Treatment of a giant terminal internal carotid artery aneurysm in a 10-year-old child by flow diversion: long-term outcome and lessons learned.

IF 0.5 Q4 RADIOLOGY, NUCLEAR MEDICINE & MEDICAL IMAGING
BJR Case Reports Pub Date : 2025-03-28 eCollection Date: 2025-03-01 DOI:10.1093/bjrcr/uaaf024
Wilhelm Kuker, Jayaratnam Jayamohan
{"title":"Treatment of a giant terminal internal carotid artery aneurysm in a 10-year-old child by flow diversion: long-term outcome and lessons learned.","authors":"Wilhelm Kuker, Jayaratnam Jayamohan","doi":"10.1093/bjrcr/uaaf024","DOIUrl":null,"url":null,"abstract":"<p><p>A 28-mm diameter and partially thrombosed intracranial aneurysm was found in a 10-year-old boy on an MRI for non-specific headaches. The large neck incorporated the left internal carotid artery (ICA) termination and proximal middle cerebral artery. Treatment was planned to prevent further growth and rupture. Because of the difficult anatomy, a braided stent was first placed across the aneurysm neck as a scaffold to allow for the placement of a flow-diverting stent after its endothelialisation. However, severe stent-induced endothelial hyperplasia was encountered when the flow diverter was inserted. This resulted in a transient ICA occlusion during the procedure before flow was restored by angioplasty. As a result, the patient suffered a mild transient dysphasia but permanent loss of vision in the left eye. All antiplatelet medications were stopped 1 year after the procedure without problem. The aneurysm has remained fully occluded in the 7 years since.</p>","PeriodicalId":45216,"journal":{"name":"BJR Case Reports","volume":"11 2","pages":"uaaf024"},"PeriodicalIF":0.5000,"publicationDate":"2025-03-28","publicationTypes":"Journal Article","fieldsOfStudy":null,"isOpenAccess":false,"openAccessPdf":"https://www.ncbi.nlm.nih.gov/pmc/articles/PMC11992335/pdf/","citationCount":"0","resultStr":null,"platform":"Semanticscholar","paperid":null,"PeriodicalName":"BJR Case Reports","FirstCategoryId":"1085","ListUrlMain":"https://doi.org/10.1093/bjrcr/uaaf024","RegionNum":0,"RegionCategory":null,"ArticlePicture":[],"TitleCN":null,"AbstractTextCN":null,"PMCID":null,"EPubDate":"2025/3/1 0:00:00","PubModel":"eCollection","JCR":"Q4","JCRName":"RADIOLOGY, NUCLEAR MEDICINE & MEDICAL IMAGING","Score":null,"Total":0}
引用次数: 0

Abstract

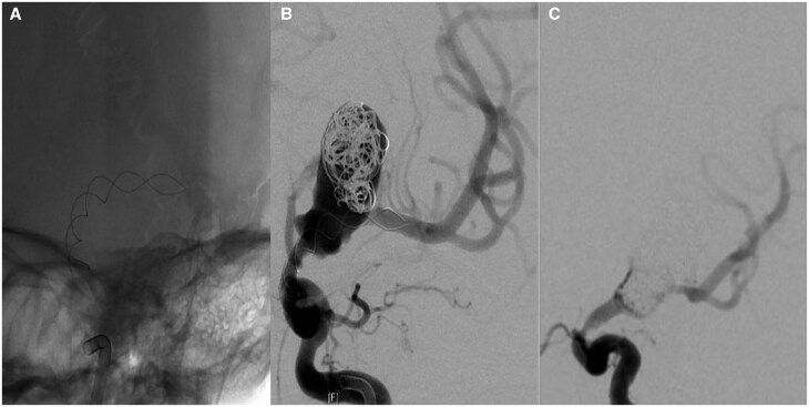
A 28-mm diameter and partially thrombosed intracranial aneurysm was found in a 10-year-old boy on an MRI for non-specific headaches. The large neck incorporated the left internal carotid artery (ICA) termination and proximal middle cerebral artery. Treatment was planned to prevent further growth and rupture. Because of the difficult anatomy, a braided stent was first placed across the aneurysm neck as a scaffold to allow for the placement of a flow-diverting stent after its endothelialisation. However, severe stent-induced endothelial hyperplasia was encountered when the flow diverter was inserted. This resulted in a transient ICA occlusion during the procedure before flow was restored by angioplasty. As a result, the patient suffered a mild transient dysphasia but permanent loss of vision in the left eye. All antiplatelet medications were stopped 1 year after the procedure without problem. The aneurysm has remained fully occluded in the 7 years since.

Abstract Image

Abstract Image

Abstract Image

分流治疗10岁儿童颈内动脉巨端动脉瘤:长期疗效及经验教训。
在MRI上发现一个直径28毫米的部分血栓形成的颅内动脉瘤,这是一个10岁男孩的非特异性头痛。大颈包括左颈内动脉(ICA)末端和近端大脑中动脉。治疗计划是为了防止进一步的生长和破裂。由于解剖学上的困难,编织支架首先被放置在动脉瘤颈部作为支架,以便在其内皮化后放置血流转移支架。然而,当血流分流器插入时,会遇到严重的支架诱导的内皮细胞增生。在血管成形术恢复血流之前,这导致了短暂的ICA闭塞。结果,患者出现了轻微的短暂性吞咽障碍,但左眼永久性失明。术后1年停用所有抗血小板药物,无问题。动脉瘤在此后的7年里一直完全闭塞。
本文章由计算机程序翻译,如有差异,请以英文原文为准。
求助全文
约1分钟内获得全文 求助全文
来源期刊
BJR Case Reports
BJR Case Reports RADIOLOGY, NUCLEAR MEDICINE & MEDICAL IMAGING-
自引率
0.00%
发文量
77
审稿时长
11 weeks
×
引用
GB/T 7714-2015
复制
MLA
复制
APA
复制
导出至
BibTeX EndNote RefMan NoteFirst NoteExpress
×
提示
您的信息不完整,为了账户安全,请先补充。
现在去补充
×
提示
您因"违规操作"
具体请查看互助需知
我知道了
×
提示
确定
请完成安全验证×
copy
已复制链接
快去分享给好友吧!
我知道了
右上角分享
点击右上角分享
0
联系我们:info@booksci.cn Book学术提供免费学术资源搜索服务,方便国内外学者检索中英文文献。致力于提供最便捷和优质的服务体验。 Copyright © 2023 布克学术 All rights reserved.
京ICP备2023020795号-1
ghs 京公网安备 11010802042870号
Book学术文献互助
Book学术文献互助群
群 号:604180095
Book学术官方微信