Acquired factor VIII deficiency in a nulliparous patient undergoing induction of labor.

IF 0.2 Q4 OBSTETRICS & GYNECOLOGY
Case Reports in Perinatal Medicine Pub Date : 2024-03-11 eCollection Date: 2024-01-01 DOI:10.1515/crpm-2023-0004
Nawras Zayat, Shirley Huang, Anthony Filipovic, Lorie Bartley, Wissam Akkary
{"title":"Acquired factor VIII deficiency in a nulliparous patient undergoing induction of labor.","authors":"Nawras Zayat, Shirley Huang, Anthony Filipovic, Lorie Bartley, Wissam Akkary","doi":"10.1515/crpm-2023-0004","DOIUrl":null,"url":null,"abstract":"<p><strong>Objectives: </strong>To present a case of acquired factor VIII deficiency in the setting of labor and describe the challenges of its diagnosis and treatment.</p><p><strong>Case presentation: </strong>A 31-year-old woman was diagnosed with acquired factor VIII deficiency while undergoing induction of labor. Her labor and post operative course were complicated by epidural hematoma formation, prolonged postoperative surgical site bleeding, and subcutaneous hematoma. Management included blood products, human Factor VII, rituximab, and a steroid taper.</p><p><strong>Conclusions: </strong>Acquired factor VIII deficiency can be challenging to diagnose and should be considered in the differential diagnosis in patients with prolonged bleeding accompanied by a prolonged activated partial thromboplastin time (aPTT).</p>","PeriodicalId":9617,"journal":{"name":"Case Reports in Perinatal Medicine","volume":"13 1","pages":"20230004"},"PeriodicalIF":0.2000,"publicationDate":"2024-03-11","publicationTypes":"Journal Article","fieldsOfStudy":null,"isOpenAccess":false,"openAccessPdf":"https://www.ncbi.nlm.nih.gov/pmc/articles/PMC12048139/pdf/","citationCount":"0","resultStr":null,"platform":"Semanticscholar","paperid":null,"PeriodicalName":"Case Reports in Perinatal Medicine","FirstCategoryId":"1085","ListUrlMain":"https://doi.org/10.1515/crpm-2023-0004","RegionNum":0,"RegionCategory":null,"ArticlePicture":[],"TitleCN":null,"AbstractTextCN":null,"PMCID":null,"EPubDate":"2024/1/1 0:00:00","PubModel":"eCollection","JCR":"Q4","JCRName":"OBSTETRICS & GYNECOLOGY","Score":null,"Total":0}
引用次数: 0

Abstract

Objectives: To present a case of acquired factor VIII deficiency in the setting of labor and describe the challenges of its diagnosis and treatment.

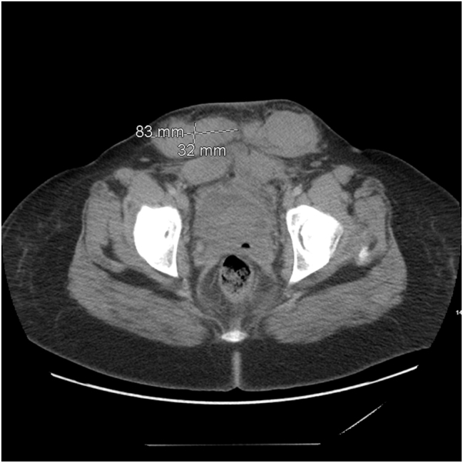
Case presentation: A 31-year-old woman was diagnosed with acquired factor VIII deficiency while undergoing induction of labor. Her labor and post operative course were complicated by epidural hematoma formation, prolonged postoperative surgical site bleeding, and subcutaneous hematoma. Management included blood products, human Factor VII, rituximab, and a steroid taper.

Conclusions: Acquired factor VIII deficiency can be challenging to diagnose and should be considered in the differential diagnosis in patients with prolonged bleeding accompanied by a prolonged activated partial thromboplastin time (aPTT).

Abstract Image

Abstract Image

Abstract Image

无产患者引产后获得性因子VIII缺乏。
目的:介绍一例获得性凝血因子VIII缺乏症,并描述其诊断和治疗的挑战。病例介绍:一名31岁妇女在引产时被诊断为获得性因子VIII缺乏症。由于硬膜外血肿形成、术后手术部位长时间出血和皮下血肿,她的分娩和术后过程都很复杂。治疗包括血液制品、人因子7、利妥昔单抗和类固醇减量。结论:获得性因子VIII缺乏症的诊断具有挑战性,在长期出血并伴有活化部分凝血活酶时间延长(aPTT)的患者的鉴别诊断中应予以考虑。
本文章由计算机程序翻译,如有差异,请以英文原文为准。
求助全文
约1分钟内获得全文 求助全文
来源期刊
Case Reports in Perinatal Medicine
Case Reports in Perinatal Medicine OBSTETRICS & GYNECOLOGY-
自引率
0.00%
发文量
37
期刊介绍: Case Reports in Perinatal Medicine is a double-blind peer-reviewed journal. The objective of the new journal is very similar to that of JPM. In addition to evidence-based studies, practitioners in clinical practice esteem especially exemplary reports of cases that reveal specific manifestations of diseases, its progress or its treatment. We consider case reports and series to be brief reports describing an isolated clinical case or a small number of cases. They may describe new or uncommon diagnoses, unusual outcomes or prognosis, new or infrequently used therapies and side effects of therapy not usually discovered in clinical trials. They represent the basic concept of experiences for studies on representative groups for further evidence-based research. The potential roles of case reports and case series are: Recognition and description of new diseases Detection of drug side effects (adverse or beneficial) Study of mechanisms of disease Medical education and audit Recognition of rare manifestations of disease.
×
引用
GB/T 7714-2015
复制
MLA
复制
APA
复制
导出至
BibTeX EndNote RefMan NoteFirst NoteExpress
×
提示
您的信息不完整,为了账户安全,请先补充。
现在去补充
×
提示
您因"违规操作"
具体请查看互助需知
我知道了
×
提示
确定
请完成安全验证×
copy
已复制链接
快去分享给好友吧!
我知道了
右上角分享
点击右上角分享
0
联系我们:info@booksci.cn Book学术提供免费学术资源搜索服务,方便国内外学者检索中英文文献。致力于提供最便捷和优质的服务体验。 Copyright © 2023 布克学术 All rights reserved.
京ICP备2023020795号-1
ghs 京公网安备 11010802042870号
Book学术文献互助
Book学术文献互助群
群 号:604180095
Book学术官方微信