Case report of congenital myotonic dystrophy with multiple prenatal sonographic findings.

IF 0.2 Q4 OBSTETRICS & GYNECOLOGY
Case Reports in Perinatal Medicine Pub Date : 2024-04-29 eCollection Date: 2024-01-01 DOI:10.1515/crpm-2023-0029
Zita Strelcovienė, Eglė Machtejevienė, Meilė Minkauskienė, Rasa Traberg
{"title":"Case report of congenital myotonic dystrophy with multiple prenatal sonographic findings.","authors":"Zita Strelcovienė, Eglė Machtejevienė, Meilė Minkauskienė, Rasa Traberg","doi":"10.1515/crpm-2023-0029","DOIUrl":null,"url":null,"abstract":"<p><strong>Objectives: </strong>Myotonic dystrophy 1 (DM1) is an autosomal dominant inherited neuromuscular disorder. The most severe form is congenital myotonic dystrophy (cDM). Prenatal diagnosis is complicated and sonographic findings of cDM that are not pathognomonic occur in the late second or early third trimester of pregnancy.</p><p><strong>Case presentation: </strong>It is the case of prenatally diagnosed cDM. In 32 weeks of pregnancy multiple sonographic findings such as severe polyhydramnios, bilateral talipes, fetal legs akinesia, macrocephaly with mild bilateral ventriculomegaly, right-sided pleural effusion and diaphragmatic pathology were observed by fetal medicine specialist. As the patient complained of weakness in her limbs, she was consulted by a neurologist. The neurological examination revealed a pathognomonic sign of DM1 - grip myotonia. The amniotic fluid and the mother's blood sample were further tested for DM1. This identified >150 repeats in one copy of the DMPK gene of the both, which is consistent with the diagnosis DM1.</p><p><strong>Conclusions: </strong>The sonographic findings of fetal limb abnormalities with progressive polyhydramnios is an indication for maternal neurological examination and genetic testing due to myotonic dystrophy.</p>","PeriodicalId":9617,"journal":{"name":"Case Reports in Perinatal Medicine","volume":"13 1","pages":"20230029"},"PeriodicalIF":0.2000,"publicationDate":"2024-04-29","publicationTypes":"Journal Article","fieldsOfStudy":null,"isOpenAccess":false,"openAccessPdf":"https://www.ncbi.nlm.nih.gov/pmc/articles/PMC12048144/pdf/","citationCount":"0","resultStr":null,"platform":"Semanticscholar","paperid":null,"PeriodicalName":"Case Reports in Perinatal Medicine","FirstCategoryId":"1085","ListUrlMain":"https://doi.org/10.1515/crpm-2023-0029","RegionNum":0,"RegionCategory":null,"ArticlePicture":[],"TitleCN":null,"AbstractTextCN":null,"PMCID":null,"EPubDate":"2024/1/1 0:00:00","PubModel":"eCollection","JCR":"Q4","JCRName":"OBSTETRICS & GYNECOLOGY","Score":null,"Total":0}
引用次数: 0

Abstract

Objectives: Myotonic dystrophy 1 (DM1) is an autosomal dominant inherited neuromuscular disorder. The most severe form is congenital myotonic dystrophy (cDM). Prenatal diagnosis is complicated and sonographic findings of cDM that are not pathognomonic occur in the late second or early third trimester of pregnancy.

