain, the diagnostic process including the use of SPECT/CT, and the application of MIS fusion techniques for treatment.

Abstract Image

Abstract Image

Abstract Image

微创手术外侧经皮骶髂关节融合术治疗神经根型疼痛1例:病例报告及文献复习。
背景:骶髂关节疼痛是一种常见且常被误诊的腰背部和臀部疼痛来源。重要的是,SI关节疼痛可以表现为下肢神经根型疼痛,与椎间盘突出非常相似。在体格检查中,几乎所有的背痛患者都应该使用刺激骶髂关节的动作进行评估。局部麻醉SI关节阻滞可进一步支持诊断。x线平片和/或计算机断层扫描(CT)成像常显示骶髂关节退变(如关节间隙狭窄、真空现象、骨赘形成、硬化症)。其他诊断研究包括腰椎的磁共振成像(MRI)来评估脊柱、椎管和神经孔,以及单光子发射CT计算机断层扫描(SPECT/CT)来识别代谢活动增加的病灶,这些病灶可能是疼痛的产生者。病例描述:我们报告了一位76岁的女性,她有1年的进行性左腰痛病史,沿着S1神经根分布进展,并变得虚弱,干扰了日常生活活动。具体来说,疼痛沿着左臀部放射,向下延伸到腿后部,并进入脚跟。SPECT/CT显示双侧SI关节内非特异性、对称的放射性示踪剂摄取。她对两次SI关节注射有积极反应。患者最终接受了SI关节融合术。本病例提出了关于SPECT/CT对SI关节疼痛的敏感性和特异性的问题。微创手术(MIS)外侧SI关节融合使用导航和开窗螺钉可以显著缓解疼痛。结论:本病例说明了骶髂关节疼痛的多种表现,诊断过程包括SPECT/CT的使用,以及MIS融合技术的应用。
本文章由计算机程序翻译,如有差异,请以英文原文为准。
求助全文
约1分钟内获得全文 求助全文
来源期刊
Journal of spine surgery
Journal of spine surgery Medicine-Surgery
CiteScore
5.60
自引率
0.00%
发文量
24
×
引用
GB/T 7714-2015
复制
MLA
复制
APA
复制
导出至
BibTeX EndNote RefMan NoteFirst NoteExpress
×
提示
您的信息不完整,为了账户安全,请先补充。
现在去补充
×
提示
您因"违规操作"
具体请查看互助需知
我知道了
×
提示
确定
请完成安全验证×
copy
已复制链接
快去分享给好友吧!
我知道了
右上角分享
点击右上角分享
0
联系我们:info@booksci.cn Book学术提供免费学术资源搜索服务,方便国内外学者检索中英文文献。致力于提供最便捷和优质的服务体验。 Copyright © 2023 布克学术 All rights reserved.
京ICP备2023020795号-1
ghs 京公网安备 11010802042870号
Book学术文献互助
Book学术文献互助群
群 号:604180095
Book学术官方微信