Fetal bladder rupture after high-dose maternal opioid treatment: a case report.

IF 0.2 Q4 OBSTETRICS & GYNECOLOGY
Case Reports in Perinatal Medicine Pub Date : 2024-04-29 eCollection Date: 2024-01-01 DOI:10.1515/crpm-2023-0034
Julia Herken, Vincent Uerlings, Sabine Zundel, Jonathan Aichner, Markus Hodel
{"title":"Fetal bladder rupture after high-dose maternal opioid treatment: a case report.","authors":"Julia Herken, Vincent Uerlings, Sabine Zundel, Jonathan Aichner, Markus Hodel","doi":"10.1515/crpm-2023-0034","DOIUrl":null,"url":null,"abstract":"<p><strong>Objectives: </strong>Fetal bladder rupture is rare and mainly caused by lower urinary tract obstruction (LUTO). Our case report describes a rupture at a gestational age of 31 weeks following high-dose maternal opioid exposure during intensive care treatment. Opioids perturb the interplay of afferent and efferent signals between the bladder, urethra, and the central nervous system (CNS) which is crucial in contributing to urinary retention. They rapidly cross the human placenta, affecting also the fetus. To date, there is no clear proof of the connection between maternal opioid treatment and fetal bladder rupture, but the association seems to strengthen.</p><p><strong>Case presentation: </strong>A 18-year old first Gravida at 31 weeks of gestation developed a severe sepsis with progressive hypoxic lung failure and need for intubation. During the ICU-treatment, several opioids were administered for sedation and pain relief. Four days after induction of opioid treatment the ultrasound revealed a decompressed fetal bladder, hematoma and significant ascites. Fetal bladder rupture with urinary ascites was suspected. A caesarean section was performed at 33 weeks of gestation due to massive fetal urinary ascites, fetal deterioration and imminent abdominal compartment syndrome. Adequate ventilation and circulation could only be established after percutaneous drainage of 350 mL of abdominal fluid, that was confirmed to be urine. A defect of the bladder was confirmed by ultrasound. On the fifth day of life, the bladder was closed surgically by pediatric surgery.</p><p><strong>Conclusions: </strong>Growing awareness of the possible connection between maternal opioid therapy and fetal bladder rupture is necessary to plan follow-up ultrasound examinations to assess the fetal situation.</p>","PeriodicalId":9617,"journal":{"name":"Case Reports in Perinatal Medicine","volume":"13 1","pages":"20230034"},"PeriodicalIF":0.2000,"publicationDate":"2024-04-29","publicationTypes":"Journal Article","fieldsOfStudy":null,"isOpenAccess":false,"openAccessPdf":"https://www.ncbi.nlm.nih.gov/pmc/articles/PMC12048148/pdf/","citationCount":"0","resultStr":null,"platform":"Semanticscholar","paperid":null,"PeriodicalName":"Case Reports in Perinatal Medicine","FirstCategoryId":"1085","ListUrlMain":"https://doi.org/10.1515/crpm-2023-0034","RegionNum":0,"RegionCategory":null,"ArticlePicture":[],"TitleCN":null,"AbstractTextCN":null,"PMCID":null,"EPubDate":"2024/1/1 0:00:00","PubModel":"eCollection","JCR":"Q4","JCRName":"OBSTETRICS & GYNECOLOGY","Score":null,"Total":0}
引用次数: 0

Abstract

Objectives: Fetal bladder rupture is rare and mainly caused by lower urinary tract obstruction (LUTO). Our case report describes a rupture at a gestational age of 31 weeks following high-dose maternal opioid exposure during intensive care treatment. Opioids perturb the interplay of afferent and efferent signals between the bladder, urethra, and the central nervous system (CNS) which is crucial in contributing to urinary retention. They rapidly cross the human placenta, affecting also the fetus. To date, there is no clear proof of the connection between maternal opioid treatment and fetal bladder rupture, but the association seems to strengthen.

