Maternal uniparental disomy of chromosome 7: how chromosome 7-encoded imprinted genes contribute to the Silver-Russell phenotype.

IF 4.4 2区 医学 Q1 GENETICS & HEREDITY
Matthias Begemann, Anna Lengyel, Eva Pinti, Árpád Ferenc Kovács, György Fekete, Svea Stratmann, Jeremias Krause, Miriam Elbracht, Florian Kraft, Thomas Eggermann
{"title":"Maternal uniparental disomy of chromosome 7: how chromosome 7-encoded imprinted genes contribute to the Silver-Russell phenotype.","authors":"Matthias Begemann, Anna Lengyel, Eva Pinti, Árpád Ferenc Kovács, György Fekete, Svea Stratmann, Jeremias Krause, Miriam Elbracht, Florian Kraft, Thomas Eggermann","doi":"10.1186/s13148-025-01867-3","DOIUrl":null,"url":null,"abstract":"<p><strong>Background: </strong>Silver-Russell syndrome (SRS) is a rare congenital growth disorder which is associated with molecular alterations affecting imprinted regions on chromosome 11p15 and maternal uniparental disomy of chromosome 7 (upd(7)mat). In 11p15, imprinted regions contributing to the SRS phenotype could be identified, whereas on chromosome 7 at least two regions in 7q32 and 7p13 are in discussion as SRS candidate regions. We report on DNA and RNA data from upd(7)mat patients and a monozygotic twin pair with a postnatal SRS phenotype carrying a small intragenic deletion within GRB10 to delineate the contribution of upd(7)mat and imprinted genes on this chromosome to the SRS phenotype.</p><p><strong>Results: </strong>Genome sequencing in the monozygotic twins revealed a 18 kb deletion within the paternal allele of the GRB10 gene. Expression of GRB10 in blood of the twins as well as in cells from upd(7)mat and upd(7q)mat patients was not altered, whereas RNAseq indicates noticeable changes of the expression of other genes encoded by chromosomes 7 and other genomic regions.</p><p><strong>Conclusions: </strong>Our data indicate that intrauterine growth restriction as the prenatal phenotype of upd(7)mat is caused by defective paternal alleles of the 7q32 region, as well as by overexpression of the maternal GRB10 allele whereas a defective GRB10 paternal allele does not cause this feature. The altered expression of MEST in 7q32 by upd(7)mat is associated with the complete SRS phenotype, whereas maternalization or deletion of the paternal GRB10 copy and duplication of the chromosomal region 7p12 are associated with a postnatal SRS-like phenotype.</p>","PeriodicalId":10366,"journal":{"name":"Clinical Epigenetics","volume":"17 1","pages":"70"},"PeriodicalIF":4.4000,"publicationDate":"2025-04-30","publicationTypes":"Journal Article","fieldsOfStudy":null,"isOpenAccess":false,"openAccessPdf":"https://www.ncbi.nlm.nih.gov/pmc/articles/PMC12042466/pdf/","citationCount":"0","resultStr":null,"platform":"Semanticscholar","paperid":null,"PeriodicalName":"Clinical Epigenetics","FirstCategoryId":"3","ListUrlMain":"https://doi.org/10.1186/s13148-025-01867-3","RegionNum":2,"RegionCategory":"医学","ArticlePicture":[],"TitleCN":null,"AbstractTextCN":null,"PMCID":null,"EPubDate":"","PubModel":"","JCR":"Q1","JCRName":"GENETICS & HEREDITY","Score":null,"Total":0}
引用次数: 0

Abstract

Background: Silver-Russell syndrome (SRS) is a rare congenital growth disorder which is associated with molecular alterations affecting imprinted regions on chromosome 11p15 and maternal uniparental disomy of chromosome 7 (upd(7)mat). In 11p15, imprinted regions contributing to the SRS phenotype could be identified, whereas on chromosome 7 at least two regions in 7q32 and 7p13 are in discussion as SRS candidate regions. We report on DNA and RNA data from upd(7)mat patients and a monozygotic twin pair with a postnatal SRS phenotype carrying a small intragenic deletion within GRB10 to delineate the contribution of upd(7)mat and imprinted genes on this chromosome to the SRS phenotype.

