Comparison of Humphrey 24-2 SITA Standard, SITA Fast, and SITA Faster Test Strategies in Patients with Glaucoma.

Q3 Medicine
Seher Köksaldı, Gül Arıkan, Ömer Faruk Dadaş, Üzeyir Günenç
{"title":"Comparison of Humphrey 24-2 SITA Standard, SITA Fast, and SITA Faster Test Strategies in Patients with Glaucoma.","authors":"Seher Köksaldı, Gül Arıkan, Ömer Faruk Dadaş, Üzeyir Günenç","doi":"10.4274/tjo.galenos.2025.85666","DOIUrl":null,"url":null,"abstract":"<p><strong>Objectives: </strong>To compare 24-2 Swedish Interactive Thresholding Algorithm (SITA) Standard (SS), SITA Fast (SF), and SITA Faster (SFR) tests performed with Humphrey Field Analyzer (HFA3 Model 840, Zeiss) in patients with glaucomatous visual field (VF) defect.</p><p><strong>Materials and methods: </strong>Total of 72 eyes of 72 patients with glaucomatous VF defects were included in the study. Test duration, mean deviation (MD), pattern standard deviation (PSD), visual field index (VFI), and the width and depth of glaucomatous VF defect were compared among the three tests.</p><p><strong>Results: </strong>The most common diagnoses were primary open-angle glaucoma in 45 eyes (62.5%) and pseudoexfoliation glaucoma in 10 eyes (13.9%). Mean test durations for the SS, SF, and SFR tests were 420.38±53.87 s, 275.94±45.52 s, and 191.89±35.48 s, respectively. Test durations were found to be statistically significantly different in all three tests (p<0.001). There was no statistically significant difference between the three tests in terms of MD, width, or depth of glaucomatous VF defect (p=0.211, p=0.762, and p=0.701, respectively). There was a statistically significant difference among the three tests in terms of VFI and PSD values (p=0.008 and p<0.001, respectively).</p><p><strong>Conclusion: </strong>Test duration was found to be shorter in the SFR test when compared to SS and SF tests. However, all three tests were similar in terms of the width and depth of the glaucomatous VF defect.</p>","PeriodicalId":23373,"journal":{"name":"Turkish Journal of Ophthalmology","volume":"55 2","pages":"67-73"},"PeriodicalIF":0.0000,"publicationDate":"2025-04-24","publicationTypes":"Journal Article","fieldsOfStudy":null,"isOpenAccess":false,"openAccessPdf":"https://www.ncbi.nlm.nih.gov/pmc/articles/PMC12035064/pdf/","citationCount":"0","resultStr":null,"platform":"Semanticscholar","paperid":null,"PeriodicalName":"Turkish Journal of Ophthalmology","FirstCategoryId":"1085","ListUrlMain":"https://doi.org/10.4274/tjo.galenos.2025.85666","RegionNum":0,"RegionCategory":null,"ArticlePicture":[],"TitleCN":null,"AbstractTextCN":null,"PMCID":null,"EPubDate":"","PubModel":"","JCR":"Q3","JCRName":"Medicine","Score":null,"Total":0}
引用次数: 0

Abstract

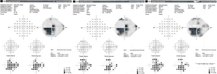
Objectives: To compare 24-2 Swedish Interactive Thresholding Algorithm (SITA) Standard (SS), SITA Fast (SF), and SITA Faster (SFR) tests performed with Humphrey Field Analyzer (HFA3 Model 840, Zeiss) in patients with glaucomatous visual field (VF) defect.

