Full Recovery Over One Year of the Overlap Syndrome Scleromyositis to Maintenance Therapy with Mycophenolate Mofetil and Rituximab, which Relapsed within 8 Months of Discontinuation.

Q3 Medicine
European journal of case reports in internal medicine Pub Date : 2025-05-05 eCollection Date: 2025-01-01 DOI:10.12890/2025_005154
Inês Amarante, Catarina Faustino, Bruna Mota, Mariana Cascais, Jorge Almeida, Marta Valentim
{"title":"Full Recovery Over One Year of the Overlap Syndrome Scleromyositis to Maintenance Therapy with Mycophenolate Mofetil and Rituximab, which Relapsed within 8 Months of Discontinuation.","authors":"Inês Amarante, Catarina Faustino, Bruna Mota, Mariana Cascais, Jorge Almeida, Marta Valentim","doi":"10.12890/2025_005154","DOIUrl":null,"url":null,"abstract":"<p><p>Scleromyositis (SM) is an emerging, distinct entity within the spectrum of diffuse systemic sclerosis (SSc) and autoimmune inflammatory myopathies. It can carry a poorer prognosis due to multisystem involvement and extramuscular complications, with no consensus on treatment strategies currently available. We report on a 20-year-old woman with a history of recurrent infections over the past year, who presented with persistent myalgias for four months. On examination, she exhibited muscle weakness in the scapular and pelvic girdles, along with sclerodactyly. Laboratory results showed elevated creatine kinase (13,000 U/l), aldolase (15.6 U/l), lactate dehydrogenase (1,481 U/l) and myoglobin (4,400 ng/ml). Autoimmune screening was positive for antinuclear antibodies, anti-PM-scleroderma (anti-PM-Scl) 75 and 100, and anti-CENP-B antibodies. An MRI of the pelvic girdle indicated acute/subacute myositis, and electromyography revealed both distal and proximal myopathy. Muscle biopsy showed extensive necrosis with minimal inflammatory infiltration. Nailfold capillaroscopy demonstrated an early scleroderma pattern, while CT and spirometry revealed mild interstitial restrictive lung disease. Initial treatment involved intravenous immunoglobulin (IVIG), mycophenolate mofetil (MMF) and prednisolone. This was followed by maintenance therapy with MMF and rituximab (RTX) every six months for the first year. Over six months, the patient showed progressive improvement in muscle strength and normalisation of muscle enzyme levels. In conclusion, SM presents with variable phenotypes, ranging from mild to extensive systemic involvement. This case underscores the importance of individualised patient stratification and highlights the need for structured induction and maintenance therapy due to the disease's extensive activity.</p><p><strong>Learning points: </strong>Scleromyositis (SM) is a rare and poorly understood condition that combines features of systemic sclerosis and immune-mediated myositis, often linked to anti-PM-scleroderma antibodies.Despite efforts to classify SM, it demonstrates unique clinical patterns that distinguish it from other myositis subtypes.The management of SM remains challenging, as there are no established guidelines or standardised treatment protocols.</p>","PeriodicalId":11908,"journal":{"name":"European journal of case reports in internal medicine","volume":"12 5","pages":"005154"},"PeriodicalIF":0.0000,"publicationDate":"2025-05-05","publicationTypes":"Journal Article","fieldsOfStudy":null,"isOpenAccess":false,"openAccessPdf":"https://www.ncbi.nlm.nih.gov/pmc/articles/PMC12061208/pdf/","citationCount":"0","resultStr":null,"platform":"Semanticscholar","paperid":null,"PeriodicalName":"European journal of case reports in internal medicine","FirstCategoryId":"1085","ListUrlMain":"https://doi.org/10.12890/2025_005154","RegionNum":0,"RegionCategory":null,"ArticlePicture":[],"TitleCN":null,"AbstractTextCN":null,"PMCID":null,"EPubDate":"2025/1/1 0:00:00","PubModel":"eCollection","JCR":"Q3","JCRName":"Medicine","Score":null,"Total":0}
引用次数: 0

