Safety Evaluation of Contezolid (MRX-I) Versus Linezolid in Sprague-Dawley Rats.

IF 2.1 4区 医学 Q3 PHARMACOLOGY & PHARMACY
Drugs in Research & Development Pub Date : 2025-06-01 Epub Date: 2025-05-13 DOI:10.1007/s40268-025-00504-x
Liping Wei, Min Hong, Min Lu, Yimin Qian, Qingmei Li, Naping Tang, Hua Li, Yan Chang, Yunliang Qiu
{"title":"Safety Evaluation of Contezolid (MRX-I) Versus Linezolid in Sprague-Dawley Rats.","authors":"Liping Wei, Min Hong, Min Lu, Yimin Qian, Qingmei Li, Naping Tang, Hua Li, Yan Chang, Yunliang Qiu","doi":"10.1007/s40268-025-00504-x","DOIUrl":null,"url":null,"abstract":"<p><strong>Background & objectives: </strong>Contezolid (MRX-I) is a novel ortho-fluorophenyl dihydropyridone developed by MicuRx Pharmaceuticals, Inc. It has been approved for the treatment of drug-resistant Gram-positive bacterial infections with relatively lower toxicity than other oxazolidinones such as linezolid. However, the toxicity profile has not yet been completely revealed. The aim of this study was to disclose the toxicity of contezolid in Sprague-Dawley (SD) rats and compare its toxicity profile with linezolid in a standard 4-week toxicity study.</p><p><strong>Methods: </strong>In this study, SD rats were orally administered with contezolid at doses of 20, 100, or 200/300 mg/kg/day for 28 consecutive days followed by a 28-day recovery period. Linezolid at doses of 100 or 200 mg/kg/day served as a comparator. Clinical observations, body weight, food consumption, hematology, clinical chemistry, urinalysis, and histopathological examinations were conducted.</p><p><strong>Results: </strong>All females in the 200 mg/kg/day linezolid group were subjected to unscheduled death due to myelosuppression within the first 2 weeks. No abnormalities were noted in the 200 mg/kg/day contezolid group, and the dose level was escalated to 300 mg/kg/day from day 15. Myelosuppression or myelosuppression-associated effects were comparable between the 300-mg/kg/day contezolid group and the 100-mg/kg/day linezolid group. The 'no observed adverse effect level' (NOAEL) of contezolid was determined to be 100 mg/kg/day (with an average AUC<sub>0-24 h</sub> of 268.4 μg*h/mL). At the same dose levels, the toxicity of contezolid was significantly lower than that of linezolid.</p><p><strong>Conclusion: </strong>These findings demonstrate that contezolid exhibits a favorable safety profile compared with linezolid in this 4-week repeated-dose toxicity study in rats.</p>","PeriodicalId":49258,"journal":{"name":"Drugs in Research & Development","volume":" ","pages":"127-140"},"PeriodicalIF":2.1000,"publicationDate":"2025-06-01","publicationTypes":"Journal Article","fieldsOfStudy":null,"isOpenAccess":false,"openAccessPdf":"https://www.ncbi.nlm.nih.gov/pmc/articles/PMC12185790/pdf/","citationCount":"0","resultStr":null,"platform":"Semanticscholar","paperid":null,"PeriodicalName":"Drugs in Research & Development","FirstCategoryId":"3","ListUrlMain":"https://doi.org/10.1007/s40268-025-00504-x","RegionNum":4,"RegionCategory":"医学","ArticlePicture":[],"TitleCN":null,"AbstractTextCN":null,"PMCID":null,"EPubDate":"2025/5/13 0:00:00","PubModel":"Epub","JCR":"Q3","JCRName":"PHARMACOLOGY & PHARMACY","Score":null,"Total":0}
引用次数: 0

Abstract

Background & objectives: Contezolid (MRX-I) is a novel ortho-fluorophenyl dihydropyridone developed by MicuRx Pharmaceuticals, Inc. It has been approved for the treatment of drug-resistant Gram-positive bacterial infections with relatively lower toxicity than other oxazolidinones such as linezolid. However, the toxicity profile has not yet been completely revealed. The aim of this study was to disclose the toxicity of contezolid in Sprague-Dawley (SD) rats and compare its toxicity profile with linezolid in a standard 4-week toxicity study.

Methods: In this study, SD rats were orally administered with contezolid at doses of 20, 100, or 200/300 mg/kg/day for 28 consecutive days followed by a 28-day recovery period. Linezolid at doses of 100 or 200 mg/kg/day served as a comparator. Clinical observations, body weight, food consumption, hematology, clinical chemistry, urinalysis, and histopathological examinations were conducted.

