The prognostic value of CXCR4 PET/CT imaging in unilateral primary aldosteronism patients after adrenalectomy.

IF 3.1 3区 医学 Q1 RADIOLOGY, NUCLEAR MEDICINE & MEDICAL IMAGING
Shuai Shao, Haozhe Xu, Zhuo Xing, Yulong Hong, Xuan Yin, Jianguang Luo, Kai Ai, Xin Su, Xiaowei Ma, Yuan Li
{"title":"The prognostic value of CXCR4 PET/CT imaging in unilateral primary aldosteronism patients after adrenalectomy.","authors":"Shuai Shao, Haozhe Xu, Zhuo Xing, Yulong Hong, Xuan Yin, Jianguang Luo, Kai Ai, Xin Su, Xiaowei Ma, Yuan Li","doi":"10.1186/s13550-025-01242-6","DOIUrl":null,"url":null,"abstract":"<p><strong>Background: </strong>CXCR4 PET/CT imaging has emerged as a tool for diagnosis and subtyping of primary aldosteronism (PA). But its prognostic value for postoperative blood pressure recovery has not been fully discussed.</p><p><strong>Results: </strong>The lesional SUVmax to the contralateral adrenal tissue SUVmean ratio (LCR) was identified as an independent predictor of clinical success at both the 3-month and 6-month assessments. The AUC for LCR was 0.894 at the 3-month and 0.832 at the 6-month. Patients were divided into high and low LCR groups according to the optimal cut-off of 3.240. The high LCR group exhibited elevated CXCR4 and CYP11B2 expression, higher PAC level, a greater probability of achieving complete clinical success compared to the low LCR group. Moreover, LCR was correlated with lateralization index and contralateral suppression index.</p><p><strong>Conclusions: </strong>LCR is a reliable independent predictor of postoperative blood pressure recovery in PA. Patients with LCR over 3.240 may benefit more from adrenalectomy. We recommend increased utilization of CXCR4 PET/CT for patients with PA.</p><p><strong>Registration: </strong>ChiCTR2200062844. Registered 20 August 2022.</p>","PeriodicalId":11611,"journal":{"name":"EJNMMI Research","volume":"15 1","pages":"41"},"PeriodicalIF":3.1000,"publicationDate":"2025-04-17","publicationTypes":"Journal Article","fieldsOfStudy":null,"isOpenAccess":false,"openAccessPdf":"https://www.ncbi.nlm.nih.gov/pmc/articles/PMC12006604/pdf/","citationCount":"0","resultStr":null,"platform":"Semanticscholar","paperid":null,"PeriodicalName":"EJNMMI Research","FirstCategoryId":"3","ListUrlMain":"https://doi.org/10.1186/s13550-025-01242-6","RegionNum":3,"RegionCategory":"医学","ArticlePicture":[],"TitleCN":null,"AbstractTextCN":null,"PMCID":null,"EPubDate":"","PubModel":"","JCR":"Q1","JCRName":"RADIOLOGY, NUCLEAR MEDICINE & MEDICAL IMAGING","Score":null,"Total":0}
引用次数: 0

Abstract

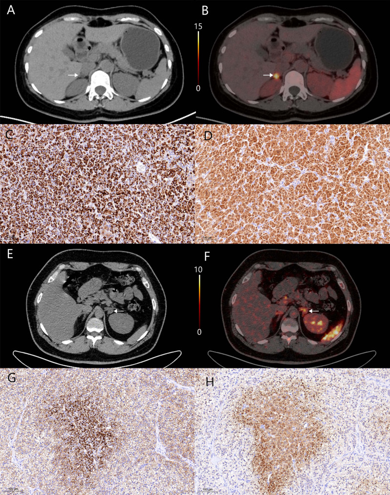
Background: CXCR4 PET/CT imaging has emerged as a tool for diagnosis and subtyping of primary aldosteronism (PA). But its prognostic value for postoperative blood pressure recovery has not been fully discussed.

