Risk factors for the development of heterotopic ossification of the elbow in children with untreated chronic Monteggia fractures: a radiographic review of 274 cases.

IF 3.7 2区 医学 Q1 ORTHOPEDICS
WenTao Wang, QianQian Mei, ChongZhi Zhao, Antonio Andreacchio, ShengPing Tang, Hang Liu, ShunYou Chen, Zhu Xiong, Federico Canavese, ShengHua He
{"title":"Risk factors for the development of heterotopic ossification of the elbow in children with untreated chronic Monteggia fractures: a radiographic review of 274 cases.","authors":"WenTao Wang, QianQian Mei, ChongZhi Zhao, Antonio Andreacchio, ShengPing Tang, Hang Liu, ShunYou Chen, Zhu Xiong, Federico Canavese, ShengHua He","doi":"10.1186/s10195-025-00842-1","DOIUrl":null,"url":null,"abstract":"<p><strong>Background: </strong>The factors predicting the development of heterotopic ossification (HO) of the elbow in children with untreated chronic Monteggia fractures (UCMFs) remained unclear. This multicentre study was designed to evaluate the radiographic data from paediatric patients with UCMFs and to identify the risk factors for HO formation and their radiographic characteristics.</p><p><strong>Materials and methods: </strong>We retrospectively reviewed 274 patients (mean age at injury: 5.82 ± 2.62 years) with UCMFs with all types of anterior (group A) and non-anterior (group B) radial head (RH) dislocations. Radiographs were used to assess the presence, size and bone density of HO. The risk factors evaluated included age at injury, sex, laterality, interval from injury to diagnosis, presence of radial or median nerve injury, immobilization of the fractured ulna after injury, direction of RH dislocation and distance of RH dislocation (DD-RH). The results were compared with 76 patient demographics-matched paediatric acute Monteggia fractures (PAMFs) undergoing surgery within 48 h after injury.</p><p><strong>Results: </strong>The HO rate (13.1%) in children with UCMFs was significantly higher than that (0%) in children with PAMFs (P = 0.001). The incidence of HO (14.5%) in group A was significantly higher than that (0%) in group B (P = 0.032). Age at injury and DD-RH were confirmed as risk factors for HO in patients with UCMFs by both univariate and logistic regression analyses (P < 0.05). Receiver operating characteristic curve analysis and chi-squared analysis indicated that age at injury > 6.78 years and DD-RH < 1.59-fold of the narrowest radial neck width were the cut-off values for an increased HO rate in patients with UCMFs (P < 0.05). Increased age at injury (P = 0.041) and interval from injury to diagnosis (P = 0.006) were associated with high-bone density HO.</p><p><strong>Conclusions: </strong>Patients with UCMFs with anterior RH dislocations, age at injury > 6.78 years, and DD-RH < 1.59-fold of the narrowest radial neck width were more likely to develop HO. The bone density of HO increases with age at injury and interval from injury to diagnosis. Timely RH reduction after acute injury may prevent HO.</p><p><strong>Level of evidence: </strong>III.</p>","PeriodicalId":48603,"journal":{"name":"Journal of Orthopaedics and Traumatology","volume":"26 1","pages":"25"},"PeriodicalIF":3.7000,"publicationDate":"2025-04-26","publicationTypes":"Journal Article","fieldsOfStudy":null,"isOpenAccess":false,"openAccessPdf":"https://www.ncbi.nlm.nih.gov/pmc/articles/PMC12033129/pdf/","citationCount":"0","resultStr":null,"platform":"Semanticscholar","paperid":null,"PeriodicalName":"Journal of Orthopaedics and Traumatology","FirstCategoryId":"3","ListUrlMain":"https://doi.org/10.1186/s10195-025-00842-1","RegionNum":2,"RegionCategory":"医学","ArticlePicture":[],"TitleCN":null,"AbstractTextCN":null,"PMCID":null,"EPubDate":"","PubModel":"","JCR":"Q1","JCRName":"ORTHOPEDICS","Score":null,"Total":0}
引用次数: 0

Abstract

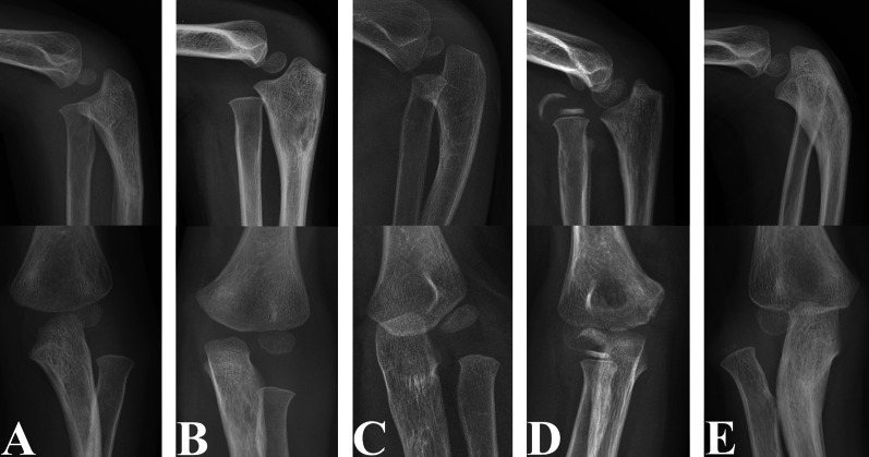
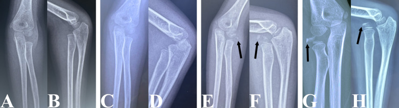
Background: The factors predicting the development of heterotopic ossification (HO) of the elbow in children with untreated chronic Monteggia fractures (UCMFs) remained unclear. This multicentre study was designed to evaluate the radiographic data from paediatric patients with UCMFs and to identify the risk factors for HO formation and their radiographic characteristics.