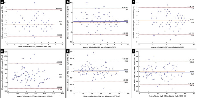
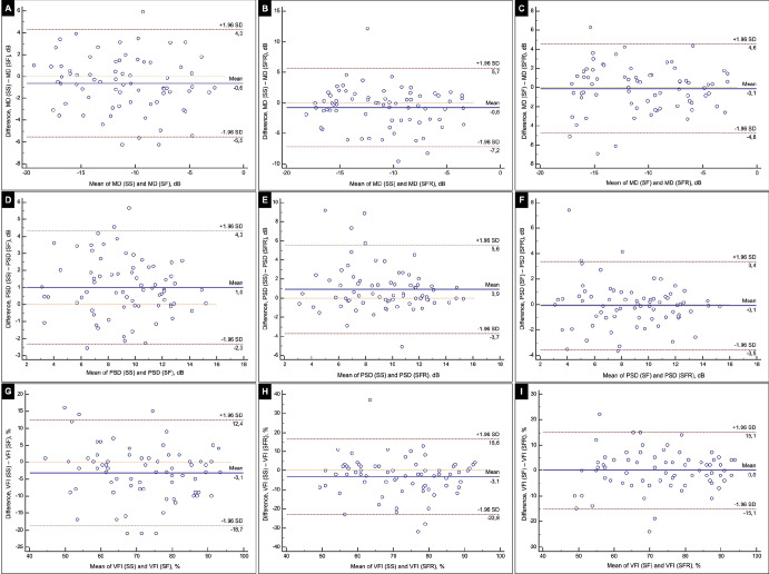
Materials and methods: Total of 72 eyes of 72 patients with glaucomatous VF defects were included in the study. Test duration, mean deviation (MD), pattern standard deviation (PSD), visual field index (VFI), and the width and depth of glaucomatous VF defect were compared among the three tests.

Results: The most common diagnoses were primary open-angle glaucoma in 45 eyes (62.5%) and pseudoexfoliation glaucoma in 10 eyes (13.9%). Mean test durations for the SS, SF, and SFR tests were 420.38±53.87 s, 275.94±45.52 s, and 191.89±35.48 s, respectively. Test durations were found to be statistically significantly different in all three tests (p<0.001). There was no statistically significant difference between the three tests in terms of MD, width, or depth of glaucomatous VF defect (p=0.211, p=0.762, and p=0.701, respectively). There was a statistically significant difference among the three tests in terms of VFI and PSD values (p=0.008 and p<0.001, respectively).

Conclusion: Test duration was found to be shorter in the SFR test when compared to SS and SF tests. However, all three tests were similar in terms of the width and depth of the glaucomatous VF defect.

Abstract Image

Abstract Image

Abstract Image

Humphrey 24-2 SITA Standard、SITA Fast和SITA Faster测试策略在青光眼患者中的比较
目的:比较使用Humphrey Field Analyzer (HFA3 Model 840,蔡司)对青光眼视野(VF)缺陷患者进行的24-2瑞典交互式阈值算法(SITA)标准(SS)、SITA Fast (SF)和SITA Faster (SFR)测试。材料与方法:选取青光眼型VF缺损患者72只眼。比较三种试验的测试时间、平均偏差(MD)、模式标准差(PSD)、视野指数(VFI)和青光眼VF缺损的宽度和深度。结果:原发性开角型青光眼45眼(62.5%),假性脱落型青光眼10眼(13.9%)。SS、SF和SFR测试的平均测试时间分别为420.38±53.87 s、275.94±45.52 s和191.89±35.48 s。试验持续时间在所有三种试验中均有统计学上的显著差异(p结论:与SS和SF试验相比,SFR试验的试验持续时间更短。然而,这三种测试在青光眼VF缺损的宽度和深度方面是相似的。
本文章由计算机程序翻译,如有差异,请以英文原文为准。
求助全文
约1分钟内获得全文 求助全文
来源期刊
Turkish Journal of Ophthalmology
Turkish Journal of Ophthalmology Medicine-Ophthalmology
CiteScore
2.20
自引率
0.00%
发文量
0
期刊介绍: The Turkish Journal of Ophthalmology (TJO) is the only scientific periodical publication of the Turkish Ophthalmological Association and has been published since January 1929. In its early years, the journal was published in Turkish and French. Although there were temporary interruptions in the publication of the journal due to various challenges, the Turkish Journal of Ophthalmology has been published continually from 1971 to the present. The target audience includes specialists and physicians in training in ophthalmology in all relevant disciplines.
×
引用
GB/T 7714-2015
复制
MLA
复制
APA
复制
导出至
BibTeX EndNote RefMan NoteFirst NoteExpress
×
提示
您的信息不完整,为了账户安全,请先补充。
现在去补充
×
提示
您因"违规操作"
具体请查看互助需知
我知道了
×
提示
确定
请完成安全验证×
copy
已复制链接
快去分享给好友吧!
我知道了
右上角分享
点击右上角分享
0
联系我们:info@booksci.cn Book学术提供免费学术资源搜索服务,方便国内外学者检索中英文文献。致力于提供最便捷和优质的服务体验。 Copyright © 2023 布克学术 All rights reserved.
京ICP备2023020795号-1
ghs 京公网安备 11010802042870号
Book学术文献互助
Book学术文献互助群
群 号:604180095
Book学术官方微信