HBV core protein enhances WDR46 stabilization to upregulate NUSAP1 and promote HCC progression.

IF 5.6 2区 医学 Q1 GASTROENTEROLOGY & HEPATOLOGY
Hepatology Communications Pub Date : 2025-05-06 eCollection Date: 2025-05-01 DOI:10.1097/HC9.0000000000000680
Fanyun Kong, Ensi Bao, Yujie Zhong, Yuxin Wang, Ruyu Liu, Huanyang Zhang, Lu Yang, Rong Jiang, Xuanke Liu, Chen Li, Xiangye Liu, Xiucheng Pan, Kuiyang Zheng, Hongjuan You, Renxian Tang
{"title":"HBV core protein enhances WDR46 stabilization to upregulate NUSAP1 and promote HCC progression.","authors":"Fanyun Kong, Ensi Bao, Yujie Zhong, Yuxin Wang, Ruyu Liu, Huanyang Zhang, Lu Yang, Rong Jiang, Xuanke Liu, Chen Li, Xiangye Liu, Xiucheng Pan, Kuiyang Zheng, Hongjuan You, Renxian Tang","doi":"10.1097/HC9.0000000000000680","DOIUrl":null,"url":null,"abstract":"<p><strong>Background: </strong>The HBV core protein (HBC) is crucial for the progression of HCC. WD repeat-containing (WDR) 46 (WDR46) is implicated in the development of different tumors. Nevertheless, whether WDR46 is controlled by HBC to drive hepatocarcinogenesis remains unclear.</p><p><strong>Methods: </strong>Different HCC cohorts, immunohistochemical staining, and bioinformatics analysis were utilized to estimate the clinical correlation between WDR46 and HBV-associated HCC. Western blotting, co-immunoprecipitation, chromatin immunoprecipitation, and oncology functional assays were performed to evaluate the effect of HBC on WDR46 in upregulating nucleolar spindle-associated protein 1 (NUSAP1), the influence of WDR46 on HBC-mediated HCC cell biological functions, and the mechanisms of WDR46 upregulation mediated by HBC to increase NUSAP1.</p><p><strong>Results: </strong>WDR46 expression was elevated in HBV-related HCC in a HBC-dependent manner. Overexpression of WDR46 is closely linked to severe prognosis of tumors. Functionally, WDR46 contributes to HBC-induced cell growth and migration in vitro and in vivo. Furthermore, HBC enhanced WDR46 protein stabilization by hampering the interaction between WDR46 and TRIM25, thereby decreasing WDR46 ubiquitination. NUSAP1, a DNA replication-related molecule, is a vital downstream target of WDR46. Relying on WDR46, HBC promoted NUSAP1 upregulation to modulate the biological functions of HBC in HCC cells. Importantly, HBC enhanced the interaction between WDR46 and the transcription factor c-Myc to facilitate c-Myc recruitment to the NUSAP1 promoter, leading to the increase of NUSAP1 transcription.</p><p><strong>Conclusions: </strong>Our comprehensive data provides new insights into the mechanisms responsible for HBC-induced hepatocarcinogenesis. WDR46 and its downstream molecule, NUSAP1, may act as novel therapeutic targets for HBV-related tumors.</p>","PeriodicalId":12978,"journal":{"name":"Hepatology Communications","volume":"9 5","pages":""},"PeriodicalIF":5.6000,"publicationDate":"2025-05-06","publicationTypes":"Journal Article","fieldsOfStudy":null,"isOpenAccess":false,"openAccessPdf":"https://www.ncbi.nlm.nih.gov/pmc/articles/PMC12055171/pdf/","citationCount":"0","resultStr":null,"platform":"Semanticscholar","paperid":null,"PeriodicalName":"Hepatology Communications","FirstCategoryId":"3","ListUrlMain":"https://doi.org/10.1097/HC9.0000000000000680","RegionNum":2,"RegionCategory":"医学","ArticlePicture":[],"TitleCN":null,"AbstractTextCN":null,"PMCID":null,"EPubDate":"2025/5/1 0:00:00","PubModel":"eCollection","JCR":"Q1","JCRName":"GASTROENTEROLOGY & HEPATOLOGY","Score":null,"Total":0}
引用次数: 0

