Novel homozygous mutation in the human RAX homeobox gene in a patient with bilateral anophthalmia and severe endocrine dysfunction - a case report and literature review.

IF 0.2 Q4 OBSTETRICS & GYNECOLOGY
Case Reports in Perinatal Medicine Pub Date : 2024-09-12 eCollection Date: 2024-01-01 DOI:10.1515/crpm-2024-0018
Yasmin H A El-Nahry, Victor Bardinet, Christoph Bührer, Wolfgang Henrich
{"title":"Novel homozygous mutation in the human <i>RAX</i> homeobox gene in a patient with bilateral anophthalmia and severe endocrine dysfunction - a case report and literature review.","authors":"Yasmin H A El-Nahry, Victor Bardinet, Christoph Bührer, Wolfgang Henrich","doi":"10.1515/crpm-2024-0018","DOIUrl":null,"url":null,"abstract":"<p><strong>Objectives: </strong>Childhood visual impairment due to congenital malformation leads to severe handicaps and lifelong consequences for the affected child. Congenital anophthalmia remains a rare condition marked by a child born with an empty eye socket. The embryonic plant of the eye occurs approximately on day 22 of intrauterine development and ends within the first trimester of pregnancy. Mutations in the <i>RAX</i> gene located on chromosome 18 (# 601881) cause a spectrum of head malformations, ranging from isolated microphthalmia/anophthalmia with cleft lip and palate to complex brain malformations.</p><p><strong>Case presentation: </strong>Here, we present a child's case diagnosed with bilateral anophthalmia at 33 weeks of gestation. The newborn was delivered vaginally with a <i>RAX</i>-gene-linked syndrome. Besides craniofacial malformations (bilateral anophthalmia, craniofacial hypoplasia, bilateral cleft lip), the female child had severe endocrine dysfunction (congenital hypopituitarism and diabetes insipidus) postnatal that required specialised monitoring and clinical management. Our case study reports a novel homozygous autosomal recessive non-sense mutation (c.106G>T; p.Glu36Ter) of the <i>RAX</i> gene. This is the first description of this pathogenic gene variant in the literature.</p><p><strong>Conclusions: </strong>Early and precise sonography is crucial in detecting these conditions on time to prepare postpartum care and avoid delays in optimal clinical treatment for the affected child. This case report aims to raise the scientific community's awareness about this rare genetic syndrome, showing an individualised two-year follow-up program that could help guide physicians and future parents of affected children.</p>","PeriodicalId":9617,"journal":{"name":"Case Reports in Perinatal Medicine","volume":"13 1","pages":"20240018"},"PeriodicalIF":0.2000,"publicationDate":"2024-09-12","publicationTypes":"Journal Article","fieldsOfStudy":null,"isOpenAccess":false,"openAccessPdf":"https://www.ncbi.nlm.nih.gov/pmc/articles/PMC12048140/pdf/","citationCount":"0","resultStr":null,"platform":"Semanticscholar","paperid":null,"PeriodicalName":"Case Reports in Perinatal Medicine","FirstCategoryId":"1085","ListUrlMain":"https://doi.org/10.1515/crpm-2024-0018","RegionNum":0,"RegionCategory":null,"ArticlePicture":[],"TitleCN":null,"AbstractTextCN":null,"PMCID":null,"EPubDate":"2024/1/1 0:00:00","PubModel":"eCollection","JCR":"Q4","JCRName":"OBSTETRICS & GYNECOLOGY","Score":null,"Total":0}
引用次数: 0

Abstract

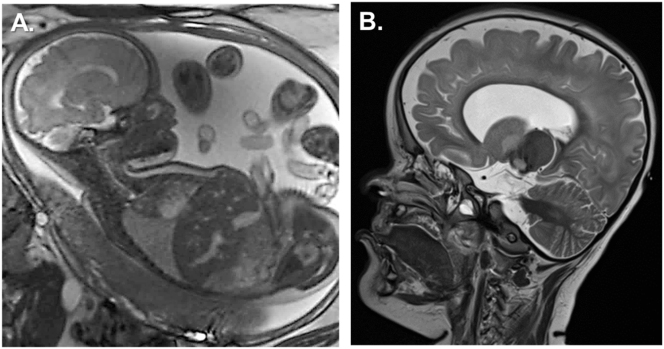
Objectives: Childhood visual impairment due to congenital malformation leads to severe handicaps and lifelong consequences for the affected child. Congenital anophthalmia remains a rare condition marked by a child born with an empty eye socket. The embryonic plant of the eye occurs approximately on day 22 of intrauterine development and ends within the first trimester of pregnancy. Mutations in the RAX gene located on chromosome 18 (# 601881) cause a spectrum of head malformations, ranging from isolated microphthalmia/anophthalmia with cleft lip and palate to complex brain malformations.

