Exploring ANCA Pathogenicity in Ulcerative Colitis: A Case Report Highlighting the Risk of Progression to ANCA-Associated Vasculitis.

Q3 Medicine
European journal of case reports in internal medicine Pub Date : 2025-05-05 eCollection Date: 2025-01-01 DOI:10.12890/2025_005061
Abir Hamid, Frederic Vandergheynst, Maxime Ilzkovitz
{"title":"Exploring ANCA Pathogenicity in Ulcerative Colitis: A Case Report Highlighting the Risk of Progression to ANCA-Associated Vasculitis.","authors":"Abir Hamid, Frederic Vandergheynst, Maxime Ilzkovitz","doi":"10.12890/2025_005061","DOIUrl":null,"url":null,"abstract":"<p><strong>Background: </strong>The relationship between anti-neutrophil cytoplasmic antibodies (ANCA) and inflammatory bowel disease has attracted significant attention due to shared immunopathological mechanisms and clinical associations.</p><p><strong>Case description: </strong>This case report describes a 20-year-old African woman with a history of ulcerative colitis who developed diffuse alveolar haemorrhage in the setting of elevated proteinase 3 (PR3)-ANCA. She was treated for ANCA-associated vasculitis with corticosteroids, plasma exchange, and rituximab, leading to a complete resolution.</p><p><strong>Conclusion: </strong>The case highlights the association between ulcerative colitis and ANCA-associated vasculitis, particularly with PR3-ANCA, and the importance of recognizing this overlap. Although ANCA are frequently present in inflammatory bowel disease, especially ulcerative colitis, their pathogenic role remains unclear. The incidence of ANCA-associated vasculitis is higher in inflammatory bowel disease patients, with ulcerative colitis often preceding ANCA-associated vasculitis. Despite the common presence of ANCA in inflammatory bowel disease, not all patients progress to ANCA-associated vasculitis. This case underscores the need for careful monitoring in ulcerative colitis patients with elevated PR3-ANCA and the role of ANCA in guiding diagnosis and treatment.</p><p><strong>Learning points: </strong>High proteinase 3 (PR3)-anti-neutrophil cytoplasmic antibodies (ANCA) titre impacts the severity and management of ulcerative colitis patients.ANCA-associated vasculitis is more frequent in ulcerative colitis patients and occurs several years after ANCA positivity.Close monitoring of ulcerative colitis patients with PR3-ANCA is essential for early detection of progression to ANCA-associated vasculitis.</p>","PeriodicalId":11908,"journal":{"name":"European journal of case reports in internal medicine","volume":"12 5","pages":"005061"},"PeriodicalIF":0.0000,"publicationDate":"2025-05-05","publicationTypes":"Journal Article","fieldsOfStudy":null,"isOpenAccess":false,"openAccessPdf":"https://www.ncbi.nlm.nih.gov/pmc/articles/PMC12061215/pdf/","citationCount":"0","resultStr":null,"platform":"Semanticscholar","paperid":null,"PeriodicalName":"European journal of case reports in internal medicine","FirstCategoryId":"1085","ListUrlMain":"https://doi.org/10.12890/2025_005061","RegionNum":0,"RegionCategory":null,"ArticlePicture":[],"TitleCN":null,"AbstractTextCN":null,"PMCID":null,"EPubDate":"2025/1/1 0:00:00","PubModel":"eCollection","JCR":"Q3","JCRName":"Medicine","Score":null,"Total":0}
引用次数: 0

Abstract

Background: The relationship between anti-neutrophil cytoplasmic antibodies (ANCA) and inflammatory bowel disease has attracted significant attention due to shared immunopathological mechanisms and clinical associations.

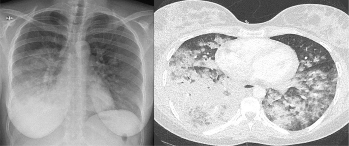
Case description: This case report describes a 20-year-old African woman with a history of ulcerative colitis who developed diffuse alveolar haemorrhage in the setting of elevated proteinase 3 (PR3)-ANCA. She was treated for ANCA-associated vasculitis with corticosteroids, plasma exchange, and rituximab, leading to a complete resolution.

Conclusion: The case highlights the association between ulcerative colitis and ANCA-associated vasculitis, particularly with PR3-ANCA, and the importance of recognizing this overlap. Although ANCA are frequently present in inflammatory bowel disease, especially ulcerative colitis, their pathogenic role remains unclear. The incidence of ANCA-associated vasculitis is higher in inflammatory bowel disease patients, with ulcerative colitis often preceding ANCA-associated vasculitis. Despite the common presence of ANCA in inflammatory bowel disease, not all patients progress to ANCA-associated vasculitis. This case underscores the need for careful monitoring in ulcerative colitis patients with elevated PR3-ANCA and the role of ANCA in guiding diagnosis and treatment.