Abstract

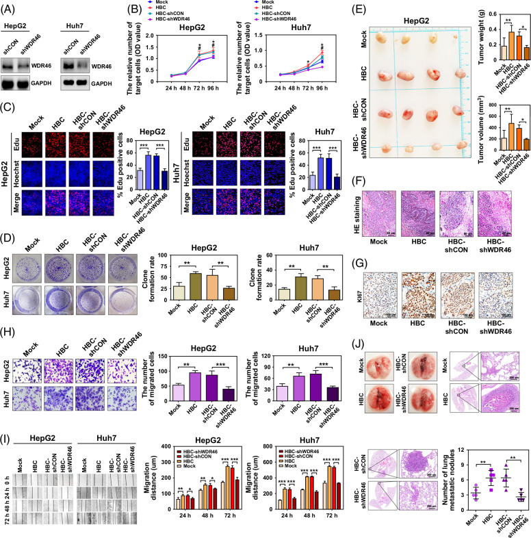
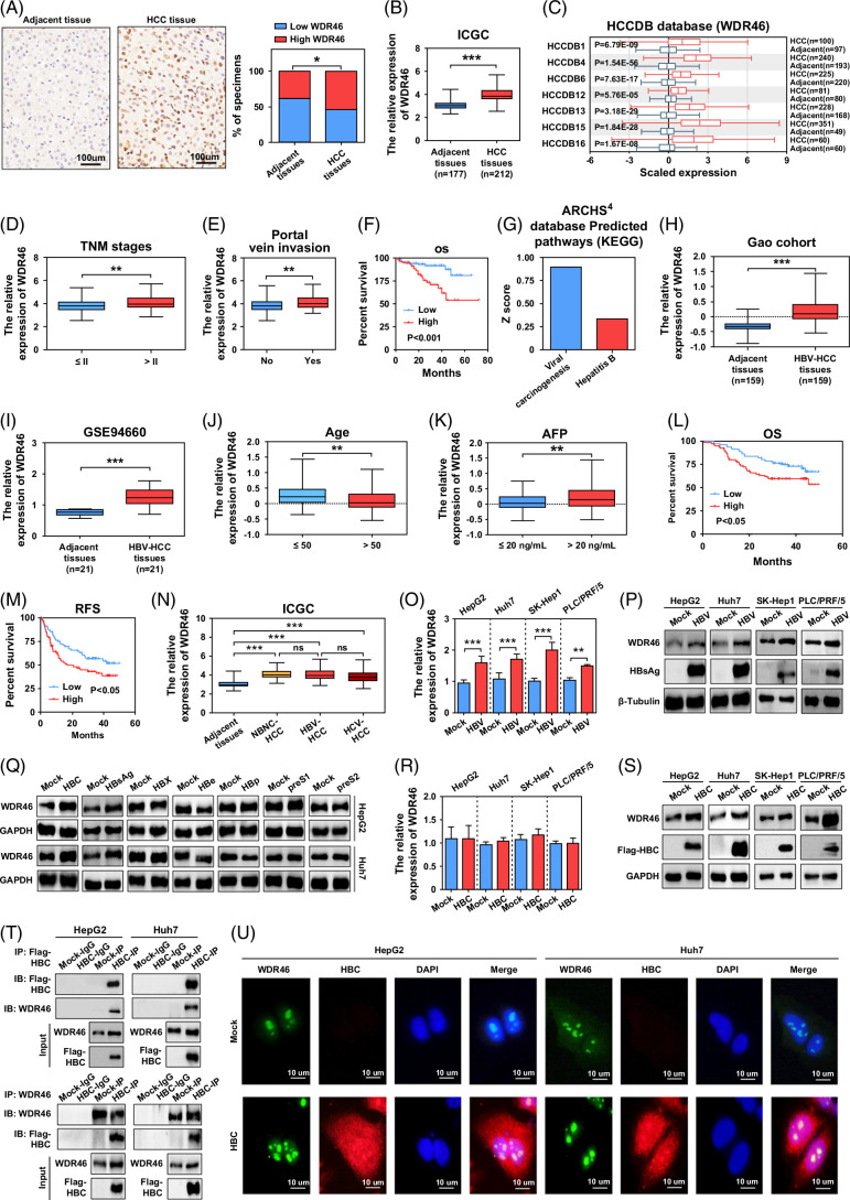
Background: The HBV core protein (HBC) is crucial for the progression of HCC. WD repeat-containing (WDR) 46 (WDR46) is implicated in the development of different tumors. Nevertheless, whether WDR46 is controlled by HBC to drive hepatocarcinogenesis remains unclear.

Methods: Different HCC cohorts, immunohistochemical staining, and bioinformatics analysis were utilized to estimate the clinical correlation between WDR46 and HBV-associated HCC. Western blotting, co-immunoprecipitation, chromatin immunoprecipitation, and oncology functional assays were performed to evaluate the effect of HBC on WDR46 in upregulating nucleolar spindle-associated protein 1 (NUSAP1), the influence of WDR46 on HBC-mediated HCC cell biological functions, and the mechanisms of WDR46 upregulation mediated by HBC to increase NUSAP1.