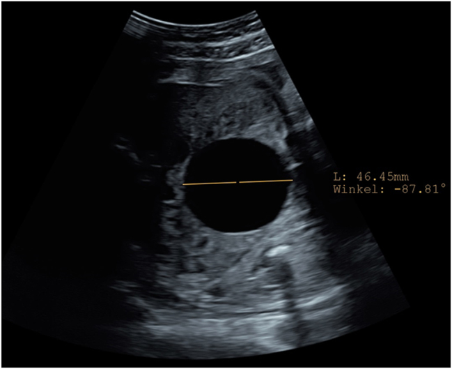
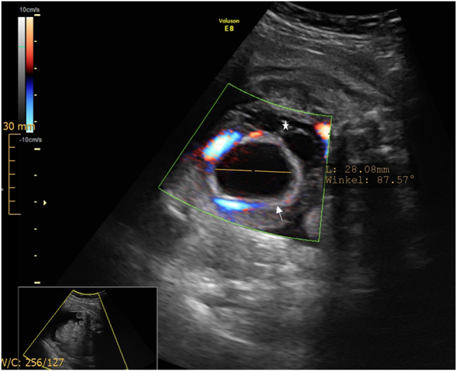
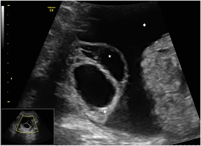
Case presentation: A 18-year old first Gravida at 31 weeks of gestation developed a severe sepsis with progressive hypoxic lung failure and need for intubation. During the ICU-treatment, several opioids were administered for sedation and pain relief. Four days after induction of opioid treatment the ultrasound revealed a decompressed fetal bladder, hematoma and significant ascites. Fetal bladder rupture with urinary ascites was suspected. A caesarean section was performed at 33 weeks of gestation due to massive fetal urinary ascites, fetal deterioration and imminent abdominal compartment syndrome. Adequate ventilation and circulation could only be established after percutaneous drainage of 350 mL of abdominal fluid, that was confirmed to be urine. A defect of the bladder was confirmed by ultrasound. On the fifth day of life, the bladder was closed surgically by pediatric surgery.

Conclusions: Growing awareness of the possible connection between maternal opioid therapy and fetal bladder rupture is necessary to plan follow-up ultrasound examinations to assess the fetal situation.

Abstract Image

Abstract Image

Abstract Image

大剂量阿片类药物治疗后胎儿膀胱破裂1例报告。
目的:胎儿膀胱破裂罕见,主要由下尿路梗阻引起。我们的病例报告描述了一个破裂在孕龄31周后高剂量阿片类药物暴露在重症监护治疗期间。阿片类药物干扰膀胱、尿道和中枢神经系统(CNS)之间的传入和传出信号的相互作用,这是导致尿潴留的关键。它们迅速穿过人类胎盘,也会影响胎儿。到目前为止,还没有明确的证据表明母体阿片类药物治疗与胎儿膀胱破裂之间存在联系,但这种联系似乎在加强。病例介绍:一名18岁的妊娠31周的第一胎发生了严重的脓毒症,并伴有进行性缺氧性肺衰竭,需要插管。在icu治疗期间,使用了几种阿片类药物来镇静和缓解疼痛。诱导阿片类药物治疗4天后超声显示胎儿膀胱减压,血肿和明显腹水。怀疑胎儿膀胱破裂伴尿腹水。由于大量胎儿尿腹水,胎儿恶化和迫在眉睫的腹膜室综合征,在妊娠33周进行剖腹产手术。经皮引流腹腔积液350 mL,确认为尿液后,才能建立足够的通气和循环。膀胱缺损经超声检查证实。在生命的第五天,通过儿科外科手术关闭了膀胱。结论:提高对母体阿片类药物治疗与胎儿膀胱破裂之间可能联系的认识是必要的,以便计划随访超声检查以评估胎儿情况。
本文章由计算机程序翻译,如有差异,请以英文原文为准。
求助全文
约1分钟内获得全文 求助全文
来源期刊
Case Reports in Perinatal Medicine
Case Reports in Perinatal Medicine OBSTETRICS & GYNECOLOGY-
自引率
0.00%
发文量
37
期刊介绍: Case Reports in Perinatal Medicine is a double-blind peer-reviewed journal. The objective of the new journal is very similar to that of JPM. In addition to evidence-based studies, practitioners in clinical practice esteem especially exemplary reports of cases that reveal specific manifestations of diseases, its progress or its treatment. We consider case reports and series to be brief reports describing an isolated clinical case or a small number of cases. They may describe new or uncommon diagnoses, unusual outcomes or prognosis, new or infrequently used therapies and side effects of therapy not usually discovered in clinical trials. They represent the basic concept of experiences for studies on representative groups for further evidence-based research. The potential roles of case reports and case series are: Recognition and description of new diseases Detection of drug side effects (adverse or beneficial) Study of mechanisms of disease Medical education and audit Recognition of rare manifestations of disease.
×
引用
GB/T 7714-2015
复制
MLA
复制
APA
复制
导出至
BibTeX EndNote RefMan NoteFirst NoteExpress
×
提示
您的信息不完整,为了账户安全,请先补充。
现在去补充
×
提示
您因"违规操作"
具体请查看互助需知
我知道了
×
提示
确定
请完成安全验证×
copy
已复制链接
快去分享给好友吧!
我知道了
右上角分享
点击右上角分享
0
联系我们:info@booksci.cn Book学术提供免费学术资源搜索服务,方便国内外学者检索中英文文献。致力于提供最便捷和优质的服务体验。 Copyright © 2023 布克学术 All rights reserved.
京ICP备2023020795号-1
ghs 京公网安备 11010802042870号
Book学术文献互助
Book学术文献互助群
群 号:604180095
Book学术官方微信