Case presentation: Here, we present a child's case diagnosed with bilateral anophthalmia at 33 weeks of gestation. The newborn was delivered vaginally with a RAX-gene-linked syndrome. Besides craniofacial malformations (bilateral anophthalmia, craniofacial hypoplasia, bilateral cleft lip), the female child had severe endocrine dysfunction (congenital hypopituitarism and diabetes insipidus) postnatal that required specialised monitoring and clinical management. Our case study reports a novel homozygous autosomal recessive non-sense mutation (c.106G>T; p.Glu36Ter) of the RAX gene. This is the first description of this pathogenic gene variant in the literature.

Conclusions: Early and precise sonography is crucial in detecting these conditions on time to prepare postpartum care and avoid delays in optimal clinical treatment for the affected child. This case report aims to raise the scientific community's awareness about this rare genetic syndrome, showing an individualised two-year follow-up program that could help guide physicians and future parents of affected children.

Abstract Image

Abstract Image

Abstract Image

双眼无眼伴严重内分泌功能障碍患者RAX基因纯合突变1例并文献复习。
目的:儿童视力障碍由于先天畸形导致严重的残疾和终身影响的儿童。先天性无眼症仍然是一种罕见的条件,标志着一个孩子出生与空眼眶。眼睛的胚胎植物大约发生在子宫内发育的第22天,并在怀孕的前三个月结束。位于18号染色体(# 601881)上的RAX基因突变导致一系列头部畸形,从孤立的小眼/眼缺陷伴唇腭裂到复杂的脑畸形。病例介绍:在这里,我们提出了一个儿童病例诊断为双侧无眼症在妊娠33周。这名新生儿是阴道分娩的,患有rax基因相关综合征。除了颅面畸形(双侧无眼症、颅面发育不全、双侧唇裂)外,女婴产后还有严重的内分泌功能障碍(先天性垂体功能低下和尿崩症),需要专门的监测和临床管理。我们的病例研究报告了一种新的纯合常染色体隐性无义突变(c.106G >t;p.Glu36Ter)的RAX基因。这是文献中对这种致病基因变异的首次描述。结论:早期和精确的超声检查对于及时发现这些情况,为产后护理做好准备,避免延误患儿的最佳临床治疗至关重要。该病例报告旨在提高科学界对这种罕见遗传综合征的认识,展示了一个个性化的两年随访计划,可以帮助指导医生和受影响儿童的未来父母。
本文章由计算机程序翻译,如有差异,请以英文原文为准。
求助全文
约1分钟内获得全文 求助全文
来源期刊
Case Reports in Perinatal Medicine
Case Reports in Perinatal Medicine OBSTETRICS & GYNECOLOGY-
自引率
0.00%
发文量
37
期刊介绍: Case Reports in Perinatal Medicine is a double-blind peer-reviewed journal. The objective of the new journal is very similar to that of JPM. In addition to evidence-based studies, practitioners in clinical practice esteem especially exemplary reports of cases that reveal specific manifestations of diseases, its progress or its treatment. We consider case reports and series to be brief reports describing an isolated clinical case or a small number of cases. They may describe new or uncommon diagnoses, unusual outcomes or prognosis, new or infrequently used therapies and side effects of therapy not usually discovered in clinical trials. They represent the basic concept of experiences for studies on representative groups for further evidence-based research. The potential roles of case reports and case series are: Recognition and description of new diseases Detection of drug side effects (adverse or beneficial) Study of mechanisms of disease Medical education and audit Recognition of rare manifestations of disease.
×
引用
GB/T 7714-2015
复制
MLA
复制
APA
复制
导出至
BibTeX EndNote RefMan NoteFirst NoteExpress
×
提示
您的信息不完整,为了账户安全,请先补充。
现在去补充
×
提示
您因"违规操作"
具体请查看互助需知
我知道了
×
提示
确定
请完成安全验证×
copy
已复制链接
快去分享给好友吧!
我知道了
右上角分享
点击右上角分享
0
联系我们:info@booksci.cn Book学术提供免费学术资源搜索服务,方便国内外学者检索中英文文献。致力于提供最便捷和优质的服务体验。 Copyright © 2023 布克学术 All rights reserved.
京ICP备2023020795号-1
ghs 京公网安备 11010802042870号
Book学术文献互助
Book学术文献互助群
群 号:604180095
Book学术官方微信