Case study: autoimmune hepatitis with cirrhosis and pancytopenia since 7 weeks' gestation.

IF 0.2 Q4 OBSTETRICS & GYNECOLOGY
Case Reports in Perinatal Medicine Pub Date : 2024-04-26 eCollection Date: 2024-01-01 DOI:10.1515/crpm-2024-0007
Rachel Lee, Zenobia Gonsalves, Sophia Wang, Ayesha Hussain, Kimberly Herrera
{"title":"Case study: autoimmune hepatitis with cirrhosis and pancytopenia since 7 weeks' gestation.","authors":"Rachel Lee, Zenobia Gonsalves, Sophia Wang, Ayesha Hussain, Kimberly Herrera","doi":"10.1515/crpm-2024-0007","DOIUrl":null,"url":null,"abstract":"<p><strong>Objectives: </strong>Autoimmune hepatitis (AIH) is a chronic inflammatory disease of unknown etiology and AIH in pregnancy is associated with many adverse maternal and fetal outcomes. The purpose of this report is to share insight into management of AIH-induced pancytopenia unresponsive to steroids and transfusions.</p><p><strong>Case presentation: </strong>A 29-year-old G4P0121 female with history of spontaneous bacterial peritonitis (SBP) and severe pancytopenia secondary to AIH was found to be incidentally pregnant at 7 weeks gestation. Despite multiple blood transfusions and steroids, her pancytopenia was unresponsive to therapy. At 33 weeks, she underwent primary cesarean section for persistent category II fetal heart tracing and delivered a viable infant. Delivery was complicated by hemorrhage requiring multiple blood products. Postpartum course was complicated by sepsis secondary to urinary tract infection, and decompensated cirrhosis with hepatic encephalopathy and coagulopathy. Both fetus and mother have recovered well 3 months post-delivery.</p><p><strong>Conclusions: </strong>This case highlights the challenges in management of AIH in pregnancy, particularly the difficulty in treating severe unresponsive pancytopenia as well as balancing the need for immunosuppression with the increased risk of infection that may lead to sequelae such as SBP and puerperal sepsis.</p>","PeriodicalId":9617,"journal":{"name":"Case Reports in Perinatal Medicine","volume":"13 1","pages":"20240007"},"PeriodicalIF":0.2000,"publicationDate":"2024-04-26","publicationTypes":"Journal Article","fieldsOfStudy":null,"isOpenAccess":false,"openAccessPdf":"https://www.ncbi.nlm.nih.gov/pmc/articles/PMC12048143/pdf/","citationCount":"0","resultStr":null,"platform":"Semanticscholar","paperid":null,"PeriodicalName":"Case Reports in Perinatal Medicine","FirstCategoryId":"1085","ListUrlMain":"https://doi.org/10.1515/crpm-2024-0007","RegionNum":0,"RegionCategory":null,"ArticlePicture":[],"TitleCN":null,"AbstractTextCN":null,"PMCID":null,"EPubDate":"2024/1/1 0:00:00","PubModel":"eCollection","JCR":"Q4","JCRName":"OBSTETRICS & GYNECOLOGY","Score":null,"Total":0}
引用次数: 0

Abstract

Objectives: Autoimmune hepatitis (AIH) is a chronic inflammatory disease of unknown etiology and AIH in pregnancy is associated with many adverse maternal and fetal outcomes. The purpose of this report is to share insight into management of AIH-induced pancytopenia unresponsive to steroids and transfusions.

