Risk factors for upper extremity deep vein thrombosis after esophagectomy for esophageal cancer in retrosternal reconstruction.

IF 3.8 4区 医学 Q3 GASTROENTEROLOGY & HEPATOLOGY
Esophagus Pub Date : 2025-07-01 Epub Date: 2025-04-15 DOI:10.1007/s10388-025-01122-x
Yusuke Ogawa, Yu Ohkura, Masaki Ueno, Kentoku Fujisawa, Hayato Shimoyama, Shusuke Haruta, Harushi Udagawa
{"title":"Risk factors for upper extremity deep vein thrombosis after esophagectomy for esophageal cancer in retrosternal reconstruction.","authors":"Yusuke Ogawa, Yu Ohkura, Masaki Ueno, Kentoku Fujisawa, Hayato Shimoyama, Shusuke Haruta, Harushi Udagawa","doi":"10.1007/s10388-025-01122-x","DOIUrl":null,"url":null,"abstract":"<p><strong>Background: </strong>Upper extremity deep vein thrombosis (UEDVT) is a fatal postoperative complication that can cause pulmonary embolism (PE). There have been few reports on the relationship between esophageal cancer and UEDVT. The aim of this study is to analyze the risk factors for UEDVT in esophageal cancer.</p><p><strong>Methods: </strong>Seventy-five cases of thoracic esophageal cancer who underwent one-stage curative resection and reconstructive surgery from May 2019 to June 2022 were included. The stomach or ileocolon was selected as the reconstructive graft. All cases requiring chemotherapy were treated with a peripheral central venous catheter (PICC). To evaluate the width of the retrosternal space, the retrosternal ratio and the cross-sectional area of the graft intestine were measured at the level of the left brachiocephalic vein.</p><p><strong>Results: </strong>UEDVT was observed in 11 patients (14.7%) and occurred only with gastric tube reconstruction (p = 0.02). The width of the retrosternal space was significantly different between the UEDVT and non-UEDVT groups (p = 0.002). The cross-sectional area of reconstructive organ was larger in the stomach than in the ileocolon (p < 0.01). Patients with a history of PICC insertion from the left side had a higher incidence of UEDVT (p = 0.025).</p><p><strong>Conclusions: </strong>In esophagectomy, gastric tube reconstruction, a retrosternal ratio less than 0.16, and history of PICC insertion from the left side are risk factors for UEDVT.</p>","PeriodicalId":11918,"journal":{"name":"Esophagus","volume":" ","pages":"410-417"},"PeriodicalIF":3.8000,"publicationDate":"2025-07-01","publicationTypes":"Journal Article","fieldsOfStudy":null,"isOpenAccess":false,"openAccessPdf":"https://www.ncbi.nlm.nih.gov/pmc/articles/PMC12167249/pdf/","citationCount":"0","resultStr":null,"platform":"Semanticscholar","paperid":null,"PeriodicalName":"Esophagus","FirstCategoryId":"3","ListUrlMain":"https://doi.org/10.1007/s10388-025-01122-x","RegionNum":4,"RegionCategory":"医学","ArticlePicture":[],"TitleCN":null,"AbstractTextCN":null,"PMCID":null,"EPubDate":"2025/4/15 0:00:00","PubModel":"Epub","JCR":"Q3","JCRName":"GASTROENTEROLOGY & HEPATOLOGY","Score":null,"Total":0}
引用次数: 0

Abstract

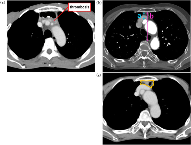
Background: Upper extremity deep vein thrombosis (UEDVT) is a fatal postoperative complication that can cause pulmonary embolism (PE). There have been few reports on the relationship between esophageal cancer and UEDVT. The aim of this study is to analyze the risk factors for UEDVT in esophageal cancer.

Methods: Seventy-five cases of thoracic esophageal cancer who underwent one-stage curative resection and reconstructive surgery from May 2019 to June 2022 were included. The stomach or ileocolon was selected as the reconstructive graft. All cases requiring chemotherapy were treated with a peripheral central venous catheter (PICC). To evaluate the width of the retrosternal space, the retrosternal ratio and the cross-sectional area of the graft intestine were measured at the level of the left brachiocephalic vein.

Results: UEDVT was observed in 11 patients (14.7%) and occurred only with gastric tube reconstruction (p = 0.02). The width of the retrosternal space was significantly different between the UEDVT and non-UEDVT groups (p = 0.002). The cross-sectional area of reconstructive organ was larger in the stomach than in the ileocolon (p < 0.01). Patients with a history of PICC insertion from the left side had a higher incidence of UEDVT (p = 0.025).

Conclusions: In esophagectomy, gastric tube reconstruction, a retrosternal ratio less than 0.16, and history of PICC insertion from the left side are risk factors for UEDVT.

Abstract Image

Abstract Image

Abstract Image

食管癌食管切除术胸骨后重建术后上肢深静脉血栓形成的危险因素分析。
背景:上肢深静脉血栓形成(UEDVT)是一种致命的术后并发症,可引起肺栓塞(PE)。关于食管癌与UEDVT之间关系的报道很少。本研究的目的是分析食管癌UEDVT的危险因素。方法:选取2019年5月至2022年6月行一期根治性切除重建手术的75例胸段食管癌患者。选择胃或回肠作为重建移植物。所有需要化疗的病例均采用外周中心静脉导管(PICC)治疗。为了评估胸骨后间隙的宽度,在左头臂静脉水平测量胸骨后比值和移植物肠的横截面积。结果:11例(14.7%)患者出现UEDVT,仅在胃管重建时发生(p = 0.02)。UEDVT组与非UEDVT组胸骨后间隙宽度差异有统计学意义(p = 0.002)。结论:在食管切除术中,胃管重建、胸骨后比小于0.16、PICC从左侧插入史是发生UEDVT的危险因素。
本文章由计算机程序翻译,如有差异,请以英文原文为准。
求助全文
约1分钟内获得全文 求助全文
来源期刊
Esophagus
Esophagus GASTROENTEROLOGY & HEPATOLOGY-
CiteScore
4.90
自引率
8.30%
发文量
78
审稿时长
>12 weeks
期刊介绍: Esophagus, the official journal of the Japan Esophageal Society, introduces practitioners and researchers to significant studies in the fields of benign and malignant diseases of the esophagus. The journal welcomes original articles, review articles, and short articles including technical notes ( How I do it ), which will be peer-reviewed by the editorial board. Letters to the editor are also welcome. Special articles on esophageal diseases will be provided by the editorial board, and proceedings of symposia and workshops will be included in special issues for the Annual Congress of the Society.
×
引用
GB/T 7714-2015
复制
MLA
复制
APA
复制
导出至
BibTeX EndNote RefMan NoteFirst NoteExpress
×
提示
您的信息不完整,为了账户安全,请先补充。
现在去补充
×
提示
您因"违规操作"
具体请查看互助需知
我知道了
×
提示
确定
请完成安全验证×
copy
已复制链接
快去分享给好友吧!
我知道了
右上角分享
点击右上角分享
0
联系我们:info@booksci.cn Book学术提供免费学术资源搜索服务,方便国内外学者检索中英文文献。致力于提供最便捷和优质的服务体验。 Copyright © 2023 布克学术 All rights reserved.
京ICP备2023020795号-1
ghs 京公网安备 11010802042870号
Book学术文献互助
Book学术文献互助群
群 号:604180095
Book学术官方微信