Results: The lesional SUVmax to the contralateral adrenal tissue SUVmean ratio (LCR) was identified as an independent predictor of clinical success at both the 3-month and 6-month assessments. The AUC for LCR was 0.894 at the 3-month and 0.832 at the 6-month. Patients were divided into high and low LCR groups according to the optimal cut-off of 3.240. The high LCR group exhibited elevated CXCR4 and CYP11B2 expression, higher PAC level, a greater probability of achieving complete clinical success compared to the low LCR group. Moreover, LCR was correlated with lateralization index and contralateral suppression index.

Conclusions: LCR is a reliable independent predictor of postoperative blood pressure recovery in PA. Patients with LCR over 3.240 may benefit more from adrenalectomy. We recommend increased utilization of CXCR4 PET/CT for patients with PA.

Registration: ChiCTR2200062844. Registered 20 August 2022.

Abstract Image

Abstract Image

Abstract Image

CXCR4 PET/CT成像对肾上腺切除术后单侧原发性醛固酮增多症患者的预后价值。
背景:CXCR4 PET/CT成像已成为原发性醛固酮增多症(PA)的诊断和分型工具。但其对术后血压恢复的预后价值尚未得到充分讨论。结果:在3个月和6个月的评估中,病变SUVmax与对侧肾上腺组织SUVmean ratio (LCR)被确定为临床成功的独立预测因子。LCR的AUC在3个月时为0.894,6个月时为0.832。根据最佳临界值3.240将患者分为高、低LCR组。与低LCR组相比,高LCR组表现为CXCR4和CYP11B2表达升高,PAC水平升高,获得临床完全成功的可能性更大。LCR与侧化指数和对侧抑制指数相关。结论:LCR是PA术后血压恢复的可靠独立预测指标。LCR大于3.240的患者可能从肾上腺切除术中获益更多。我们建议在PA患者中增加CXCR4 PET/CT的使用。注册:ChiCTR2200062844。注册于2022年8月20日。
本文章由计算机程序翻译,如有差异,请以英文原文为准。
求助全文
约1分钟内获得全文 求助全文
来源期刊
EJNMMI Research
EJNMMI Research RADIOLOGY, NUCLEAR MEDICINE & MEDICAL IMAGING&nb-
CiteScore
5.90
自引率
3.10%
发文量
72
审稿时长
13 weeks
期刊介绍: EJNMMI Research publishes new basic, translational and clinical research in the field of nuclear medicine and molecular imaging. Regular features include original research articles, rapid communication of preliminary data on innovative research, interesting case reports, editorials, and letters to the editor. Educational articles on basic sciences, fundamental aspects and controversy related to pre-clinical and clinical research or ethical aspects of research are also welcome. Timely reviews provide updates on current applications, issues in imaging research and translational aspects of nuclear medicine and molecular imaging technologies. The main emphasis is placed on the development of targeted imaging with radiopharmaceuticals within the broader context of molecular probes to enhance understanding and characterisation of the complex biological processes underlying disease and to develop, test and guide new treatment modalities, including radionuclide therapy.
×
引用
GB/T 7714-2015
复制
MLA
复制
APA
复制
导出至
BibTeX EndNote RefMan NoteFirst NoteExpress
×
提示
您的信息不完整,为了账户安全,请先补充。
现在去补充
×
提示
您因"违规操作"
具体请查看互助需知
我知道了
×
提示
确定
请完成安全验证×
copy
已复制链接
快去分享给好友吧!
我知道了
右上角分享
点击右上角分享
0
联系我们:info@booksci.cn Book学术提供免费学术资源搜索服务,方便国内外学者检索中英文文献。致力于提供最便捷和优质的服务体验。 Copyright © 2023 布克学术 All rights reserved.
京ICP备2023020795号-1
ghs 京公网安备 11010802042870号
Book学术文献互助
Book学术文献互助群
群 号:604180095
Book学术官方微信