Abstract

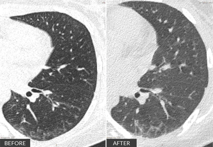
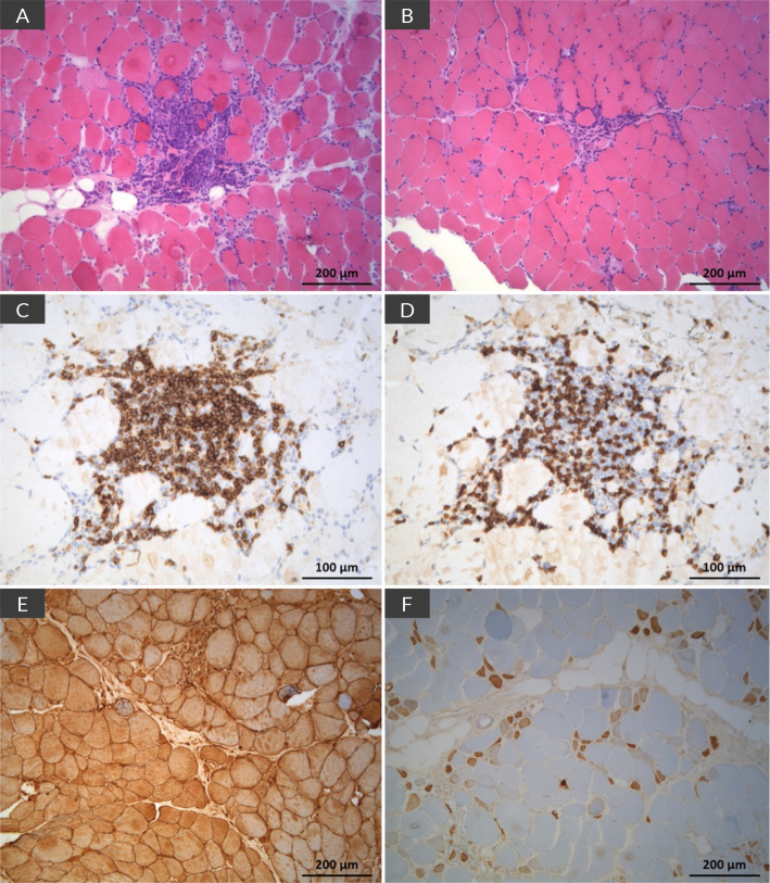
Scleromyositis (SM) is an emerging, distinct entity within the spectrum of diffuse systemic sclerosis (SSc) and autoimmune inflammatory myopathies. It can carry a poorer prognosis due to multisystem involvement and extramuscular complications, with no consensus on treatment strategies currently available. We report on a 20-year-old woman with a history of recurrent infections over the past year, who presented with persistent myalgias for four months. On examination, she exhibited muscle weakness in the scapular and pelvic girdles, along with sclerodactyly. Laboratory results showed elevated creatine kinase (13,000 U/l), aldolase (15.6 U/l), lactate dehydrogenase (1,481 U/l) and myoglobin (4,400 ng/ml). Autoimmune screening was positive for antinuclear antibodies, anti-PM-scleroderma (anti-PM-Scl) 75 and 100, and anti-CENP-B antibodies. An MRI of the pelvic girdle indicated acute/subacute myositis, and electromyography revealed both distal and proximal myopathy. Muscle biopsy showed extensive necrosis with minimal inflammatory infiltration. Nailfold capillaroscopy demonstrated an early scleroderma pattern, while CT and spirometry revealed mild interstitial restrictive lung disease. Initial treatment involved intravenous immunoglobulin (IVIG), mycophenolate mofetil (MMF) and prednisolone. This was followed by maintenance therapy with MMF and rituximab (RTX) every six months for the first year. Over six months, the patient showed progressive improvement in muscle strength and normalisation of muscle enzyme levels. In conclusion, SM presents with variable phenotypes, ranging from mild to extensive systemic involvement. This case underscores the importance of individualised patient stratification and highlights the need for structured induction and maintenance therapy due to the disease's extensive activity.

Learning points: Scleromyositis (SM) is a rare and poorly understood condition that combines features of systemic sclerosis and immune-mediated myositis, often linked to anti-PM-scleroderma antibodies.Despite efforts to classify SM, it demonstrates unique clinical patterns that distinguish it from other myositis subtypes.The management of SM remains challenging, as there are no established guidelines or standardised treatment protocols.