Results: WDR46 expression was elevated in HBV-related HCC in a HBC-dependent manner. Overexpression of WDR46 is closely linked to severe prognosis of tumors. Functionally, WDR46 contributes to HBC-induced cell growth and migration in vitro and in vivo. Furthermore, HBC enhanced WDR46 protein stabilization by hampering the interaction between WDR46 and TRIM25, thereby decreasing WDR46 ubiquitination. NUSAP1, a DNA replication-related molecule, is a vital downstream target of WDR46. Relying on WDR46, HBC promoted NUSAP1 upregulation to modulate the biological functions of HBC in HCC cells. Importantly, HBC enhanced the interaction between WDR46 and the transcription factor c-Myc to facilitate c-Myc recruitment to the NUSAP1 promoter, leading to the increase of NUSAP1 transcription.

Conclusions: Our comprehensive data provides new insights into the mechanisms responsible for HBC-induced hepatocarcinogenesis. WDR46 and its downstream molecule, NUSAP1, may act as novel therapeutic targets for HBV-related tumors.

Abstract Image

Abstract Image

Abstract Image

HBV核心蛋白增强WDR46稳定性,上调NUSAP1,促进HCC进展。
背景:HBV核心蛋白(HBC)对HCC的进展至关重要。WDR重复序列46 (WDR46)与不同肿瘤的发生发展有关。然而,WDR46是否受HBC控制以驱动肝癌发生尚不清楚。方法:采用不同HCC队列、免疫组织化学染色和生物信息学分析来评估WDR46与hbv相关性HCC的临床相关性。采用Western blotting、共免疫沉淀、染色质免疫沉淀、肿瘤功能检测等方法,评估HBC对WDR46上调核仁纺锤体相关蛋白1 (NUSAP1)的影响,WDR46对HBC介导的HCC细胞生物学功能的影响,以及HBC介导WDR46上调NUSAP1的机制。结果:WDR46在hbv相关的HCC中以hbv依赖的方式表达升高。WDR46过表达与肿瘤的严重预后密切相关。在功能上,WDR46有助于体外和体内hbc诱导的细胞生长和迁移。此外,HBC通过阻碍WDR46与TRIM25的相互作用增强了WDR46蛋白的稳定性,从而降低了WDR46的泛素化。NUSAP1是一种DNA复制相关分子,是WDR46的重要下游靶点。HBC依靠WDR46促进NUSAP1上调,调节HCC细胞中HBC的生物学功能。重要的是,HBC增强了WDR46与转录因子c-Myc之间的相互作用,促进c-Myc募集到NUSAP1启动子,导致NUSAP1转录增加。结论:我们的综合数据为hbc诱导的肝癌发生机制提供了新的见解。WDR46及其下游分子NUSAP1可能作为hbv相关肿瘤的新治疗靶点。
本文章由计算机程序翻译,如有差异,请以英文原文为准。
求助全文
约1分钟内获得全文 求助全文
来源期刊
Hepatology Communications
Hepatology Communications GASTROENTEROLOGY & HEPATOLOGY-
CiteScore
8.00
自引率
2.00%
发文量
248
审稿时长
8 weeks
期刊介绍: Hepatology Communications is a peer-reviewed, online-only, open access journal for fast dissemination of high quality basic, translational, and clinical research in hepatology. Hepatology Communications maintains high standard and rigorous peer review. Because of its open access nature, authors retain the copyright to their works, all articles are immediately available and free to read and share, and it is fully compliant with funder and institutional mandates. The journal is committed to fast publication and author satisfaction. ​
×
引用
GB/T 7714-2015
复制
MLA
复制
APA
复制
导出至
BibTeX EndNote RefMan NoteFirst NoteExpress
×
提示
您的信息不完整,为了账户安全,请先补充。
现在去补充
×
提示
您因"违规操作"
具体请查看互助需知
我知道了
×
提示
确定
请完成安全验证×
copy
已复制链接
快去分享给好友吧!
我知道了
右上角分享
点击右上角分享
0
联系我们:info@booksci.cn Book学术提供免费学术资源搜索服务,方便国内外学者检索中英文文献。致力于提供最便捷和优质的服务体验。 Copyright © 2023 布克学术 All rights reserved.
京ICP备2023020795号-1
ghs 京公网安备 11010802042870号
Book学术文献互助
Book学术文献互助群
群 号:604180095
Book学术官方微信