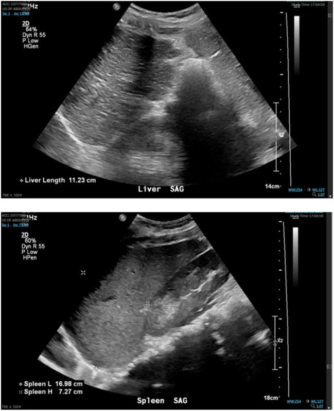
Case presentation: A 29-year-old G4P0121 female with history of spontaneous bacterial peritonitis (SBP) and severe pancytopenia secondary to AIH was found to be incidentally pregnant at 7 weeks gestation. Despite multiple blood transfusions and steroids, her pancytopenia was unresponsive to therapy. At 33 weeks, she underwent primary cesarean section for persistent category II fetal heart tracing and delivered a viable infant. Delivery was complicated by hemorrhage requiring multiple blood products. Postpartum course was complicated by sepsis secondary to urinary tract infection, and decompensated cirrhosis with hepatic encephalopathy and coagulopathy. Both fetus and mother have recovered well 3 months post-delivery.

Conclusions: This case highlights the challenges in management of AIH in pregnancy, particularly the difficulty in treating severe unresponsive pancytopenia as well as balancing the need for immunosuppression with the increased risk of infection that may lead to sequelae such as SBP and puerperal sepsis.

Abstract Image

Abstract Image

病例研究:妊娠7周以来自身免疫性肝炎伴肝硬化和全血细胞减少。
目的:自身免疫性肝炎(AIH)是一种病因不明的慢性炎症性疾病,妊娠期AIH与许多母体和胎儿的不良结局相关。本报告的目的是分享aih诱导的对类固醇和输血无反应的全血细胞减少症的管理见解。病例介绍:一名29岁的G4P0121女性,有自发性细菌性腹膜炎(SBP)和继发于AIH的严重全血细胞减少症病史,在妊娠7周时发现意外怀孕。尽管多次输血和类固醇治疗,她的全血细胞减少症对治疗没有反应。在33周时,她接受了一次剖宫产,持续进行II类胎心追踪,并分娩了一个可存活的婴儿。分娩因出血而复杂化,需要多种血液制品。产后并发尿路感染继发脓毒症,失代偿性肝硬化伴肝性脑病和凝血功能障碍。产后3个月,胎儿和母亲均恢复良好。结论:该病例强调了妊娠期AIH管理的挑战,特别是治疗严重无反应性全血细胞减少症的困难,以及平衡免疫抑制需求与可能导致SBP和产褥期败血症等后遗症的感染风险的增加。
本文章由计算机程序翻译,如有差异,请以英文原文为准。
求助全文
约1分钟内获得全文 求助全文
来源期刊
Case Reports in Perinatal Medicine
Case Reports in Perinatal Medicine OBSTETRICS & GYNECOLOGY-
自引率
0.00%
发文量
37
期刊介绍: Case Reports in Perinatal Medicine is a double-blind peer-reviewed journal. The objective of the new journal is very similar to that of JPM. In addition to evidence-based studies, practitioners in clinical practice esteem especially exemplary reports of cases that reveal specific manifestations of diseases, its progress or its treatment. We consider case reports and series to be brief reports describing an isolated clinical case or a small number of cases. They may describe new or uncommon diagnoses, unusual outcomes or prognosis, new or infrequently used therapies and side effects of therapy not usually discovered in clinical trials. They represent the basic concept of experiences for studies on representative groups for further evidence-based research. The potential roles of case reports and case series are: Recognition and description of new diseases Detection of drug side effects (adverse or beneficial) Study of mechanisms of disease Medical education and audit Recognition of rare manifestations of disease.
×
引用
GB/T 7714-2015
复制
MLA
复制
APA
复制
导出至
BibTeX EndNote RefMan NoteFirst NoteExpress
×
提示
您的信息不完整,为了账户安全,请先补充。
现在去补充
×
提示
您因"违规操作"
具体请查看互助需知
我知道了
×
提示
确定
请完成安全验证×
copy
已复制链接
快去分享给好友吧!
我知道了
右上角分享
点击右上角分享
0
联系我们:info@booksci.cn Book学术提供免费学术资源搜索服务,方便国内外学者检索中英文文献。致力于提供最便捷和优质的服务体验。 Copyright © 2023 布克学术 All rights reserved.
京ICP备2023020795号-1
ghs 京公网安备 11010802042870号
Book学术文献互助
Book学术文献互助群
群 号:604180095
Book学术官方微信