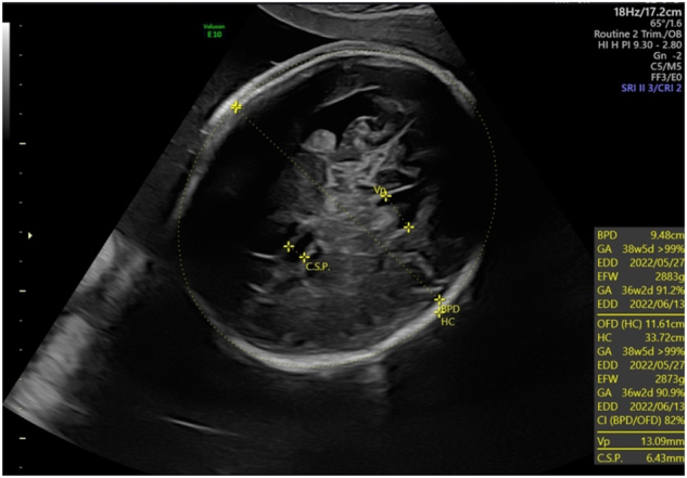
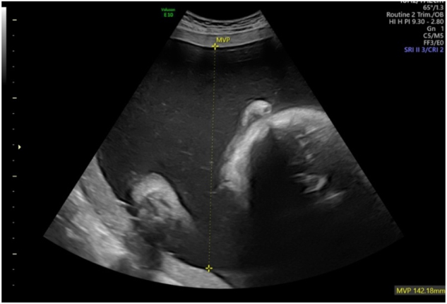
Case presentation: It is the case of prenatally diagnosed cDM. In 32 weeks of pregnancy multiple sonographic findings such as severe polyhydramnios, bilateral talipes, fetal legs akinesia, macrocephaly with mild bilateral ventriculomegaly, right-sided pleural effusion and diaphragmatic pathology were observed by fetal medicine specialist. As the patient complained of weakness in her limbs, she was consulted by a neurologist. The neurological examination revealed a pathognomonic sign of DM1 - grip myotonia. The amniotic fluid and the mother's blood sample were further tested for DM1. This identified >150 repeats in one copy of the DMPK gene of the both, which is consistent with the diagnosis DM1.

Conclusions: The sonographic findings of fetal limb abnormalities with progressive polyhydramnios is an indication for maternal neurological examination and genetic testing due to myotonic dystrophy.

Abstract Image

Abstract Image

Abstract Image

先天性肌强直性营养不良伴多种产前超声检查的1例报告。
目的:肌强直性营养不良1 (DM1)是一种常染色体显性遗传性神经肌肉疾病。最严重的形式是先天性肌强直性营养不良(cDM)。产前诊断是复杂的,cDM的超声检查结果是不典型的,发生在妊娠的第二晚期或第三早期。病例介绍:本病例为产前诊断的cDM。孕32周时,胎医观察胎儿超声表现为严重羊水过多、双侧taltales、胎腿运动障碍、大头畸形伴轻度双侧脑室肿大、右侧胸腔积液及膈病理。当病人抱怨四肢无力时,一位神经科医生来咨询她的意见。神经学检查显示DM1 -握力肌强直的病理征象。羊水和母亲的血液样本进一步检测DM1。这在两者的DMPK基因的一个拷贝中发现了bb0 150个重复,这与DM1的诊断一致。结论:胎儿肢体异常伴进行性羊水过多的声像图表现可作为肌强直性营养不良引起的母体神经学检查和基因检测的指征。
本文章由计算机程序翻译,如有差异,请以英文原文为准。
求助全文
约1分钟内获得全文 求助全文
来源期刊
Case Reports in Perinatal Medicine
Case Reports in Perinatal Medicine OBSTETRICS & GYNECOLOGY-
自引率
0.00%
发文量
37
期刊介绍: Case Reports in Perinatal Medicine is a double-blind peer-reviewed journal. The objective of the new journal is very similar to that of JPM. In addition to evidence-based studies, practitioners in clinical practice esteem especially exemplary reports of cases that reveal specific manifestations of diseases, its progress or its treatment. We consider case reports and series to be brief reports describing an isolated clinical case or a small number of cases. They may describe new or uncommon diagnoses, unusual outcomes or prognosis, new or infrequently used therapies and side effects of therapy not usually discovered in clinical trials. They represent the basic concept of experiences for studies on representative groups for further evidence-based research. The potential roles of case reports and case series are: Recognition and description of new diseases Detection of drug side effects (adverse or beneficial) Study of mechanisms of disease Medical education and audit Recognition of rare manifestations of disease.
×
引用
GB/T 7714-2015
复制
MLA
复制
APA
复制
导出至
BibTeX EndNote RefMan NoteFirst NoteExpress
×
提示
您的信息不完整,为了账户安全,请先补充。
现在去补充
×
提示
您因"违规操作"
具体请查看互助需知
我知道了
×
提示
确定
请完成安全验证×
copy
已复制链接
快去分享给好友吧!
我知道了
右上角分享
点击右上角分享
0
联系我们:info@booksci.cn Book学术提供免费学术资源搜索服务,方便国内外学者检索中英文文献。致力于提供最便捷和优质的服务体验。 Copyright © 2023 布克学术 All rights reserved.
京ICP备2023020795号-1
ghs 京公网安备 11010802042870号
Book学术文献互助
Book学术文献互助群
群 号:604180095
Book学术官方微信