Endovascular treatment of a descending thoracic aorta aneurysm in a patient with right sided aortic arch: a case report.

IF 1.5 Q3 CARDIAC & CARDIOVASCULAR SYSTEMS
Nefeli Ntinou, Panagiotis Petaloudis, Dimitra Tachmetzidi Papoutsi, Vasileios Panou, Myrto Papadopoulou, Dimitrios Tomais, Ioannis Kalogeropoulos, Theodoros Kratimenos
{"title":"Endovascular treatment of a descending thoracic aorta aneurysm in a patient with right sided aortic arch: a case report.","authors":"Nefeli Ntinou, Panagiotis Petaloudis, Dimitra Tachmetzidi Papoutsi, Vasileios Panou, Myrto Papadopoulou, Dimitrios Tomais, Ioannis Kalogeropoulos, Theodoros Kratimenos","doi":"10.1186/s42155-025-00526-1","DOIUrl":null,"url":null,"abstract":"<p><strong>Backround: </strong>Right-sided aortic arch is a rare congenital variant. The Edwards classification describes three types of right sided-aortic arch: right aortic arch with aberrant left subclavian artery, right aortic arch with mirror image branching, and right aortic arch with isolation of the left subclavian artery. Aneurysms associated with right sided aortic arch are rare. Pain is the commonest presenting symptom, but due to the anatomy of the right aortic arch, the symptoms may be atypical, as dysphagia. We present a case of a challenging endovascular repair in a patient with aneurysm of descending thoracic aorta and right aortic arch.</p><p><strong>Case presentation: </strong>Α 55 year old patient was admitted in our hospital with chest pain. After the initial clinical and laboratory workout that was negative for acute coronary syndrome, Computed Tomography Angiography revealed an aneurysm of the descending aorta 10,3 cm in width, and a right sided aortic arch (Edwards' classification). Endovascular repair was selected as the treatment option of choice. Technically the endografting was challenging, firstly because of the right sided aortic arch, secondly because the four aortic branches originate independently. In order to identify the orifices of arch vessels during the angiography, brachial access in both upper extremities was achieved. In this way, it was possible to correctly deploy the thoracic aortic stent graft. No endoleaks were observed in the final angiography. Postoperative Computed Tomography Angiography 10 months after the operation showed no endoleaks.</p><p><strong>Conclusion: </strong>This case indicates that TEVAR is feasible as a treatment option in patients with right-sided aortic arch, even though technically is challenging. However more evidence-based data are needed to certify long-term safety and efficacy of endovascular repair in treatment of thoracic aortic aneurysm associated with right-sided aortic arch.</p>","PeriodicalId":52351,"journal":{"name":"CVIR Endovascular","volume":"8 1","pages":"38"},"PeriodicalIF":1.5000,"publicationDate":"2025-05-05","publicationTypes":"Journal Article","fieldsOfStudy":null,"isOpenAccess":false,"openAccessPdf":"https://www.ncbi.nlm.nih.gov/pmc/articles/PMC12050239/pdf/","citationCount":"0","resultStr":null,"platform":"Semanticscholar","paperid":null,"PeriodicalName":"CVIR Endovascular","FirstCategoryId":"1085","ListUrlMain":"https://doi.org/10.1186/s42155-025-00526-1","RegionNum":0,"RegionCategory":null,"ArticlePicture":[],"TitleCN":null,"AbstractTextCN":null,"PMCID":null,"EPubDate":"","PubModel":"","JCR":"Q3","JCRName":"CARDIAC & CARDIOVASCULAR SYSTEMS","Score":null,"Total":0}
引用次数: 0

Abstract

Backround: Right-sided aortic arch is a rare congenital variant. The Edwards classification describes three types of right sided-aortic arch: right aortic arch with aberrant left subclavian artery, right aortic arch with mirror image branching, and right aortic arch with isolation of the left subclavian artery. Aneurysms associated with right sided aortic arch are rare. Pain is the commonest presenting symptom, but due to the anatomy of the right aortic arch, the symptoms may be atypical, as dysphagia. We present a case of a challenging endovascular repair in a patient with aneurysm of descending thoracic aorta and right aortic arch.