Learning points: High proteinase 3 (PR3)-anti-neutrophil cytoplasmic antibodies (ANCA) titre impacts the severity and management of ulcerative colitis patients.ANCA-associated vasculitis is more frequent in ulcerative colitis patients and occurs several years after ANCA positivity.Close monitoring of ulcerative colitis patients with PR3-ANCA is essential for early detection of progression to ANCA-associated vasculitis.

Abstract Image

探讨ANCA在溃疡性结肠炎中的致病性:一个病例报告强调了ANCA相关血管炎进展的风险。
背景:抗中性粒细胞胞浆抗体(anti- neutropil cytoplasmic antibodies, ANCA)与炎症性肠病之间的关系由于具有共同的免疫病理机制和临床关联而引起了人们的广泛关注。病例描述:本病例报告描述了一名20岁的非洲妇女,有溃疡性结肠炎病史,在蛋白酶3 (PR3)-ANCA升高的情况下出现弥漫性肺泡出血。她接受了皮质类固醇、血浆置换和利妥昔单抗治疗anca相关血管炎,导致完全解决。结论:该病例强调了溃疡性结肠炎和anca相关性血管炎之间的关联,特别是PR3-ANCA,以及认识到这种重叠的重要性。虽然ANCA经常出现在炎症性肠病中,尤其是溃疡性结肠炎,但其致病作用尚不清楚。炎症性肠病患者中anca相关血管炎的发生率较高,溃疡性结肠炎通常先于anca相关血管炎。尽管ANCA在炎症性肠病中普遍存在,但并非所有患者都进展为ANCA相关的血管炎。本病例强调了对PR3-ANCA升高的溃疡性结肠炎患者进行仔细监测的必要性,以及ANCA在指导诊断和治疗中的作用。学习要点:高蛋白酶3 (PR3)-抗中性粒细胞胞浆抗体(ANCA)滴度影响溃疡性结肠炎患者的严重程度和治疗。ANCA相关血管炎在溃疡性结肠炎患者中更为常见,并在ANCA阳性后数年发生。密切监测患有PR3-ANCA的溃疡性结肠炎患者对于早期发现anca相关血管炎的进展至关重要。
本文章由计算机程序翻译,如有差异,请以英文原文为准。
求助全文
约1分钟内获得全文 求助全文
来源期刊
CiteScore
2.10
自引率
0.00%
发文量
166
审稿时长
8 weeks
期刊介绍: The European Journal of Case Reports in Internal Medicine is an official journal of the European Federation of Internal Medicine (EFIM), representing 35 national societies from 33 European countries. The Journal''s mission is to promote the best medical practice and innovation in the field of acute and general medicine. It also provides a forum for internal medicine doctors where they can share new approaches with the aim of improving diagnostic and clinical skills in this field. EJCRIM welcomes high-quality case reports describing unusual or complex cases that an internist may encounter in everyday practice. The cases should either demonstrate the appropriateness of a diagnostic/therapeutic approach, describe a new procedure or maneuver, or show unusual manifestations of a disease or unexpected reactions. The Journal only accepts and publishes those case reports whose learning points provide new insight and/or contribute to advancing medical knowledge both in terms of diagnostics and therapeutic approaches. Case reports of medical errors, therefore, are also welcome as long as they provide innovative measures on how to prevent them in the current practice (Instructive Errors). The Journal may also consider brief and reasoned reports on issues relevant to the practice of Internal Medicine, as well as Abstracts submitted to the scientific meetings of acknowledged medical societies.
×
引用
GB/T 7714-2015
复制
MLA
复制
APA
复制
导出至
BibTeX EndNote RefMan NoteFirst NoteExpress
×
提示
您的信息不完整,为了账户安全,请先补充。
现在去补充
×
提示
您因"违规操作"
具体请查看互助需知
我知道了
×
提示
确定
请完成安全验证×
copy
已复制链接
快去分享给好友吧!
我知道了
右上角分享
点击右上角分享
0
联系我们:info@booksci.cn Book学术提供免费学术资源搜索服务,方便国内外学者检索中英文文献。致力于提供最便捷和优质的服务体验。 Copyright © 2023 布克学术 All rights reserved.
京ICP备2023020795号-1
ghs 京公网安备 11010802042870号
Book学术文献互助
Book学术文献互助群
群 号:604180095
Book学术官方微信