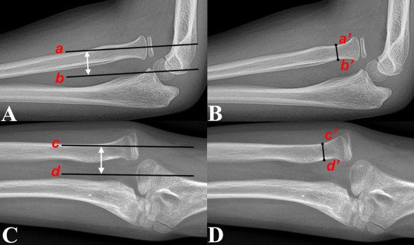
Materials and methods: We retrospectively reviewed 274 patients (mean age at injury: 5.82 ± 2.62 years) with UCMFs with all types of anterior (group A) and non-anterior (group B) radial head (RH) dislocations. Radiographs were used to assess the presence, size and bone density of HO. The risk factors evaluated included age at injury, sex, laterality, interval from injury to diagnosis, presence of radial or median nerve injury, immobilization of the fractured ulna after injury, direction of RH dislocation and distance of RH dislocation (DD-RH). The results were compared with 76 patient demographics-matched paediatric acute Monteggia fractures (PAMFs) undergoing surgery within 48 h after injury.

Results: The HO rate (13.1%) in children with UCMFs was significantly higher than that (0%) in children with PAMFs (P = 0.001). The incidence of HO (14.5%) in group A was significantly higher than that (0%) in group B (P = 0.032). Age at injury and DD-RH were confirmed as risk factors for HO in patients with UCMFs by both univariate and logistic regression analyses (P < 0.05). Receiver operating characteristic curve analysis and chi-squared analysis indicated that age at injury > 6.78 years and DD-RH < 1.59-fold of the narrowest radial neck width were the cut-off values for an increased HO rate in patients with UCMFs (P < 0.05). Increased age at injury (P = 0.041) and interval from injury to diagnosis (P = 0.006) were associated with high-bone density HO.

Conclusions: Patients with UCMFs with anterior RH dislocations, age at injury > 6.78 years, and DD-RH < 1.59-fold of the narrowest radial neck width were more likely to develop HO. The bone density of HO increases with age at injury and interval from injury to diagnosis. Timely RH reduction after acute injury may prevent HO.

Level of evidence: III.

Abstract Image

Abstract Image

Abstract Image

未经治疗的慢性Monteggia骨折儿童肘关节异位骨化的危险因素:274例影像学回顾
背景:预测未经治疗的慢性蒙氏骨折(UCMFs)儿童肘关节异位骨化(HO)发展的因素尚不清楚。本多中心研究旨在评估儿童UCMFs患者的影像学资料,并确定HO形成的危险因素及其影像学特征。材料和方法:我们回顾性分析了274例伴有所有类型的前路(A组)和非前路(B组)桡骨头(RH)脱位的UCMFs患者(平均损伤年龄:5.82±2.62岁)。x线片评估HO的存在、大小和骨密度。评估的危险因素包括受伤时的年龄、性别、侧侧、从受伤到诊断的时间间隔、是否存在桡骨或正中神经损伤、伤后骨折尺骨的固定情况、RH脱位的方向和RH脱位的距离(DD-RH)。结果与76例人口统计学匹配的儿童急性蒙氏骨折(PAMFs)在受伤后48小时内接受手术的患者进行比较。结果:UCMFs患儿的HO率(13.1%)显著高于PAMFs患儿(0%)(P = 0.001)。A组HO发生率(14.5%)显著高于B组(0%)(P = 0.032)。单因素和logistic回归分析均证实,损伤年龄和DD-RH是UCMFs患者发生HO的危险因素(P = 6.78岁和DD-RH)。结论:UCMFs患者伴有RH前侧脱位,损伤年龄为6.78岁,DD-RH水平:III。
本文章由计算机程序翻译,如有差异,请以英文原文为准。
求助全文
约1分钟内获得全文 求助全文
来源期刊
Journal of Orthopaedics and Traumatology
Journal of Orthopaedics and Traumatology Medicine-Orthopedics and Sports Medicine
CiteScore
4.30
自引率
0.00%
发文量
56
审稿时长
13 weeks
期刊介绍: The Journal of Orthopaedics and Traumatology, the official open access peer-reviewed journal of the Italian Society of Orthopaedics and Traumatology, publishes original papers reporting basic or clinical research in the field of orthopaedic and traumatologic surgery, as well as systematic reviews, brief communications, case reports and letters to the Editor. Narrative instructional reviews and commentaries to original articles may be commissioned by Editors from eminent colleagues. The Journal of Orthopaedics and Traumatology aims to be an international forum for the communication and exchange of ideas concerning the various aspects of orthopaedics and musculoskeletal trauma.
×
引用
GB/T 7714-2015
复制
MLA
复制
APA
复制
导出至
BibTeX EndNote RefMan NoteFirst NoteExpress
×
提示
您的信息不完整,为了账户安全,请先补充。
现在去补充
×
提示
您因"违规操作"
具体请查看互助需知
我知道了
×
提示
确定
请完成安全验证×
copy
已复制链接
快去分享给好友吧!
我知道了
右上角分享
点击右上角分享
0
联系我们:info@booksci.cn Book学术提供免费学术资源搜索服务,方便国内外学者检索中英文文献。致力于提供最便捷和优质的服务体验。 Copyright © 2023 布克学术 All rights reserved.
京ICP备2023020795号-1
ghs 京公网安备 11010802042870号
Book学术文献互助
Book学术文献互助群
群 号:604180095
Book学术官方微信