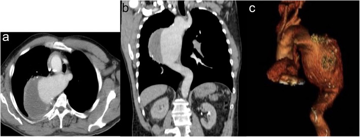
Case presentation: Α 55 year old patient was admitted in our hospital with chest pain. After the initial clinical and laboratory workout that was negative for acute coronary syndrome, Computed Tomography Angiography revealed an aneurysm of the descending aorta 10,3 cm in width, and a right sided aortic arch (Edwards' classification). Endovascular repair was selected as the treatment option of choice. Technically the endografting was challenging, firstly because of the right sided aortic arch, secondly because the four aortic branches originate independently. In order to identify the orifices of arch vessels during the angiography, brachial access in both upper extremities was achieved. In this way, it was possible to correctly deploy the thoracic aortic stent graft. No endoleaks were observed in the final angiography. Postoperative Computed Tomography Angiography 10 months after the operation showed no endoleaks.

Conclusion: This case indicates that TEVAR is feasible as a treatment option in patients with right-sided aortic arch, even though technically is challenging. However more evidence-based data are needed to certify long-term safety and efficacy of endovascular repair in treatment of thoracic aortic aneurysm associated with right-sided aortic arch.

Abstract Image

Abstract Image

Abstract Image

右主动脉弓胸降主动脉动脉瘤的血管内治疗:1例报告。
背景:右侧主动脉弓是一种罕见的先天性变异。爱德华兹分类法描述了三种类型的右主动脉弓:左锁骨下动脉异常的右主动脉弓、镜像分支的右主动脉弓和左锁骨下动脉分离的右主动脉弓。与右侧主动脉弓相关的动脉瘤是罕见的。疼痛是最常见的症状,但由于右主动脉弓的解剖结构,症状可能是非典型的,如吞咽困难。我们提出了一例具有挑战性的血管内修复病人的胸降主动脉和右主动脉弓动脉瘤。病例介绍:Α患者55岁,因胸痛入院。在最初的临床和实验室检查未发现急性冠状动脉综合征后,ct血管造影显示降主动脉动脉瘤,宽度为10.3 cm,右侧主动脉弓(Edwards分类)。血管内修复是首选的治疗方案。从技术上讲,内移植术是具有挑战性的,首先是因为右侧主动脉弓,其次是因为四个主动脉分支是独立的。为了在血管造影中识别弓血管的孔口,我们实现了双上肢的肱通道。通过这种方法,可以正确放置胸主动脉支架。最终血管造影未见内漏。术后10个月ct血管造影未见内渗漏。结论:该病例表明TEVAR作为右侧主动脉弓患者的一种治疗选择是可行的,尽管技术上具有挑战性。然而,需要更多的循证数据来证明血管内修复治疗右侧主动脉弓相关胸主动脉瘤的长期安全性和有效性。
本文章由计算机程序翻译,如有差异,请以英文原文为准。
求助全文
约1分钟内获得全文 求助全文
来源期刊
CVIR Endovascular
CVIR Endovascular Medicine-Radiology, Nuclear Medicine and Imaging
CiteScore
2.30
自引率
0.00%
发文量
59
×
引用
GB/T 7714-2015
复制
MLA
复制
APA
复制
导出至
BibTeX EndNote RefMan NoteFirst NoteExpress
×
提示
您的信息不完整,为了账户安全,请先补充。
现在去补充
×
提示
您因"违规操作"
具体请查看互助需知
我知道了
×
提示
确定
请完成安全验证×
copy
已复制链接
快去分享给好友吧!
我知道了
右上角分享
点击右上角分享
0
联系我们:info@booksci.cn Book学术提供免费学术资源搜索服务,方便国内外学者检索中英文文献。致力于提供最便捷和优质的服务体验。 Copyright © 2023 布克学术 All rights reserved.
京ICP备2023020795号-1
ghs 京公网安备 11010802042870号
Book学术文献互助
Book学术文献互助群
群 号:604180095
Book学术官方微信