Establishment and evaluation of a naked-eye diagnostic assay for tuberculosis utilizing reverse isothermal amplification-assisted CRISPR-Cas in resource-limited settings.

IF 2.5 Q3 PHARMACOLOGY & PHARMACY
Drug Target Insights Pub Date : 2025-05-09 eCollection Date: 2025-01-01 DOI:10.33393/dti.2025.3304
Ankush Kaushik, Jitendra Singh, Zeeshan Fatima, Saif Hameed
{"title":"Establishment and evaluation of a naked-eye diagnostic assay for tuberculosis utilizing reverse isothermal amplification-assisted CRISPR-Cas in resource-limited settings.","authors":"Ankush Kaushik, Jitendra Singh, Zeeshan Fatima, Saif Hameed","doi":"10.33393/dti.2025.3304","DOIUrl":null,"url":null,"abstract":"<p><strong>Introduction: </strong>The current scenario of tuberculosis (TB) caused by <i>Mycobacterium tuberculosis</i> (MTB) has presented an almost insurmountable challenge to hospitals with high patient numbers. Delayed diagnosis of TB is a major hurdle in preventing the employment of efficient therapeutics, leading to the development of drug resistance. Hence, an easily accessible diagnostic method, particularly for resource for resource-limited settings, is pertinent for the rapid identification of MTB-infected patients. In pursuit of developing such an assay, the present study offers a CLAP-TB (CRISPR-Cas coupled RT-LAMP Amplification Protocol for Tuberculosis) assay, which will allow us to diagnose TB rapidly and visually.</p><p><strong>Methods and results: </strong>Herein, the visual MTB detection consists of a method utilizing 232 different samples (sputum, urine, serum) from 82 patients for reverse transcription loop-mediated isothermal amplification (RT-LAMP). Additionally, the assay also utilizes the integration of a CRISPR-Cas12-based system using different guide RNAs of <i>IS6110</i> and an internal control <i>POP7</i> (human RNase P) genes along with visual detection via lateral flow readout-based dipsticks with the unaided eye (~134 min). Overall, the limit of detection for CLAP-TB assay was up to 1 ag of RNA, while the clinical sensitivity and specificity were 98.27% and 100%, respectively, on the pilot scale.</p><p><strong>Conclusion: </strong>Together, our CLAP-TB assay offers proof of concept for a rapid, sensitive, and specific method with the minimum technical expertise required for TB diagnosis in developing and resource-limited settings.</p>","PeriodicalId":11326,"journal":{"name":"Drug Target Insights","volume":"19 ","pages":"31-40"},"PeriodicalIF":2.5000,"publicationDate":"2025-05-09","publicationTypes":"Journal Article","fieldsOfStudy":null,"isOpenAccess":false,"openAccessPdf":"https://www.ncbi.nlm.nih.gov/pmc/articles/PMC12062799/pdf/","citationCount":"0","resultStr":null,"platform":"Semanticscholar","paperid":null,"PeriodicalName":"Drug Target Insights","FirstCategoryId":"1085","ListUrlMain":"https://doi.org/10.33393/dti.2025.3304","RegionNum":0,"RegionCategory":null,"ArticlePicture":[],"TitleCN":null,"AbstractTextCN":null,"PMCID":null,"EPubDate":"2025/1/1 0:00:00","PubModel":"eCollection","JCR":"Q3","JCRName":"PHARMACOLOGY & PHARMACY","Score":null,"Total":0}
引用次数: 0

Abstract

Introduction: The current scenario of tuberculosis (TB) caused by Mycobacterium tuberculosis (MTB) has presented an almost insurmountable challenge to hospitals with high patient numbers. Delayed diagnosis of TB is a major hurdle in preventing the employment of efficient therapeutics, leading to the development of drug resistance. Hence, an easily accessible diagnostic method, particularly for resource for resource-limited settings, is pertinent for the rapid identification of MTB-infected patients. In pursuit of developing such an assay, the present study offers a CLAP-TB (CRISPR-Cas coupled RT-LAMP Amplification Protocol for Tuberculosis) assay, which will allow us to diagnose TB rapidly and visually.