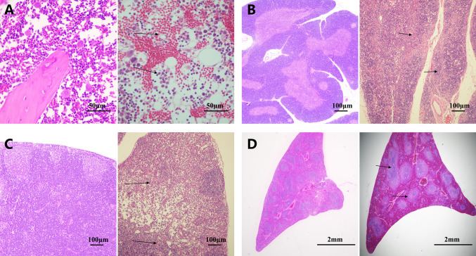
Results: All females in the 200 mg/kg/day linezolid group were subjected to unscheduled death due to myelosuppression within the first 2 weeks. No abnormalities were noted in the 200 mg/kg/day contezolid group, and the dose level was escalated to 300 mg/kg/day from day 15. Myelosuppression or myelosuppression-associated effects were comparable between the 300-mg/kg/day contezolid group and the 100-mg/kg/day linezolid group. The 'no observed adverse effect level' (NOAEL) of contezolid was determined to be 100 mg/kg/day (with an average AUC0-24 h of 268.4 μg*h/mL). At the same dose levels, the toxicity of contezolid was significantly lower than that of linezolid.

Conclusion: These findings demonstrate that contezolid exhibits a favorable safety profile compared with linezolid in this 4-week repeated-dose toxicity study in rats.

Abstract Image

Abstract Image

Abstract Image

康替唑胺(MRX-I)与利奈唑胺在Sprague-Dawley大鼠体内的安全性评价。
背景与目的:Contezolid (MRX-I)是MicuRx制药公司开发的一种新型邻氟苯基二氢吡啶酮。它已被批准用于治疗耐药革兰氏阳性细菌感染,其毒性比其他恶唑烷类药物(如利奈唑胺)相对较低。然而,毒性概况尚未完全揭示。本研究的目的是揭示康替唑胺对SD大鼠的毒性,并在标准的4周毒性研究中将其与利奈唑胺的毒性进行比较。方法:SD大鼠分别口服20、100或200/300 mg/kg/d康替唑胺,连续28天,并给予28天恢复期。利奈唑胺剂量为100或200 mg/kg/天作为比较物。进行临床观察、体重、饮食、血液学、临床化学、尿液分析及组织病理学检查。结果:200 mg/kg/天利奈唑胺组的所有雌性小鼠在前2周内均因骨髓抑制而发生计划外死亡。200 mg/kg/天康替唑胺组未见异常,从第15天起剂量水平增加到300 mg/kg/天。在300 mg/kg/天的康替唑胺组和100 mg/kg/天的利奈唑胺组之间,骨髓抑制或骨髓抑制相关的效果是相当的。测定康替唑胺的“未观察到不良反应水平”(NOAEL)为100 mg/kg/d(平均AUC0-24 h为268.4 μg*h/mL)。在相同剂量水平下,康替唑胺的毒性明显低于利奈唑胺。结论:在这项为期4周的大鼠重复给药毒性研究中,这些发现表明,与利奈唑胺相比,康替唑胺具有更好的安全性。
本文章由计算机程序翻译,如有差异,请以英文原文为准。
求助全文
约1分钟内获得全文 求助全文
来源期刊
Drugs in Research & Development
Drugs in Research & Development Pharmacology, Toxicology and Pharmaceutics-Pharmacology
CiteScore
5.10
自引率
0.00%
发文量
31
审稿时长
8 weeks
期刊介绍: Drugs in R&D is an international, peer reviewed, open access, online only journal, and provides timely information from all phases of drug research and development that will inform clinical practice. Healthcare decision makers are thus provided with knowledge about the developing place of a drug in therapy. The Journal includes: Clinical research on new and established drugs; Preclinical research of direct relevance to clinical drug development; Short communications and case study reports that meet the above criteria will also be considered; Reviews may also be considered.
×
引用
GB/T 7714-2015
复制
MLA
复制
APA
复制
导出至
BibTeX EndNote RefMan NoteFirst NoteExpress
×
提示
您的信息不完整,为了账户安全,请先补充。
现在去补充
×
提示
您因"违规操作"
具体请查看互助需知
我知道了
×
提示
确定
请完成安全验证×
copy
已复制链接
快去分享给好友吧!
我知道了
右上角分享
点击右上角分享
0
联系我们:info@booksci.cn Book学术提供免费学术资源搜索服务,方便国内外学者检索中英文文献。致力于提供最便捷和优质的服务体验。 Copyright © 2023 布克学术 All rights reserved.
京ICP备2023020795号-1
ghs 京公网安备 11010802042870号
Book学术文献互助
Book学术文献互助群
群 号:604180095
Book学术官方微信