Abstract Image

Abstract Image

使用霉酚酸酯和利妥昔单抗维持治疗的重叠综合征硬肌炎患者1年以上完全恢复,停药8个月内复发。
硬化肌炎(SM)是弥漫性系统性硬化症(SSc)和自身免疫性炎症性肌病谱中的一种新兴的、独特的实体。由于多系统受累和肌外并发症,其预后较差,目前尚无共识的治疗策略。我们报告了一名20岁的女性,在过去的一年里有复发性感染的病史,她表现出持续四个月的肌痛。检查时,她表现出肩胛骨和骨盆带肌无力,并伴有指关节硬化。实验室结果显示肌酸激酶(13000 U/l)、醛缩酶(15.6 U/l)、乳酸脱氢酶(1481 U/l)和肌红蛋白(4400 ng/ml)升高。自身免疫筛查抗核抗体、抗pm -硬皮病(抗pm -scl) 75和100、抗cenp - b抗体阳性。骨盆带MRI显示急性/亚急性肌炎,肌电图显示远端和近端肌病。肌肉活检显示广泛坏死伴少量炎症浸润。甲襞毛细血管镜显示早期硬皮病,而CT和肺活量测定显示轻度间质性限制性肺疾病。最初的治疗包括静脉注射免疫球蛋白(IVIG)、霉酚酸酯(MMF)和强的松龙。随后第一年每6个月接受MMF和利妥昔单抗(RTX)的维持治疗。6个月后,患者肌肉力量逐渐改善,肌肉酶水平逐渐恢复正常。总之,SM表现出不同的表型,从轻度到广泛的全身累及。该病例强调了个体化患者分层的重要性,并强调了由于疾病的广泛活动,需要结构化的诱导和维持治疗。学习要点:硬皮炎(SM)是一种罕见且知之甚少的疾病,它结合了系统性硬化症和免疫介导性肌炎的特征,通常与抗pm硬皮病抗体有关。尽管努力对SM进行分类,但它表现出独特的临床模式,将其与其他肌炎亚型区分开来。SM的管理仍然具有挑战性,因为没有既定的指导方针或标准化的治疗方案。
本文章由计算机程序翻译,如有差异,请以英文原文为准。
求助全文
约1分钟内获得全文 求助全文
来源期刊
CiteScore
2.10
自引率
0.00%
发文量
166
审稿时长
8 weeks
期刊介绍: The European Journal of Case Reports in Internal Medicine is an official journal of the European Federation of Internal Medicine (EFIM), representing 35 national societies from 33 European countries. The Journal''s mission is to promote the best medical practice and innovation in the field of acute and general medicine. It also provides a forum for internal medicine doctors where they can share new approaches with the aim of improving diagnostic and clinical skills in this field. EJCRIM welcomes high-quality case reports describing unusual or complex cases that an internist may encounter in everyday practice. The cases should either demonstrate the appropriateness of a diagnostic/therapeutic approach, describe a new procedure or maneuver, or show unusual manifestations of a disease or unexpected reactions. The Journal only accepts and publishes those case reports whose learning points provide new insight and/or contribute to advancing medical knowledge both in terms of diagnostics and therapeutic approaches. Case reports of medical errors, therefore, are also welcome as long as they provide innovative measures on how to prevent them in the current practice (Instructive Errors). The Journal may also consider brief and reasoned reports on issues relevant to the practice of Internal Medicine, as well as Abstracts submitted to the scientific meetings of acknowledged medical societies.
×
引用
GB/T 7714-2015
复制
MLA
复制
APA
复制
导出至
BibTeX EndNote RefMan NoteFirst NoteExpress
×
提示
您的信息不完整,为了账户安全,请先补充。
现在去补充
×
提示
您因"违规操作"
具体请查看互助需知
我知道了
×
提示
确定
请完成安全验证×
copy
已复制链接
快去分享给好友吧!
我知道了
右上角分享
点击右上角分享
0
联系我们:info@booksci.cn Book学术提供免费学术资源搜索服务,方便国内外学者检索中英文文献。致力于提供最便捷和优质的服务体验。 Copyright © 2023 布克学术 All rights reserved.
京ICP备2023020795号-1
ghs 京公网安备 11010802042870号
Book学术文献互助
Book学术文献互助群
群 号:604180095
Book学术官方微信