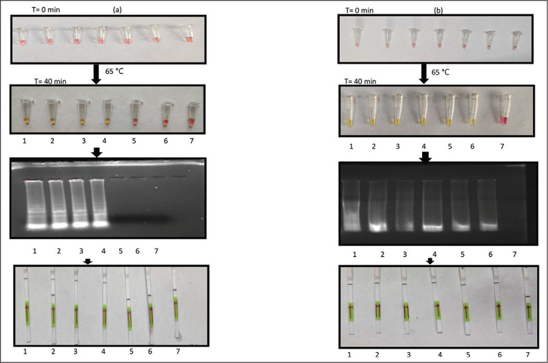
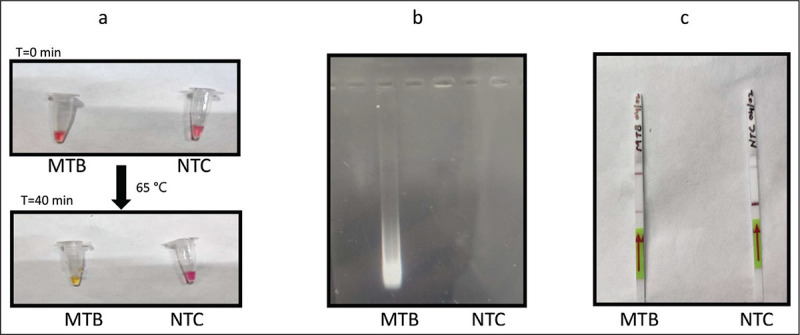
Methods and results: Herein, the visual MTB detection consists of a method utilizing 232 different samples (sputum, urine, serum) from 82 patients for reverse transcription loop-mediated isothermal amplification (RT-LAMP). Additionally, the assay also utilizes the integration of a CRISPR-Cas12-based system using different guide RNAs of IS6110 and an internal control POP7 (human RNase P) genes along with visual detection via lateral flow readout-based dipsticks with the unaided eye (~134 min). Overall, the limit of detection for CLAP-TB assay was up to 1 ag of RNA, while the clinical sensitivity and specificity were 98.27% and 100%, respectively, on the pilot scale.

Conclusion: Together, our CLAP-TB assay offers proof of concept for a rapid, sensitive, and specific method with the minimum technical expertise required for TB diagnosis in developing and resource-limited settings.

Abstract Image

Abstract Image

Abstract Image

在资源有限的环境下,利用逆温扩增辅助CRISPR-Cas建立和评估裸眼结核病诊断方法。
简介:目前由结核分枝杆菌(MTB)引起的结核病(TB)的情况对患者人数众多的医院提出了几乎无法克服的挑战。结核病的延迟诊断是阻碍采用有效治疗方法的一个主要障碍,从而导致耐药性的发展。因此,一种易于获得的诊断方法,特别是在资源有限的环境中,与快速识别mtb感染患者有关。为了开发这样一种检测方法,本研究提供了一种CLAP-TB (CRISPR-Cas偶联RT-LAMP扩增结核病协议)检测方法,这将使我们能够快速和直观地诊断结核病。方法和结果:本研究利用82例患者的232份不同样本(痰、尿、血清)进行逆转录环介导的等温扩增(RT-LAMP),建立了MTB视觉检测方法。此外,该检测还整合了基于crispr - cas12的系统,该系统使用IS6110的不同引导rna和内部控制POP7(人类RNase P)基因,并使用裸眼通过基于侧流读数的量尺进行视觉检测(~134分钟)。总体而言,CLAP-TB试验的检出限高达1 ag RNA,临床敏感性和特异性分别为98.27%和100%,中试规模。结论:总之,我们的CLAP-TB检测方法为在发展中国家和资源有限的环境中诊断结核病所需的最低技术专业知识提供了一种快速、敏感和特异性方法的概念证明。
本文章由计算机程序翻译,如有差异,请以英文原文为准。
求助全文
约1分钟内获得全文 求助全文
来源期刊
Drug Target Insights
Drug Target Insights PHARMACOLOGY & PHARMACY-
CiteScore
2.70
自引率
0.00%
发文量
5
审稿时长
8 weeks
×
引用
GB/T 7714-2015
复制
MLA
复制
APA
复制
导出至
BibTeX EndNote RefMan NoteFirst NoteExpress
×
提示
您的信息不完整,为了账户安全,请先补充。
现在去补充
×
提示
您因"违规操作"
具体请查看互助需知
我知道了
×
提示
确定
请完成安全验证×
copy
已复制链接
快去分享给好友吧!
我知道了
右上角分享
点击右上角分享
0
联系我们:info@booksci.cn Book学术提供免费学术资源搜索服务,方便国内外学者检索中英文文献。致力于提供最便捷和优质的服务体验。 Copyright © 2023 布克学术 All rights reserved.
京ICP备2023020795号-1
ghs 京公网安备 11010802042870号
Book学术文献互助
Book学术文献互助群
群 号:604180095
Book学术官方微信