A Challenging Case of Congenital Adrenal Hyperplasia Due to CYP11B1 Deficiency With Uncontrolled Hypertension.

IF 0.9 Q4 ENDOCRINOLOGY & METABOLISM
Case Reports in Endocrinology Pub Date : 2025-04-11 eCollection Date: 2025-01-01 DOI:10.1155/crie/1422782
Pierluigi Mazzeo, Filippo Ceccato, Irene Tizianel, Mattia Barbot
{"title":"A Challenging Case of Congenital Adrenal Hyperplasia Due to CYP11B1 Deficiency With Uncontrolled Hypertension.","authors":"Pierluigi Mazzeo, Filippo Ceccato, Irene Tizianel, Mattia Barbot","doi":"10.1155/crie/1422782","DOIUrl":null,"url":null,"abstract":"<p><p>Congenital adrenal hyperplasia (CAH) due to 11-beta-hydroxylase deficiency (11<i>β</i>-OHD) is the second most common steroidogenesis impairment in European populations, characterized by hypertension, hypokalemia, infertility, hyperandrogenism, and genital ambiguity in females. We present the case of a biological male patient with 11<i>β</i>-OHD CAH who developed resistant hypertension, along with massive adrenal enlargement and testicular adrenal rests due to inadequate disease control while on dexamethasone treatment, compounded by drug interactions with his antiepileptic therapy. As the patient was reluctant to switch to a three-times-daily hydrocortisone regimen, he was transitioned to dual-release hydrocortisone, resulting in progressive improvement of most of his symptoms. This case highlights the importance of tailored therapy, particularly in rare diseases.</p>","PeriodicalId":9621,"journal":{"name":"Case Reports in Endocrinology","volume":"2025 ","pages":"1422782"},"PeriodicalIF":0.9000,"publicationDate":"2025-04-11","publicationTypes":"Journal Article","fieldsOfStudy":null,"isOpenAccess":false,"openAccessPdf":"https://www.ncbi.nlm.nih.gov/pmc/articles/PMC12008488/pdf/","citationCount":"0","resultStr":null,"platform":"Semanticscholar","paperid":null,"PeriodicalName":"Case Reports in Endocrinology","FirstCategoryId":"1085","ListUrlMain":"https://doi.org/10.1155/crie/1422782","RegionNum":0,"RegionCategory":null,"ArticlePicture":[],"TitleCN":null,"AbstractTextCN":null,"PMCID":null,"EPubDate":"2025/1/1 0:00:00","PubModel":"eCollection","JCR":"Q4","JCRName":"ENDOCRINOLOGY & METABOLISM","Score":null,"Total":0}
引用次数: 0

Abstract

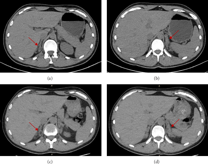
Congenital adrenal hyperplasia (CAH) due to 11-beta-hydroxylase deficiency (11β-OHD) is the second most common steroidogenesis impairment in European populations, characterized by hypertension, hypokalemia, infertility, hyperandrogenism, and genital ambiguity in females. We present the case of a biological male patient with 11β-OHD CAH who developed resistant hypertension, along with massive adrenal enlargement and testicular adrenal rests due to inadequate disease control while on dexamethasone treatment, compounded by drug interactions with his antiepileptic therapy. As the patient was reluctant to switch to a three-times-daily hydrocortisone regimen, he was transitioned to dual-release hydrocortisone, resulting in progressive improvement of most of his symptoms. This case highlights the importance of tailored therapy, particularly in rare diseases.

Abstract Image

Abstract Image

CYP11B1缺乏导致的先天性肾上腺增生伴不受控制的高血压的一个具有挑战性的病例。
由11- β-羟化酶缺乏症(11 - β- ohd)引起的先天性肾上腺皮质增生症(CAH)是欧洲人群中第二常见的类固醇生成障碍,其特征是女性高血压、低钾血症、不孕症、高雄激素症和生殖器模糊。我们报告了一例患有11β-OHD CAH的男性生物学患者,他在接受地塞米松治疗期间由于疾病控制不充分而出现了顽固性高血压,并伴有大量肾上腺肿大和睾丸肾上腺衰竭,加上药物与抗癫痫治疗的相互作用。由于患者不愿改用每日三次的氢化可的松治疗方案,因此改用双释氢化可的松治疗,导致其大部分症状逐渐改善。该病例突出了量身定制治疗的重要性,特别是在罕见疾病中。
本文章由计算机程序翻译,如有差异,请以英文原文为准。
求助全文
约1分钟内获得全文 求助全文
来源期刊
Case Reports in Endocrinology
Case Reports in Endocrinology ENDOCRINOLOGY & METABOLISM-
CiteScore
2.10
自引率
0.00%
发文量
45
审稿时长
13 weeks
×
引用
GB/T 7714-2015
复制
MLA
复制
APA
复制
导出至
BibTeX EndNote RefMan NoteFirst NoteExpress
×
提示
您的信息不完整,为了账户安全,请先补充。
现在去补充
×
提示
您因"违规操作"
具体请查看互助需知
我知道了
×
提示
确定
请完成安全验证×
copy
已复制链接
快去分享给好友吧!
我知道了
右上角分享
点击右上角分享
0
联系我们:info@booksci.cn Book学术提供免费学术资源搜索服务,方便国内外学者检索中英文文献。致力于提供最便捷和优质的服务体验。 Copyright © 2023 布克学术 All rights reserved.
京ICP备2023020795号-1
ghs 京公网安备 11010802042870号
Book学术文献互助
Book学术文献互助群
群 号:604180095
Book学术官方微信