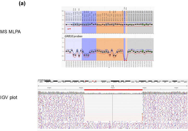
Results: Genome sequencing in the monozygotic twins revealed a 18 kb deletion within the paternal allele of the GRB10 gene. Expression of GRB10 in blood of the twins as well as in cells from upd(7)mat and upd(7q)mat patients was not altered, whereas RNAseq indicates noticeable changes of the expression of other genes encoded by chromosomes 7 and other genomic regions.

Conclusions: Our data indicate that intrauterine growth restriction as the prenatal phenotype of upd(7)mat is caused by defective paternal alleles of the 7q32 region, as well as by overexpression of the maternal GRB10 allele whereas a defective GRB10 paternal allele does not cause this feature. The altered expression of MEST in 7q32 by upd(7)mat is associated with the complete SRS phenotype, whereas maternalization or deletion of the paternal GRB10 copy and duplication of the chromosomal region 7p12 are associated with a postnatal SRS-like phenotype.

Abstract Image

Abstract Image

Abstract Image

7号染色体的母亲单亲二体:7号染色体编码的印迹基因如何促进银罗素表型。
背景:银罗素综合征(Silver-Russell syndrome, SRS)是一种罕见的先天性生长障碍,与影响11p15染色体印迹区域的分子改变和母亲7号染色体的单亲二体(upd(7)mat)有关。在11p15中,可以确定有助于SRS表型的印迹区域,而在7号染色体上,7q32和7p13中至少有两个区域正在讨论作为SRS候选区域。我们报告了来自upd(7)mat患者和一对在GRB10中携带小基因内缺失的出生后SRS表型的单卵双胞胎的DNA和RNA数据,以描述upd(7)mat和该染色体上的印迹基因对SRS表型的贡献。结果:单卵双胞胎的基因组测序显示GRB10基因父本等位基因中有18kb的缺失。双胞胎血液中GRB10的表达以及upd(7)mat和upd(7q)mat患者的细胞中GRB10的表达没有改变,而RNAseq表明7号染色体和其他基因组区域编码的其他基因的表达发生了明显变化。结论:我们的数据表明,子宫内生长受限作为upd(7)mat的产前表型是由父亲7q32区域的缺陷等位基因以及母亲GRB10等位基因的过表达引起的,而父亲GRB10等位基因的缺陷不会导致这种特征。upd(7)mat改变7q32中MEST的表达与完整的SRS表型有关,而母性化或父本GRB10拷贝的缺失和染色体区域7p12的重复与出生后SRS样表型有关。
本文章由计算机程序翻译,如有差异,请以英文原文为准。
求助全文
约1分钟内获得全文 求助全文
来源期刊
自引率
5.30%
发文量
150
期刊介绍: Clinical Epigenetics, the official journal of the Clinical Epigenetics Society, is an open access, peer-reviewed journal that encompasses all aspects of epigenetic principles and mechanisms in relation to human disease, diagnosis and therapy. Clinical trials and research in disease model organisms are particularly welcome.
×
引用
GB/T 7714-2015
复制
MLA
复制
APA
复制
导出至
BibTeX EndNote RefMan NoteFirst NoteExpress
×
提示
您的信息不完整,为了账户安全,请先补充。
现在去补充
×
提示
您因"违规操作"
具体请查看互助需知
我知道了
×
提示
确定
请完成安全验证×
copy
已复制链接
快去分享给好友吧!
我知道了
右上角分享
点击右上角分享
0
联系我们:info@booksci.cn Book学术提供免费学术资源搜索服务,方便国内外学者检索中英文文献。致力于提供最便捷和优质的服务体验。 Copyright © 2023 布克学术 All rights reserved.
京ICP备2023020795号-1
ghs 京公网安备 11010802042870号
Book学术文献互助
Book学术文献互助群
群 号:604180095
Book学术官方微信